Human beta -Synuclein Antibody Summary
Gly47-Glu120
Accession # Q16143
Applications
Please Note: Optimal dilutions should be determined by each laboratory for each application. General Protocols are available in the Technical Information section on our website.
Scientific Data
View Larger
Detection of Human beta -Synuclein by Western Blot. Western blot shows lysates of human hippocampal tissue. PVDF membrane was probed with 2 µg/mL of Mouse Anti-Human beta -Synuclein Monoclonal Antibody (Catalog # MAB5528) followed by HRP-conjugated Anti-Mouse IgG Secondary Antibody (HAF007). A specific band was detected for beta -Synuclein at approximately 20 kDa (as indicated). This experiment was conducted under reducing conditions and using Immunoblot Buffer Group 1.
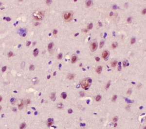
View Larger
Detection of beta -Synuclein in Human Hippocampus. beta -Synuclein was detected in immersion fixed paraffin-embedded sections of Human Hippocampus using Mouse Anti-Human beta -Synuclein Monoclonal Antibody (Catalog # MAB5528) at 15 µg/mL for 1 hour at room temperature followed by incubation with the Anti-Mouse IgG VisUCyte™ HRP Polymer Antibody (Catalog # VC001). Before incubation with the primary antibody, tissue was subjected to heat-induced epitope retrieval using VisUCyte Antigen Retrieval Reagent-Basic (Catalog # VCTS021). Tissue was stained using DAB (brown) and counterstained with hematoxylin (blue). Specific staining was localized to neurons. View our protocol for IHC Staining with VisUCyte HRP Polymer Detection Reagents.
Reconstitution Calculator
Preparation and Storage
- 12 months from date of receipt, -20 to -70 °C as supplied.
- 1 month, 2 to 8 °C under sterile conditions after reconstitution.
- 6 months, -20 to -70 °C under sterile conditions after reconstitution.
Background: beta-Synuclein
beta -Synuclein is a 19 kDa, 134 amino acid (aa) cytoplasmic phosphoprotein that is a member of a family of small, highly conserved proteins, including synucleins alpha, beta, and gamma (synoretin), localized predominantly in presynaptic nerve terminals in the brain. beta -Synuclein associates with alpha -Synuclein, preventing it from aggregating. Abnormal alpha -Synuclein aggregates form filamentous inclusions (Lewy bodies) in neurodegenerative diseases including Parkinson's disease. Within the region used as an immunogen, human SNCB shares 99% aa identity with mouse and rat beta -Synuclein.
Product Datasheets
FAQs
No product specific FAQs exist for this product, however you may
View all Antibody FAQsReviews for Human beta -Synuclein Antibody
Average Rating: 5 (Based on 1 Review)
Have you used Human beta -Synuclein Antibody?
Submit a review and receive an Amazon gift card.
$25/€18/£15/$25CAN/¥75 Yuan/¥2500 Yen for a review with an image
$10/€7/£6/$10 CAD/¥70 Yuan/¥1110 Yen for a review without an image
Filter by:
