Human Cyclophilin C Antibody
Human Cyclophilin C Antibody Summary
Lys31-Asp182
Accession # P45877
Applications
Please Note: Optimal dilutions should be determined by each laboratory for each application. General Protocols are available in the Technical Information section on our website.
Scientific Data
View Larger
Detection of Human Cyclophilin C by Western Blot. Western blot shows lysates of human prostate cancer tissue. PVDF Membrane was probed with 1 µg/mL of Sheep Anti-Human Cyclophilin C Antigen Affinity-purified Polyclonal Antibody (Catalog # AF6669) followed by HRP-conjugated Anti-Sheep IgG Secondary Antibody (Catalog # HAF016). Specific bands were detected for Cyclophilin C at approximately 17 and 23 kDa (as indicated). This experiment was conducted under reducing conditions and using Immunoblot Buffer Group 8.
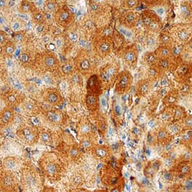
View Larger
Cyclophilin C in Human Liver. Cyclophilin C was detected in immersion fixed paraffin-embedded sections of human liver using Sheep Anti-Human Cyclophilin C Antigen Affinity-purified Polyclonal Antibody (Catalog # AF6669) at 5 µg/mL overnight at 4 °C. Tissue was stained using the Anti-Sheep HRP-DAB Cell & Tissue Staining Kit (brown; Catalog # CTS019) and counter-stained with hematoxylin (blue). Specific staining was localized to cytoplasm of hepatocytes. View our protocol for Chromogenic IHC Staining of Paraffin-embedded Tissue Sections.
Reconstitution Calculator
Preparation and Storage
- 12 months from date of receipt, -20 to -70 °C as supplied.
- 1 month, 2 to 8 °C under sterile conditions after reconstitution.
- 6 months, -20 to -70 °C under sterile conditions after reconstitution.
Background:
Cyclophilin C (CyPC, also Rotamase C and peptidyl-prolyl cis-trans isomerase C) is a 17-23 kDa member of the cyclophilin-type PPIase family of molecules. It is known to be a Mg2+-dependent intracellular enzyme that can degrade DNA into 50 kb fragments. It also has the potential to interact extracellularly with OPN and activate CD147/EMMPRIN. Human CyPC is 212 amino acids (aa) in length. It contains one cyclophilin type PPIase domain (aa 41-198). Over aa 31-182, human CyPC shares 95% aa identity with mouse CyPC, and 59%, 79%, and 58% aa identity with human CyPA, B and D, respectively.
Product Datasheets
FAQs
No product specific FAQs exist for this product, however you may
View all Antibody FAQsReviews for Human Cyclophilin C Antibody
There are currently no reviews for this product. Be the first to review Human Cyclophilin C Antibody and earn rewards!
Have you used Human Cyclophilin C Antibody?
Submit a review and receive an Amazon gift card.
$25/€18/£15/$25CAN/¥75 Yuan/¥2500 Yen for a review with an image
$10/€7/£6/$10 CAD/¥70 Yuan/¥1110 Yen for a review without an image
