Recombinant Human FGF basic/FGF2 (146 aa) GMP Protein, CF Summary
Product Specifications
The specific activity of Recombinant Human FGF basic/FGF2 GMP is >8.0 x 105 IU/mg, which is calibrated against the human FGF basic/FGF2 WHO International Standard (NIBSC code: 90/712).
Pro143-Ser288, with an N-terminal Ala
Produced using non-animal reagents in an animal-free laboratory.
Manufactured and tested under cGMP guidelines.
Analysis
Product Datasheets
Carrier Free
CF stands for Carrier Free (CF). We typically add Bovine Serum Albumin (BSA) as a carrier protein to our recombinant proteins. Adding a carrier protein enhances protein stability, increases shelf-life, and allows the recombinant protein to be stored at a more dilute concentration. The carrier free version does not contain BSA.
In general, we advise purchasing the recombinant protein with BSA for use in cell or tissue culture, or as an ELISA standard. In contrast, the carrier free protein is recommended for applications, in which the presence of BSA could interfere.
233-GMP
| Formulation | Lyophilized from a 0.2 μm filtered solution in Tris-HCl and NaCl. |
| Reconstitution | Reconstitute at 100 μg/mL in PBS. |
| Shipping | The product is shipped with polar packs. Upon receipt, store it immediately at the temperature recommended below. |
| Stability & Storage: | Use a manual defrost freezer and avoid repeated freeze-thaw cycles.
|
Scientific Data
View Larger
GMP‑grade Recombinant Human FGF basic/FGF2 (Catalog # 233-GMP) stimulates proliferation of the NR6R‑3T3 mouse fibroblast cell line. The ED50 is 0.1-0.6 ng/mL. Three independent lots were tested for activity and plotted on the same graph to show lot-to-lot consistency of GMP FGF basic/FGF2.
View Larger
Equivalent bioactivity of GMP (Catalog # 233-GMP) and Animal-Free (AFL233) grades of Recombinant Human FGF basic as measured in a cell proliferation assay using NR6R‑3T3 mouse fibroblast cells (orange and green, respectively).
View Larger
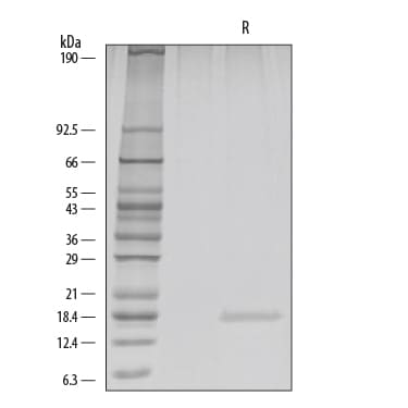
1 µg/lane of GMP-grade Recombinant Human FGF basic/FGF2 (Catalog # 233-GMP) was resolved by SDS-PAGE with silver staining, under reducing (R) conditions, showing a single band at 17 kDa.
View Larger
MALDI‑TOF analysis of GMP‑grade Recombinant Human FGF basic/FGF2 (Catalog # 233-GMP). The major peak corresponds to the calculated molecular mass, 16479 Da. The minor peak at 16691 Da is a matrix-associated artifact of the MALDI-TOF.
Reconstitution Calculator
Background: FGF basic/FGF2/bFGF
FGF basic (also known as FGF2 and HBGF-2) is a member of the FGF family of at least 23 related mitogenic proteins which show 35-60% amino acid conservation. FGF acidic and basic, unlike the other members of the family, lack signal peptides and are apparently secreted by mechanisms other than the classical protein secretion pathway. FGF basic has been isolated from a number of sources, including neural tissue, pituitary, adrenal cortex, corpus luteum, and placenta. This factor contains four cysteine residues, but reduced FGF basic retains full biological activity, indicating that disulfide bonds are not required for this activity. A variety of forms of FGF basic are produced as a result of N-terminal extensions. These extensions affect localization of FGF basic in cellular compartments but do not affect biological activity. Binding of FGF to heparin or cell surface heparan sulfate proteoglycans is necessary for binding of FGF to high affinity FGF receptors. FGF acidic and basic appear to bind to the same high affinity receptors and show a similar range of biological activities. FGF basic stimulates the proliferation of all cells of mesodermal origin and many cells of neuroectodermal, ectodermal, and endodermal origin. FGF basic induces neuron differentiation, survival, and regeneration. FGF basic also modulates embryonic development and differentiation. These observed in vitro functions of FGF basic suggest FGF basic may play a role in vivo in the modulation of such normal processes as angiogenesis, wound healing and tissue repair, embryonic development and differentiation, and neuronal function and neural degeneration. Additionally, FGF basic may participate in the production of a variety of pathological conditions resulting from excessive cell proliferation and excessive angiogenesis.
- Coulier, F. et al. (1997) J. Mol. Evol. 44:43.
- Chen, C.H. et al. (2004) Curr. Vasc. Pharmacol. 2:33.
- Mohammadi, M. et al. (2005) Curr. Opin. Struct. Biol. 15:506.
- Fernig, D. et al. (1994) Prog. Growth Factor Res. 5:353.
Manufacturing Specifications
GMP ProteinsR&D Systems, a Bio-Techne Brand's GMP proteins are produced according to relevant sections of the following documents: USP Chapter 1043, Ancillary Materials for Cell, Gene and Tissue-Engineered Products and Eu. Ph. 5.2.12, Raw Materials of Biological Origin for the Production of Cell-based and Gene Therapy Medicinal Products.
R&D Systems' quality focus includes:
- Manufactured and tested under an ISO 9001:2015 and ISO 13485:2016 certified quality system
- Documented processes and QA control of documentation and process changes
- Personnel training programs
- Raw material testing and vendor qualification/monitoring
- Fully validated equipment, processes and test methods
- Equipment calibration schedules using a computerized calibration program
- Facility maintenance, safety programs and pest control
- Material review process for variances
- Monitoring of stability over product shelf-life
- N-terminal amino acid analysis, SDS-PAGE analysis, mass spectrometry results, and endotoxin level (as determined by LAL assay) performed on each bulk QC lot, not on individual bottlings of each QC lot
- Post-bottling lot-specific bioassay results (compliance with an established range) and results of microbial testing according to USP
- Host Cell Protein testing performed by ELISA
- Mycoplasma testing by ribosomal RNA hybridization assay
Production records and facilities are available for examination by appropriate personnel on-site at R&D Systems in Minneapolis, Minnesota USA.
R&D Systems sells GMP grade products for preclinical or clinical ex vivo use. They are not for in vivo use. Please read the following End User Terms prior to using this product.
Animal-Free Manufacturing Conditions
Our dedicated controlled-access animal-free laboratories ensure that at no point in production are the products exposed to potential contamination by animal components or byproducts. Every stage of manufacturing is conducted in compliance with R&D Systems' stringent Standard Operating Procedures (SOPs). Production and purification procedures use equipment and media that are confirmed animal-free.
Production
- All molecular biology procedures use animal-free media and dedicated labware.
- Dedicated fermentors are utilized in committed animal-free areas.
- Protein purification columns are animal-free.
- Bulk proteins are filtered using animal-free filters.
- Purified proteins are stored in animal-free containers in a dedicated cold storage room.
Quality Assurance
- Low Endotoxin Level.
- No impairment of biological activity.
- High quality product obtained under stringent conditions.
Product Specific Notices
Full terms and conditions of sale can be found online in the Protein Sciences Segment T&Cs at: Terms & Conditions.Citation for Recombinant Human FGF basic/FGF2 (146 aa) GMP Protein, CF
R&D Systems personnel manually curate a database that contains references using R&D Systems products. The data collected includes not only links to publications in PubMed, but also provides information about sample types, species, and experimental conditions.
1 Citation: Showing 1 - 1
-
Neural stem cell transplantation in patients with progressive multiple sclerosis: an open-label, phase 1 study
Authors: A Genchi, E Brambilla, F Sangalli, M Radaelli, M Bacigalupp, R Furlan, A Andolfo, D Drago, C Magagnotti, GM Scotti, R Greco, P Vezzulli, L Ottoboni, M Bonopane, D Capilupo, F Ruffini, D Belotti, B Cabiati, S Cesana, G Matera, L Leocani, V Martinelli, L Moiola, L Vago, P Panina-Bor, A Falini, F Ciceri, A Uglietti, MP Sormani, G Comi, MA Battaglia, MA Rocca, L Storelli, E Pagani, G Gaipa, G Martino
Nature Medicine, 2023-01-09;29(1):75-85.
Species: Human
Sample Types: Whole Cells
Applications: Bioassay
FAQs
-
What receptors does FGF basic bind?
FGF receptor specificity has been reviewed in multiple citations. Please find more information at: //www.rndsystems.com/resources/articles/fibroblast-growth-factors-and-their-receptors
-
Does human FGF basic show activity on mouse cells?
Yes, it does. The bioassay uses NR-6 mouse fibroblast cells. There is 95% homology between the human and mouse protein and 98% homology between the human and mouse receptor.
-
What is the difference between 233-GMP and 3718-GMP?
233-GMP has >97% purity and an endotoxin level of <0.10 EU per 1 μg, while 3718-GMP has >95% purity and an endotoxin level of <0.01 EU per 1 μg. Both are tested in the same bioassay and exhibit the same ED50 range. 233-GMP has an N-terminal Ala in addition to the sequence 3718-GMP has. The N-terminal alanine present on our 233-GMP (146 aa) is an artifact from the expression of the recombinant protein.
Reviews for Recombinant Human FGF basic/FGF2 (146 aa) GMP Protein, CF
Average Rating: 5 (Based on 1 Review)
Have you used Recombinant Human FGF basic/FGF2 (146 aa) GMP Protein, CF?
Submit a review and receive an Amazon gift card.
$25/€18/£15/$25CAN/¥75 Yuan/¥2500 Yen for a review with an image
$10/€7/£6/$10 CAD/¥70 Yuan/¥1110 Yen for a review without an image
Filter by:
