Complement Factor B Antibody - BSA Free
Novus Biologicals | Catalog # NBP1-89985
Key Product Details
Species Reactivity
Validated:
Cited:
Applications
Validated:
Cited:
Label
Antibody Source
Format
Product Specifications
Immunogen
Reactivity Notes
Clonality
Host
Isotype
Description
Scientific Data Images for Complement Factor B Antibody - BSA Free
Immunocytochemistry/ Immunofluorescence: Complement Factor B Antibody - BSA Free [NBP1-89985]
Staining of human cell line ASC TERT1 shows localization to endoplasmic reticulum.Immunohistochemistry-Paraffin: Complement Factor B Antibody [NBP1-89985]
Immunohistochemistry-Paraffin: Complement Factor B Antibody [NBP1-89985] - Staining of human prostate shows strong cytoplasmic positivity in glandular cells.Immunohistochemistry-Paraffin: Complement Factor B Antibody - BSA Free [NBP1-89985]
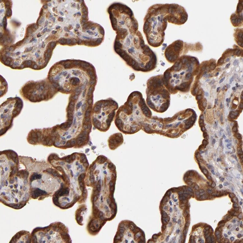
Staining of human placenta shows strong positivity in trophoblastic cells.Immunohistochemistry-Paraffin: Complement Factor B Antibody - BSA Free [NBP1-89985]
Staining of human testis shows moderate cytoplasmic positivity in Leydig cells.Immunohistochemistry-Paraffin: Complement Factor B Antibody - BSA Free [NBP1-89985]
Staining of human kidney shows moderate positivity in secretion surrounding cells in tubules.Simple Western: Complement Factor B Antibody [NBP1-89985]
Simple Western: Complement Factor B Antibody [NBP1-89985] - Simple Western lane view shows a specific band for CFB in 0.2 mg/ml of Tonsil lysate. This experiment was performed under reducing conditions using the 12-230 kDa separation system.Simple Western: Complement Factor B Antibody [NBP1-89985]
Simple Western: Complement Factor B Antibody [NBP1-89985] - Electropherogram image(s) of corresponding Simple Western lane view. Complement Factor B antibody was used at 1:20 dilution on Tonsil lysate(s).Immunocytochemistry/ Immunofluorescence: Complement Factor B Antibody - BSA Free [NBP1-89985] -
The activation of mTORC1 in KCs enhances complement alternative system.a Expression heatmap of genes of neutrophils chemotaxis or complement activation analyzed by RNA-seq from Tsc1+/+ and Tsc1-/- BMMs (n = 3 each). b Western blotting result was shown the expression of CFB protein in hepatic tissues from mice. c Left, representative co-immunofluorescent staining images for F4/80 with CFB. Scale bar = 50 μm. Right, quantitative determination of F4/80+ and CFB+ cells among groups as indicated, n = 3. d Western blotting assay showing the abundance for TSC1, CFB, and p-S6 in BMMs. e qRT-PCR analysis showing the CFB mRNA abundance in BMMs, n = 3. f Western blotting assay showing the abundance for TSC1, CFB, and p-S6 in KCs. g qRT-PCR analysis showing the CFB mRNA abundance in KCs, n = 3. h Representative immunofluorescent staining images for C3d. Scale bar = 50 μm. i Representative immunostaining images for C5b-9. Scale bar = 50 μm. j Western blotting assay showing the abundance for Rheb and CFB in BMMs. k Western blotting assay showing the abundance for Rheb and CFB in KCs. l Representative co-immunofluorescent staining images for F4/80 with CFB (white arrows). Scale bar = 100 μm. m Quantitative determination of F4/80+ and CFB+ cells among groups as indicated, n = 3. n Representative immunofluorescent staining images for C3d. Scale bar = 100 μm. o Representative immunostaining images for C5b-9 among groups as indicated. Scale bar = 100 μm. *p < 0.05. Image collected and cropped by CiteAb from the following open publication (https://pubmed.ncbi.nlm.nih.gov/36494334), licensed under a CC-BY license. Not internally tested by Novus Biologicals.Immunocytochemistry/ Immunofluorescence: Complement Factor B Antibody - BSA Free [NBP1-89985] -
The activation of mTORC1 in KCs enhances complement alternative system.a Expression heatmap of genes of neutrophils chemotaxis or complement activation analyzed by RNA-seq from Tsc1+/+ and Tsc1-/- BMMs (n = 3 each). b Western blotting result was shown the expression of CFB protein in hepatic tissues from mice. c Left, representative co-immunofluorescent staining images for F4/80 with CFB. Scale bar = 50 μm. Right, quantitative determination of F4/80+ and CFB+ cells among groups as indicated, n = 3. d Western blotting assay showing the abundance for TSC1, CFB, and p-S6 in BMMs. e qRT-PCR analysis showing the CFB mRNA abundance in BMMs, n = 3. f Western blotting assay showing the abundance for TSC1, CFB, and p-S6 in KCs. g qRT-PCR analysis showing the CFB mRNA abundance in KCs, n = 3. h Representative immunofluorescent staining images for C3d. Scale bar = 50 μm. i Representative immunostaining images for C5b-9. Scale bar = 50 μm. j Western blotting assay showing the abundance for Rheb and CFB in BMMs. k Western blotting assay showing the abundance for Rheb and CFB in KCs. l Representative co-immunofluorescent staining images for F4/80 with CFB (white arrows). Scale bar = 100 μm. m Quantitative determination of F4/80+ and CFB+ cells among groups as indicated, n = 3. n Representative immunofluorescent staining images for C3d. Scale bar = 100 μm. o Representative immunostaining images for C5b-9 among groups as indicated. Scale bar = 100 μm. *p < 0.05. Image collected and cropped by CiteAb from the following open publication (https://pubmed.ncbi.nlm.nih.gov/36494334), licensed under a CC-BY license. Not internally tested by Novus Biologicals.Immunocytochemistry/ Immunofluorescence: Complement Factor B Antibody - BSA Free [NBP1-89985] -
Down regulation of CFB in liver protects against Con-A induced liver injury.a Western blotting assay showing CFB expression in mouse livers after shRNA-CFB injection. b Representative co-immunofluorescent staining images for F4/80 with CFB (white arrows). Scale bar = 100 μm. c The strategy for establishing a mouse model of injection of shRNA-CFB and Con-A administration. d The ALT levels in serum of mice exposed to Con-A for 8 h, n = 6. e Representative HE-stained mouse livers. Scale bar = 100 μm. f Liver sections of were immunofluorescent stained with TUNEL. Scale bar = 200 μm. g Left, representative immunofluorescent staining images for ly6b. Scale bar = 100 μm. Right, quantitative determination of ly6b+ cells among groups as indicated, n = 4. h Left, representative immunofluorescent staining images for C3d. Scale bar = 100 μm. Right, quantitative determination of C3d area in a field of vision, n = 4. i Representative immunostaining images for C5b-9. Scale bar = 100 μm. j Left, representative immunofluorescent staining images for F4/80 (white arrows). Scale bar = 100 μm. Right, quantitative determination of F4/80+ cells among groups as indicated, n = 4. *p < 0.05. k Schematic working model on the role of mTORC1 activation in hepatocytes and KCs in the pathogenesis of ALD. Image collected and cropped by CiteAb from the following open publication (https://pubmed.ncbi.nlm.nih.gov/36494334), licensed under a CC-BY license. Not internally tested by Novus Biologicals.Applications for Complement Factor B Antibody - BSA Free
Immunocytochemistry/ Immunofluorescence
Immunohistochemistry
Immunohistochemistry-Frozen
Immunohistochemistry-Paraffin
Simple Western
Western Blot
For IHC-Paraffin, HIER pH 6 retrieval is recommended. ICC/IF Fixation/Permeabilization: PFA/Triton X-100
In Simple Western only 10 - 15 uL of the recommended dilution is used per data point.
See Simple Western Antibody Database for Simple Western validation: Tested in Tonsil, separated by Size, antibody dilution of 1:20, apparent MW was 120 kDa. Separated by Size-Wes, Sally Sue/Peggy Sue.
Formulation, Preparation, and Storage
Purification
Formulation
Format
Preservative
Concentration
Shipping
Stability & Storage
Background: Complement Factor B
Alternate Names
Gene Symbol
Additional Complement Factor B Products
Product Documents for Complement Factor B Antibody - BSA Free
Certificate of Analysis
To download a Certificate of Analysis, please enter a lot or batch number in the search box below.
Product Specific Notices for Complement Factor B Antibody - BSA Free
This product is for research use only and is not approved for use in humans or in clinical diagnosis. Primary Antibodies are guaranteed for 1 year from date of receipt.
Related Research Areas
Citations for Complement Factor B Antibody - BSA Free
Customer Reviews for Complement Factor B Antibody - BSA Free
There are currently no reviews for this product. Be the first to review Complement Factor B Antibody - BSA Free and earn rewards!
Have you used Complement Factor B Antibody - BSA Free?
Submit a review and receive an Amazon gift card!
$25/€18/£15/$25CAN/¥2500 Yen for a review with an image
$10/€7/£6/$10CAN/¥1110 Yen for a review without an image
Submit a review
Protocols
Find general support by application which include: protocols, troubleshooting, illustrated assays, videos and webinars.
- Antigen Retrieval Protocol (PIER)
- Antigen Retrieval for Frozen Sections Protocol
- Appropriate Fixation of IHC/ICC Samples
- Cellular Response to Hypoxia Protocols
- Chromogenic IHC Staining of Formalin-Fixed Paraffin-Embedded (FFPE) Tissue Protocol
- Chromogenic Immunohistochemistry Staining of Frozen Tissue
- ClariTSA™ Fluorophore Kits
- Detection & Visualization of Antibody Binding
- Fluorescent IHC Staining of Frozen Tissue Protocol
- Graphic Protocol for Heat-induced Epitope Retrieval
- Graphic Protocol for the Preparation and Fluorescent IHC Staining of Frozen Tissue Sections
- Graphic Protocol for the Preparation and Fluorescent IHC Staining of Paraffin-embedded Tissue Sections
- Graphic Protocol for the Preparation of Gelatin-coated Slides for Histological Tissue Sections
- ICC Cell Smear Protocol for Suspension Cells
- ICC Immunocytochemistry Protocol Videos
- ICC for Adherent Cells
- IHC Sample Preparation (Frozen sections vs Paraffin)
- Immunocytochemistry (ICC) Protocol
- Immunocytochemistry Troubleshooting
- Immunofluorescence of Organoids Embedded in Cultrex Basement Membrane Extract
- Immunofluorescent IHC Staining of Formalin-Fixed Paraffin-Embedded (FFPE) Tissue Protocol
- Immunohistochemistry (IHC) and Immunocytochemistry (ICC) Protocols
- Immunohistochemistry Frozen Troubleshooting
- Immunohistochemistry Paraffin Troubleshooting
- Preparing Samples for IHC/ICC Experiments
- Preventing Non-Specific Staining (Non-Specific Binding)
- Primary Antibody Selection & Optimization
- Protocol for Heat-Induced Epitope Retrieval (HIER)
- Protocol for Making a 4% Formaldehyde Solution in PBS
- Protocol for VisUCyte™ HRP Polymer Detection Reagent
- Protocol for the Fluorescent ICC Staining of Cell Smears - Graphic
- Protocol for the Fluorescent ICC Staining of Cultured Cells on Coverslips - Graphic
- Protocol for the Preparation & Fixation of Cells on Coverslips
- Protocol for the Preparation and Chromogenic IHC Staining of Frozen Tissue Sections
- Protocol for the Preparation and Chromogenic IHC Staining of Frozen Tissue Sections - Graphic
- Protocol for the Preparation and Chromogenic IHC Staining of Paraffin-embedded Tissue Sections
- Protocol for the Preparation and Chromogenic IHC Staining of Paraffin-embedded Tissue Sections - Graphic
- Protocol for the Preparation and Fluorescent ICC Staining of Cells on Coverslips
- Protocol for the Preparation and Fluorescent ICC Staining of Non-adherent Cells
- Protocol for the Preparation and Fluorescent ICC Staining of Stem Cells on Coverslips
- Protocol for the Preparation and Fluorescent IHC Staining of Frozen Tissue Sections
- Protocol for the Preparation and Fluorescent IHC Staining of Paraffin-embedded Tissue Sections
- Protocol for the Preparation of Gelatin-coated Slides for Histological Tissue Sections
- Protocol for the Preparation of a Cell Smear for Non-adherent Cell ICC - Graphic
- R&D Systems Quality Control Western Blot Protocol
- TUNEL and Active Caspase-3 Detection by IHC/ICC Protocol
- The Importance of IHC/ICC Controls
- Troubleshooting Guide: Immunohistochemistry
- Troubleshooting Guide: Western Blot Figures
- Western Blot Conditions
- Western Blot Protocol
- Western Blot Protocol for Cell Lysates
- Western Blot Troubleshooting
- Western Blot Troubleshooting Guide
- View all Protocols, Troubleshooting, Illustrated assays and Webinars