Mouse SOST/Sclerostin Antibody

Catalog # Availability Size / Price Qty
AF1589
AF1589-SP

Save 15% on Select RUO Reagents. See Details

Detection of Human and Mouse SOST/Sclerostin by Western Blot.
6 Images
Product Details
Citations (118)
FAQs
Supplemental Products
Reviews (5)

Mouse SOST/Sclerostin Antibody Summary

Species Reactivity
Mouse
Specificity
Detects mouse SOST/Sclerostin in direct ELISAs and Western blots. In direct ELISAs, less than 5% cross-reactivity with recombinant human SOST is observed.
Source
Polyclonal Goat IgG
Purification
Antigen Affinity-purified
Immunogen
Mouse myeloma cell line NS0-derived recombinant mouse SOST/Sclerostin
Gln24-Tyr211
Accession # NP_077769
Formulation
Lyophilized from a 0.2 μm filtered solution in PBS with Trehalose. *Small pack size (SP) is supplied either lyophilized or as a 0.2 µm filtered solution in PBS.
Label
Unconjugated

Applications

Recommended Concentration
Sample
Western Blot
2 µg/mL
See below
Immunohistochemistry
5-15 µg/mL
See below

Please Note: Optimal dilutions should be determined by each laboratory for each application. General Protocols are available in the Technical Information section on our website.

Scientific Data

Western Blot Detection of Human and Mouse SOST/Sclerostin antibody by Western Blot. View Larger

Detection of Human and Mouse SOST/Sclerostin by Western Blot. Western blot shows lysates of human bone marrow and mouse bone marrow. PVDF membrane was probed with 2 µg/mL of Goat Anti-Mouse SOST/Sclerostin Antigen Affinity-purified Polyclonal Antibody (Catalog # AF1589) followed by HRP-conjugated Anti-Goat IgG Secondary Antibody (Catalog # HAF017). A specific band was detected for SOST/Sclerostin at approximately 28 kDa (as indicated). This experiment was conducted under reducing conditions and using Immunoblot Buffer Group 1.

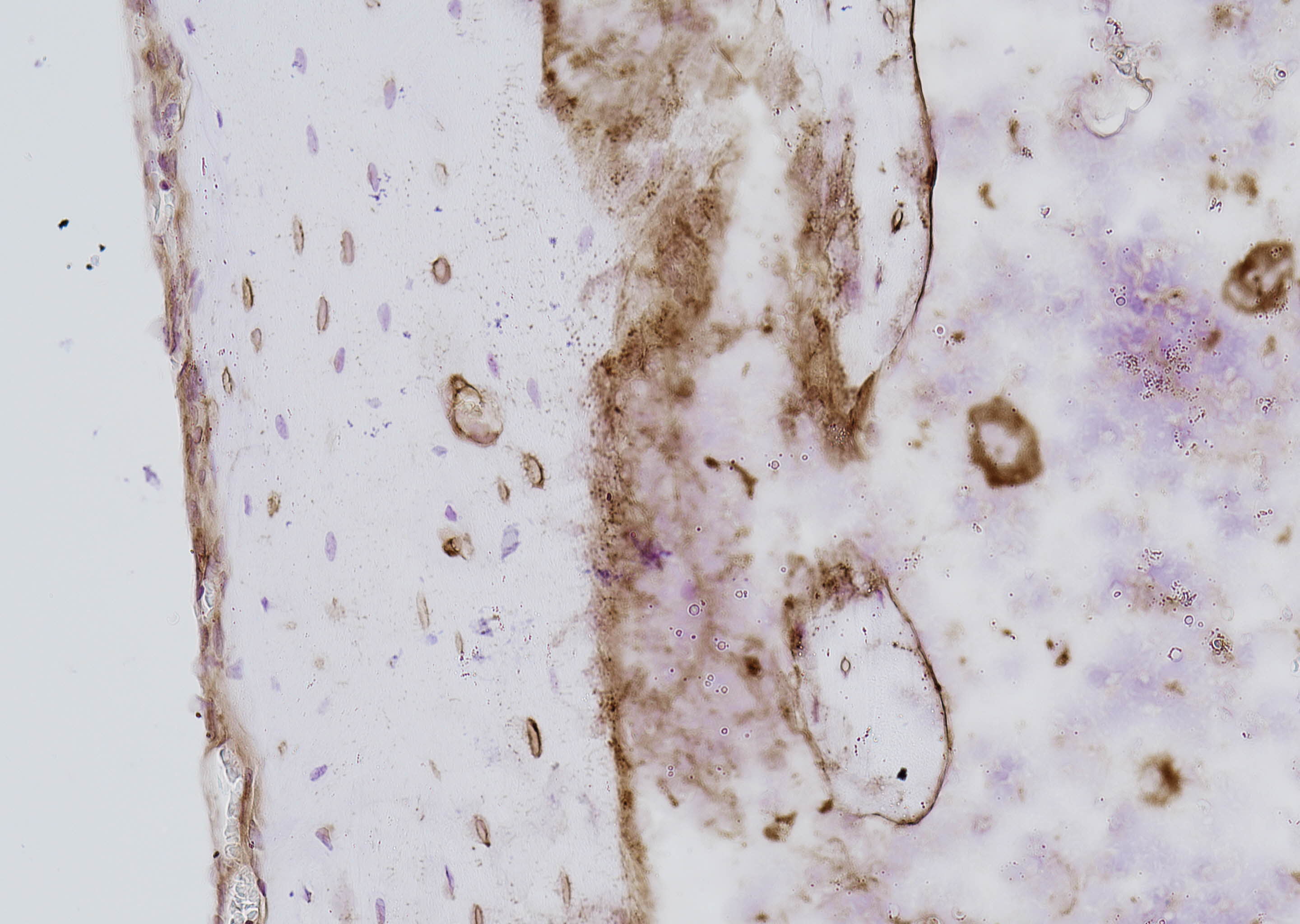
Immunohistochemistry SOST/Sclerostin antibody in Mouse Embryo by Immunohistochemistry (IHC-Fr). View Larger

SOST/Sclerostin in Mouse Embryo. SOST/Sclerostin was detected in immersion fixed frozen sections of mouse embryo (adrenal gland) using Goat Anti-Mouse SOST/Sclerostin Antigen Affinity-purified Polyclonal Antibody (Catalog # AF1589) at 15 µg/mL overnight at 4 °C. Tissue was stained using the Anti-Goat HRP-DAB Cell & Tissue Staining Kit (brown; Catalog # CTS008) and counterstained with hematoxylin (blue). View our protocol for Chromogenic IHC Staining of Frozen Tissue Sections.

Immunohistochemistry SOST/Sclerostin antibody in Mouse Embryo by Immunohistochemistry (IHC-Fr). View Larger

SOST/Sclerostin in Mouse Embryo. SOST/Sclerostin was detected in immersion fixed frozen sections of mouse embryo (15 d.p.c.) using Goat Anti-Mouse SOST/Sclerostin Antigen Affinity-purified Polyclonal Antibody (Catalog # AF1589) at 15 µg/mL overnight at 4 °C. Tissue was stained using the Anti-Goat HRP-DAB Cell & Tissue Staining Kit (brown; Catalog # CTS008) and counterstained with hematoxylin (blue). View our protocol for Chromogenic IHC Staining of Frozen Tissue Sections.

Immunohistochemistry Detection of Mouse Mouse SOST/Sclerostin Antibody by Immunohistochemistry View Larger

Detection of Mouse Mouse SOST/Sclerostin Antibody by Immunohistochemistry Mice were treated with vehicle or 50 μg/kg/day for 14 days and the effect on bone architecture examined using μCT (a). Further sections of bone were stained with H&E (b) or immunostained for cathepsin K (c) or sclerostin (d). Large images are 10 times and insert images are 40 times magnification. Scale bars in large images equals 100 μm and in insert images 50 μm. Osteoclasts were defined as large, strongly cathepsin K stained cells on a bone surface and are indicated by arrows in figure c. Examples of sclerostin positive osteocytes are indicated by arrows in figure d. Image collected and cropped by CiteAb from the following publication (https://pubmed.ncbi.nlm.nih.gov/28249797), licensed under a CC-BY license. Not internally tested by R&D Systems.

Immunohistochemistry Detection of Mouse Mouse SOST/Sclerostin Antibody by Immunohistochemistry View Larger

Detection of Mouse Mouse SOST/Sclerostin Antibody by Immunohistochemistry Mice were treated with vehicle or 50 μg/kg/day for 28 days. The fibula was sectioned and immunostained for sclerostin. Scale bars equals 100 μm. Image collected and cropped by CiteAb from the following publication (https://pubmed.ncbi.nlm.nih.gov/28249797), licensed under a CC-BY license. Not internally tested by R&D Systems.

Immunohistochemistry Detection of Mouse SOST/Sclerostin by Immunohistochemistry View Larger

Detection of Mouse SOST/Sclerostin by Immunohistochemistry Loading-induced increased PGE2 secretion with a decrease in SOST expression was inhibited in cKO mice. a, b ELISA analysis of PGE2 level in bone marrow-flushed tibial diaphysis (a) and serum (b) after 5-day mechanical loading. n = 6 per group. c Representative COX-2 immunohistostaining (black arrows) and d, e quantification of COX-2-positive osteocytes in diaphyseal 37% cortical bone. Scale bar, 30 μm. n = 6 per group. f Representative SOST immunohistostaining (black arrows) and g, h quantification of SOST-positive osteocytes in diaphyseal 37% cortical bone. Scale bar, 30 μm. n = 6 per group. i Representative beta -catenin immunohistostaining (black arrows) and j, k quantification of beta -catenin-positive osteoblasts on endosteal surface of diaphyseal 37% cortical bone. Scale bar, 30 μm. n = 5–6 per group. l–n Relative gene expression of Sost (l), COX-2 (m), and beta -catenin (n) was determined by RT-qPCR in the tibial diaphysis of WT and cKO mice. n = 5 per group. Mean ± SD. *P < 0.05; **P < 0.01; ***P < 0.001. Paired t test was done for loaded and contralateral tibias and unpaired t test was done for loaded or control tibias between WT and cKO mice Image collected and cropped by CiteAb from the following open publication (https://pubmed.ncbi.nlm.nih.gov/35851577), licensed under a CC-BY license. Not internally tested by R&D Systems.

Reconstitution Calculator

Reconstitution Calculator

The reconstitution calculator allows you to quickly calculate the volume of a reagent to reconstitute your vial. Simply enter the mass of reagent and the target concentration and the calculator will determine the rest.

=
÷

Preparation and Storage

Reconstitution
Reconstitute at 0.2 mg/mL in sterile PBS.
Loading...
Shipping
Lyophilized product is shipped at ambient temperature. Liquid small pack size (-SP) is shipped with polar packs. Upon receipt, store immediately at the temperature recommended below.
Stability & Storage
Use a manual defrost freezer and avoid repeated freeze-thaw cycles.
  • 12 months from date of receipt, -20 to -70 °C as supplied.
  • 1 month, 2 to 8 °C under sterile conditions after reconstitution.
  • 6 months, -20 to -70 °C under sterile conditions after reconstitution.

Background: SOST/Sclerostin

SOST, also known as sclerostin, is a member of the cerberus/DAN family, a group of secreted glycoproteins characterized by a cysteine-knot motif. Cerberus/DAN family members are putative BMP antagonists, and include Dan, Cerberus, Gremlin, PRDC, and Caronte. While the overall sequence identity between members of the family is low, they have conserved spacing of six cysteine residues. Cerberus and Dan have an additional cysteine residue used for dimerization; however, SOST does not and is secreted as a monomer. SOST was originally identified as an important regulator of bone homeostasis. Positional cloning studies identified that mutations in the SOST gene can cause sclerosteosis and van Buchem disease, bone dysplasia disorders characterized by progressive skeletal overgrowth. Significant levels of SOST expression are detected in bone, cartilage, kidney, and liver. SOST is expressed by osteoclasts in developing bones of mouse embryos, including both intramembranously forming skull bones and endochondrally forming long bones. SOST plays a physiological role as a negative regulator of bone formation by repressing BMP-induced osteogenesis. SOST has been shown to have unique ligand specificity, binding BMP-5, -6, and -7 with high affinity and BMP-2 and -4 with low affinity. This seems to be the first example of a BMP antagonist being localized to osteoclasts, cells derived from the hematopoietic lineage, that function to degrade bone matrix. Human and mouse SOST share 88% amino acid identity (1-3).

References
  1. Kusu, N. et al. (2003) J. Biol. Chem. 278:24113.
  2. Balemans, W. et al. (2001) Hum. Mol. Genet. 10:537.
  3. Brunkow, M.E. et al. (2001) Am. J. Hum. Genet. 68:577.
Entrez Gene IDs
50964 (Human); 74499 (Mouse)
Alternate Names
sclerostin; SOST; VBCHsclerosteosis

Product Datasheets

You must select a language.

x

Citations for Mouse SOST/Sclerostin Antibody

R&D Systems personnel manually curate a database that contains references using R&D Systems products. The data collected includes not only links to publications in PubMed, but also provides information about sample types, species, and experimental conditions.

118 Citations: Showing 1 - 10
Filter your results:

Filter by:

  1. Treatment of OPG-deficient mice with WP9QY, a RANKL-binding peptide, recovers alveolar bone loss by suppressing osteoclastogenesis and enhancing osteoblastogenesis
    Authors: Yuki Ozaki, Masanori Koide, Yuriko Furuya, Tadashi Ninomiya, Hisataka Yasuda, Midori Nakamura et al.
    PLOS ONE
  2. Osteoblastic glucocorticoid signaling exacerbates high-fat-diet- induced bone loss and obesity
    Authors: Sarah Kim, Holger Henneicke, Lauryn L. Cavanagh, Eugenie Macfarlane, Lee Joanne Thai, Daphne Foong et al.
    Bone Research
  3. Taurine, an osteocyte metabolite, protects against oxidative stress-induced cell death and decreases inhibitors of the Wnt/ beta -catenin signaling pathway.
    Authors: M. Prideaux, Y. Kitase, M. Kimble, T.M. O'Connell, L.F. Bonewald
    Bone
  4. The Effect of IFT80 Deficiency in Osteocytes on Orthodontic Loading-Induced and Physiologic Bone Remodeling: In Vivo Study
    Authors: Hyeran Helen Jeon, Jessica Kang, Jiahui (Madelaine) Li, Douglas Kim, Gongsheng Yuan, Nicolette Almer et al.
    Life (Basel)
  5. Osteocytes regulate bone anabolic response to mechanical loading in male mice via activation of integrin alpha 5
    Authors: Dezhi Zhao, Rui Hua, Manuel A. Riquelme, Hongyun Cheng, Teja Guda, Huiyun Xu et al.
    Bone Research
  6. TRPV4 calcium influx controls sclerostin protein loss independent of purinergic calcium oscillations
    Authors: Katrina M. Williams, Jenna M. Leser, Nicole R. Gould, Humberto C. Joca, James S. Lyons, Ramzi J. Khairallah et al.
    Bone
  7. A novel underuse model shows that inactivity but not ovariectomy determines the deteriorated material properties and geometry of cortical bone in the tibia of adult rats
    Authors: Kazuaki Miyagawa, Yusuke Kozai, Yumi Ito, Takami Furuhama, Kouji Naruse, Kiichi Nonaka et al.
    Journal of Bone and Mineral Metabolism
  8. Osteocyte beta 3 integrin promotes bone mass accrual and force-induced bone formation in mice☆
    Authors: Lei Qin, Zecai Chen, Dazhi Yang, Tailin He, Zhen Xu, Peijun Zhang et al.
    Journal of Orthopaedic Translation
  9. A Novel Osteogenic Cell Line That Differentiates Into GFP‐Tagged Osteocytes and Forms Mineral With a Bone‐Like Lacunocanalicular Structure
    Authors: Kun Wang, Lisa Le, Brad M. Chun, LeAnn M. Tiede‐Lewis, Lora A. Shiflett, Matthew Prideaux et al.
    Journal of Bone and Mineral Research
  10. Sympathetic Innervation Regulates Osteocyte‐Mediated Cortical Bone Resorption during Lactation
    Authors: Qiaoyue Guo, Ningrong Chen, Cheng Qian, Cheng Qi, Kathleen Noller, Mei Wan et al.
    Advanced Science
  11. Sclerostin blockade promotes bone metastases of Wnt‐responsive breast cancer cells
    Authors: Toru Hiraga, Kanji Horibe, Masanori Koide, Teruhito Yamashita, Yasuhiro Kobayashi
    Cancer Science
  12. PPARG in osteocytes controls sclerostin expression, bone mass, marrow adiposity and mediates TZD-induced bone loss
    Authors: Sudipta Baroi, Piotr J. Czernik, Amit Chougule, Patrick R. Griffin, Beata Lecka-Czernik
    Bone
  13. SOST/Sclerostin Improves Posttraumatic Osteoarthritis and Inhibits MMP2/3 Expression After Injury
    Authors: Jiun C Chang, Blaine A Christiansen, Deepa K Murugesh, Aimy Sebastian, Nicholas R Hum, Nicole M Collette et al.
    Journal of Bone and Mineral Research
  14. The Protective Effects of Osteocyte-Derived Extracellular Vesicles Against Alzheimer's Disease Diminished with Aging
    Authors: Jiang YL, Wang ZX, Liu XX et al.
    Advanced science (Weinheim, Baden-Wurttemberg, Germany)
  15. Aberrantly elevated Wnt signaling is responsible for cementum overgrowth and dental ankylosis
    Authors: Yan Wu, Xue Yuan, Kristy C. Perez, Sydnee Hyman, Liao Wang, Gretel Pellegrini et al.
    Bone
  16. Parathyroid hormone's enhancement of bones' osteogenic response to loading is affected by ageing in a dose- and time-dependent manner
    Authors: Lee B Meakin, Henry Todd, Peter J Delisser, Gabriel L Galea, Alaa Moustafa, Lance E Lanyon et al.
    Bone
  17. A cholinergic neuroskeletal interface promotes bone formation during postnatal growth and exercise
    Authors: Stephen Gadomski, Claire Fielding, Andrés García-García, Claudia Korn, Chrysa Kapeni, Sadaf Ashraf et al.
    Cell Stem Cell
  18. Disparate bone anabolic cues activate bone formation by regulating the rapid lysosomal degradation of sclerostin protein
    Authors: Nicole R Gould, Katrina M Williams, Humberto C Joca, Olivia M Torre, James S Lyons, Jenna M Leser et al.
    eLife
  19. Mechanosensitive Control of Articular Cartilage and Subchondral Bone Homeostasis in Mice Requires Osteocytic Transforming Growth Factor beta Signaling
    Authors: Karsyn N. Bailey, Jeffrey Nguyen, Cristal S. Yee, Neha S. Dole, Alexis Dang, Tamara Alliston
    Arthritis & Rheumatology
  20. Alendronate partially rescues the periodontal defects in OIM mouse model of osteogenesis imperfecta
    Authors: Chen, P;Wang, K;Lin, M;Sharma, R;Kalajzi?, Ž;O’Brien, M;Yadav, S;
    Scientific reports
    Species: Mouse
    Sample Types: Whole Tissue
    Applications: Immunohistochemistry
  21. Histochemical assessment of the femora of Spontaneously Diabetic Torii-Leprfa (SDT-fa/fa) rats that mimic type II diabetes
    Authors: Yao, Q;Tsuboi, K;Hongo, H;Sakakibara, M;Yamamoto, T;Haraguchi-Kitakamae, M;Ishizu, H;Liu, X;Shi, Y;Li, W;Cui, J;Shimizu, T;Amizuka, N;Yokoyama, A;Hasegawa, T;Sakaguchi, K;
    Journal of oral biosciences
    Species: Rat
    Sample Types: Whole Tissue
    Applications: Immunohistochemistry
  22. Voluntary exercise in mice triggers an anti-osteogenic and pro-tenogenic response in the ankle joint without affecting long bones
    Authors: Briolay, A;Duboeuf, F;Delplace, S;Brizuela, L;Peyruchaud, O;Magne, D;Bougault, C;
    Bone reports
    Species: Mouse
    Sample Types: Whole Tissue
    Applications: Immunohistochemistry
  23. Sclerostin antibody corrects periodontal disease in type 2 diabetic mice
    Authors: Turkkahraman, H;Flanagan, S;Zhu, T;Akel, N;Marino, S;Ortega-Gonzalez, D;Yuan, X;Bellido, T;
    JCI insight
    Species: Mouse
    Sample Types: Whole Tissue
    Applications: Immunohistochemistry
  24. Anti-NF-?B peptide derived from nuclear acidic protein attenuates ovariectomy-induced osteoporosis in mice
    Authors: Takami, K;Okamoto, K;Etani, Y;Hirao, M;Miyama, A;Okamura, G;Goshima, A;Miura, T;Kurihara, T;Fukuda, Y;Kanamoto, T;Nakata, K;Okada, S;Ebina, K;
    JCI insight
    Species: Mouse
    Sample Types: Whole Tissue
    Applications: Immunohistochemistry
  25. Osteocyte beta 3 integrin promotes bone mass accrual and force-induced bone formation in mice☆
    Authors: Lei Qin, Zecai Chen, Dazhi Yang, Tailin He, Zhen Xu, Peijun Zhang et al.
    Journal of Orthopaedic Translation
    Species: Transgenic Mouse
    Sample Types: Cell Lysates, Tissue Homogenates
    Applications: Western Blot
  26. Sclerostin blockade promotes bone metastases of Wnt‐responsive breast cancer cells
    Authors: Toru Hiraga, Kanji Horibe, Masanori Koide, Teruhito Yamashita, Yasuhiro Kobayashi
    Cancer Science
    Species: Mouse
    Sample Types: Whole Tissue
    Applications: Immunohistochemistry
  27. SIRT6-PAI-1 axis is a promising therapeutic target in aging-related bone metabolic disruption
    Authors: Aobulikasimu, A;Liu, T;Piao, J;Sato, S;Ochi, H;Okawa, A;Tsuji, K;Asou, Y;
    Scientific reports
    Species: Mouse
    Sample Types: Whole Tissue
    Applications: IHC
  28. Modeling human skeletal development using human pluripotent stem cells
    Authors: Lamand�, SR;Ng, ES;Cameron, TL;Kung, LHW;Sampurno, L;Rowley, L;Lilianty, J;Patria, YN;Stenta, T;Hanssen, E;Bell, KM;Saxena, R;Stok, KS;Stanley, EG;Elefanty, AG;Bateman, JF;
    Proceedings of the National Academy of Sciences of the United States of America
    Species: Xenograft
    Sample Types: Whole Tissue
    Applications: Immunohistochemistry
  29. MRL/MpJ Mice Resist to Age-Related and Long-Term Ovariectomy-Induced Bone Loss: Implications for Bone Regeneration and Repair
    Authors: X Gao, X Sun, H Cheng, JJ Ruzbarsky, M Mullen, M Huard, J Huard
    International Journal of Molecular Sciences, 2023-01-25;24(3):.
    Species: Mouse
    Sample Types: Whole Tissue
    Applications: IHC
  30. Characterization of sclerostin's response within white adipose tissue to an obesogenic diet at rest and in response to acute exercise in male mice
    Authors: N Kurgan, B Baranowski, J Stoikos, AJ MacNeil, VA Fajardo, REK MacPherson, P Klentrou
    Frontiers in Physiology, 2023-01-04;13(0):1061715.
    Species: Mouse, N/A
    Sample Types: Protein, Recombinant Protein
    Applications: Western Blot
  31. MRL/MpJ Mice Resist to Age-Related and Long-Term Ovariectomy-Induced Bone Loss: Implications for Bone Regeneration and Repair
    Authors: X Gao, X Sun, H Cheng, JJ Ruzbarsky, M Mullen, M Huard, J Huard
    International Journal of Molecular Sciences, 2023;24(3):.
    Species: Mouse
    Sample Types: Whole Tissue
    Applications: IHC
  32. Bone marrow and periosteal skeletal stem/progenitor cells make distinct contributions to bone maintenance and repair
    Authors: EC Jeffery, TLA Mann, JA Pool, Z Zhao, SJ Morrison
    Cell Stem Cell, 2022-10-21;29(11):1547-1561.e6.
    Species: Mouse
    Sample Types: Whole Tissue
    Applications: IHC
  33. Dynamic alternations of RANKL/OPG ratio expressed by cementocytes in response to orthodontic?induced external apical root resorption in a rat model
    Authors: T Wei, Z Shan, X Wen, N Zhao, G Shen
    Molecular Medicine Reports, 2022-05-20;26(1):.
    Species: Rat
    Sample Types: Whole Tissue
    Applications: IHC
  34. Aged bone matrix-derived extracellular vesicles as a messenger for calcification paradox
    Authors: ZX Wang, ZW Luo, FX Li, J Cao, SS Rao, YW Liu, YY Wang, GQ Zhu, JS Gong, JT Zou, Q Wang, YJ Tan, Y Zhang, Y Hu, YY Li, H Yin, XK Wang, ZH He, L Ren, ZZ Liu, XK Hu, LQ Yuan, R Xu, CY Chen, H Xie
    Nature Communications, 2022-03-18;13(1):1453.
    Species: Human
    Sample Types: Complex Sample Type, Whole Cell
    Applications: Flow Cytometry, ICC
  35. Sp7 Transgenic Mice with a Markedly Impaired Lacunocanalicular Network Induced Sost and Reduced Bone Mass by Unloading
    Authors: T Moriishi, T Ito, R Fukuyama, X Qin, H Komori, H Kaneko, Y Matsuo, N Yoshida, T Komori
    International Journal of Molecular Sciences, 2022-03-15;23(6):.
    Species: Mouse
    Sample Types: Whole Tissue
    Applications: IHC
  36. Regulation of sclerostin by the SIRT1 stabilization pathway in osteocytes
    Authors: JM Kim, YS Yang, J Xie, O Lee, J Kim, J Hong, B Boldyreff, O Filhol, H Chun, MB Greenblatt, G Gao, JH Shim
    Cell Death and Differentiation, 2022-02-15;0(0):.
    Species: Mouse
    Sample Types: Whole Tissue
    Applications: IHC
  37. Connexin hemichannels with prostaglandin release in anabolic function of bone to mechanical loading
    Authors: D Zhao, MA Riquelme, T Guda, C Tu, H Xu, S Gu, JX Jiang
    Elife, 2022-02-08;11(0):.
    Species: Mouse
    Sample Types: Whole Tissue
    Applications: IHC
  38. Induction of somatopause in adult mice compromises bone morphology and exacerbates bone loss during aging
    Authors: M Dixit, S Duran-Orti, G Yildirim, SB Poudel, LD Louis, A Bartke, MB Schaffler, JJ Kopchick, S Yakar
    Aging Cell, 2021-11-23;0(0):e13505.
    Species: Mouse
    Sample Types: Whole Tissue
    Applications: IHC
  39. Osteocyte Wnt/beta-catenin pathway activation upon mechanical loading is altered in ovariectomized mice
    Authors: E Jackson, N Lara-Casti, MP Akhter, M Dallas, JM Scott, T Ganesh, ML Johnson
    Bone Reports, 2021-09-14;15(0):101129.
    Species: Mouse
    Sample Types: Whole Tissue
    Applications: IHC
  40. Mechanosensitive Control of Articular Cartilage and Subchondral Bone Homeostasis in Mice Requires Osteocytic Transforming Growth Factor beta Signaling
    Authors: Karsyn N. Bailey, Jeffrey Nguyen, Cristal S. Yee, Neha S. Dole, Alexis Dang, Tamara Alliston
    Arthritis & Rheumatology
    Species: Transgenic Mouse
    Sample Types: Whole Tissue
    Applications: Immunohistochemistry
  41. Sclerostin expression in trabecular bone is downregulated by osteoclasts
    Authors: M Koide, T Yamashita, K Murakami, S Uehara, K Nakamura, M Nakamura, M Matsushita, T Ara, H Yasuda, JM Penninger, N Takahashi, N Udagawa, Y Kobayashi
    Sci Rep, 2020-08-13;10(1):13751.
    Species: Mouse
    Sample Types: Whole Tissue
    Applications: IHC
  42. TRPV4 calcium influx controls sclerostin protein loss independent of purinergic calcium oscillations
    Authors: Katrina M. Williams, Jenna M. Leser, Nicole R. Gould, Humberto C. Joca, James S. Lyons, Ramzi J. Khairallah et al.
    Bone
    Species: Human
    Sample Types: Cell Lysates, Whole Cells
    Applications: Western Blot, Immunocytochemistry
  43. Hox genes maintain critical roles in the adult skeleton
    Authors: JY Song, KM Pineault, JM Dones, RT Raines, DM Wellik
    Proc. Natl. Acad. Sci. U.S.A., 2020-03-13;0(0):.
    Species: Mouse
    Sample Types: Whole Tissue
    Applications: IHC
  44. Evaluation of longitudinal time-lapsed in vivo micro-CT for monitoring fracture healing in mouse femur defect models
    Authors: E Wehrle, DC Tourolle N, GA Kuhn, AC Scheuren, S Hofmann, R Müller
    Sci Rep, 2019-11-25;9(1):17445.
    Species: Mouse
    Sample Types: Whole Tissue
    Applications: IHC-P
  45. Elevated glucose acts directly on osteocytes to increase sclerostin expression in diabetes
    Authors: DM Pacicca, T Brown, D Watkins, K Kover, Y Yan, M Prideaux, L Bonewald
    Sci Rep, 2019-11-22;9(1):17353.
    Species: Rat
    Sample Types: Whole Tissue
    Applications: IHC
  46. SOST Deficiency Aggravates Osteoarthritis in Mice by Promoting Sclerosis of Subchondral Bone
    Authors: J Li, J Xue, Y Jing, M Wang, R Shu, H Xu, C Xue, J Feng, P Wang, D Bai
    Biomed Res Int, 2019-11-11;2019(0):7623562.
    Species: Mouse
    Sample Types: Whole Tissue
    Applications: IHC-P
  47. DSS-induced colitis produces inflammation-induced bone loss while irisin treatment mitigates the inflammatory state in both gut and bone
    Authors: CE Metzger, SA Narayanan, JP Elizondo, AM Carter, DC Zawieja, HA Hogan, SA Bloomfield
    Sci Rep, 2019-10-22;9(1):15144.
    Species: Rat
    Sample Types: Whole Tissue
    Applications: IHC
  48. Conditional deletion of E11/podoplanin in bone protects against load-induced osteoarthritis
    Authors: KA Staines, E Ikpegbu, AE Törnqvist, S Dillon, B Javaheri, AK Amin, DN Clements, DJ Buttle, AA Pitsillide, C Farquharso
    BMC Musculoskelet Disord, 2019-07-27;20(1):344.
    Species: Mouse
    Sample Types: Whole Tissue
    Applications: IHC-P
  49. Hox11 expressing regional skeletal stem cells are progenitors for osteoblasts, chondrocytes and adipocytes throughout life
    Authors: KM Pineault, JY Song, KM Kozloff, D Lucas, DM Wellik
    Nat Commun, 2019-07-18;10(1):3168.
    Species: Mouse
    Sample Types: Whole Tissue
    Applications: IHC
  50. Vitamin D-regulated osteocytic sclerostin and BMP2 modulate uremic extraskeletal calcification
    Authors: L Nguyen-Yam, KI Tanaka, R St-Arnaud, D Goltzman
    JCI Insight, 2019-07-11;4(13):.
    Species: Mouse
    Sample Types: Whole Tissue
    Applications: IHC-P
  51. Effect of TNF-α-Induced Sclerostin on Osteocytes during Orthodontic Tooth Movement
    Authors: F Ohori, H Kitaura, A Marahleh, A Kishikawa, S Ogawa, J Qi, WR Shen, T Noguchi, Y Nara, I Mizoguchi
    J Immunol Res, 2019-06-24;2019(0):9716758.
    Species: Mouse
    Sample Types: Whole Tissue
    Applications: IHC-P
  52. A Novel Osteogenic Cell Line That Differentiates Into GFP‐Tagged Osteocytes and Forms Mineral With a Bone‐Like Lacunocanalicular Structure
    Authors: Kun Wang, Lisa Le, Brad M. Chun, LeAnn M. Tiede‐Lewis, Lora A. Shiflett, Matthew Prideaux et al.
    Journal of Bone and Mineral Research
  53. Cathepsin K-deficient osteocytes prevent lactation-induced bone loss and parathyroid hormone suppression
    Authors: S Lotinun, Y Ishihara, K Nagano, R Kiviranta, V Carpentier, L Neff, V Parkman, N Ide, D Hu, P Dann, D Brooks, ML Bouxsein, J Wysolmersk, F Gori, R Baron
    J. Clin. Invest., 2019-05-21;130(0):.
    Species: Mouse
    Sample Types: Whole Tissue
    Applications: IHC
  54. Aberrantly elevated Wnt signaling is responsible for cementum overgrowth and dental ankylosis
    Authors: Yan Wu, Xue Yuan, Kristy C. Perez, Sydnee Hyman, Liao Wang, Gretel Pellegrini et al.
    Bone
    Species: Mouse
    Sample Types: Whole Tissue
    Applications: Immunohistochemistry
  55. TG-interacting factor 1 (Tgif1)-deficiency attenuates bone remodeling and blunts the anabolic response to parathyroid hormone
    Authors: H Saito, A Gasser, S Bolamperti, M Maeda, L Matthies, K Jähn, CL Long, H Schlüter, M Kwiatkowsk, V Saini, PD Pajevic, T Bellido, AJ van Wijnen, KS Mohammad, TA Guise, H Taipaleenm, E Hesse
    Nat Commun, 2019-03-22;10(1):1354.
    Species: Mouse
    Sample Types: Whole Tissue
    Applications: IHC-P
  56. Forceful mastication activates osteocytes and builds a stout jawbone
    Authors: M Inoue, T Ono, Y Kameo, F Sasaki, T Ono, T Adachi, T Nakashima
    Sci Rep, 2019-03-20;9(1):4404.
    Species: Mouse
    Sample Types: Whole Tissue
    Applications: IHC-P
  57. Relaxin 2 carried by magnetically directed liposomes accelerates rat midpalatal suture expansion and subsequent new bone formation
    Authors: H Kamimoto, Y Kobayashi, K Moriyama
    Bone Rep, 2019-03-14;10(0):100202.
    Species: Rat
    Sample Types: Whole Tissue
    Applications: IHC-Fr
  58. Pericytes as a Source of Osteogenic Cells in Bone Fracture Healing
    Authors: S Supakul, K Yao, H Ochi, T Shimada, K Hashimoto, S Sunamura, Y Mabuchi, M Tanaka, C Akazawa, T Nakamura, A Okawa, S Takeda, S Sato
    Int J Mol Sci, 2019-03-02;20(5):.
    Species: Mouse
    Sample Types: Whole Tissue
    Applications: IHC-Fr
  59. Osteogenic and Angiogenic Profiles of Mandibular Bone-Forming Cells
    Authors: Barbora Veselá, Eva Švandová, Jan Bobek, Hervé Lesot, Eva Matalová
    Frontiers in Physiology
    Species: Mouse
    Sample Types: Whole Tissue
    Applications: Immunohistochemistry
  60. Simvastatin attenuates tibial bone loss in rats with type 1 diabetes and periodontitis
    Authors: AR Kim, JH Kim, A Kim, Y Sohn, JH Cha, EJ Bak, YJ Yoo
    J Transl Med, 2018-11-09;16(1):306.
    Species: Rat
    Sample Types: Whole Tissue
    Applications: IHC-P
  61. FGF2 crosstalk with Wnt signaling in mediating the anabolic action of PTH on bone formation
    Authors: L Xiao, Y Fei, MM Hurley
    Bone Rep, 2018-09-21;9(0):136-144.
    Species: Mouse
    Sample Types: Protein, Whole Tissue
    Applications: IHC, Western Blot
  62. FasL Modulates Expression of Mmp2 in Osteoblasts
    Authors: E Svandova, B Vesela, H Lesot, J Sadoine, A Poliard, E Matalova
    Front Physiol, 2018-09-19;9(0):1314.
    Species: Mouse
    Sample Types: Whole Cells
    Applications: IHC
  63. Sclerostin is upregulated in the early stage of chondrogenic differentiation, but not required in endochondral ossification in vitro
    Authors: Y Yamaguchi, K Kumagai, S Imai, K Miyatake, T Saito
    PLoS ONE, 2018-08-02;13(8):e0201839.
    Species: Mouse
    Sample Types: Whole Tissue
    Applications: IHC-P
  64. Transient peak-strain matching partially recovers the age-impaired mechanoadaptive cortical bone response
    Authors: B Javaheri, A Carriero, M Wood, R De Souza, PD Lee, S Shefelbine, AA Pitsillide
    Sci Rep, 2018-04-27;8(1):6636.
    Species: Mouse
    Sample Types: Whole Tissue
    Applications: IHC-P
  65. The deletion of Hdac4 in mouse osteoblasts influences both catabolic and anabolic effects in bone
    Authors: T Nakatani, T Chen, J Johnson, JJ Westendorf, NC Partridge
    J. Bone Miner. Res., 2018-04-25;0(0):.
    Species: Mouse
    Sample Types: Whole Tissue
    Applications: IHC-P
  66. Inflammation-induced lymphatic architecture and bone turnover changes are ameliorated by irisin treatment in chronic inflammatory bowel disease
    Authors: SA Narayanan, CE Metzger, SA Bloomfield, DC Zawieja
    FASEB J., 2018-03-29;0(0):fj201800178R.
    Species: Rat
    Sample Types: Whole Tissue
    Applications: IHC-P
  67. Mechanically induced Ca2+oscillations in osteocytes release extracellular vesicles and enhance bone formation
    Authors: AE Morrell, GN Brown, ST Robinson, RL Sattler, AD Baik, G Zhen, X Cao, LF Bonewald, W Jin, LC Kam, XE Guo
    Bone Res, 2018-03-19;6(0):6.
    Species: Mouse
    Sample Types: Extracellular Vesicles
    Applications: Western Blot
  68. Bone adaptation in response to treadmill exercise in young and adult mice
    Authors: JD Gardinier, N Rostami, L Juliano, C Zhang
    Bone Rep, 2018-01-12;8(0):29-37.
    Species: Mouse
    Sample Types: Whole Tissue
    Applications: IHC-P
  69. Zoledronate promotes bone formation by blocking osteocyte-osteoblast communication during bone defect healing
    Authors: P Cui, H Liu, J Sun, N Amizuka, Q Sun, M Li
    Histol. Histopathol., 2017-03-27;0(0):11893.
    Species: Mouse
    Sample Types: Whole Tissue
    Applications: IHC-P
  70. Gs? Controls Cortical Bone Quality by Regulating Osteoclast Differentiation via cAMP/PKA and ?-Catenin Pathways
    Authors: G Ramaswamy, H Kim, D Zhang, V Lounev, JY Wu, Y Choi, FS Kaplan, RJ Pignolo, EM Shore
    Sci Rep, 2017-03-24;7(0):45140.
    Species: Mouse
    Sample Types: Whole Tissue
    Applications: IHC
  71. Inflammatory bowel disease in a rodent model alters osteocyte protein levels controlling bone turnover
    Authors: S A Bloomfield
    J. Bone Miner. Res., 2017-02-28;0(0):.
    Species: Mouse
    Sample Types: Whole Tissue
    Applications: IHC
  72. Sclerostin Promotes Bone Remodeling in the Process of Tooth Movement
    Authors: R Shu, D Bai, T Sheu, Y He, X Yang, C Xue, Y He, M Zhao, X Han
    PLoS ONE, 2017-01-12;12(1):e0167312.
    Species: Mouse, Rat
    Sample Types: Whole Tissue
    Applications: IHC
  73. Chronological immunolocalization of sclerostin and FGF23 in the mouse metaphyseal trabecular and cortical bone
    Authors: A Sakurai, T Hasegawa, A Kudo, Z Shen, T Nagai, M Abe, T Yoshida, H Hongo, T Yamamoto, T Yamamoto, K Oda, PHL Freitas, M Li, H Sano, N Amizuka
    Biomed. Res., 2017-01-01;38(4):257-267.
    Species: Mouse
    Sample Types: Whole Tissue
    Applications: IHC-P
  74. Suppression of Sclerostin Alleviates Radiation-Induced Bone Loss by Protecting Bone Forming Cells and Their Progenitors through Distinct Mechanisms
    J Bone Miner Res, 2016-10-20;0(0):.
    Species: Mouse
    Sample Types: Whole Tissue
    Applications: IHC-Fr
  75. Distorted Patterns of Dentinogenesis and Eruption in Msx2 Null Mutants: Involvement of Sost/Sclerostin
    Am J Pathol, 2016-08-11;0(0):.
    Species: Mouse
    Sample Types: Whole Tissue
    Applications: IHC-P
  76. Stem cells of the suture mesenchyme in craniofacial bone development, repair and regeneration
    Authors: Takamitsu Maruyama, Jaeim Jeong, Tzong-Jen Sheu, Wei Hsu
    Nature Communications
    Species: Transgenic Mouse
    Sample Types: Whole Tissue
    Applications: Immunohistochemistry
  77. Short-term intermittent administration of parathyroid hormone facilitates osteogenesis by different mechanisms in cancellous and cortical bone
    Authors: K Ogura, T Iimura, Y Makino, A Sugie-Oya, A Takakura, R Takao-Kawa, T Ishizuya, K Moriyama, A Yamaguchi
    Bone Rep, 2016-01-16;5(0):7-14.
    Species: Rat
    Sample Types: Whole Tissue
    Applications: IHC
  78. Cancer–Osteoblast Interaction Reduces Sost Expression in Osteoblasts and Up-Regulates lncRNA MALAT1 in Prostate Cancer
    Authors: Aimy Sebastian, Nicholas R. Hum, Bryan D. Hudson, Gabriela G. Loots
    Microarrays (Basel)
    Species: Human, Rat
    Sample Types: Whole Cells
    Applications: Immunocytochemistry
  79. Heavy Metal Ion Regulation of Gene Expression: MECHANISMS BY WHICH LEAD INHIBITS OSTEOBLASTIC BONE-FORMING ACTIVITY THROUGH MODULATION OF THE Wnt/beta-CATENIN SIGNALING PATHWAY.
    Authors: Beier E, Sheu T, Dang D, Holz J, Ubayawardena R, Babij P, Puzas J
    J Biol Chem, 2015-05-14;290(29):18216-26.
    Species: Mouse
    Sample Types: Cell Lysates
    Applications: Western Blot
  80. The Wnt Inhibitor Sclerostin Is Up-regulated by Mechanical Unloading in Osteocytes in Vitro.
    Authors: Spatz J, Wein M, Gooi J, Qu Y, Garr J, Liu S, Barry K, Uda Y, Lai F, Dedic C, Balcells-Camps M, Kronenberg H, Babij P, Pajevic P
    J Biol Chem, 2015-05-07;290(27):16744-58.
    Species: Mouse
    Sample Types: Cell Lysates
    Applications: Western Blot
  81. Parathyroid Hormone Induces Bone Cell Motility and Loss of Mature Osteocyte Phenotype through L-Calcium Channel Dependent and Independent Mechanisms.
    Authors: Prideaux M, Dallas S, Zhao N, Johnsrud E, Veno P, Guo D, Mishina Y, Harris S, Bonewald L
    PLoS ONE, 2015-05-05;10(5):e0125731.
    Species: Mouse
    Sample Types: Cell Lysates
    Applications: Western Blot
  82. Androgens inhibit the osteogenic response to mechanical loading in adult male mice.
    Authors: Sinnesael M, Laurent M, Jardi F, Dubois V, Deboel L, Delisser P, Behets G, D'Haese P, Carmeliet G, Claessens F, Vanderschueren D
    Endocrinology, 2015-02-05;156(4):1343-53.
    Species: Mouse
    Sample Types: Whole Tissue
    Applications: IHC
  83. Osteocytes mediate the anabolic actions of canonical Wnt/beta-catenin signaling in bone.
    Authors: Tu X, Delgado-Calle J, Condon K, Maycas M, Zhang H, Carlesso N, Taketo M, Burr D, Plotkin L, Bellido T
    Proc Natl Acad Sci U S A, 2015-01-20;112(5):E478-86.
    Species: Mouse
    Sample Types: Whole Tissue
    Applications: IHC-P
  84. The osteoblast to osteocyte transition: epigenetic changes and response to the vitamin D3 hormone.
    Authors: St John, Hillary, Bishop, Kathleen, Meyer, Mark B, Benkusky, Nancy A, Leng, Ning, Kendziorski, Christin, Bonewald, Lynda F, Pike, J Wesley
    Mol Endocrinol, 2014-05-30;28(7):1150-65.
    Species: Mouse
    Sample Types: Cell Lysates
    Applications: Western Blot
  85. Disrupted bone remodeling leads to cochlear overgrowth and hearing loss in a mouse model of fibrous dysplasia.
    Authors: Akil, Omar, Hall-Glenn, Faith, Chang, Jolie, Li, Alfred, Chang, Wenhan, Lustig, Lawrence, Alliston, Tamara, Hsiao, Edward C
    PLoS ONE, 2014-05-01;9(5):e94989.
    Species: Mouse
    Sample Types: Whole Tissue
    Applications: IHC-P
  86. Inhibition of GSK-3beta rescues the impairments in bone formation and mechanical properties associated with fracture healing in osteoblast selective connexin 43 deficient mice.
    Authors: Loiselle A, Lloyd S, Paul E, Lewis G, Donahue H
    PLoS ONE, 2013-11-08;8(11):e81399.
    Species: Mouse
    Sample Types: Whole Tissue
    Applications: IHC-P
  87. miR-218 directs a Wnt signaling circuit to promote differentiation of osteoblasts and osteomimicry of metastatic cancer cells.
    Authors: Hassan, Mohammad, Maeda, Yukiko, Taipaleenmaki, Hanna, Zhang, Weibing, Jafferji, Mohammad, Gordon, Jonathan, Li, Zhaoyong, Croce, Carlo M, van Wijnen, Andre J, Stein, Janet L, Stein, Gary S, Lian, Jane B
    J Biol Chem, 2012-10-11;287(50):42084-92.
    Species: Mouse
    Sample Types: Cell Lysates
    Applications: Western Blot
  88. Matrix metalloproteinase-13 is required for osteocytic perilacunar remodeling and maintains bone fracture resistance.
    J. Bone Miner. Res., 2012-09-01;27(9):1936-50.
    Species: Mouse
    Sample Types: Whole Tissue
    Applications: IHC-Fr
  89. Repression of osteocyte Wnt/β-catenin signaling is an early event in the progression of renal osteodystrophy.
    Authors: Sabbagh Y, Graciolli FG, O'Brien S, Tang W, Dos Reis LM, Ryan S, Phillips L, Boulanger J, Song W, Bracken C, Liu S, Ledbetter S, Dechow P, Canziani ME, Carvalho AB, Jorgetti V, Moyses RM, Schiavi SC
    J. Bone Miner. Res., 2012-08-01;27(8):1757-72.
    Species: Mouse
    Sample Types: Whole Tissue
    Applications: IHC-P
  90. Cell line IDG-SW3 replicates osteoblast-to-late-osteocyte differentiation in vitro and accelerates bone formation in vivo
    Authors: Stacey M. Woo, Jennifer Rosser, Vladimir Dusevich, Ivo Kalajzic, Lynda F. Bonewald
    Journal of Bone and Mineral Research
    Species: Transgenic Mouse
    Sample Types: Tissue Homogenates
    Applications: Western Blot
  91. Conditional deletion of Bmpr1a in differentiated osteoclasts increases osteoblastic bone formation, increasing volume of remodeling bone in mice.
    Authors: Okamoto M, Murai J, Imai Y, Ikegami D, Kamiya N, Kato S, Mishina Y, Yoshikawa H, Tsumaki N
    J. Bone Miner. Res., 2011-10-01;26(10):2511-22.
    Species: Mouse
    Sample Types: Whole Tissue
    Applications: IHC-P
  92. A novel underuse model shows that inactivity but not ovariectomy determines the deteriorated material properties and geometry of cortical bone in the tibia of adult rats
    Authors: Kazuaki Miyagawa, Yusuke Kozai, Yumi Ito, Takami Furuhama, Kouji Naruse, Kiichi Nonaka et al.
    Journal of Bone and Mineral Metabolism
    Species: Rat
    Sample Types: Whole Tissue
    Applications: Immunohistochemistry
  93. Parathyroid hormone receptor signaling in osteocytes increases the expression of fibroblast growth factor-23 in vitro and in vivo.
    Authors: Rhee Y, Bivi N, Farrow E, Lezcano V, Plotkin LI, White KE, Bellido T
    Bone, 2011-06-25;49(4):636-43.
    Species: Mouse
    Sample Types: Whole Tissue
    Applications: IHC-P
  94. The Appearance and Modulation of Osteocyte Marker Expression during Calcification of Vascular Smooth Muscle Cells.
    Authors: Zhu D, Mackenzie NC, Millan JL, Farquharson C, MacRae VE
    PLoS ONE, 2011-05-17;6(5):e19595.
    Species: Mouse
    Sample Types: Cell Lysates, Whole Tissue
    Applications: IHC-P, Western Blot
  95. Distinct modes of inhibition by sclerostin on bone morphogenetic protein and Wnt signaling pathways.
    Authors: Krause C, Korchynskyi O, de Rooij K, Weidauer SE, de Gorter DJ, van Bezooijen RL, Hatsell S, Economides AN, Mueller TD, Lowik CW, ten Dijke P
    J. Biol. Chem., 2010-10-15;285(53):41614-26.
    Species: Mouse
    Sample Types: Whole Tissue
    Applications: IHC-P
  96. Localization of SOST/sclerostin in cementocytes in vivo and in mineralizing periodontal ligament cells in vitro.
    Authors: Jager A, Gotz W, Lossdorfer S, Rath-Deschner B
    J. Periodont. Res., 2009-09-23;45(2):246-54.
    Species: Mouse
    Sample Types: Whole Tissue
    Applications: IHC-P
  97. Parathyroid hormone signaling through low-density lipoprotein-related protein 6.
    Authors: Wan M, Yang C, Li J, Wu X, Yuan H, Ma H, He X, Nie S, Chang C, Cao X
    Genes Dev., 2008-11-01;22(21):2968-79.
    Species: Mouse
    Sample Types: Whole Tissue
    Applications: IHC-Fr
  98. Control of the SOST bone enhancer by PTH using MEF2 transcription factors.
    Authors: Leupin O, Kramer I, Collette NM, Loots GG, Natt F, Kneissel M, Keller H
    J. Bone Miner. Res., 2007-12-01;22(12):1957-67.
    Species: Rat
    Sample Types: Whole Cells
    Applications: ICC
  99. Specific targeting of inflammatory osteoclastogenesis by the probiotic yeast S. boulardii CNCM I-745 reduces bone loss in osteoporosis
    Authors: Maria-Bernadette Madel, Julia Halper, Lidia Ibáñez, Lozano Claire, Matthieu Rouleau, Antoine Boutin et al.
    eLife
  100. Osteogenic and Angiogenic Profiles of Mandibular Bone-Forming Cells
    Authors: Barbora Veselá, Eva Švandová, Jan Bobek, Hervé Lesot, Eva Matalová
    Frontiers in Physiology
  101. Loading‐Induced Reduction in Sclerostin as a Mechanism of Subchondral Bone Plate Sclerosis in Mouse Knee Joints During Late‐Stage Osteoarthritis
    Authors: Haoruo Jia, Xiaoyuan Ma, Yulong Wei, Wei Tong, Robert J. Tower, Abhishek Chandra et al.
    Arthritis & Rheumatology
  102. Stem cells of the suture mesenchyme in craniofacial bone development, repair and regeneration
    Authors: Takamitsu Maruyama, Jaeim Jeong, Tzong-Jen Sheu, Wei Hsu
    Nature Communications
  103. Tumor necrosis factor-alpha antagonist diminishes osteocytic RANKL and sclerostin expression in diabetes rats with periodontitis
    Authors: Ji-Hye Kim, Ae Ri Kim, Yun Hui Choi, Sungil Jang, Gye-Hyeong Woo, Jeong-Heon Cha et al.
    PLOS ONE
  104. Mechanical Loading Differentially Affects Osteocytes in Fibulae from Lactating Mice Compared to Osteocytes in Virgin Mice: Possible Role for Lacuna Size
    Authors: Haniyeh Hemmatian, Rozita Jalali, Cornelis M. Semeins, Jolanda M. A. Hogervorst, G. Harry van Lenthe, Jenneke Klein-Nulend et al.
    Calcified Tissue International
  105. Treatment of a mouse model of ankylosing spondylitis with exogenous sclerostin has no effect on disease progression
    Authors: Katelin R. Haynes, Hsu-Wen Tseng, Michaela Kneissel, Tibor T. Glant, Matthew A. Brown, Gethin P. Thomas
    BMC Musculoskeletal Disorders
  106. Loading history changes the morphology and compressive force-induced expression of receptor activator of nuclear factor kappa B ligand/osteoprotegerin in MLO-Y4 osteocytes
    Authors: Ziyi Wang, Yao Weng, Yoshihito Ishihara, Naoya Odagaki, Ei Ei Hsu Hlaing, Takashi Izawa et al.
    PeerJ
  107. The impact of low-magnitude high-frequency vibration on fracture healing is profoundly influenced by the oestrogen status in mice
    Authors: Esther Wehrle, Astrid Liedert, Aline Heilmann, Tim Wehner, Ronny Bindl, Lena Fischer et al.
    Disease Models & Mechanisms
  108. Osteocytes directly regulate osteolysis via MYD88 signaling in bacterial bone infection
    Authors: T Yoshimoto, M Kittaka, AAP Doan, R Urata, M Prideaux, RE Rojas, CV Harding, W Henry Boom, LF Bonewald, EM Greenfield, Y Ueki
    Nature Communications, 2022-11-04;13(1):6648.
  109. Individualized cyclic mechanical loading improves callus properties during the remodelling phase of fracture healing in mice as assessed from time-lapsed in vivo imaging
    Authors: Esther Wehrle, Graeme R. Paul, Duncan C. Tourolle né Betts, Gisela A. Kuhn, Ralph Müller
    Scientific Reports
  110. Microtubules tune mechanotransduction through NOX2 and TRPV4 to decrease sclerostin abundance in osteocytes
    Authors: James S. Lyons, Humberto C. Joca, Robert A. Law, Katrina M. Williams, Jaclyn P. Kerr, Guoli Shi et al.
    Science Signaling
  111. Connexin 43 deficiency desensitizes bone to the effects of mechanical unloading through modulation of both arms of bone remodeling
    Authors: Shane A. Lloyd, Alayna E. Loiselle, Yue Zhang, Henry J. Donahue
    Bone
  112. Sost and its paralog Sostdc1 coordinate digit number in a Gli3-dependent manner☆
    Authors: Nicole M. Collette, Cristal S. Yee, Deepa Murugesh, Aimy Sebastian, Leila Taher, Nicholas W. Gale et al.
    Developmental Biology
  113. Cell line IDG-SW3 replicates osteoblast-to-late-osteocyte differentiation in vitro and accelerates bone formation in vivo
    Authors: Stacey M. Woo, Jennifer Rosser, Vladimir Dusevich, Ivo Kalajzic, Lynda F. Bonewald
    Journal of Bone and Mineral Research
  114. Cancer–Osteoblast Interaction Reduces Sost Expression in Osteoblasts and Up-Regulates lncRNA MALAT1 in Prostate Cancer
    Authors: Aimy Sebastian, Nicholas R. Hum, Bryan D. Hudson, Gabriela G. Loots
    Microarrays (Basel)
  115. Mechanically stimulated ATP release from murine bone cells is regulated by a balance of injury and repair
    Authors: Nicholas Mikolajewicz, Elizabeth A Zimmermann, Bettina M Willie, Svetlana V Komarova
    eLife
  116. Load Regulates Bone Formation and Sclerostin Expression through a TGF beta -Dependent Mechanism
    Authors: Jacqueline Nguyen, Simon Y. Tang, Daniel Nguyen, Tamara Alliston
    PLoS ONE
  117. Osteoblast‐Specific Wnt Secretion Is Required for Skeletal Homeostasis and Loading‐Induced Bone Formation in Adult Mice
    Authors: Lisa Y. Lawson, Michael D. Brodt, Nicole Migotsky, Christopher J. Chermside‐Scabbo, Ramya Palaniappan, Matthew J. Silva
    Journal of Bone and Mineral Research
  118. Sclerostin does not play a major role in the pathogenesis of skeletal complications in type 2 diabetes mellitus
    Authors: M. Pereira, S. Gohin, N. Lund, A. Hvid, P. J. Smitham, M. J. Oddy et al.
    Osteoporosis International

FAQs

No product specific FAQs exist for this product, however you may

View all Antibody FAQs
Loading...

Reviews for Mouse SOST/Sclerostin Antibody

Average Rating: 4.6 (Based on 5 Reviews)

5 Star
80%
4 Star
0%
3 Star
20%
2 Star
0%
1 Star
0%

Have you used Mouse SOST/Sclerostin Antibody?

Submit a review and receive an Amazon gift card.

$25/€18/£15/$25CAN/¥75 Yuan/¥2500 Yen for a review with an image

$10/€7/£6/$10 CAD/¥70 Yuan/¥1110 Yen for a review without an image

Submit a Review

Filter by:


Mouse SOST/Sclerostin Antibody
By Anonymous on 08/31/2023
Application: ELISA Sample Tested: Recombinant protein Species: Mouse

Mouse SOST/Sclerostin Antibody
By liaa Li on 07/07/2021
Application: IHC Sample Tested: bone Species: Mouse

Mouse SOST/Sclerostin Antibody
By Xue Yuan on 06/27/2021
Application: IHC Sample Tested: BONE Species: Mouse

Mouse SOST/Sclerostin Antibody
By Anonymous on 06/25/2021
Application: Flow Sample Tested: Recombinant protein Species: Mouse

Mouse SOST/Sclerostin Antibody
By Beata Lecka-Czernik on 04/21/2017
Application: WB Sample Tested: Bone Extracts,Bone marrow cells,bone marrow,Liver tissue Species: Mouse