Human CaM Kinase II gamma Antibody Summary
Ala448-Gln558
Accession # Q13555
Applications
Please Note: Optimal dilutions should be determined by each laboratory for each application. General Protocols are available in the Technical Information section on our website.
Scientific Data
View Larger
Detection of Human CaM Kinase II gamma by Western Blot. Western blot shows lysates of human brain tissue. PVDF membrane was probed with 1 µg/mL of Sheep Anti-Human CaM Kinase II gamma Antigen Affinity-purified Polyclonal Antibody (Catalog # AF7280) followed by HRP-conjugated Anti-Sheep IgG Secondary Antibody (Catalog # HAF016). A specific band was detected for CaM Kinase II gamma at approximately 55-65 kDa (as indicated). This experiment was conducted under reducing conditions and using Immunoblot Buffer Group 8.
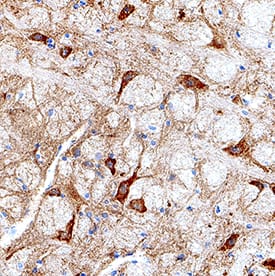
View Larger
CaM Kinase II gamma in Human Brain. CaM Kinase II ? was detected in immersion fixed paraffin-embedded sections of human brain (substantia nigra) using Sheep Anti-Human CaM Kinase II ? Antigen Affinity-purified Polyclonal Antibody (Catalog # AF7280) at 1 µg/mL overnight at 4 °C. Tissue was stained using the Anti-Sheep HRP-DAB Cell & Tissue Staining Kit (brown; Catalog # CTS019) and counterstained with hematoxylin (blue). Specific staining was localized to cytoplasm in neurons. View our protocol for Chromogenic IHC Staining of Paraffin-embedded Tissue Sections.
View Larger
CaM Kinase II gamma in Mouse Brain. CaM Kinase II ? was detected in perfusion fixed frozen sections of mouse brain (brainstem) using Sheep Anti-Human CaM Kinase II ? Antigen Affinity-purified Polyclonal Antibody (Catalog # AF7280) at 1 µg/mL overnight at 4 °C. Tissue was stained using the Anti-Sheep HRP-DAB Cell & Tissue Staining Kit (brown; Catalog # CTS019) and counterstained with hematoxylin (blue). Specific staining was localized to cytoplasm in neurons. View our protocol for Chromogenic IHC Staining of Frozen Tissue Sections.
Reconstitution Calculator
Preparation and Storage
- 12 months from date of receipt, -20 to -70 °C as supplied.
- 1 month, 2 to 8 °C under sterile conditions after reconstitution.
- 6 months, -20 to -70 °C under sterile conditions after reconstitution.
Background: CaM Kinase II gamma
Calcium/calmodulin-dependent protein kinase type II gamma (CaMKII gamma ) belongs to a family of multifunctional serine/threonine kinases activated in response to increases in intracellular calcium. There are 4 CaMKII isozymes, alpha, beta, gamma, and δ, and each can yield several isoforms through alternative splicing. CaMKII isoforms assemble into homo- or heteromultimeric holoenzymes composed of 8 to 12 subunits. The widely expressed CaMKII gamma from human, mouse, and rat share 100% aa sequence identity within aa 448-558 of isoform 1.
Product Datasheets
FAQs
No product specific FAQs exist for this product, however you may
View all Antibody FAQsReviews for Human CaM Kinase II gamma Antibody
There are currently no reviews for this product. Be the first to review Human CaM Kinase II gamma Antibody and earn rewards!
Have you used Human CaM Kinase II gamma Antibody?
Submit a review and receive an Amazon gift card.
$25/€18/£15/$25CAN/¥75 Yuan/¥2500 Yen for a review with an image
$10/€7/£6/$10 CAD/¥70 Yuan/¥1110 Yen for a review without an image
