Human/Mouse/Hamster GDF-9 Antibody
Human/Mouse/Hamster GDF-9 Antibody Summary
Applications
Please Note: Optimal dilutions should be determined by each laboratory for each application. General Protocols are available in the Technical Information section on our website.
Scientific Data
View Larger
Detection of Human/Hamster GDF‑9 by Western Blot. Western blot shows lysates of human ovary tissue and CHO Chinese hamster ovary cell line. PVDF membrane was probed with 1 µg/mL of Goat Anti-Human/Mouse/Hamster GDF-9 Antigen Affinity-purified Polyclonal Antibody (Catalog # AF739) followed by HRP-conjugated Anti-Goat IgG Secondary Antibody (HAF017). A specific band was detected for GDF-9 at approximately 18 kDa (as indicated). This experiment was conducted under reducing conditions and using Immunoblot Buffer Group 1.
View Larger
GDF‑9 in Mouse Ovary. GDF-9 was detected in perfusion fixed frozen sections of mouse ovary using Goat Anti-Human/Mouse/Hamster GDF-9 Antigen Affinity-purified Polyclonal Antibody (Catalog # AF739) at 5 µg/mL overnight at 4 °C. Tissue was stained using the NorthernLights™ 557-conjugated Anti-Goat IgG Secondary Antibody (red; NL001) and counterstained with DAPI (blue). Specific staining was localized to developing oocytes. View our protocol for Fluorescent IHC Staining of Frozen Tissue Sections.
View Larger
Detection of Mouse GDF‑9 by Western Blot. Western Blot shows lysates of mouse ovary. PVDF membrane was probed with 1 µg/ml of Goat Anti-Human/Mouse/Hamster GDF‑9 Antigen Affinity-purified Polyclonal Antibody (Catalog # AF739) followed by HRP-conjugated Anti-Goat IgG Secondary Antibody (Catalog # HAF017). A specific band was detected for GDF‑9 at approximately 17 kDa (as indicated). This experiment was conducted under reducing conditions and using Western Blot Buffer Group 1.
View Larger
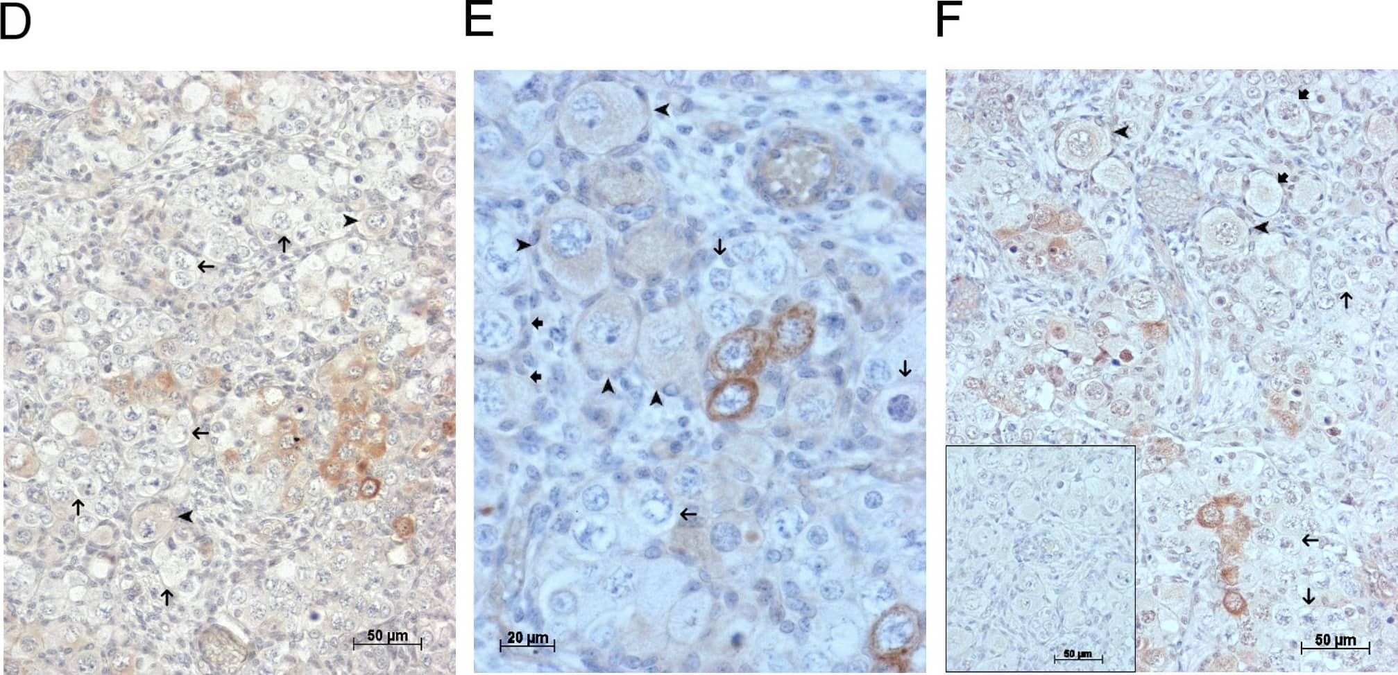
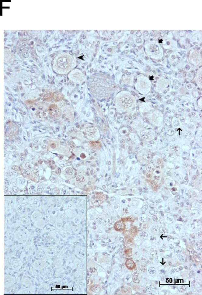
Detection of Human GDF-9 by Immunohistochemistry-Paraffin GDF9 is expressed in the human fetal ovary.qRT-PCR analysis of GDF9 (A), BMP15 (B) and NOBOX (C) mRNA expression in human fetal ovary across the gestational range of 8 to 20 weeks. Ovaries (n = 5–7 per group) were grouped according to developmental stage and transcript levels measured relative to those of RPL32. Bars indicate mean±sem. Statistically different levels are indicated by asterisks above the columns, thus expression of GDF9 at 18–20 weeks was significantly higher than at 8–11 weeks (p<0.005) as was expression of BMP15 and of NOBOX (both p<0.01). DAB immunohistochemical detection of GDF9: 19 week (D, E) and 20 week (F) human fetal ovary stained with anti-GDF9 antibody or normal goat IgG negative control (F inset)—positive staining is brown. Thick arrows indicate primordial follicles and thin arrows germ cells that are not stained for GDF9 while the arrowheads indicate primordial follicles that are positive for GDF9. Scale bars are 50μm (D and F) and 20μm (E). Image collected and cropped by CiteAb from the following open publication (https://pubmed.ncbi.nlm.nih.gov/25790371), licensed under a CC-BY license. Not internally tested by R&D Systems.
View Larger
Detection of Human GDF-9 by Immunocytochemistry/ Immunofluorescence Co-localisation of GDF9 with activin beta A but not DAZL or BOLL prior to follicle formation.(A) Double immunohistochemistry of 18 week fetal ovary stained for GDF9 (green) and activin beta A (red), thus in the merged image co-expression is yellow. Unstained germ cells are indicated with arrows. Counterstain is TOPRO. (B) Triple fluorescent immunohistochemistry for GDF9 (green), DAZL (blue) and BOLL (red) in 20 week human fetal ovary with DAPI as counterstain (grey). Split channel and merged images in (A) and (B) are shown as are merged images of non-immune serum negative control (NEG). Scale bars are 20μm. (C) Nuclear diameters of DAZL, BOLL and GDF9 stained germ cells indicates that GDF9 positive cells are significantly larger (p<0.001) than DAZL but not BOLL expressing cells (bars indicate mean ± sem). (D) Higher magnification merged image of GDF9/DAZL/BOLL immunohistochemistry showing one large primordial follicle is positive for both GDF9 and DAZL but other follicles are positive only for DAZL. Image collected and cropped by CiteAb from the following open publication (https://pubmed.ncbi.nlm.nih.gov/25790371), licensed under a CC-BY license. Not internally tested by R&D Systems.
View Larger
Detection of Human GDF-9 by Immunohistochemistry-Paraffin GDF9 is expressed in the human fetal ovary.qRT-PCR analysis of GDF9 (A), BMP15 (B) and NOBOX (C) mRNA expression in human fetal ovary across the gestational range of 8 to 20 weeks. Ovaries (n = 5–7 per group) were grouped according to developmental stage and transcript levels measured relative to those of RPL32. Bars indicate mean±sem. Statistically different levels are indicated by asterisks above the columns, thus expression of GDF9 at 18–20 weeks was significantly higher than at 8–11 weeks (p<0.005) as was expression of BMP15 and of NOBOX (both p<0.01). DAB immunohistochemical detection of GDF9: 19 week (D, E) and 20 week (F) human fetal ovary stained with anti-GDF9 antibody or normal goat IgG negative control (F inset)—positive staining is brown. Thick arrows indicate primordial follicles and thin arrows germ cells that are not stained for GDF9 while the arrowheads indicate primordial follicles that are positive for GDF9. Scale bars are 50μm (D and F) and 20μm (E). Image collected and cropped by CiteAb from the following open publication (https://pubmed.ncbi.nlm.nih.gov/25790371), licensed under a CC-BY license. Not internally tested by R&D Systems.
View Larger
Detection of Human GDF-9 by Immunocytochemistry/ Immunofluorescence Co-localisation of GDF9 with activin beta A but not DAZL or BOLL prior to follicle formation.(A) Double immunohistochemistry of 18 week fetal ovary stained for GDF9 (green) and activin beta A (red), thus in the merged image co-expression is yellow. Unstained germ cells are indicated with arrows. Counterstain is TOPRO. (B) Triple fluorescent immunohistochemistry for GDF9 (green), DAZL (blue) and BOLL (red) in 20 week human fetal ovary with DAPI as counterstain (grey). Split channel and merged images in (A) and (B) are shown as are merged images of non-immune serum negative control (NEG). Scale bars are 20μm. (C) Nuclear diameters of DAZL, BOLL and GDF9 stained germ cells indicates that GDF9 positive cells are significantly larger (p<0.001) than DAZL but not BOLL expressing cells (bars indicate mean ± sem). (D) Higher magnification merged image of GDF9/DAZL/BOLL immunohistochemistry showing one large primordial follicle is positive for both GDF9 and DAZL but other follicles are positive only for DAZL. Image collected and cropped by CiteAb from the following open publication (https://pubmed.ncbi.nlm.nih.gov/25790371), licensed under a CC-BY license. Not internally tested by R&D Systems.
View Larger
Detection of Human GDF-9 by Immunohistochemistry GDF9 is expressed in the human fetal ovary.qRT-PCR analysis of GDF9 (A), BMP15 (B) and NOBOX (C) mRNA expression in human fetal ovary across the gestational range of 8 to 20 weeks. Ovaries (n = 5–7 per group) were grouped according to developmental stage and transcript levels measured relative to those of RPL32. Bars indicate mean±sem. Statistically different levels are indicated by asterisks above the columns, thus expression of GDF9 at 18–20 weeks was significantly higher than at 8–11 weeks (p<0.005) as was expression of BMP15 and of NOBOX (both p<0.01). DAB immunohistochemical detection of GDF9: 19 week (D, E) and 20 week (F) human fetal ovary stained with anti-GDF9 antibody or normal goat IgG negative control (F inset)—positive staining is brown. Thick arrows indicate primordial follicles and thin arrows germ cells that are not stained for GDF9 while the arrowheads indicate primordial follicles that are positive for GDF9. Scale bars are 50μm (D and F) and 20μm (E). Image collected and cropped by CiteAb from the following open publication (https://pubmed.ncbi.nlm.nih.gov/25790371), licensed under a CC-BY license. Not internally tested by R&D Systems.
View Larger
Detection of Human GDF-9 by Immunohistochemistry-Paraffin GDF9 is expressed in the human fetal ovary.qRT-PCR analysis of GDF9 (A), BMP15 (B) and NOBOX (C) mRNA expression in human fetal ovary across the gestational range of 8 to 20 weeks. Ovaries (n = 5–7 per group) were grouped according to developmental stage and transcript levels measured relative to those of RPL32. Bars indicate mean±sem. Statistically different levels are indicated by asterisks above the columns, thus expression of GDF9 at 18–20 weeks was significantly higher than at 8–11 weeks (p<0.005) as was expression of BMP15 and of NOBOX (both p<0.01). DAB immunohistochemical detection of GDF9: 19 week (D, E) and 20 week (F) human fetal ovary stained with anti-GDF9 antibody or normal goat IgG negative control (F inset)—positive staining is brown. Thick arrows indicate primordial follicles and thin arrows germ cells that are not stained for GDF9 while the arrowheads indicate primordial follicles that are positive for GDF9. Scale bars are 50μm (D and F) and 20μm (E). Image collected and cropped by CiteAb from the following open publication (https://pubmed.ncbi.nlm.nih.gov/25790371), licensed under a CC-BY license. Not internally tested by R&D Systems.
View Larger
Detection of Human GDF-9 by Immunohistochemistry-Paraffin GDF9 is expressed in the human fetal ovary.qRT-PCR analysis of GDF9 (A), BMP15 (B) and NOBOX (C) mRNA expression in human fetal ovary across the gestational range of 8 to 20 weeks. Ovaries (n = 5–7 per group) were grouped according to developmental stage and transcript levels measured relative to those of RPL32. Bars indicate mean±sem. Statistically different levels are indicated by asterisks above the columns, thus expression of GDF9 at 18–20 weeks was significantly higher than at 8–11 weeks (p<0.005) as was expression of BMP15 and of NOBOX (both p<0.01). DAB immunohistochemical detection of GDF9: 19 week (D, E) and 20 week (F) human fetal ovary stained with anti-GDF9 antibody or normal goat IgG negative control (F inset)—positive staining is brown. Thick arrows indicate primordial follicles and thin arrows germ cells that are not stained for GDF9 while the arrowheads indicate primordial follicles that are positive for GDF9. Scale bars are 50μm (D and F) and 20μm (E). Image collected and cropped by CiteAb from the following open publication (https://pubmed.ncbi.nlm.nih.gov/25790371), licensed under a CC-BY license. Not internally tested by R&D Systems.
View Larger
Detection of Human GDF-9 by Immunohistochemistry-Paraffin GDF9 is expressed in the human fetal ovary.qRT-PCR analysis of GDF9 (A), BMP15 (B) and NOBOX (C) mRNA expression in human fetal ovary across the gestational range of 8 to 20 weeks. Ovaries (n = 5–7 per group) were grouped according to developmental stage and transcript levels measured relative to those of RPL32. Bars indicate mean±sem. Statistically different levels are indicated by asterisks above the columns, thus expression of GDF9 at 18–20 weeks was significantly higher than at 8–11 weeks (p<0.005) as was expression of BMP15 and of NOBOX (both p<0.01). DAB immunohistochemical detection of GDF9: 19 week (D, E) and 20 week (F) human fetal ovary stained with anti-GDF9 antibody or normal goat IgG negative control (F inset)—positive staining is brown. Thick arrows indicate primordial follicles and thin arrows germ cells that are not stained for GDF9 while the arrowheads indicate primordial follicles that are positive for GDF9. Scale bars are 50μm (D and F) and 20μm (E). Image collected and cropped by CiteAb from the following open publication (https://pubmed.ncbi.nlm.nih.gov/25790371), licensed under a CC-BY license. Not internally tested by R&D Systems.
View Larger
Detection of Human GDF-9 by Immunocytochemistry/ Immunofluorescence Co-localisation of GDF9 with activin beta A but not DAZL or BOLL prior to follicle formation.(A) Double immunohistochemistry of 18 week fetal ovary stained for GDF9 (green) and activin beta A (red), thus in the merged image co-expression is yellow. Unstained germ cells are indicated with arrows. Counterstain is TOPRO. (B) Triple fluorescent immunohistochemistry for GDF9 (green), DAZL (blue) and BOLL (red) in 20 week human fetal ovary with DAPI as counterstain (grey). Split channel and merged images in (A) and (B) are shown as are merged images of non-immune serum negative control (NEG). Scale bars are 20μm. (C) Nuclear diameters of DAZL, BOLL and GDF9 stained germ cells indicates that GDF9 positive cells are significantly larger (p<0.001) than DAZL but not BOLL expressing cells (bars indicate mean ± sem). (D) Higher magnification merged image of GDF9/DAZL/BOLL immunohistochemistry showing one large primordial follicle is positive for both GDF9 and DAZL but other follicles are positive only for DAZL. Image collected and cropped by CiteAb from the following open publication (https://pubmed.ncbi.nlm.nih.gov/25790371), licensed under a CC-BY license. Not internally tested by R&D Systems.
View Larger
Detection of Human GDF-9 by Immunocytochemistry/ Immunofluorescence Co-localisation of GDF9 with activin beta A but not DAZL or BOLL prior to follicle formation.(A) Double immunohistochemistry of 18 week fetal ovary stained for GDF9 (green) and activin beta A (red), thus in the merged image co-expression is yellow. Unstained germ cells are indicated with arrows. Counterstain is TOPRO. (B) Triple fluorescent immunohistochemistry for GDF9 (green), DAZL (blue) and BOLL (red) in 20 week human fetal ovary with DAPI as counterstain (grey). Split channel and merged images in (A) and (B) are shown as are merged images of non-immune serum negative control (NEG). Scale bars are 20μm. (C) Nuclear diameters of DAZL, BOLL and GDF9 stained germ cells indicates that GDF9 positive cells are significantly larger (p<0.001) than DAZL but not BOLL expressing cells (bars indicate mean ± sem). (D) Higher magnification merged image of GDF9/DAZL/BOLL immunohistochemistry showing one large primordial follicle is positive for both GDF9 and DAZL but other follicles are positive only for DAZL. Image collected and cropped by CiteAb from the following open publication (https://pubmed.ncbi.nlm.nih.gov/25790371), licensed under a CC-BY license. Not internally tested by R&D Systems.
View Larger
Detection of Human GDF-9 by Immunohistochemistry GDF9 is expressed in the human fetal ovary.qRT-PCR analysis of GDF9 (A), BMP15 (B) and NOBOX (C) mRNA expression in human fetal ovary across the gestational range of 8 to 20 weeks. Ovaries (n = 5–7 per group) were grouped according to developmental stage and transcript levels measured relative to those of RPL32. Bars indicate mean±sem. Statistically different levels are indicated by asterisks above the columns, thus expression of GDF9 at 18–20 weeks was significantly higher than at 8–11 weeks (p<0.005) as was expression of BMP15 and of NOBOX (both p<0.01). DAB immunohistochemical detection of GDF9: 19 week (D, E) and 20 week (F) human fetal ovary stained with anti-GDF9 antibody or normal goat IgG negative control (F inset)—positive staining is brown. Thick arrows indicate primordial follicles and thin arrows germ cells that are not stained for GDF9 while the arrowheads indicate primordial follicles that are positive for GDF9. Scale bars are 50μm (D and F) and 20μm (E). Image collected and cropped by CiteAb from the following open publication (https://pubmed.ncbi.nlm.nih.gov/25790371), licensed under a CC-BY license. Not internally tested by R&D Systems.
View Larger
Detection of Human GDF-9 by Immunohistochemistry-Paraffin GDF9 is expressed in the human fetal ovary.qRT-PCR analysis of GDF9 (A), BMP15 (B) and NOBOX (C) mRNA expression in human fetal ovary across the gestational range of 8 to 20 weeks. Ovaries (n = 5–7 per group) were grouped according to developmental stage and transcript levels measured relative to those of RPL32. Bars indicate mean±sem. Statistically different levels are indicated by asterisks above the columns, thus expression of GDF9 at 18–20 weeks was significantly higher than at 8–11 weeks (p<0.005) as was expression of BMP15 and of NOBOX (both p<0.01). DAB immunohistochemical detection of GDF9: 19 week (D, E) and 20 week (F) human fetal ovary stained with anti-GDF9 antibody or normal goat IgG negative control (F inset)—positive staining is brown. Thick arrows indicate primordial follicles and thin arrows germ cells that are not stained for GDF9 while the arrowheads indicate primordial follicles that are positive for GDF9. Scale bars are 50μm (D and F) and 20μm (E). Image collected and cropped by CiteAb from the following open publication (https://pubmed.ncbi.nlm.nih.gov/25790371), licensed under a CC-BY license. Not internally tested by R&D Systems.
View Larger
Detection of Human GDF-9 by Immunohistochemistry-Paraffin GDF9 is expressed in the human fetal ovary.qRT-PCR analysis of GDF9 (A), BMP15 (B) and NOBOX (C) mRNA expression in human fetal ovary across the gestational range of 8 to 20 weeks. Ovaries (n = 5–7 per group) were grouped according to developmental stage and transcript levels measured relative to those of RPL32. Bars indicate mean±sem. Statistically different levels are indicated by asterisks above the columns, thus expression of GDF9 at 18–20 weeks was significantly higher than at 8–11 weeks (p<0.005) as was expression of BMP15 and of NOBOX (both p<0.01). DAB immunohistochemical detection of GDF9: 19 week (D, E) and 20 week (F) human fetal ovary stained with anti-GDF9 antibody or normal goat IgG negative control (F inset)—positive staining is brown. Thick arrows indicate primordial follicles and thin arrows germ cells that are not stained for GDF9 while the arrowheads indicate primordial follicles that are positive for GDF9. Scale bars are 50μm (D and F) and 20μm (E). Image collected and cropped by CiteAb from the following open publication (https://pubmed.ncbi.nlm.nih.gov/25790371), licensed under a CC-BY license. Not internally tested by R&D Systems.
Reconstitution Calculator
Preparation and Storage
- 12 months from date of receipt, -20 to -70 °C as supplied.
- 1 month, 2 to 8 °C under sterile conditions after reconstitution.
- 6 months, -20 to -70 °C under sterile conditions after reconstitution.
Background: GDF-9
Growth differentiation factor-9 (GDF-9) is a member of the transforming growth factor-beta (TGF-beta ) superfamily, and is an oocyte secreted paracrine factor essential for mammalian ovarian folliculogenesis (1‑2). Mouse GDF-9 is synthesized as a 441 amino acid (aa) prepropeptide that contains a 29 aa signal sequence, a 277 aa propeptide, and a 135 aa mature chain. Residues 340‑441 constitute a TGF-beta like domain. In addition, there is one potential site of N-linked glycosylation in the mature chain. Unlike other members of the TGF-beta superfamily, GDF‑9 lacks the conserved cysteine residue that is believed to form the sole disulfide linkage between subunits in other family members (3). Mature mouse GDF-9 shares 90% aa sequence identity with mature human GDF 9. The protein is expressed throughout the development of the maturing follicle (2). GDF-9 functions as a paracrine factor in the regulation of granulosa cell proliferation and differentiation, and is essential for fertility (2, 4). Studies on GDF-9 null mice have demonstrated arrested follicular development at the primary follicle stage (5). Mouse GDF-9 induces Smad2 phosphorylation and inhibin production in rat diethylstilbestrol treated granulosa cells (6) and in human granulosa-luteal cells (7). The downstream signaling actions of GDF 9 are mediated by the type I receptor, activin receptor-like kinase 5 (ALK5), initiating the subsequent activation of Smad2 and Smad3 (2, 8). GDF 9 uses the BMP type II receptor (BMPRII) as its other signaling receptor (2, 9).
- McGrath, S.A. et al. (1995) Mol. Endocrinol. 9:131.
- Mottershead, D.G. et al. (2008) Mol. Cell. Endocrinol. 283:58.
- McPherron, A.C. and S.-J. Lee (1992) J. Biol. Chem. 268:3444.
- Gilchrist, R.B. et al. (2006) J. Cell. Sci. 119:3811.
- Dong, J. et al. (1996) Nature 383:531.
- Roh, J.S. et al. (2003) Endocrinology 144:172.
- Kaivo-Oja, N. et al. (2003) J. Clin. Endocrinol. Metab. 88:755.
- Mazerbourg, S. et al. (2004) Mol. Endocrinol. 18:653.
- Vitt, U.A. et al. (2002) Biol. Reprod. 67:473.
Product Datasheets
Citations for Human/Mouse/Hamster GDF-9 Antibody
R&D Systems personnel manually curate a database that contains references using R&D Systems products. The data collected includes not only links to publications in PubMed, but also provides information about sample types, species, and experimental conditions.
3
Citations: Showing 1 - 3
Filter your results:
Filter by:
-
Growth differentiation factor 9 concentration in the follicular fluid of infertile women with endometriosis
Authors: Hendy Hendarto, Prajitno Prabowo, Farid Anfasa Moeloek, Soetjipto Soetjipto
Fertility and Sterility
-
GDF9 is transiently expressed in oocytes before follicle formation in the human fetal ovary and is regulated by a novel NOBOX transcript.
Authors: Bayne R, Kinnell H, Coutts S, He J, Childs A, Anderson R
PLoS ONE, 2015-03-19;10(3):e0119819.
Species: Human
Sample Types: Whole Tissue
Applications: IHC-P -
Oocyte generation in adult mammalian ovaries by putative germ cells in bone marrow and peripheral blood.
Authors: Johnson J, Bagley J, Skaznik-Wikiel M, Lee HJ, Adams GB, Niikura Y, Tschudy KS, Tilly JC, Cortes ML, Forkert R, Spitzer T, Iacomini J, Scadden DT, Tilly JL
Cell, 2005-07-29;122(2):303-15.
Species: Mouse
Sample Types: Whole Tissue
Applications: IHC-Fr
FAQs
No product specific FAQs exist for this product, however you may
View all Antibody FAQsReviews for Human/Mouse/Hamster GDF-9 Antibody
There are currently no reviews for this product. Be the first to review Human/Mouse/Hamster GDF-9 Antibody and earn rewards!
Have you used Human/Mouse/Hamster GDF-9 Antibody?
Submit a review and receive an Amazon gift card.
$25/€18/£15/$25CAN/¥75 Yuan/¥2500 Yen for a review with an image
$10/€7/£6/$10 CAD/¥70 Yuan/¥1110 Yen for a review without an image
