The FGFs are a growing family of heparin-binding growth factors that show a variety of biological activities toward cells of mesenchymal, neuronal and epithelial origin. All FGFs have two conserved cysteine residues and share significant amino acid sequence homology. FGF-10 was originally identified from rat embryos by homology-based polymerase chain reaction. Human and mouse FGF-10 were subsequently cloned. The human FGF-10 cDNA encodes a 208 amino acid residue protein with a hydrophobic amino-terminal signal peptide. Human FGF-10 shares approximately 92% and 95% amino acid sequence identity with mouse and rat
FGF‑10, respectively. Among the FGF family members, FGF-10 is most closely related to FGF-7. The expression of FGF-10 transcripts has been shown to be most abundant in the embryo and adult lung. Recombinant FGF-10 preparations have been shown to be mitogenic for epithelial and epidermal cells but not fibroblasts. Based on its in vitro biological activities and in vivo expression pattern, FGF-10 has been proposed to play unique roles in the brain, in lung development, wound healing and limb bud formation.
Key Product Details
Species Reactivity
Validated:
Cited:
Applications
Validated:
Cited:
Label
Antibody Source
Product Specifications
Immunogen
Cys37-Ser208
Accession # O15520
Specificity
Clonality
Host
Isotype
Applications for Human FGF‑10 Antibody
ELISA
This antibody functions as an ELISA detection antibody when paired with Mouse Anti-Human FGF‑10 Monoclonal Antibody (Catalog # MAB3451).
This product is intended for assay development on various assay platforms requiring antibody pairs.
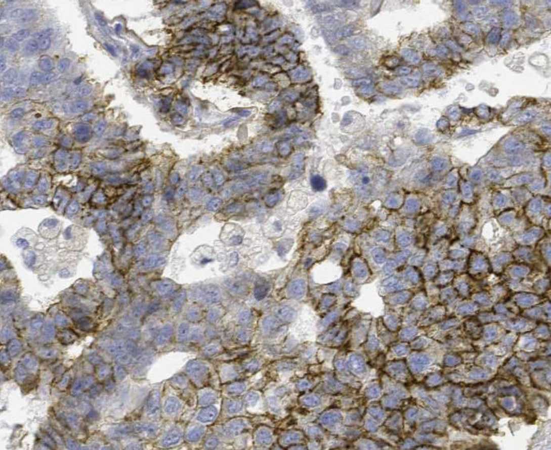
Immunohistochemistry
Sample: Immersion fixed paraffin-embedded sections of human prostate
Western Blot
Sample: Recombinant Human FGF‑10 (Catalog # 345-FG)
Reviewed Applications
Read 3 reviews rated 4 using AF345 in the following applications:
Formulation, Preparation, and Storage
Purification
Reconstitution
Reconstitute at 0.2 mg/mL in sterile PBS. For liquid material, refer to CoA for concentration.
Formulation
Shipping
Stability & Storage
- 12 months from date of receipt, -20 to -70 °C as supplied.
- 1 month, 2 to 8 °C under sterile conditions after reconstitution.
- 6 months, -20 to -70 °C under sterile conditions after reconstitution.
Calculators
Background: FGF-10
References
- Yamasaki, M. et al. (1996) J. Biol. Chem. 271:15918.
- Emoto, H. et al. (1997) J. Biol. Chem. 272:23191.
- Ohuchi, H. et al. (1997) Development 124:2235.
- Tagashira, S. et al. (1997) Gene 197:399.
- Bellusci, S. et al. (1997) Development 124:4867.
Long Name
Alternate Names
Gene Symbol
UniProt
Additional FGF-10 Products
Product Documents for Human FGF‑10 Antibody
Certificate of Analysis
To download a Certificate of Analysis, please enter a lot or batch number in the search box below.
Note: Certificate of Analysis not available for kit components.
Product Specific Notices for Human FGF‑10 Antibody
For research use only
Related Research Areas
Citations for Human FGF‑10 Antibody
Customer Reviews for Human FGF‑10 Antibody (3)
Have you used Human FGF‑10 Antibody?
Submit a review and receive an Amazon gift card!
$25/€18/£15/$25CAN/¥2500 Yen for a review with an image
$10/€7/£6/$10CAN/¥1110 Yen for a review without an image
Submit a review
Customer Images
-
Application: ImmunofluorescenceSample Tested: Lung tissueSpecies: MouseVerified Customer | Posted 09/08/2025IF staining of FGF10 in mouse lungs (green) 10xFGF10 treated mice lungs stainingBio-Techne ResponseThis review reflects a new species or application tested on a primary antibody.
-
Application: ImmunohistochemistrySample Tested: Prostate cancer tissueSpecies: HumanVerified Customer | Posted 10/05/2021
-
Application: Immunocytochemistry/ImmunofluorescenceSample Tested: iPSC derived epithelial cellsSpecies: HumanVerified Customer | Posted 09/27/2017
There are no reviews that match your criteria.
Protocols
Find general support by application which include: protocols, troubleshooting, illustrated assays, videos and webinars.
- Antigen Retrieval Protocol (PIER)
- Antigen Retrieval for Frozen Sections Protocol
- Appropriate Fixation of IHC/ICC Samples
- Cellular Response to Hypoxia Protocols
- Chromogenic IHC Staining of Formalin-Fixed Paraffin-Embedded (FFPE) Tissue Protocol
- Chromogenic Immunohistochemistry Staining of Frozen Tissue
- ClariTSA™ Fluorophore Kits
- Detection & Visualization of Antibody Binding
- ELISA Sample Preparation & Collection Guide
- ELISA Troubleshooting Guide
- Fluorescent IHC Staining of Frozen Tissue Protocol
- Graphic Protocol for Heat-induced Epitope Retrieval
- Graphic Protocol for the Preparation and Fluorescent IHC Staining of Frozen Tissue Sections
- Graphic Protocol for the Preparation and Fluorescent IHC Staining of Paraffin-embedded Tissue Sections
- Graphic Protocol for the Preparation of Gelatin-coated Slides for Histological Tissue Sections
- How to Run an R&D Systems DuoSet ELISA
- How to Run an R&D Systems Quantikine ELISA
- How to Run an R&D Systems Quantikine™ QuicKit™ ELISA
- IHC Sample Preparation (Frozen sections vs Paraffin)
- Immunofluorescent IHC Staining of Formalin-Fixed Paraffin-Embedded (FFPE) Tissue Protocol
- Immunohistochemistry (IHC) and Immunocytochemistry (ICC) Protocols
- Immunohistochemistry Frozen Troubleshooting
- Immunohistochemistry Paraffin Troubleshooting
- Preparing Samples for IHC/ICC Experiments
- Preventing Non-Specific Staining (Non-Specific Binding)
- Primary Antibody Selection & Optimization
- Protocol for Heat-Induced Epitope Retrieval (HIER)
- Protocol for Making a 4% Formaldehyde Solution in PBS
- Protocol for VisUCyte™ HRP Polymer Detection Reagent
- Protocol for the Preparation & Fixation of Cells on Coverslips
- Protocol for the Preparation and Chromogenic IHC Staining of Frozen Tissue Sections
- Protocol for the Preparation and Chromogenic IHC Staining of Frozen Tissue Sections - Graphic
- Protocol for the Preparation and Chromogenic IHC Staining of Paraffin-embedded Tissue Sections
- Protocol for the Preparation and Chromogenic IHC Staining of Paraffin-embedded Tissue Sections - Graphic
- Protocol for the Preparation and Fluorescent IHC Staining of Frozen Tissue Sections
- Protocol for the Preparation and Fluorescent IHC Staining of Paraffin-embedded Tissue Sections
- Protocol for the Preparation of Gelatin-coated Slides for Histological Tissue Sections
- Quantikine HS ELISA Kit Assay Principle, Alkaline Phosphatase
- Quantikine HS ELISA Kit Principle, Streptavidin-HRP Polymer
- R&D Systems Quality Control Western Blot Protocol
- Sandwich ELISA (Colorimetric) – Biotin/Streptavidin Detection Protocol
- Sandwich ELISA (Colorimetric) – Direct Detection Protocol
- TUNEL and Active Caspase-3 Detection by IHC/ICC Protocol
- The Importance of IHC/ICC Controls
- Troubleshooting Guide: ELISA
- Troubleshooting Guide: Immunohistochemistry
- Troubleshooting Guide: Western Blot Figures
- Western Blot Conditions
- Western Blot Protocol
- Western Blot Protocol for Cell Lysates
- Western Blot Troubleshooting
- Western Blot Troubleshooting Guide
- View all Protocols, Troubleshooting, Illustrated assays and Webinars