312 results for "Thrombopoietin/Tpo" in 产品

Thrombopoietin/Tpo Products

Thrombopoietin (Tpo), is a key regulator of megakaryocytopoiesis and thrombopoiesis. It is principally produced in the liver and is bound and internalized by the receptor Tpo R/c-mpl. Defects in the Tpo-Tpo R signaling pathway are associated with a variety of platelet disorders. Tpo promotes the differentiation, proliferation, and maturation of megakaryocytes and their progenitors. Tpo additionally promotes platelet production, aggregation, ECM adhesion, and activation. Aside from its hematopoietic effects, Tpo is expressed in the brain where it promotes the apoptosis of hypoxia-sensitized neurons and inhibits neuronal differentiation by blocking NGF-induced signaling.

Reactivity: Human
Human Luminex Discovery Assay

Build your own Luminex Assay with our Luminex Assay Customization Tool

Reactivity: Human
Source: NS0
Accession #: P40225
Applications: Bioactivity
Recombinant Human Thrombopoietin (NS0-expressed) Protein Bioactivity
Loading...
Reactivity: Human
Sensitivity: 18.5 pg/mL
Assay Range: 31.2-2000 pg/mL (Cell Culture Supernates, Serum, EDTA Plasma, Heparin Plasma)
Applications: ELISA
Human Thrombopoietin/Tpo ELISA Serum/Plasma Standard Curve
(3)
Loading...

Animal Free

Reactivity: Human
Source: E. coli
Accession #: NP_000451.1
Applications: Bioactivity
Recombinant Human Thrombopoietin GMP Protein Bioactivity
(2)
Loading...
Reactivity: Mouse
Source: NS0
Accession #: P40226
Applications: Bioactivity
Recombinant Mouse Thrombopoietin Protein Bioactivity
(2)
Loading...
Reactivity: Mouse
Sensitivity: 20 pg/mL
Assay Range: 62.5-4000 pg/mL (Cell Culture Supernates, Serum, EDTA Plasma, Citrate Plasma)
Applications: ELISA
Mouse Thrombopoietin/Tpo ELISA Standard Curve
(2)
Loading...

Contains 4 membranes-each spotted in duplicate with 111 different cytokine antibodies

Reactivity: Mouse
Detection of selected mouse cytokines in Balb/3T3 Cell Line Lysate
(3)
Loading...
New Version Available: BT-TPO
NEW
GMP Version Available: BT-TPO-GMP
GMP
Reactivity: Human
Source: E. coli
Accession #: NP_000451
Applications: Bioactivity
Recombinant Human Thrombopoietin (E. coli-expressed) Bioactivity
(2)
Loading...

Build your own Human Cytokine Premixed Luminex Performance Assay using our custom ordering tool. Earn double rewards for reviews

Reactivity: Human
(2)

Build your own Luminex Assay with our Luminex Assay Customization Tool

Reactivity: Mouse, Rat
Details: Goat IgG Polyclonal
Applications: WB, B/N
Cell Proliferation Induced by Thrombopoietin/Tpo and Neutralization by Mouse Thrombopoietin/Tpo Antibody.
Loading...
Reactivity: Human
Details: Goat IgG Polyclonal
Applications: WB, B/N
Cell Proliferation Induced by Thrombopoietin and Neutralization by Human Thrombopoietin Antibody.
Loading...
Reactivity: Human
Source: E. coli
Accession #: NP_000451.1
Applications: Bioactivity
(5)
Loading...

For use with catalog number DTP00B

Reactivity: Human
Applications: ELISA, Ctrl
R&D Systems ELISA Controls
Loading...
Reactivity: Human
Details: Rabbit IgG Polyclonal
Applications: WB, ELISA
Western Blot: Thrombopoietin/THPO Antibody [NBP1-59293]
(2)
Loading...
Reactivity: Mouse
Assay Range: 62.5-4000 pg/mL
Applications: ELISA
Mouse Thrombopoietin / Tpo ELISA Standard Curve
Loading...
Reactivity: Human
Details: Mouse IgG2B Monoclonal Clone #34817
Applications: ELISA(Cap), B/N
Cell Proliferation Induced by Thrombopoietin and Neutralization by Human Thrombopoietin Antibody.
Loading...
Reactivity: Human
Source: E. coli
Accession #: NP_000451.1
Applications: Bioactivity
(3)
Loading...
Reactivity: Mouse
Details: Rat IgG2A Monoclonal Clone #378120
Applications: WB, ELISA(Cap)
Mouse Thrombopoietin/Tpo Antibody
Loading...

Analyzed by SEC-MALS. His-tag (HEK-293-expressed)

Reactivity: Human
Source: HEK293
Accession #: P40225.1
Applications: Bioactivity
(3)
Loading...
GMP Version Available: BT-TPO-GMP
GMP
Reactivity: Human
Source: E. coli
Accession #: NP_000451.1
Applications: Bioactivity
(3)
Loading...
Reactivity: Human
Details: Mouse IgG1 Monoclonal Clone #34863
Applications: WB
Human Thrombopoietin/Tpo Antibody
Loading...
Reactivity: Human
Details: Mouse IgG1 Monoclonal Clone #1065103
Applications: WB, COMET
Loading...
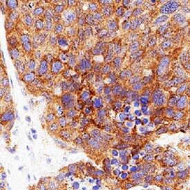
Reactivity: Human
Details: Mouse IgG1 Monoclonal Clone #1053909
Applications: IHC
Loading...
Reactivity: Human
Assay Range: 93.8-6000 pg/mL
Applications: ELISA
Human Thrombopoietin / Tpo ELISA Standard Curve
Loading...
Reactivity: Human

Build your own Luminex Assay with our Luminex Assay Customization Tool

Results Per Page
5 10 25 50