Human Vanilloid R-like 3/TRPV3 Antibody
Human Vanilloid R-like 3/TRPV3 Antibody Summary
KEMVPLMGKR
Accession # Q8NET8
Applications
Please Note: Optimal dilutions should be determined by each laboratory for each application. General Protocols are available in the Technical Information section on our website.
Scientific Data
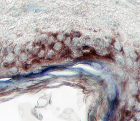
View Larger
Vanilloid R-like 3/TRPV3 in Human Skin. Vanilloid R-like 3/TRPV3 was detected in immersion fixed paraffin-embedded sections of human skin using 15 µg/mL Human Vanilloid R-like 3/TRPV3 Antigen Affinity-purified Polyclonal Antibody (Catalog # AF4167) overnight at 4 °C. Tissue was stained with the Anti-Goat HRP-DAB Cell & Tissue Staining Kit (brown; Catalog # CTS008) and counterstained with hematoxylin (blue). View our protocol for Chromogenic IHC Staining of Paraffin-embedded Tissue Sections.
Reconstitution Calculator
Preparation and Storage
- 12 months from date of receipt, -20 to -70 °C as supplied.
- 1 month, 2 to 8 °C under sterile conditions after reconstitution.
- 6 months, -20 to -70 °C under sterile conditions after reconstitution.
Background: Vanilloid R-like 3/TRPV3
Vanilloid Receptor-like 3 (VRL-3), also known as transient receptor potential cation channel subfamily V3 (TRPV3) is a 70 kDa member of the vanilloid receptor/TRP gene family. It is expressed on keratinocytes and neurons, and is physiologically responsive to changes in temperature between 22-40° C. Human TRPV3 is 790 amino acids (aa) in length. It is a 6 transmembrane domain protein that contains an N- and C-terminal cytoplasmic region. Three ankyrin repeats occur in the extended N-terminal cytoplasmic region (aa 214-369). There is one alternate splice form that shows a 6 aa substituton for the C-terminal 31 amino acids. Over amino acids 6‑15, human TRPV3 shares 90% aa sequence identity with mouse and canine TRPV3.
Product Datasheets
FAQs
No product specific FAQs exist for this product, however you may
View all Antibody FAQsReviews for Human Vanilloid R-like 3/TRPV3 Antibody
There are currently no reviews for this product. Be the first to review Human Vanilloid R-like 3/TRPV3 Antibody and earn rewards!
Have you used Human Vanilloid R-like 3/TRPV3 Antibody?
Submit a review and receive an Amazon gift card.
$25/€18/£15/$25CAN/¥75 Yuan/¥2500 Yen for a review with an image
$10/€7/£6/$10 CAD/¥70 Yuan/¥1110 Yen for a review without an image
