
IL‑6 R alpha in Mouse Thymus.
Interleukin-6 Receptor alpha (IL‑6 R alpha) was detected in perfusion fixed frozen sections of mouse thymus using Mouse IL‑6 R alpha Antigen Affinity-purified Polyclonal Antibody (Catalog # AF1830) at 15 µg/mL overnight at 4 °C. Tissue was stained using the Anti-Goat HRP-DAB Cell & Tissue Staining Kit (brown; Catalog # CTS008) and counterstained with hematoxylin (blue). Lower panel shows a lack of labeling if primary antibodies are omitted and tissue is stained only with secondary antibody followed by incubation with detection reagents. View our protocol for Chromogenic IHC Staining of Frozen Tissue Sections.
Secondary Antibodies
R&D Systems offers a wide range of biotinylated, HRP-conjugated, fluorochrome-labeled, and unlabeled species-specific secondary antibodies. Our NorthernLights™ fluorescent secondary antibodies are available with three distinct excitation and emission maxima, making them ideal for multi-color fluorescence microscopy.

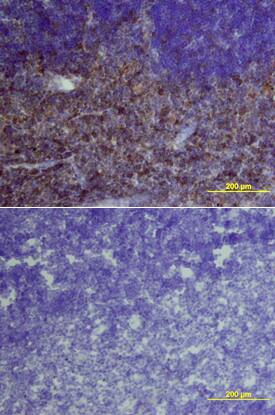
IL-6 R alpha in Mouse Thymus.
Interleukin-6 Receptor alpha (IL-6 R alpha) was detected in perfusion fixed frozen sections of mouse thymus using Mouse IL-6 R alpha Antigen Affinity-purified Polyclonal Antibody (Catalog # AF1830) at 15 µg/mL overnight at 4 °C. Tissue was stained using the Anti-Goat HRP-DAB Cell & Tissue Staining Kit (brown; Catalog # CTS008) and counterstained with hematoxylin (blue). View our protocol for Chromogenic IHC Staining of Frozen Tissue Sections.