PP14/Glycodelin Antibody - BSA Free
Novus Biologicals | Catalog # NBP1-89781
Loading...
Key Product Details
Validated by
Orthogonal Validation, Independent Antibodies
Species Reactivity
Human
Applications
Immunohistochemistry, Immunohistochemistry-Paraffin, Western Blot
Label
Unconjugated
Antibody Source
Polyclonal Rabbit IgG
Format
BSA Free
Loading...
Product Specifications
Immunogen
This antibody was developed against Recombinant Protein corresponding to amino acids: QDLELPKLAGTWHSMAMATNNISLMATLKAPLRVHITSLLPTPEDNLEIVLHRWENNSCVEKKVLGEKTENPKKFKI
Clonality
Polyclonal
Host
Rabbit
Isotype
IgG
Description
Novus Biologicals Rabbit PP14/Glycodelin Antibody - BSA Free (NBP1-89781) is a polyclonal antibody validated for use in IHC and WB. All Novus Biologicals antibodies are covered by our 100% guarantee.
Scientific Data Images for PP14/Glycodelin Antibody - BSA Free
Immunohistochemistry-Paraffin: PP14/Glycodelin Antibody [NBP1-89781]
Immunohistochemistry-Paraffin: PP14/Glycodelin Antibody [NBP1-89781] - Staining of human cerebral cortex, endometrium, prostate and testis using Anti-PP14/Glycodelin antibody NBP1-89781 (A) shows similar protein distribution across tissues to independent antibody NBP1-89782 (B).Immunohistochemistry-Paraffin: PP14/Glycodelin Antibody - BSA Free [NBP1-89781]
Staining of human endometrium shows moderate cytoplasmic positivity in glandular cells.Immunohistochemistry-Paraffin: PP14/Glycodelin Antibody [NBP1-89781]
Immunohistochemistry-Paraffin: PP14/Glycodelin Antibody [NBP1-89781] - Staining of human prostate shows no positivity in glandular cells as expected.Immunohistochemistry-Paraffin: PP14/Glycodelin Antibody [NBP1-89781]
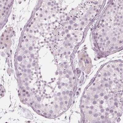
Immunohistochemistry-Paraffin: PP14/Glycodelin Antibody [NBP1-89781] - Staining of human testis shows no positivity in cells in seminiferous ducts as expected.Immunohistochemistry-Paraffin: PP14/Glycodelin Antibody - BSA Free [NBP1-89781]
Staining of human cerebral cortex shows no positivity in neurons as expected.Western Blot: PP14/Glycodelin Antibody - BSA Free [NBP1-89781]
Analysis in human placenta tissue.Applications for PP14/Glycodelin Antibody - BSA Free
Application
Recommended Usage
Immunohistochemistry
1:1000 - 1:2500
Immunohistochemistry-Paraffin
1:1000 - 1:2500
Western Blot
0.04-0.4 ug/ml
Application Notes
For IHC-Paraffin, HIER pH 6 retrieval is recommended.
Formulation, Preparation, and Storage
Purification
Affinity purified
Formulation
PBS (pH 7.2) and 40% Glycerol
Format
BSA Free
Preservative
0.02% Sodium Azide
Concentration
Concentrations vary lot to lot. See vial label for concentration. If unlisted please contact technical services.
Shipping
The product is shipped with polar packs. Upon receipt, store it immediately at the temperature recommended below.
Stability & Storage
Store at 4C short term. Aliquot and store at -20C long term. Avoid freeze-thaw cycles.
Background: PP14/Glycodelin
Long Name
Placental Protein 14
Alternate Names
Glycodelin, PAEP
Gene Symbol
PAEP
Additional PP14/Glycodelin Products
Product Documents for PP14/Glycodelin Antibody - BSA Free
Product Specific Notices for PP14/Glycodelin Antibody - BSA Free
This product is for research use only and is not approved for use in humans or in clinical diagnosis. Primary Antibodies are guaranteed for 1 year from date of receipt.
Related Research Areas
Customer Reviews for PP14/Glycodelin Antibody - BSA Free
There are currently no reviews for this product. Be the first to review PP14/Glycodelin Antibody - BSA Free and earn rewards!
Have you used PP14/Glycodelin Antibody - BSA Free?
Submit a review and receive an Amazon gift card!
$25/€18/£15/$25CAN/¥2500 Yen for a review with an image
$10/€7/£6/$10CAN/¥1110 Yen for a review without an image
Submit a review
Protocols
Find general support by application which include: protocols, troubleshooting, illustrated assays, videos and webinars.
- Antigen Retrieval Protocol (PIER)
- Antigen Retrieval for Frozen Sections Protocol
- Appropriate Fixation of IHC/ICC Samples
- Cellular Response to Hypoxia Protocols
- Chromogenic IHC Staining of Formalin-Fixed Paraffin-Embedded (FFPE) Tissue Protocol
- Chromogenic Immunohistochemistry Staining of Frozen Tissue
- Detection & Visualization of Antibody Binding
- Fluorescent IHC Staining of Frozen Tissue Protocol
- Graphic Protocol for Heat-induced Epitope Retrieval
- Graphic Protocol for the Preparation and Fluorescent IHC Staining of Frozen Tissue Sections
- Graphic Protocol for the Preparation and Fluorescent IHC Staining of Paraffin-embedded Tissue Sections
- Graphic Protocol for the Preparation of Gelatin-coated Slides for Histological Tissue Sections
- IHC Sample Preparation (Frozen sections vs Paraffin)
- Immunofluorescent IHC Staining of Formalin-Fixed Paraffin-Embedded (FFPE) Tissue Protocol
- Immunohistochemistry (IHC) and Immunocytochemistry (ICC) Protocols
- Immunohistochemistry Frozen Troubleshooting
- Immunohistochemistry Paraffin Troubleshooting
- Preparing Samples for IHC/ICC Experiments
- Preventing Non-Specific Staining (Non-Specific Binding)
- Primary Antibody Selection & Optimization
- Protocol for Heat-Induced Epitope Retrieval (HIER)
- Protocol for Making a 4% Formaldehyde Solution in PBS
- Protocol for VisUCyte™ HRP Polymer Detection Reagent
- Protocol for the Preparation & Fixation of Cells on Coverslips
- Protocol for the Preparation and Chromogenic IHC Staining of Frozen Tissue Sections
- Protocol for the Preparation and Chromogenic IHC Staining of Frozen Tissue Sections - Graphic
- Protocol for the Preparation and Chromogenic IHC Staining of Paraffin-embedded Tissue Sections
- Protocol for the Preparation and Chromogenic IHC Staining of Paraffin-embedded Tissue Sections - Graphic
- Protocol for the Preparation and Fluorescent IHC Staining of Frozen Tissue Sections
- Protocol for the Preparation and Fluorescent IHC Staining of Paraffin-embedded Tissue Sections
- Protocol for the Preparation of Gelatin-coated Slides for Histological Tissue Sections
- R&D Systems Quality Control Western Blot Protocol
- TUNEL and Active Caspase-3 Detection by IHC/ICC Protocol
- The Importance of IHC/ICC Controls
- Troubleshooting Guide: Immunohistochemistry
- Troubleshooting Guide: Western Blot Figures
- Western Blot Conditions
- Western Blot Protocol
- Western Blot Protocol for Cell Lysates
- Western Blot Troubleshooting
- Western Blot Troubleshooting Guide
- View all Protocols, Troubleshooting, Illustrated assays and Webinars
Loading...