Human GIP Antibody
Human GIP Antibody Summary
Tyr1-Asn39
Accession # P09681
Applications
Please Note: Optimal dilutions should be determined by each laboratory for each application. General Protocols are available in the Technical Information section on our website.
Scientific Data
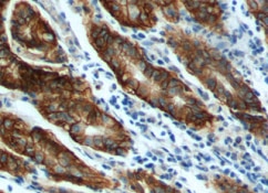
View Larger
GIP in Human Stomach. GIP was detected in immersion fixed paraffin-embedded sections of human stomach using Mouse Anti-Human GIP Monoclonal Antibody (Catalog # MAB8864) at 5 µg/mL overnight at 4 °C. Tissue was stained using the Anti-Mouse HRP-DAB Cell & Tissue Staining Kit (brown; Catalog # CTS002) and counterstained with hematoxylin (blue). Specific staining was localized to gastric glands. View our protocol for Chromogenic IHC Staining of Paraffin-embedded Tissue Sections.
Reconstitution Calculator
Preparation and Storage
- 12 months from date of receipt, -20 to -70 °C as supplied.
- 1 month, 2 to 8 °C under sterile conditions after reconstitution.
- 6 months, -20 to -70 °C under sterile conditions after reconstitution.
Background: GIP
Gastric inhibitory polypeptide (GIP), also known as the glucose-dependent insulinotropic peptide is a member of the secretin family of hormones. GIP, together with glucagon-like peptide-1 (GLP-1), belongs to the group of metabolic hormones called incretins that stimulate a decrease in blood glucose levels. GIP is derived from a 153-amino acid pro-protein encoded by the GIP gene and circulates as a biologically active 42-amino acid peptide. Engagement of Gastric inhibitory polypeptide receptors (GIPR) by GIP on pancreatic beta cells activates adenylate cyclase to regulate insulin compensation in the presence of high circulating glucose.
GIP (1-39) is an endogenous truncated form of GIP that has been shown to be more potent in stimulating insulin secretion from rat pancreatic islets.
Product Datasheets
Citation for Human GIP Antibody
R&D Systems personnel manually curate a database that contains references using R&D Systems products. The data collected includes not only links to publications in PubMed, but also provides information about sample types, species, and experimental conditions.
1 Citation: Showing 1 - 1
-
GIP_HUMAN[22-51] is a new proatherogenic peptide identified by native plasma peptidomics
Authors: T Masaki, Y Kodera, M Terasaki, K Fujimoto, T Hirano, M Shichiri
Scientific Reports, 2021-07-14;11(1):14470.
Species: Human
Sample Types: Whole Tissue
Applications: IHC
FAQs
No product specific FAQs exist for this product, however you may
View all Antibody FAQsReviews for Human GIP Antibody
Average Rating: 5 (Based on 1 Review)
Have you used Human GIP Antibody?
Submit a review and receive an Amazon gift card.
$25/€18/£15/$25CAN/¥75 Yuan/¥2500 Yen for a review with an image
$10/€7/£6/$10 CAD/¥70 Yuan/¥1110 Yen for a review without an image
Filter by:
