Key Product Details

Species Reactivity

Mouse

Applications

Immunohistochemistry, Immunocytochemistry

Label

Unconjugated

Antibody Source

Monoclonal Rat IgG2B Clone # 774308
Loading...

Product Specifications

Immunogen

Chinese Hamster Ovary cell line, CHO-derived mouse CD39L2/ENTPD6
Lys33-Leu455
Accession # 742115

Specificity

Detects mouse CD39L2/ENTPD6 in direct ELISA.

Clonality

Monoclonal

Host

Rat

Isotype

IgG2B

Scientific Data Images for Mouse CD39L2/ENTPD6 Antibody

Detection of CD39L2/ENTPD6 in CHO-S transfected cells.

CD39L2/ENTPD6 was detected in immersion fixed CHO-S transfected (positive) and absent in CHO-S wild type (negative) cells using Rat Anti-Mouse CD39L2/ENTPD6 Monoclonal Antibody (Catalog # MAB6288) at 8 µg/mL for 3 hours at room temperature. Cells were stained using the NorthernLights™ 557-conjugated Anti-Rat IgG Secondary Antibody (red; Catalog # NL013) and counterstained with DAPI (blue). Specific staining was localized to cytoplasm. View our protocol for Fluorescent ICC Staining of Cells on Coverslips.

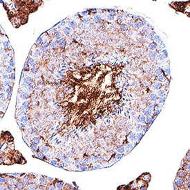
Detection of CD39L2/ENTPD6 in Mouse Testis.

CD39L2/ENTPD6 was detected in immersion fixed paraffin-embedded sections of Mouse Testis using Rat Anti-Mouse CD39L2/ENTPD6 Monoclonal Antibody (Catalog # MAB6288) at 5 µg/mL for 1 hour at room temperature followed by incubation with the Anti-Rat IgG VisUCyte™ HRP Polymer Antibody (Catalog # VC005). Before incubation with the primary antibody, tissue was subjected to heat-induced epitope retrieval using VisUCyte Antigen Retrieval Reagent-Basic (Catalog # VCTS021). Tissue was stained using DAB (brown) and counterstained with hematoxylin (blue). Specific staining was localized to cytoplasm in late spermatids. View our protocol for IHC Staining with VisUCyte HRP Polymer Detection Reagents.

Applications for Mouse CD39L2/ENTPD6 Antibody

Application
Recommended Usage

Immunocytochemistry

8-25 µg/mL
Sample: Immersion fixed CHO-S transfected (positive) and CHO-S wild type (negative) cells

Immunohistochemistry

5-25 µg/mL
Sample: Immersion fixed paraffin-embedded sections of Mouse Testis

Formulation, Preparation, and Storage

Purification

Protein A or G purified from hybridoma culture supernatant

Reconstitution

Reconstitute at 0.5 mg/mL in sterile PBS. For liquid material, refer to CoA for concentration.


Loading...

Formulation

Lyophilized from a 0.2 μm filtered solution in PBS with Trehalose. *Small pack size (SP) is supplied either lyophilized or as a 0.2 µm filtered solution in PBS.

Shipping

Lyophilized product is shipped at ambient temperature. Liquid small pack size (-SP) is shipped with polar packs. Upon receipt, store immediately at the temperature recommended below.

Stability & Storage

Use a manual defrost freezer and avoid repeated freeze-thaw cycles.
  • 12 months from date of receipt, -20 to -70 °C as supplied.
  • 1 month, 2 to 8 °C under sterile conditions after reconstitution.
  • 6 months, -20 to -70 °C under sterile conditions after reconstitution.

Calculators

The reconstitution calculator allows you to quickly calculate the volume of a reagent to reconstitute your vial. Simply enter the mass of reagent and the target concentration and the calculator will determine the rest.

=
÷

Background: CD39L2/ENTPD6

CD39L2, also known as ectonucleoside triphosphate diphosphohydrolase-6 (ENTPD-6) and NTPDase-6, is a nucleoside phosphohydrolase of the CD39 family of enzymes that is present on the surface of cells (1). This Type II membrane protein also exists as a soluble, secreted protein. CD39L2 displays a preference for the nucleoside-5’-diphosphates GDP and IDP over CDP and UDP (2). Nucleoside-5’-triphosphates are also hydrolyzed, but at much lower rates. CD39L2 is expressed at its highest levels in cardiac muscle and in heart capillary endothelial cells (3). CD39L2 may play a functional role in the regulation and recruitment of platelet activation in the heart. The cytoplasmic and transmembrane domains of rmCD39L2 were replaced with a signal sequence, resulting in the secretion of the recombinant protein.

References

  1. Chadwick, B.P. and A.M. Frischauf (1998) Genomics. 50:357.
  2. Hicks-Berger, C.A. et al. (2000) J.Biol. Chem. 275:34041.
  3. Yeung, G. et al. (2000) Biochemistry. 39:12916.

Long Name

Ecto-Nucleoside Triphosphate Diphosphohydrolase 6

Alternate Names

CD39L2, ENTPD6, NTPD3, NTPDase 6

Entrez Gene IDs

955 (Human); 12497 (Mouse); 85260 (Rat)

Gene Symbol

ENTPD6

UniProt

Additional CD39L2/ENTPD6 Products

Product Documents for Mouse CD39L2/ENTPD6 Antibody

Certificate of Analysis

To download a Certificate of Analysis, please enter a lot or batch number in the search box below.

Note: Certificate of Analysis not available for kit components.

Product Specific Notices for Mouse CD39L2/ENTPD6 Antibody

For research use only

Customer Reviews for Mouse CD39L2/ENTPD6 Antibody

There are currently no reviews for this product. Be the first to review Mouse CD39L2/ENTPD6 Antibody and earn rewards!

Have you used Mouse CD39L2/ENTPD6 Antibody?

Submit a review and receive an Amazon gift card!

$25/€18/£15/$25CAN/¥2500 Yen for a review with an image

$10/€7/£6/$10CAN/¥1110 Yen for a review without an image

Submit a review
Amazon Gift Card

Protocols

Find general support by application which include: protocols, troubleshooting, illustrated assays, videos and webinars.

FAQs

No product specific FAQs exist for this product.

View all FAQs for Antibodies
Loading...