Human B7-2/CD86 Antibody Summary
Leu26-Pro247
Accession # NP_787058
Applications
Please Note: Optimal dilutions should be determined by each laboratory for each application. General Protocols are available in the Technical Information section on our website.
Scientific Data
View Larger
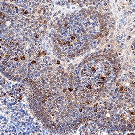
B7‑2/CD86 in Human Appendix. B7‑2/CD86 was detected in immersion fixed paraffin-embedded sections of human appendix using Mouse Anti-Human B7‑2/CD86 Monoclonal Antibody (Catalog # MAB108521) at 5 µg/mL for 1 hour at room temperature followed by incubation with the Anti-Mouse IgG VisUCyte™ HRP Polymer Antibody (VC001). Before incubation with the primary antibody, tissue was subjected to heat-induced epitope retrieval using Antigen Retrieval Reagent-Basic (CTS013). Tissue was stained using DAB (brown) and counterstained with hematoxylin (blue). Specific staining was localized to lymphocytes in appendix. Staining was performed using our protocol for IHC Staining with VisUCyte HRP Polymer Detection Reagents.
Reconstitution Calculator
Preparation and Storage
- 12 months from date of receipt, -20 to -70 °C as supplied.
- 1 month, 2 to 8 °C under sterile conditions after reconstitution.
- 6 months, -20 to -70 °C under sterile conditions after reconstitution.
Background: B7-2/CD86
B7-2, also known as CD86, B70, and ETC-1, is a 60-100 kDa variably glycosylated protein in the B7 family. B7 family members are transmembrane cell surface molecules that play important roles in immune activation and the maintenance of immune tolerance (1, 2). Mature human B7-2 consists of a 224 amino acid (aa) extracellular domain (ECD) with two Ig-like domains, a 21 aa transmembrane segment, and a 61 aa cytoplasmic tail (3, 4). Within the ECD, human B7-2 shares 59% aa sequence identity with mouse and rat B7-2. Alternative splicing of human B7-2 generates additional isoforms that lack both Ig-like domains or a region that includes the transmembrane segment. B7-2 is highly expressed on activated antigen presenting cells (APC), e.g. B cells, dendritic cells, and monocytes (4-7), as well as on vascular endothelial cells (8). B7-2 and the closely related B7-1/CD80 exhibit overlapping but distinct functional properties. Their binding to CD28, which is constitutively expressed on T cells, enhances T cell receptor signaling and also provides TCR-independent co-stimulation (3-5, 7, 9-11). B7-1 and B7-2 additionally bind the CD28-related protein, CTLA-4, which is up-regulated and recruited to the immunological synapse (IS) at the onset of T cell activation (3-5, 7, 9, 10). CTLA-4 ligation inhibits the T cell response and supports regulatory T cell function (12). B7-2 is expressed earlier than B7-1 following APC activation (6), and both proteins bind with higher affinity to CTLA-4 than to CD28 (10). B7-2 promotes the stabilization of CD28 in the IS, while B7-1 is primarily responsible for promoting CTLA-4 recruitment and accumulation in the IS (13). The relative participation of B7-1 and B7-2 in T cell co-stimulation can also alter the Th1/Th2 bias of the immune response (14). Both B7-1 and B7-2 serve as cellular receptors for B species adenoviruses (15).
- Greenwald, R.J. et al. (2005) Annu. Rev. Immunol. 23:515.
- Bour-Jordan, H. et al. (2011) Immunol. Rev. 241:180.
- Freeman, G.J. et al. (1993) Science 262:909.
- Azuma, M. et al. (1993) Nature 366:76.
- Freeman, G.J. et al. (1993) J. Exp. Med. 178:2185.
- Lenschow, D.J. et al. (1993) Proc. Natl. Acad. Sci. USA 90:11054.
- Hathcock, K.S. et al. (1993) Science 262:905.
- Seino, K. et al. (1995) Int. Immunol. 7:1331.
- Chen, C. et al. (1994) J. Immunol. 152:4929.
- Lanier, L.L. et al. (1995) J. Immunol. 154:97.
- Rudd, C.E. et al. (2009) Immunol. Rev. 229:12.
- Wing, K. et al. (2011) Trends Immunol. 32:428.
- Pentcheva-Hoang, T. et al. (2004) Immunity 21:401.
- Kuchroo, V.K. et al. (1995) Cell 80:707.
- Short, J.J. et al. (2006) Virus Res. 122:144.
Product Datasheets
FAQs
No product specific FAQs exist for this product, however you may
View all Antibody FAQsReviews for Human B7-2/CD86 Antibody
There are currently no reviews for this product. Be the first to review Human B7-2/CD86 Antibody and earn rewards!
Have you used Human B7-2/CD86 Antibody?
Submit a review and receive an Amazon gift card.
$25/€18/£15/$25CAN/¥75 Yuan/¥2500 Yen for a review with an image
$10/€7/£6/$10 CAD/¥70 Yuan/¥1110 Yen for a review without an image
