Recombinant Human FGF basic/FGF2 (145 aa) GMP Protein, CF
Recombinant Human FGF basic/FGF2 (145 aa) GMP Protein, CF Summary
Product Specifications
The specific activity of Recombinant Human FGF basic/FGF2 GMP is >8.0 x 105 IU/mg, which is calibrated against the human FGF basic/FGF2 WHO International Standard (NIBSC code: 90/712).
Pro143-Ser288
Produced using non-animal reagents in an animal-free laboratory. Manufactured and tested under cGMP guidelines.
Analysis
Ala144-Leu-Pro-Glu-Asp-Gly-Gly-Ser-Gly-Ala
Product Datasheets
Carrier Free
CF stands for Carrier Free (CF). We typically add Bovine Serum Albumin (BSA) as a carrier protein to our recombinant proteins. Adding a carrier protein enhances protein stability, increases shelf-life, and allows the recombinant protein to be stored at a more dilute concentration. The carrier free version does not contain BSA.
In general, we advise purchasing the recombinant protein with BSA for use in cell or tissue culture, or as an ELISA standard. In contrast, the carrier free protein is recommended for applications, in which the presence of BSA could interfere.
3718-GMP
| Formulation | Lyophilized from a 0.2 μm filtered solution in Tris-HCl and NaCl. |
| Reconstitution | Reconstitute at 100-200 μg/mL in PBS. |
| Shipping | The product is shipped with polar packs. Upon receipt, store it immediately at the temperature recommended below. |
| Stability & Storage: | Use a manual defrost freezer and avoid repeated freeze-thaw cycles.
|
Scientific Data
View Larger
GMP-grade Recombinant Human FGF basic/FGF2 (Catalog # 3718-GMP) stimulates proliferation of the NR6R‑3T3 mouse fibroblast cell line. The ED50 for this effect is 0.1-0.6 ng/mL.
View Larger
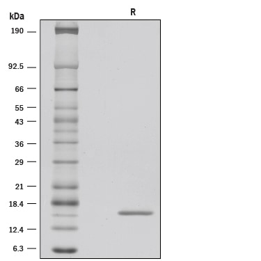
1 μg/lane of Recombinant Human GMP-grade FGF basic/FGF2 was resolved with SDS-PAGE under reducing (R) conditions and visualized by silver staining, showing a single band at 16 kDa.
View Larger
MALDI-TOF analysis of GMP-grade Recombinant Human FGF-basic/FGF2 (Catalog # 3718-GMP). The peaks at 16312 and 16409 correspond to the measured molecular weight of the intact protein. The calculated mass is 16311 Da for Ala144-Ser288 and 16408 Da for Pro143-Ser288.
Reconstitution Calculator
Background: FGF basic/FGF2/bFGF
FGF basic (also known as FGF2 and HBGF-2) is an 18-34 kDa, heparin-binding member of the FGF superfamily of molecules (1-3). Superfamily members are characterized by the presence of a centrally placed beta -trefoil structure. FGF acidic (FGF-1) and FGF basic (FGF2) were the first two identified FGFs, and the designations acidic and basic refer to their relative isoelectric points. Human FGF basic is 288 amino acids (aa) in length. There are multiple start sites, four of which utilize atypical CUG codons, and one that initiates at an AUG start site (4 - 6). The four CUG start sites generate high molecular weight (HMW) FGF basic. There is a 34 kDa, 288 aa form, a 24 kDa, 210 aa form, a 22.5 kDa, 201 aa form, and a 22 kDa, 196 aa form. All are retained intracellularly, undergo extensive methylation, and possess one or more nuclear localization signals (NLS) (7-9). The AUG initiating form is 18 kDa and 155 aa in length. There is no signal sequence (ss). It is, however, secreted directly through the plasma membrane via a mechanism that appears to be dependent upon tertiary structure (10). In place of a ss, there is purportedly a 9 aa N-terminal prosegment that precedes a 146 aa mature segment (11). Early isolations of 18 kDa bovine FGF basic yielded 146 aa molecules, an effect attributed to the presence of acid proteases (12). The molecule contains a heparin-binding site (aa residues 128-144), and undergoes phosphorylation at Ser117 (13). There is also an ill-defined C-terminal NLS that may be more “functional” (or 3-dimensional) than structural (7). Human 146 aa FGF basic is 97% aa identical to mouse FGF basic (14).
- Sorenson, V. et al. (2006) BioEssays 28:504.
- Kardami, E. et al. (2004) Cardiovasc. Res. 63:458.
- Nugent, M.A. and R.V. Lozzo (2000) Int. J. Biochem. Cell Biol. 32:115.
- Abraham, J.A. et al. (1986) EMBO J. 5:2523.
- Prats, H. et al. (1989) Proc. Natl. Acad. Sci. USA 86:1836.
- Arnaud, E. et al. (1999) Mol. Cell. Biol. 19:505.
- Foletti, A. et al. (2003) Cell. Mol. Life Sci. 60:2254.
- Arese, M. et al. (1999) Mol. Biol. Cell 10:1429.
- Pintucci, G. et al. (1996) Mol. Biol. Cell 7:1249.
- Nickel, W. (2005) Traffic 6:607.
- SwissProt # P09038.
- Klagsbrun, M. et al. (1987) Proc. Natl. Acad. Sci. USA 84:1839.
- Bailly, K. et al. (2000) FASEB J. 14:333.
- Hebert, J.M. et al. (1990) Dev. Biol. 138:454.
Manufacturing Specifications
GMP ProteinsR&D Systems, a Bio-Techne Brand's GMP proteins are produced according to relevant sections of the following documents: USP Chapter 1043, Ancillary Materials for Cell, Gene and Tissue-Engineered Products and Eu. Ph. 5.2.12, Raw Materials of Biological Origin for the Production of Cell-based and Gene Therapy Medicinal Products.
R&D Systems' quality focus includes:
- Manufactured and tested under an ISO 9001:2015 and ISO 13485:2016 certified quality system
- Documented processes and QA control of documentation and process changes
- Personnel training programs
- Raw material testing and vendor qualification/monitoring
- Fully validated equipment, processes and test methods
- Equipment calibration schedules using a computerized calibration program
- Facility maintenance, safety programs and pest control
- Material review process for variances
- Monitoring of stability over product shelf-life
- N-terminal amino acid analysis, SDS-PAGE analysis, and endotoxin level (as determined by LAL assay) performed on each bulk QC lot, not on individual bottlings of each QC lot
- Post-bottling lot-specific bioassay results (compliance with an established range) and results of microbial testing according to USP
- Host Cell Protein testing performed by ELISA
- Mycoplasma testing by ribosomal RNA hybridization assay
Production records and facilities are available for examination by appropriate personnel on-site at R&D Systems in Minneapolis, Minnesota USA.
R&D Systems sells GMP grade products for preclinical or clinical ex vivo use. They are not for in vivo use. Please read the following End User Terms prior to using this product.
Animal-Free Manufacturing Conditions
Our dedicated controlled-access animal-free laboratories ensure that at no point in production are the products exposed to potential contamination by animal components or byproducts. Every stage of manufacturing is conducted in compliance with R&D Systems' stringent Standard Operating Procedures (SOPs). Production and purification procedures use equipment and media that are confirmed animal-free.
Production
- All molecular biology procedures use animal-free media and dedicated labware.
- Dedicated fermentors are utilized in committed animal-free areas.
- Protein purification columns are animal-free.
- Bulk proteins are filtered using animal-free filters.
- Purified proteins are stored in animal-free containers in a dedicated cold storage room.
Quality Assurance
- Low Endotoxin Level.
- No impairment of biological activity.
- High quality product obtained under stringent conditions.
Please read our complete Animal-Free Statement
Product Specific Notices
Full terms and conditions of sale can be found online in the Protein Sciences Segment T&Cs at: Terms & Conditions.Citations for Recombinant Human FGF basic/FGF2 (145 aa) GMP Protein, CF
R&D Systems personnel manually curate a database that contains references using R&D Systems products. The data collected includes not only links to publications in PubMed, but also provides information about sample types, species, and experimental conditions.
3
Citations: Showing 1 - 3
Filter your results:
Filter by:
-
Analysis of cellular responses following interaction with extracellular vesicles derived from HEK293T and human adipose derived stem cells
Authors: Zhang, W;Obuchi, S;Teramura, Y;
Scientific reports
Species: Human
Sample Types: Whole Cells
Applications: Bioassay -
Transcription factor ZIC2 regulates the tumorigenic phenotypes associated with both bulk and cancer stem cells in epithelial ovarian cancer
Authors: Chen, H;Lee, LJ;Vincent, KM;Xu, Z;Liu, J;Zhang, G;Nakevska, Z;Smith, D;Lee, CH;Postovit, LM;Fu, Y;
Oncogene
Species: Human
Sample Types: Whole Cells
Applications: Bioassay -
Acetyl-CoA is a key molecule for nephron progenitor cell pool maintenance
Authors: Diniz, F;Ngo, NYN;Colon-Leyva, M;Edgington-Giordano, F;Hilliard, S;Zwezdaryk, K;Liu, J;El-Dahr, SS;Tortelote, GG;
Nature communications
Species: Transgenic Mouse
Sample Types: Whole Cells
Applications: Bioassay
FAQs
-
What receptors does FGF basic bind?
FGF receptor specificity has been reviewed in multiple citations. Please find more information at: //www.rndsystems.com/resources/articles/fibroblast-growth-factors-and-their-receptors
-
Does human FGF basic show activity on mouse cells?
Yes, it does. The bioassay uses NR-6 mouse fibroblast cells. There is 95% homology between the human and mouse protein and 98% homology between the human and mouse receptor.
-
What is the difference between 233-GMP and 3718-GMP?
233-GMP has >97% purity and an endotoxin level of <0.10 EU per 1 μg, while 3718-GMP has >95% purity and an endotoxin level of <0.01 EU per 1 μg. Both are tested in the same bioassay and exhibit the same ED50 range. 233-GMP has an N-terminal Ala in addition to the sequence 3718-GMP has. The N-terminal alanine present on our 233-GMP (146 aa) is an artifact from the expression of the recombinant protein.
Reviews for Recombinant Human FGF basic/FGF2 (145 aa) GMP Protein, CF
There are currently no reviews for this product. Be the first to review Recombinant Human FGF basic/FGF2 (145 aa) GMP Protein, CF and earn rewards!
Have you used Recombinant Human FGF basic/FGF2 (145 aa) GMP Protein, CF?
Submit a review and receive an Amazon gift card.
$25/€18/£15/$25CAN/¥75 Yuan/¥2500 Yen for a review with an image
$10/€7/£6/$10 CAD/¥70 Yuan/¥1110 Yen for a review without an image
