Mouse Stella/Dppa3 Antibody Summary
Met1-Asn150
Accession # Q8QZY3
Applications
Please Note: Optimal dilutions should be determined by each laboratory for each application. General Protocols are available in the Technical Information section on our website.
Scientific Data
View Larger
Stella/Dppa3 in mouse ovary tissue. Stella/Dppa3 was detected in perfusion fixed frozen sections of mouse ovary tissue using Goat Anti-Mouse Stella/Dppa3 Antigen Affinity-purified Polyclonal Antibody (Catalog # AF2566) at 1 µg/mL overnight at 4 °C. Before incubation with the primary antibody, tissue was subjected to heat-induced epitope retrieval using Antigen Retrieval Reagent-Basic (Catalog # CTS013). Tissue was stained using the Anti-Goat IgG VisUCyte™ HRP Polymer Antibody (brown; Catalog # VC004) and counterstained with hematoxylin (blue). Specific staining was localized to oocytes. View our protocol for IHC Staining with VisUCyte HRP Polymer Detection Reagents.
Reconstitution Calculator
Preparation and Storage
- 12 months from date of receipt, -20 to -70 °C as supplied.
- 1 month, 2 to 8 °C under sterile conditions after reconstitution.
- 6 months, -20 to -70 °C under sterile conditions after reconstitution.
Background: Stella/Dppa3
Stella, also known as Dppa3 (Developmental pluripotency-associated 3) and PGC7 (primordial germ cell 7) is expressed in primordial germ cells, oocytes, preimplantation embryos, and pluripotent cells. Although the fuction of Stella is not known, the expression pattern of the protein suggests a role in the maintenance of cell pluripotency.
Product Datasheets
Citations for Mouse Stella/Dppa3 Antibody
R&D Systems personnel manually curate a database that contains references using R&D Systems products. The data collected includes not only links to publications in PubMed, but also provides information about sample types, species, and experimental conditions.
5
Citations: Showing 1 - 5
Filter your results:
Filter by:
-
DNA repair protein FANCD2 has both ubiquitination-dependent and ubiquitination-independent functions during germ cell development
Authors: Zhao S, Huang C, Yang Y et al.
Journal of Biological Chemistry
-
STELLA-positive subregions of the primitive streak contribute to posterior tissues of the mouse gastrula
Authors: Maria M. Mikedis, Karen M. Downs
Developmental Biology
-
DNA repair protein FANCD2 has both ubiquitination-dependent and ubiquitination-independent functions during germ cell development
Authors: Zhao S, Huang C, Yang Y et al.
Journal of Biological Chemistry
-
STELLA collaborates in distinct mesendodermal cell subpopulations at the fetal-placental interface in the mouse gastrula
Authors: AD Wolfe, AM Rodriguez, KM Downs
Dev. Biol, 2017-03-18;0(0):.
Species: Mouse
Sample Types: Whole Tissue
Applications: IHC -
Global Deletion of Trp53 Reverts Ovarian Tumor Phenotype of the Germ Cell–Deficient White Spotting Variant (Wv) Mice1
Authors: Kathy Qi Cai, Ying Wang, Elizabeth R. Smith, Jennifer L. Smedberg, Dong-Hua Yang, Wan-Lin Yang et al.
Neoplasia
FAQs
No product specific FAQs exist for this product, however you may
View all Antibody FAQsReviews for Mouse Stella/Dppa3 Antibody
Average Rating: 4.5 (Based on 2 Reviews)
Have you used Mouse Stella/Dppa3 Antibody?
Submit a review and receive an Amazon gift card.
$25/€18/£15/$25CAN/¥75 Yuan/¥2500 Yen for a review with an image
$10/€7/£6/$10 CAD/¥70 Yuan/¥1110 Yen for a review without an image
Filter by:
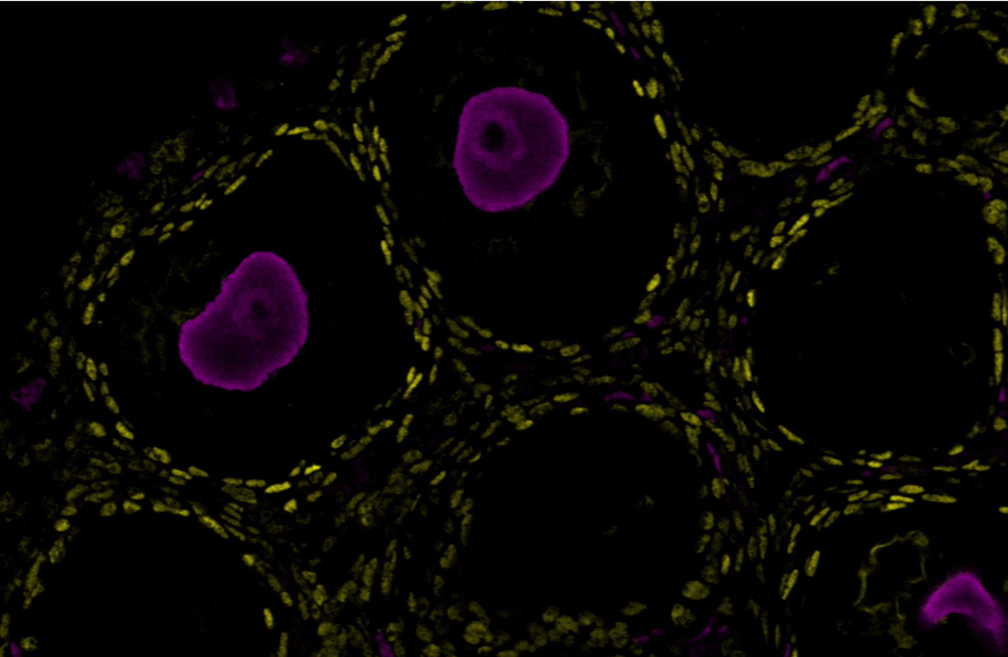
Working concentration 1:200, IHC-P
The antibody was tested on a paraffin-embedded section of a mouse P14 ovary, with successful staining observed at a dilution of 1:200. Yellow (Nr2F2), Magenta (Stella)
