Human GATA-4 Antibody Summary
Met27-Phe211
Accession # P43694
Applications
Please Note: Optimal dilutions should be determined by each laboratory for each application. General Protocols are available in the Technical Information section on our website.
Scientific Data
View Larger
Detection of Human GATA‑4 by Western Blot. Western blot shows lysates of HepG2 human hepatocellular carcinoma cell line and human liver tissue. PVDF membrane was probed with 0.5 µg/mL of Mouse Anti-Human GATA-4 Monoclonal Antibody (Catalog # MAB2606) followed by HRP-conjugated Anti-Mouse IgG Secondary Antibody (Catalog # HAF007). A specific band was detected for GATA-4 at approximately 56 kDa (as indicated). This experiment was conducted under reducing conditions and using Immunoblot Buffer Group 1.
Reconstitution Calculator
Preparation and Storage
- 12 months from date of receipt, -20 to -70 °C as supplied.
- 1 month, 2 to 8 °C under sterile conditions after reconstitution.
- 6 months, -20 to -70 °C under sterile conditions after reconstitution.
Background: GATA-4
GATA-4 belongs to the GATA family of transcription factors, which bind to the consensus DNA sequence (A/T) GATA (A/G) to control diverse tissue-specific programs of gene expression and morphogenesis. It is widely expressed in mesodermal- and endodermal-derived tissues. GATA-4 interacts with other transcription factors such as NKX2.5, and myocyte enhancer factor 2 to regulate cardiac myocyte-specific gene expression. GATA-4 contains 2 zinc finger-binding domains and migrates at 56 kDa in SDS-PAGE gels. Human GATA-4 share 93%, 93% and 92% amino acid sequence identity with porcine, rat and mouse GATA-4, respectively.
Product Datasheets
Citations for Human GATA-4 Antibody
R&D Systems personnel manually curate a database that contains references using R&D Systems products. The data collected includes not only links to publications in PubMed, but also provides information about sample types, species, and experimental conditions.
9
Citations: Showing 1 - 9
Filter your results:
Filter by:
-
Transcription factor GATA4 associates with mesenchymal-like gene expression in human hepatoblastoma cells
Authors: Tea Soini, Katja Eloranta, Marjut Pihlajoki, Antti Kyrönlahti, Oyediran Akinrinade, Noora Andersson et al.
Tumour Biol
-
In vitro Differentiation of TERT-Transfected Multi-Lineage Progenitor Cells (MLPC) into Immortalized Hepatocyte-Like Cells
Authors: Collins D, Hapke J, Aravalli R, Steer C
HMER
-
The transcription factor GABPA is a master regulator of naïve pluripotency
Authors: Zhou, C;Wang, M;Zhang, C;Zhang, Y;
bioRxiv : the preprint server for biology
Species: Mouse
Sample Types: Embryo
Applications: Immunohistochemistry -
GATA4 induces liver fibrosis regression by deactivating hepatic stellate cells
Authors: N Arroyo, L Villamayor, I Díaz, R Carmona, M Ramos-Rodr, R Muñoz-Chap, L Pasquali, MG Toscano, F Martin, DA Cano, A Rojas
JCI Insight, 2021-12-08;0(0):.
Species: Mouse
Sample Types: Tissue Lysates
Applications: Western Blot -
Transcription factor GATA4 associates with mesenchymal-like gene expression in human hepatoblastoma cells
Authors: Tea Soini, Katja Eloranta, Marjut Pihlajoki, Antti Kyrönlahti, Oyediran Akinrinade, Noora Andersson et al.
Tumour Biol
Species: Human
Sample Types: Whole Tissue
Applications: Immunohistochemistry -
Electromechanical Conditioning of Adult Progenitor Cells Improves Recovery of Cardiac Function After Myocardial Infarction
Authors: A Llucià-Val, C Soler-Boti, C Gálvez-Mon, S Roura, C Prat-Vidal, I Perea-Gil, B Sanchez, R Bragos, G Vunjak-Nov, A Bayes-Geni
Stem Cells Transl Med, 2016-09-29;6(3):970-981.
Species: Mouse
Sample Types: Whole Cells, Whole Tissue
Applications: ICC, IHC-Fr -
Hepatic Differentiation of Marmoset Embryonic Stem Cells and Functional Characterization of ESC-Derived Hepatocyte-Like Cells
Authors: Rajagopal N Aravalli, Daniel P Collins, Joel H Hapke, Andrew T Crane, Clifford J Steer
Hepatic Medicine: Evidence and Research
-
Induced hepatic stem cells are suitable for human hepatocyte production
Authors: Yoshiki Nakashima, Chika Miyagi-Shiohira, Issei Saitoh, Masami Watanabe, Masayuki Matsushita, Masayoshi Tsukahara et al.
iScience
-
The Relationship between the Expression of GATA4 and GATA6 with the Clinical Characteristics and Prognosis of Resectable Pancreatic Adenocarcinoma
Authors: Victoria Heredia-Soto, Laura Gutiérrez-Sainz, Ismael Ghanem, Laura Guerra, Elena Palacios, Marta de Uribe et al.
Biomedicines
FAQs
No product specific FAQs exist for this product, however you may
View all Antibody FAQsReviews for Human GATA-4 Antibody
Average Rating: 5 (Based on 2 Reviews)
Have you used Human GATA-4 Antibody?
Submit a review and receive an Amazon gift card.
$25/€18/£15/$25CAN/¥75 Yuan/¥2500 Yen for a review with an image
$10/€7/£6/$10 CAD/¥70 Yuan/¥1110 Yen for a review without an image
Filter by:
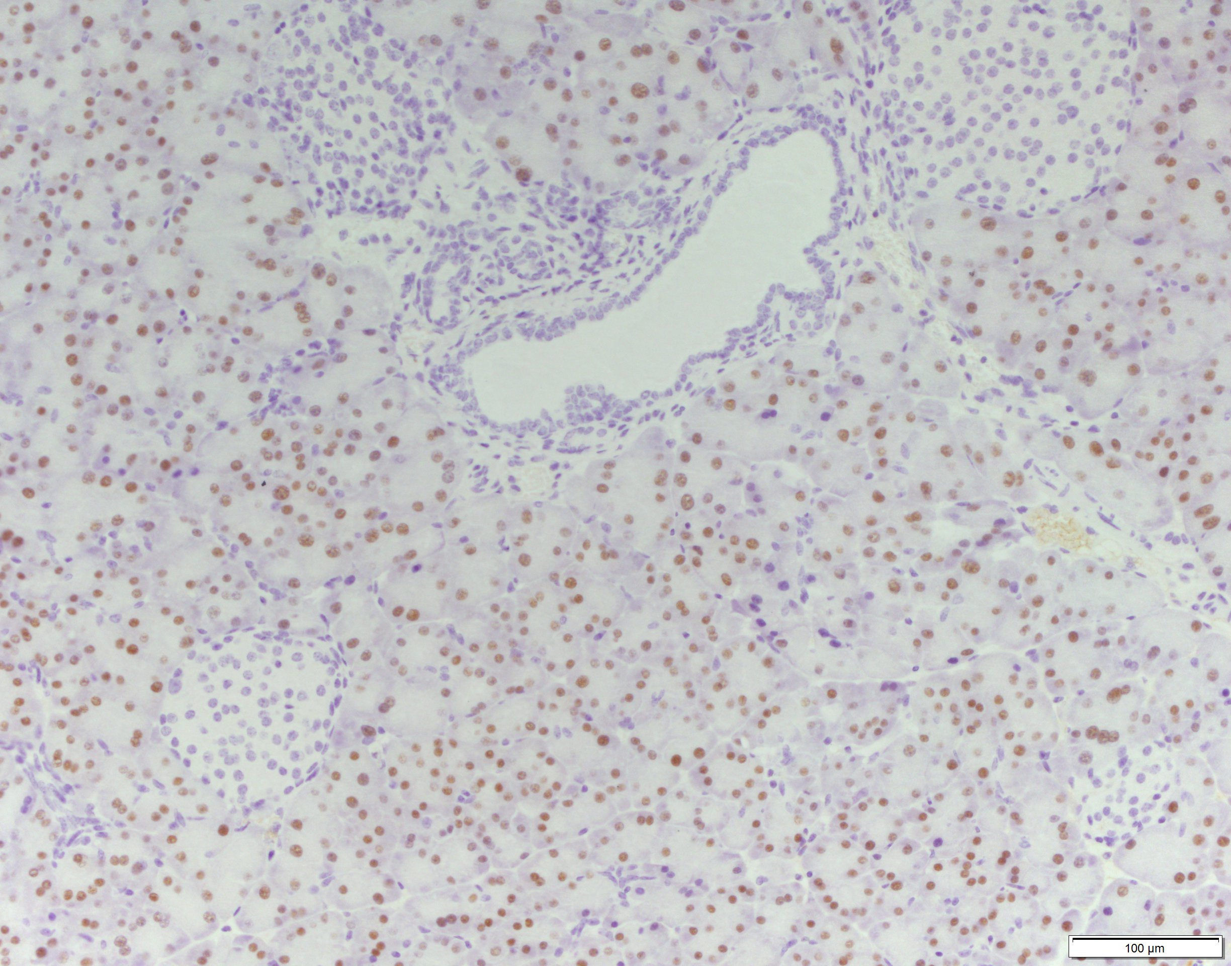
Paraffin-embedded sections
Antigen retrieval: Citrate pH=6
Mouse pancreas
