Human DLEC/CLEC4C/BDCA-2 Antibody Summary
Phe46-Ile213
Accession # Q8WTT0
Applications
Please Note: Optimal dilutions should be determined by each laboratory for each application. General Protocols are available in the Technical Information section on our website.
Scientific Data
View Larger
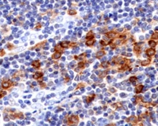
DLEC/CLEC4C/BDCA‑2 in Human Tonsil. DLEC/CLEC4C/BDCA-2 was detected in immersion fixed paraffin-embedded sections of human tonsil using Mouse Anti-Human DLEC/CLEC4C/BDCA-2 Monoclonal Antibody (Catalog # MAB62991) at 1.7 µg/mL for 1 hour at room temperature followed by incubation with the Anti-Mouse IgG VisUCyte™ HRP Polymer Antibody (Catalog # VC001). Tissue was stained using DAB (brown) and counterstained with hematoxylin (blue). Specific staining was localized to cytoplasm. View our protocol for IHC Staining with VisUCyte HRP Polymer Detection Reagents.
Reconstitution Calculator
Preparation and Storage
- 12 months from date of receipt, -20 to -70 °C as supplied.
- 1 month, 2 to 8 °C under sterile conditions after reconstitution.
- 6 months, -20 to -70 °C under sterile conditions after reconstitution.
Background: DLEC/CLEC4C/BDCA-2
Dendritic cell lectin (DLEC), also known as BDCA-2, CD303, HECL, and CLEC4C/CLECSF11/CLECSF7, is a 38 kDa type II transmembrane protein in the C-type lectin family (1). Mature human DLEC consists of a 21 amino acid (aa) cytoplasmic domain, a 23 aa transmembrane segment, and a 169 aa extracellular domain (ECD) that contains a juxtamembrane neck region and one carbohydrate recognition domain (CRD) (2, 3). Alternate splicing may generate multiple isoforms that lack the transmembrane segment and/or portions of the cytoplasmic, neck, and CRD regions (2-4). An ortholog of human DLEC has not been described in mouse or rat. DLEC expression is restricted to plasmacytoid dendritic cells (pDC) and is downregulated during their maturation (2, 3, 5). pDC play a role in the innate immune response by producing IFN-alpha / beta following exposure to TLR7 and TLR9 agonists such as microbial CpG DNA (3, 5-8). Antibody ligation of DLEC on pDC attenuates the CpG-stimulated production of interferons as well as a Th1 biased response (3, 5-9). DLEC interactions with HIV-1 gp120 and hepatitis B virus soluble antigen may therefore limit the pDC antiviral response (10, 11). Similar to other C-type lectins, DLEC can mediate antigen uptake for MHC loading and presentation to T cells (3, 12). Crosslinking of DLEC on CpG-stimulated pDC inhibits pDC maturation and induces tyrosine phosphorylation on multiple proteins involved in B cell receptor signaling and endocytosis (5, 7, 8). These functions require the association of DLEC with the ITAM-containing Fc epsilon RI gamma chain (7, 8).
- Kanazawa, N. et al. (2004) Immunobiology 209:179.
- Arce, I. et al. (2001) Eur. J. Immunol. 31:2733.
- Dzionek, A. et al. (2001) J. Exp. Med. 194:1823.
- Fernandes, M.J. et al. (2000) Genomics 69:263.
- Wu, P. et al. (2008) Clin. Immunol. 129:40.
- Fanning, S.L. et al. (2006) J. Immunol. 177:5829.
- Rock, J. et al. (2007) Eur. J. Immunol. 37:3564.
- Cao, W. et al. (2007) PloS Biol. 5:e248.
- Riboldi, E. et al. (2009) Immunobiology 214:868.
- Martinelli, E. et al. (2007) Proc. Natl. Acad. Sci. USA 104:3396.
- Xu, Y. et al. (2009) Mol. Immunol. 46:2640.
- Jaehn, P.S. et al. (2008) Eur. J. Immunol. 38:1822.
Product Datasheets
FAQs
No product specific FAQs exist for this product, however you may
View all Antibody FAQsReviews for Human DLEC/CLEC4C/BDCA-2 Antibody
Average Rating: 5 (Based on 1 Review)
Have you used Human DLEC/CLEC4C/BDCA-2 Antibody?
Submit a review and receive an Amazon gift card.
$25/€18/£15/$25CAN/¥75 Yuan/¥2500 Yen for a review with an image
$10/€7/£6/$10 CAD/¥70 Yuan/¥1110 Yen for a review without an image
Filter by:
