Human Contactin-2/TAG1 Antibody
Human Contactin-2/TAG1 Antibody Summary
Leu29-Asn1012
Accession # Q02246
Applications
Please Note: Optimal dilutions should be determined by each laboratory for each application. General Protocols are available in the Technical Information section on our website.
Scientific Data
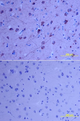
View Larger
Contactin‑2/TAG1 in Human Brain. Contactin-2/TAG1 was detected in immersion fixed paraffin-embedded sections of human brain (cortex) using Mouse Anti-Human Contactin-2/TAG1 Monoclonal Antibody (Catalog # MAB1714) at 15 µg/mL overnight at 4 °C. Tissue was stained using the Anti-Mouse HRP-DAB Cell & Tissue Staining Kit (brown; Catalog # CTS002) and counterstained with hematoxylin (blue). Lower panel shows a lack of labeling if primary antibodies are omitted and tissue is stained only with secondary antibody followed by incubation with detection reagents. View our protocol for Chromogenic IHC Staining of Paraffin-embedded Tissue Sections.
Reconstitution Calculator
Preparation and Storage
- 12 months from date of receipt, -20 to -70 °C as supplied.
- 1 month, 2 to 8 °C under sterile conditions after reconstitution.
- 6 months, -20 to -70 °C under sterile conditions after reconstitution.
Background: Contactin-2/TAG1
Contactin-2 (CNTN2), also called TAG-1 (transient axonal glycoprotein), TAX1 (transiently-expressed axonal glycoprotein), or axonin-1, is a 135 kDa glycosyl‑phosphatidylinositol (GPI)- anchored cell adhesion molecule that belongs to the contactin subfamily within the immunoglobulin (Ig) protein superfamily (1‑3). Human Contactin-2 cDNA encodes a 28 amino acid (aa) signal peptide, a 984 aa mature secreted protein with six Ig-like domains followed by four fibronectin type III‑like repeats, and a 28 aa C-terminal GPI anchor pro-sequence. GPI-specific phospholipase activity can release soluble, active Contactin-2 from the membrane (2). Mature human Contactin-2 shares approximately 93%, 93% and 75% aa sequence identity with human, rat and chicken Contactin-2, respectively. During development, Contactin-2 is expressed by a subset of neuronal populations in the central nervous system (CNS) and peripheral nervous system (PNS), particularly during initial phases of axon outgrowth (3‑5). Both the 135 kDa form and a 90 kDa form are also upregulated in response to CNS injury in the adult (6). Data support a role for Contactin-2 in axon pathfinding, neurite outgrowth and adhesion, especially in the CNS (36). In mature myelinated fibers, Contactin-2 is expressed by oligodendrocytes and Schwann cells, which are myelinating glial cells of the CNS and PNS, respectively (7, 8). It is enriched in the juxtaparanodal regions, where it recruits caspr2 (Contactin-associated protein 2), a transmembrane neurexin involved in cell adhesion and intercellular communication (7‑10). The axonal Contactin-2 interacts in cis with caspr2, and in trans with another Contactin-2 on the glial membrane (8). This ternary complex is required for the accumulation and organization of K+ channels in the juxtaparanodes (9).
- Wolfer, D. & R. J. Giger (1994) Swissprot accession # Q61330.
- Hasler, T.H. et al. (1993) Eur. J. Biochem. 211:329.
- Karagogeos, D. (2003) Front. Biosci.8:s1304.
- Liu, Y. & M.C. Halloran (2005) J. Neurosci. 25:10556.
- Denaxa, M. et al. (2005) Dev. Biol. 288:87.
- Soares, S. et al. (2005) Eur. J. Neurosci. 21:1169.
- Traka, M. et al. (2002) J. Neurosci. 22:3016.
- Poliak, S. and E. Peles (2003) Nature Reviews Neurosci. 4:968.
- Traka, M. et al. (2003) J. Cell Biol. 162:1161.
- Poliak, S. et al. (2003) J. Cell Biol. 162:1149.
Product Datasheets
Citation for Human Contactin-2/TAG1 Antibody
R&D Systems personnel manually curate a database that contains references using R&D Systems products. The data collected includes not only links to publications in PubMed, but also provides information about sample types, species, and experimental conditions.
1 Citation: Showing 1 - 1
-
BACE1 activity regulates cell surface contactin-2 levels.
Authors: Gautam, Vivek, D'Avanzo, Carla, Hebisch, Matthias, Kovacs, Dora M, Kim, Doo Yeon
Mol Neurodegener, 2014-01-09;9(0):4.
Species: Human
Sample Types: Cell Lysates
Applications: Western Blot
FAQs
No product specific FAQs exist for this product, however you may
View all Antibody FAQsReviews for Human Contactin-2/TAG1 Antibody
There are currently no reviews for this product. Be the first to review Human Contactin-2/TAG1 Antibody and earn rewards!
Have you used Human Contactin-2/TAG1 Antibody?
Submit a review and receive an Amazon gift card.
$25/€18/£15/$25CAN/¥75 Yuan/¥2500 Yen for a review with an image
$10/€7/£6/$10 CAD/¥70 Yuan/¥1110 Yen for a review without an image
