
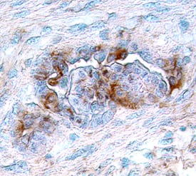
VEGF Receptor 3/Flt-4 in Human Uterine Cancer Tissue.
Vascular Endothelial Growth Factor Receptor 3 (VEGF R3)/Flt-4 was detected in immersion fixed paraffin-embedded sections of human uterine cancer tissue using Human VEGF R3 Antigen Affinity-purified Polyclonal Antibody (Catalog # AF349) at 15 µg/mL overnight at 4 °C. Tissue was stained using the Anti-Goat HRP-DAB Cell & Tissue Staining Kit (brown; Catalog # CTS008) and counterstained with hematoxylin (blue). Specific labeling was localized to the cytoplasm of glandular epithelial cells. View our protocol for Chromogenic IHC Staining of Paraffin-embedded Tissue Sections.
This antibody specifically recognizes human VEGF R3. In Western blot experiments, this antibody shows approximately 15% cross-reactivity with recombinant mouse VEGF R3 and less than 2% cross-reactivity with recombinant human VEGF R1.
Secondary Antibodies
R&D Systems offers a wide range of biotinylated, HRP-conjugated, fluorochrome-labeled, and unlabeled species-specific secondary antibodies. Our NorthernLights™ fluorescent secondary antibodies are available with three distinct excitation and emission maxima, making them ideal for multi-color fluorescence microscopy.