Human PTGER1 Antibody Summary
Accession # P34995
Applications
Please Note: Optimal dilutions should be determined by each laboratory for each application. General Protocols are available in the Technical Information section on our website.
Scientific Data
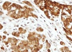
View Larger
PTGER1 in Human Breast Cancer Tissue. PTGER1 was detected in immersion fixed paraffin-embedded sections of human breast cancer tissue using Mouse Anti-Human PTGER1 Monoclonal Antibody (Catalog # MAB100081) at 5 µg/mL for 1 hour at room temperature followed by incubation with the Anti-Mouse IgG VisUCyte™ HRP Polymer Antibody (Catalog # VC001). Before incubation with the primary antibody, tissue was subjected to heat-induced epitope retrieval using Antigen Retrieval Reagent-Basic (Catalog # CTS013). Tissue was stained using DAB (brown) and counterstained with hematoxylin (blue). Specific staining was localized to cytoplasm. View our protocol for IHC Staining with VisUCyte HRP Polymer Detection Reagents.
Reconstitution Calculator
Preparation and Storage
- 12 months from date of receipt, -20 to -70 °C as supplied.
- 1 month, 2 to 8 °C under sterile conditions after reconstitution.
- 6 months, -20 to -70 °C under sterile conditions after reconstitution.
Background: PTGER1
PTGER1 is a one of four EP1 receptors for PGE2 which is mediated by G(q) proteins. PTGER1 may play a role as an important modulator of renal functions. It has also been detected in mast cells, pulmonary veins, keratinocytes, myometrium and colon smooth muscle. EP1 expression has also frequently been seen in human breast cancers. Nuclear expression of EP1 correlates with good prognosis markers like node negative status and PR expression. Animal model studies have implicated EP1 in various physiological and pathological responses however expression in humans appears to be more limited. EP1 receptor antagonists have been studied clinically primarily to treat hyperalgesia.
Product Datasheets
FAQs
No product specific FAQs exist for this product, however you may
View all Antibody FAQsReviews for Human PTGER1 Antibody
Average Rating: 5 (Based on 1 Review)
Have you used Human PTGER1 Antibody?
Submit a review and receive an Amazon gift card.
$25/€18/£15/$25CAN/¥75 Yuan/¥2500 Yen for a review with an image
$10/€7/£6/$10 CAD/¥70 Yuan/¥1110 Yen for a review without an image
Filter by:
