Human COUP-TF II/NR2F2 Antibody Summary
Amino Acids 43-64
Applications
Please Note: Optimal dilutions should be determined by each laboratory for each application. General Protocols are available in the Technical Information section on our website.
Scientific Data
View Larger
Detection of Human COUP-TF II/NR2F2 by Knockdown Validated Reduction of COUP-TFII or nucleolin decreases RAR beta 2 transcription in MCF-7 cells.MCF-7 (A) and T47D (B) cells were transfected with control siRNA or an siRNA targeting nucleolin for 48 h. T47D cells were treated with EtOH or 1 µM atRA for 24 h. Q-PCR for nucleolin (NCL) and RARB2. Values are the average of triplicates. C, Western blot showing COUP-TFII and RAR beta 2 expression after transfection with siCOUP-TFII. Values are relative to beta -actin. MCF-7 were transfected with siControl or siCOUP-TFII for 48 h and treated with 1 µM atRA for 6 h. Q-PCR was also performed for RRIG1. P<0.001 * versus control or ** versus atRA. Image collected and cropped by CiteAb from the following publication (https://dx.plos.org/10.1371/journal.pone.0038278), licensed under a CC-BY license. Not internally tested by R&D Systems.
View Larger
Detection of Human COUP-TF II/NR2F2 by Knockdown Validated Loss of miR-101 promotes cancer metastasis through de-repression of COUP-TFII expression.(a) LNCaP and PC3 cells were individually treated with 50 nM of miR-101 and miR-27a mimic for 48 h and then invasion assays were performed for an additional 16 h (n=3). *P<0.05 (two-sided Student's t-test) compared with the control group. (b) Representative western blot showed the levels of COUP-TFII, E-cadherin, vimentin and beta -actin in PC3 cells stably knocked down by COUP-TFII. (c) LNCaP and PC3 cells stably knocked-down of COUP-TFII were used to perform cell invasion assay. Invaded cells were stained and counted (lower panel) (n=3). Representative western blot showed the knockdown efficiency of COUP-TFII (upper panel). *: P<0.05 (two-sided Student's t-test) compared with control group. (d) PC3 cells carrying an inducible miR-101 in the absence and presence of doxycycline, and re-expression of COUP-TFII were used to perform invasion assays (n=3). Representative western blot showed the levels of COUP-TFII and beta -actin (left). Invaded cells were counted and results are shown in the right panel. *: P<0.05 (two-sided Student's t-test) (e) 22RV-1 cells were treated with miR-101 inhibitor (antisense RNA) in conjunction with knockdown of COUP-TFII and used for invasion assays (n=3). Representative western blot show the levels of COUP-TFII and beta -actin (left). Invaded cells were counted and result is shown in the right panel. *: P<0.05 (two-sided Student's t-test). (f) LNCaP cells containing a construct with inducible expression of COUP-TFII shRNA and constructs expressing with anti-miR-101 and anti-mir-27a were orthotopically injected into NOD-SCID mouse prostate. In addition these cells also contain a luciferase reporter to detect cancer cells. After the tumour size was bigger than 50 mm3, drinking water with or without doxycycline (1 mg ml−1) was given to the mice for 6 weeks to induce the COUP-TFII shRNA to repress COUP-TFII expression. Representative bioluminescence results show the status of tumour growth in different groups. (g) Quantification result of luminance from IVIS (control: n=5; anti-miR-101/27a(−): n=6; anti-miR-101/27a(+): n=7. *: P<0.05 (two-sided Student's t-test). (h) Immunohistochemical stain showed the metastatic tumour cells located in the mouse lymph node are positive for AR. Scale bar: 100 μM (low power); and 200 μM (high power). SCID, severe combined immunodeficient. Image collected and cropped by CiteAb from the following publication (https://www.nature.com/articles/ncomms11418), licensed under a CC-BY license. Not internally tested by R&D Systems.
View Larger
Detection of Human COUP-TF II/NR2F2 by Knockdown Validated Loss of miR-101 promotes cancer metastasis through de-repression of COUP-TFII expression.(a) LNCaP and PC3 cells were individually treated with 50 nM of miR-101 and miR-27a mimic for 48 h and then invasion assays were performed for an additional 16 h (n=3). *P<0.05 (two-sided Student's t-test) compared with the control group. (b) Representative western blot showed the levels of COUP-TFII, E-cadherin, vimentin and beta -actin in PC3 cells stably knocked down by COUP-TFII. (c) LNCaP and PC3 cells stably knocked-down of COUP-TFII were used to perform cell invasion assay. Invaded cells were stained and counted (lower panel) (n=3). Representative western blot showed the knockdown efficiency of COUP-TFII (upper panel). *: P<0.05 (two-sided Student's t-test) compared with control group. (d) PC3 cells carrying an inducible miR-101 in the absence and presence of doxycycline, and re-expression of COUP-TFII were used to perform invasion assays (n=3). Representative western blot showed the levels of COUP-TFII and beta -actin (left). Invaded cells were counted and results are shown in the right panel. *: P<0.05 (two-sided Student's t-test) (e) 22RV-1 cells were treated with miR-101 inhibitor (antisense RNA) in conjunction with knockdown of COUP-TFII and used for invasion assays (n=3). Representative western blot show the levels of COUP-TFII and beta -actin (left). Invaded cells were counted and result is shown in the right panel. *: P<0.05 (two-sided Student's t-test). (f) LNCaP cells containing a construct with inducible expression of COUP-TFII shRNA and constructs expressing with anti-miR-101 and anti-mir-27a were orthotopically injected into NOD-SCID mouse prostate. In addition these cells also contain a luciferase reporter to detect cancer cells. After the tumour size was bigger than 50 mm3, drinking water with or without doxycycline (1 mg ml−1) was given to the mice for 6 weeks to induce the COUP-TFII shRNA to repress COUP-TFII expression. Representative bioluminescence results show the status of tumour growth in different groups. (g) Quantification result of luminance from IVIS (control: n=5; anti-miR-101/27a(−): n=6; anti-miR-101/27a(+): n=7. *: P<0.05 (two-sided Student's t-test). (h) Immunohistochemical stain showed the metastatic tumour cells located in the mouse lymph node are positive for AR. Scale bar: 100 μM (low power); and 200 μM (high power). SCID, severe combined immunodeficient. Image collected and cropped by CiteAb from the following publication (https://www.nature.com/articles/ncomms11418), licensed under a CC-BY license. Not internally tested by R&D Systems.
View Larger
Detection of Human COUP-TF II/NR2F2 by Knockdown Validated FOXM1 and CENPF are downstream targets of COUP-TFII in PCa.(a) Gene expression profile of COUP-TFII knockdown PC3 cells (GSE33182) was downloaded from GEO database and analysed using GenePattern. Genes with P<0.05, FOLD CHANGE >1.5-fold are represented as a heatmap. The gene symbol of FOXM1 and CENPF genes after knockdown of COUP-TFII are annotated in red colour. The others were FOXM1 and CENPF co-regulated genes annotated in black colour. siCtrl: knockdown scramble control; siCII: knockdown of COUP-TFII. (b) A representative western blot shows the level of COUP-TFII in PC3 cells transfected with two different siRNAs against COUP-TFII for 72 h (upper panel). Levels of FOXM1 and CENPF are quantified by RT-qPCR (lower panel) (n=3). *P<0.05 (two-sided Student's t-test) compared with the control group (siCON). (c) A cartoon shows the FOXM1 and CENPF loci. COUP-TFII-binding sites are annotated by a black rectangle (upper panel). ChIP results are shown in the PC3 cells treated with control and two different siRNAs against COUP-TFII for 72 h (lower panel) (n=3). *P<0.05 (two-sided Student's t-test) compared with control. (d) FOXM1 and CENPF promoter activities were measured in PC3 cells carrying an inducible COUP-TFII gene in the absence or the presence of doxycycline for 48 h (n=3). *P<0.05 (two-sided Student's t-test). (e) FOXM1 and CENPF promoter activities were measured in control or stably knocked-down COUP-TFII in PC3 cells for 48 h (n=3). *P<0.05 (two-sided Student's t-test). (f) PC3 cells carrying with inducible COUP-TFII-Flag gene were treated with or without doxycycline for 48 h and then transfected with individual siRNA against FOXM1 and CENPF or double knockdown of FOXM1 and CENPF for an additional 48 h. western blot (left panel) shows the level of COUP-TFII, CENPF and FOXM1 expression. Invasion assay (right panel) was performed by using those cells (n=3). *P<0.05 (two-sided Student's t-test) compared with control. Image collected and cropped by CiteAb from the following publication (https://www.nature.com/articles/ncomms11418), licensed under a CC-BY license. Not internally tested by R&D Systems.
View Larger
Detection of Human COUP-TF II/NR2F2 by Western Blot Loss of miR-101 promotes cancer metastasis through de-repression of COUP-TFII expression. (d) PC3 cells carrying an inducible miR-101 in the absence&presence of doxycycline,&re-expression of COUP-TFII used to perform invasion assays (n=3). Representative WB showed the levels of COUP-TFII& beta -actin (left). Invaded cells counted&results are shown in the right panel. *: P<0.05 (two-sided Student's t-test). Image collected & cropped by CiteAb from the following open publication (https://pubmed.ncbi.nlm.nih.gov/27108958), licensed under a CC-BY license. Not internally tested by R&D Systems.
View Larger
Detection of Human COUP-TF II/NR2F2 by Western Blot FOXM1&CENPF are downstream targets of COUP-TFII in PCa. (f) PC3 cells carrying with inducible COUP-TFII-Flag gene treated with or without doxycycline for 48 h&then transfected with individual siRNA against FOXM1&CENPF or double knockdown of FOXM1&CENPF for an additional 48 h. WB (left panel) shows the level of COUP-TFII, CENPF&FOXM1 expression. Invasion assay (right panel) was performed by using those cells (n=3). *P<0.05 (two-sided Student's t-test) compared with control. Image collected & cropped by CiteAb from the following open publication (https://pubmed.ncbi.nlm.nih.gov/27108958), licensed under a CC-BY license. Not internally tested by R&D Systems.
View Larger
Detection of Human COUP-TF II/NR2F2 by Western Blot Loss of miR-101 promotes cancer metastasis through de-repression of COUP-TFII expression.(e) 22RV-1 cells treated with miR-101 inhibitor (antisense RNA) in conjunction with knockdown of COUP-TFII&used for invasion assays (n=3). Representative WB show the levels of COUP-TFII& beta -actin (left). Invaded cells counted&result is shown in the right panel. *: P<0.05 (two-sided Student's t-test). Image collected & cropped by CiteAb from the following open publication (https://pubmed.ncbi.nlm.nih.gov/27108958), licensed under a CC-BY license. Not internally tested by R&D Systems.
Reconstitution Calculator
Preparation and Storage
Background: COUP-TF II/NR2F2
Chicken ovalbumin upstream promoter transcription factor II (COUP-TF II, ARP-1, COUP-TFB; NR2F2) is a member of the orphan nuclear receptorfamily. COUP-TF II is expressed in the tongue, follicles of vibrissae, cochIea and in stroma of the nasal septum. COUP-TF II has roles in angiogenesis, vascular remodeling and heart development. COUP-TFs were shown to interact with a number of other nuclear receptors.
Product Datasheets
Citations for Human COUP-TF II/NR2F2 Antibody
R&D Systems personnel manually curate a database that contains references using R&D Systems products. The data collected includes not only links to publications in PubMed, but also provides information about sample types, species, and experimental conditions.
52
Citations: Showing 1 - 10
Filter your results:
Filter by:
-
Single-nucleus multiomics reveals the gene regulatory networks underlying sex determination of murine primordial germ cells
Authors: Alexander, AK;Rodriguez, KF;Chen, YY;Amato, C;Estermann, MA;Nicol, B;Xu, X;Yao, HHC;
eLife
Species: Mouse
Sample Types: Whole Tissue
Applications: Immunohistochemistry -
Modeling the atrioventricular conduction axis using human pluripotent stem cell-derived cardiac assembloids
Authors: Li, J;Wiesinger, A;Fokkert, L;Bakker, P;de Vries, DK;Tijsen, AJ;Pinto, YM;Verkerk, AO;Christoffels, VM;Boink, GJJ;Devalla, HD;
Cell stem cell
Species: Human
Sample Types: Whole Cells, Spheroid
Applications: Immunocytochemistry -
Single-cell transcriptomic analysis reveals diversity within mammalian spinal motor neurons
Authors: ES Liau, S Jin, YC Chen, WS Liu, M Calon, S Nedelec, Q Nie, JA Chen
Oncogene, 2023-01-03;14(1):46.
-
Molecular and electrophysiological evaluation of human cardiomyocyte subtypes to facilitate generation of composite cardiac models
Authors: J Li, A Wiesinger, L Fokkert, BJ Boukens, AO Verkerk, VM Christoffe, GJJ Boink, HD Devalla
Journal of tissue engineering, 2022-10-18;13(0):2041731422112.
Species: Human
Sample Types: Whole Cells
Applications: ICC -
Modeling human multi-lineage heart field development with pluripotent stem cells
Authors: D Yang, J Gomez-Garc, S Funakoshi, T Tran, I Fernandes, GD Bader, MA Laflamme, GM Keller
Cell Stem Cell, 2022-09-01;29(9):1382-1401.e8.
Species: Human
Sample Types: Organoid
Applications: ICC -
The Biphasic Effect of Retinoic Acid Signaling Pathway on the Biased Differentiation of Atrial-like and Sinoatrial Node-like Cells from hiPSC
Authors: Feng Liu, Dandan Long, Wenjun Huang, Wanling Peng, Huan Lan, Yafei Zhou et al.
International Journal of Stem Cells
-
Somatic cell fate maintenance in mouse fetal testes via autocrine/paracrine action of AMH and activin B
Authors: KF Rodriguez, PR Brown, CM Amato, B Nicol, CF Liu, X Xu, HH Yao
Nature Communications, 2022-07-15;13(1):4130.
Species: Mouse
Sample Types: Whole Tissue
Applications: IHC -
Computational profiling of hiPSC-derived heart organoids reveals chamber defects associated with NKX2-5 deficiency
Authors: Wei Feng, Hannah Schriever, Shan Jiang, Abha Bais, Haodi Wu, Dennis Kostka et al.
Communications Biology
-
Computational profiling of hiPSC-derived heart organoids reveals chamber defects associated with NKX2-5 deficiency
Authors: Wei Feng, Hannah Schriever, Shan Jiang, Abha Bais, Haodi Wu, Dennis Kostka et al.
Communications Biology
Species: Human
Sample Types: Whole Tissue
Applications: Immunohistochemistry -
BRN2 as a key gene drives the early primate telencephalon development
Authors: X Zhu, Y Guo, C Chu, D Liu, K Duan, Y Yin, C Si, Y Kang, J Yao, X Du, J Li, S Zhao, Z Ai, Q Zhu, W Ji, Y Niu, T Li
Science Advances, 2022-03-04;8(9):eabl7263.
Species: Primate (Macaca fascicularis)
Sample Types: Whole Tissue
Applications: IHC -
Anti-recombination function of MutS alpha restricts telomere extension by ALT-associated homology-directed repair
Authors: Barroso-GonzAlez J, GarcIa-ExpOsito L, Galaviz P et al.
Cell reports
-
The embryonic ontogeny of the gonadal somatic cells in mice and monkeys
Authors: K Sasaki, A Oguchi, K Cheng, Y Murakawa, I Okamoto, H Ohta, Y Yabuta, C Iwatani, H Tsuchiya, T Yamamoto, Y Seita, M Saitou
Cell Reports, 2021-05-04;35(5):109075.
Species: Cynomolgus Monkey
Sample Types: Whole Tissue
Applications: IHC -
Molecular Actions Underlying Wolffian Duct Regression in Sexual Differentiation of Murine Reproductive Tracts
Authors: Fei Zhao, Sara A. Grimm, Humphrey Hung-Chang Yao
Sexual Development
Species: Mouse
Sample Types: Whole Tissue
Applications: Immunohistochemistry -
Molecular Actions Underlying Wolffian Duct Regression in Sexual Differentiation of Murine Reproductive Tracts
Authors: Fei Zhao, Sara A. Grimm, Humphrey Hung-Chang Yao
Sexual Development
-
Regeneration of the pulmonary vascular endothelium after viral pneumonia requires COUP-TF2
Authors: Gan Zhao, Aaron I. Weiner, Katherine M. Neupauer, Maria Fernanda de Mello Costa, Gargi Palashikar, Stephanie Adams-Tzivelekidis et al.
Science Advances
-
Regeneration of the pulmonary vascular endothelium after viral pneumonia requires COUP-TF2
Authors: Gan Zhao, Aaron I. Weiner, Katherine M. Neupauer, Maria Fernanda de Mello Costa, Gargi Palashikar, Stephanie Adams-Tzivelekidis et al.
Science Advances
Species: Mouse
Sample Types: Cell Lysates
Applications: ChIP (chromatin immunoprecipit -
Small-molecule inhibitor targeting orphan nuclear receptor COUP-TFII for prostate cancer treatment
Authors: L Wang, CM Cheng, J Qin, M Xu, CY Kao, J Shi, E You, W Gong, LP Rosa, P Chase, L Scampavia, F Madoux, T Spicer, P Hodder, HE Xu, SY Tsai, MJ Tsai
Sci Adv, 2020-04-29;6(18):eaaz8031.
Species: Human
Sample Types: Cell Lysates
Applications: ChIP -
Small-molecule inhibitor targeting orphan nuclear receptor COUP-TFII for prostate cancer treatment
Authors: L Wang, CM Cheng, J Qin, M Xu, CY Kao, J Shi, E You, W Gong, LP Rosa, P Chase, L Scampavia, F Madoux, T Spicer, P Hodder, HE Xu, SY Tsai, MJ Tsai
Sci Adv, 2020;6(18):eaaz8031.
Species: Human
Sample Types: Cell Lysates
Applications: ChIP -
The Nuclear Receptor COUP-TFII Regulates Amhr2 Gene Transcription via a GC-Rich Promoter Element in Mouse Leydig Cells
Authors: Samir Mehanovic, Raifish E Mendoza-Villarroel, Robert S Viger, Jacques J Tremblay
Journal of the Endocrine Society
-
The Nuclear Receptor COUP-TFII Regulates Amhr2 Gene Transcription via a GC-Rich Promoter Element in Mouse Leydig Cells
Authors: Samir Mehanovic, Raifish E Mendoza-Villarroel, Robert S Viger, Jacques J Tremblay
Journal of the Endocrine Society
Species: Mouse
Sample Types: Cell Lysates, Chromatin
Applications: Western Blot, Chromatin Immunoprecipitation (ChIP) -
Immature excitatory neurons develop during adolescence in the human amygdala
Authors: SF Sorrells, MF Paredes, D Velmeshev, V Herranz-Pé, K Sandoval, S Mayer, EF Chang, R Insausti, AR Kriegstein, JL Rubenstein, J Manuel Gar, EJ Huang, A Alvarez-Bu
Nat Commun, 2019-06-21;10(1):2748.
Species: Human
Sample Types: Whole Tissue
Applications: IHC -
Retinoic Acid Regulates Endothelial ?-catenin Expression and Pericyte Numbers in the Developing Brain Vasculature
Authors: S Bonney, BJC Dennison, M Wendlandt, JA Siegenthal
Front Cell Neurosci, 2018-12-05;12(0):476.
Species: Human
Sample Types: Whole Tissue
Applications: IHC -
Magnetic Resonance Imaging and Histopathological Visualization of Human Dural Lymphatic Vessels
Authors: Seung-Kwon Ha, Govind Nair, Martina Absinta, Nicholas J. Luciano, Daniel S. Reich
BIO-PROTOCOL
Species: Human
Sample Types: Whole Tissue
Applications: Immunohistochemistry -
Magnetic Resonance Imaging and Histopathological Visualization of Human Dural Lymphatic Vessels
Authors: Seung-Kwon Ha, Govind Nair, Martina Absinta, Nicholas J. Luciano, Daniel S. Reich
BIO-PROTOCOL
-
Human and nonhuman primate meninges harbor lymphatic vessels that can be visualized noninvasively by MRI
Authors: M Absinta, SK Ha, G Nair, P Sati, NJ Luciano, M Palisoc, A Louveau, KA Zaghloul, S Pittaluga, J Kipnis, DS Reich
Elife, 2017-10-03;6(0):.
Species: Human, Primate
Sample Types: Whole Tissue
Applications: IHC-P -
Abnormal arterial-venous fusions and fate specification in mouse embryos lacking blood flow
Authors: JJ Hwa, N Beckouche, L Huang, Y Kram, H Lindskog, RA Wang
Sci Rep, 2017-09-20;7(1):11965.
Species: Mouse
Sample Types: Whole Tissue
Applications: IHC -
Human Pluripotent Stem Cell-Derived Atrial and Ventricular Cardiomyocytes Develop from Distinct Mesoderm Populations
Authors: JH Lee, SI Protze, Z Laksman, PH Backx, GM Keller
Cell Stem Cell, 2017-08-03;21(2):179-194.e4.
Species: Human
Sample Types: Whole Cells
Applications: ICC -
The transcription factor Foxg1 promotes optic fissure closure in the mouse by suppressing Wnt8b in the nasal optic stalk
Authors: R Smith, YT Huang, T Tian, D Vojtasova, O Mesalles-N, SM Pollard, T Pratt, DJ Price, V Fotaki
J. Neurosci., 2017-07-20;0(0):.
Species: Mouse
Sample Types: Whole Tissue
Applications: IHC -
Forkhead Box Transcription Factors of the FOXA Class Are Required for Basal Transcription of Angiotensin-Converting Enzyme 2
Authors: Kim Brint Pedersen, Harshita Chodavarapu, Eric Lazartigues
Journal of the Endocrine Society
-
Single-Cell Profiling of an In�Vitro Model of Human Interneuron Development Reveals Temporal Dynamics of Cell Type Production and Maturation
Authors: JL Close, Z Yao, BP Levi, JA Miller, TE Bakken, V Menon, JT Ting, A Wall, AR Krostag, ER Thomsen, AM Nelson, JK Mich, RD Hodge, SI Shehata, IA Glass, S Bort, NV Shapovalov, NK Ngo, JS Grimley, JW Phillips, CL Thompson, S Ramanathan, E Lein
Neuron, 2017-03-08;93(5):1035-1048.e5.
-
Angiopoietin receptor Tie2 is required for vein specification and maintenance via regulating COUP-TFII
Authors: Man Chu, Taotao Li, Bin Shen, Xudong Cao, Haoyu Zhong, Luqing Zhang et al.
eLife
-
Distinct cortical and sub-cortical neurogenic domains for GABAergic interneuron precursor transcription factors NKX2.1, OLIG2 and COUP-TFII in early fetal human telencephalon
Authors: Ayman Alzu'bi
Brain Struct Funct, 2016-11-30;0(0):.
Species: Human
Sample Types: Whole Tissue
-
COUP-TFII regulates satellite cell function and muscular dystrophy
J Clin Invest, 2016-09-12;0(0):.
Species: Mouse
Sample Types: Cell Culture Supernates, Whole Tissue
Applications: ChIP, IHC -
Diverse Functions of Retinoic Acid in Brain Vascular Development
J Neurosci, 2016-07-20;36(29):7786-801.
Species: Mouse
Sample Types: Whole Tissue
Applications: IHC-Fr -
Dysregulation of miRNAs-COUP-TFII-FOXM1-CENPF axis contributes to the metastasis of prostate cancer
Authors: SC Lin, CY Kao, HJ Lee, CJ Creighton, MM Ittmann, SJ Tsai, SY Tsai, MJ Tsai
Nat Commun, 2016-04-25;7(0):11418.
Species: Human
Sample Types: Cell Lysates
Applications: Western Blot -
Gremlin 2 promotes differentiation of embryonic stem cells to atrial fate by activation of the JNK signaling pathway.
Authors: Tanwar V, Bylund J, Hu J, Yan J, Walthall J, Mukherjee A, Heaton W, Wang W, Potet F, Rai M, Kupershmidt S, Knapik E, Hatzopoulos A
Stem Cells, 2014-07-01;32(7):1774-88.
Species: Mouse
Sample Types: Whole Cells
Applications: IHC -
5-Aza-2-deoxycytidine and trichostatin A increase COUP-TFII expression in antiestrogen-resistant breast cancer cell lines
Authors: Numan Al-Rayyan, Lacey M. Litchfield, Margarita M. Ivanova, Brandie N. Radde, Alan Cheng, Ahmed Elbedewy et al.
Cancer Letters
-
Molecular identification of venous progenitors in the dorsal aorta reveals an aortic origin for the cardinal vein in mammals.
Authors: Lindskog, Henrik, Kim, Yung Hae, Jelin, Eric B, Kong, Yupeng, Guevara-Gallardo, Salvador, Kim, Tyson N, Wang, Rong A
Development, 2014-03-01;141(5):1120-8.
Species: Mouse
Sample Types: Whole Tissue
Applications: IHC -
Instruction of circulating endothelial progenitors in vitro towards specialized blood-brain barrier and arterial phenotypes.
Authors: Boyer-Di Ponio J, El-Ayoubi F, Glacial F, Ganeshamoorthy K, Driancourt C, Godet M, Perriere N, Guillevic O, Couraud P, Uzan G
PLoS ONE, 2014-01-02;9(1):e84179.
Species: Mouse
Sample Types: Whole Cells
Applications: ICC -
Non-coding-regulatory regions of human brain genes delineated by bacterial artificial chromosome knock-in mice
Authors: Jean-François Schmouth, Mauro Castellarin, Stéphanie Laprise, Kathleen G Banks, Russell J Bonaguro, Simone C McInerny et al.
BMC Biology
-
COUP-TFII inhibits NFkappaB activation in endocrine-resistant breast cancer cells.
Authors: Litchfield L, Appana S, Datta S, Klinge C
Mol Cell Endocrinol, 2013-10-17;382(1):358-67.
Species: Human
Sample Types: Cell Lysates
Applications: Immunoprecipitation, Western Blot -
Atrial Identity Is Determined by a COUP-TFII Regulatory Network
Authors: San-pin Wu, Chiang-Min Cheng, Rainer B. Lanz, Tiannan Wang, Jonathan L. Respress, Sameer Ather et al.
Developmental Cell
-
BRG1 promotes COUP-TFII expression and venous specification during embryonic vascular development
Authors: Reema B. Davis, Carol D. Curtis, Courtney T. Griffin
Development
-
Endogenous Purification Reveals GREB1 as a Key Estrogen Receptor Regulatory Factor.
Authors: Mohammed H
Oncogene, 2013-02-09;3(2):342-9.
Species: Human
Sample Types: Cell Lysates
Applications: ChIP -
Identification of a binding motif specific to HNF4 by comparative analysis of multiple nuclear receptors
Authors: Bin Fang, Daniel Mane-Padros, Eugene Bolotin, Tao Jiang, Frances M. Sladek
Nucleic Acids Research
Species: Primate - Chlorocebus aethiops (African Green Monkey)
Sample Types: Nuclear Extract
Applications: Bioassay -
Identification and characterization of nucleolin as a COUP-TFII coactivator of retinoic acid receptor β transcription in breast cancer cells.
Authors: Litchfield LM, Riggs KA, Hockenberry AM, Oliver LD, Barnhart KG, Cai J, Pierce WM, Ivanova MM, Bates PJ, Appana SN, Datta S, Kulesza P, McBryan J, Young LS, Klinge CM
PLoS ONE, 2012-05-31;7(5):e38278.
Species: Human
Sample Types: Whole Cells
Applications: ICC -
Chicken Ovalbumin Upstream Promoter Transcription Factor II Regulates Renin Gene Expression.
Authors: Mayer S, Roeser M, Lachmann P
J. Biol. Chem., 2012-05-29;287(29):24483-91.
Species: Human, Mouse
Sample Types: Cell Lysates
Applications: Western Blot -
Proposed role for COUP-TFII in regulating fetal Leydig cell steroidogenesis, perturbation of which leads to masculinization disorders in rodents.
Authors: van den Driesche S, Walker M, McKinnell C, Scott HM, Eddie SL, Mitchell RT, Seckl JR, Drake AJ, Smith LB, Anderson RA, Sharpe RM
PLoS ONE, 2012-05-17;7(5):e37064.
Species: Human, Rat
Sample Types: Whole Tissue
Applications: IHC -
A regulatory circuitry comprised of miR-302 and the transcription factors OCT4 and NR2F2 regulates human embryonic stem cell differentiation.
Authors: Rosa A, Brivanlou AH
EMBO J., 2010-12-10;30(2):237-48.
Species: Human
Sample Types: Cell Lysates
Applications: Western Blot -
Direct transcriptional regulation of neuropilin-2 by COUP-TFII modulates multiple steps in murine lymphatic vessel development.
Authors: Lin FJ, Chen X, Qin J, Hong YK, Tsai MJ, Tsai SY
J. Clin. Invest., 2010-04-01;120(5):1694-707.
Species: Mouse
Sample Types: Cell Culture Supernates, Whole Tissue
Applications: IHC-P, Western Blot -
SCF induces gamma-globin gene expression by regulating downstream transcription factor COUP-TFII.
Authors: Aerbajinai W, Zhu J, Kumkhaek C, Chin K, Rodgers GP
Blood, 2009-04-28;114(1):187-94.
Species: Human
Sample Types: Cell Lysates
Applications: Western Blot -
The transcription factor COUP-TFII is negatively regulated by insulin and glucose via Foxo1- and ChREBP-controlled pathways.
Authors: Perilhou A, Tourrel-Cuzin C, Kharroubi I, Henique C, Fauveau V, Kitamura T, Magnan C, Postic C, Prip-Buus C, Vasseur-Cognet M
Mol. Cell. Biol., 2008-09-02;28(21):6568-79.
Species: Mouse
Sample Types: Tissue Homogenates
Applications: Western Blot
FAQs
No product specific FAQs exist for this product, however you may
View all Antibody FAQsReviews for Human COUP-TF II/NR2F2 Antibody
Average Rating: 4.7 (Based on 3 Reviews)
Have you used Human COUP-TF II/NR2F2 Antibody?
Submit a review and receive an Amazon gift card.
$25/€18/£15/$25CAN/¥75 Yuan/¥2500 Yen for a review with an image
$10/€7/£6/$10 CAD/¥70 Yuan/¥1110 Yen for a review without an image
Filter by:
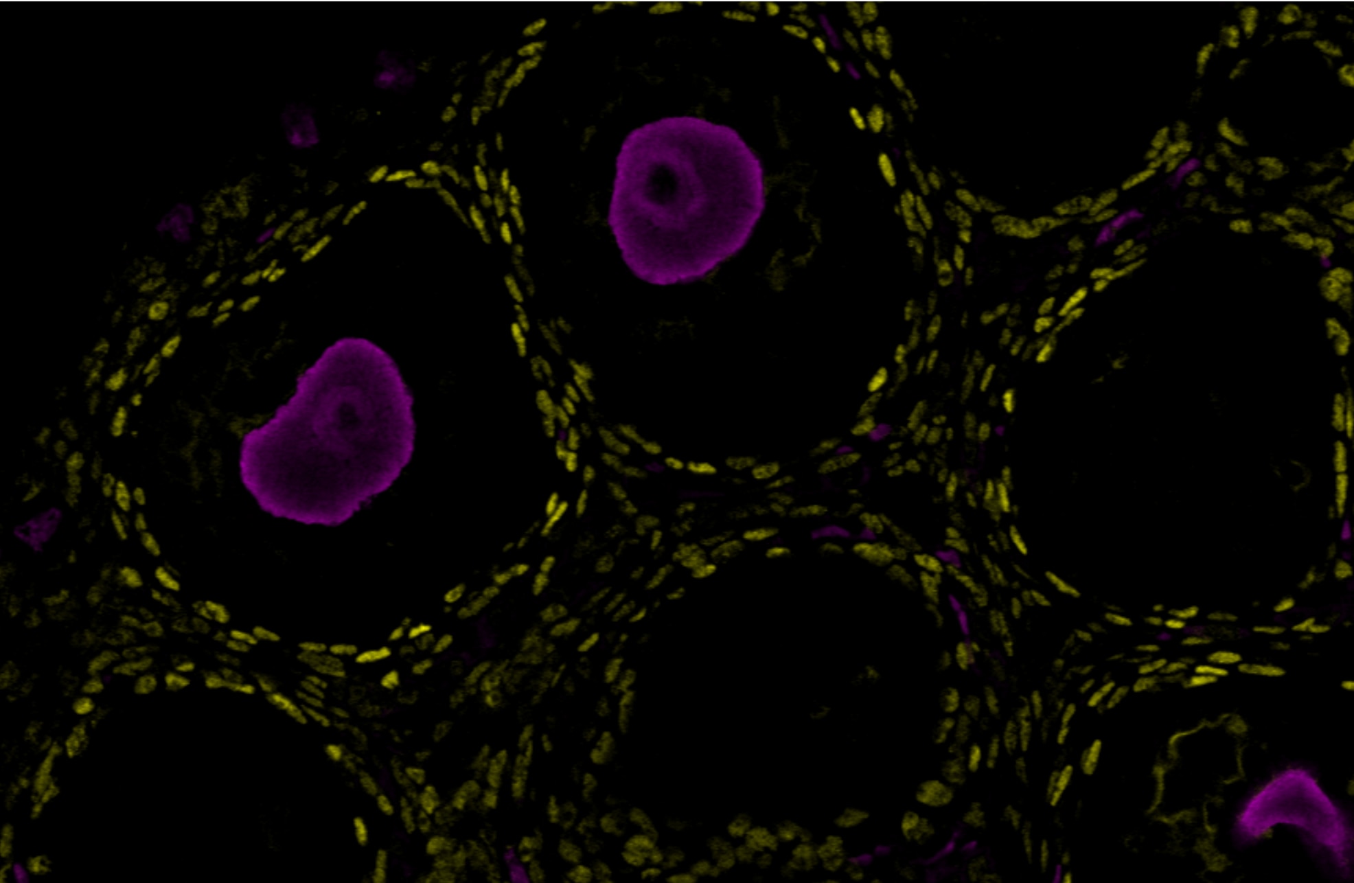
Worked on mouse organoid, concentration 1:200, IHC-P
The antibody was tested on a paraffin-embedded section of a mouse P14 ovary, with successful staining observed at a dilution of 1:200. Yellow (Nr2F2) Pink (Stella)
