Mouse CD4 Antibody Summary
Applications
Please Note: Optimal dilutions should be determined by each laboratory for each application. General Protocols are available in the Technical Information section on our website.
Scientific Data
View Larger
CD4 in Mouse Intestine. CD4 was detected in immersion fixed frozen sections of mouse intestine using Rat Anti-Mouse CD4 Monoclonal Antibody (Catalog # MAB554) at 1 µg/mL overnight at 4 °C. Tissue was stained using the Anti-Rat HRP-DAB Cell & Tissue Staining Kit (brown; Catalog # CTS017) and counterstained with hematoxylin (blue). Specific staining was localized to plasma membranes of lymphocytes. View our protocol for Chromogenic IHC Staining of Frozen Tissue Sections.
View Larger
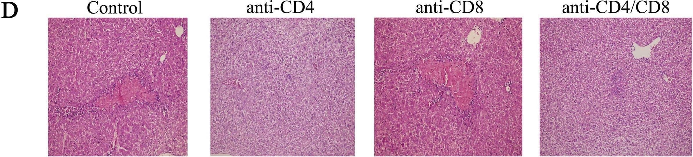
Detection of CD4 by Flow Cytometry T cells and Con A-induced hepatitis. Isotype, CD4 and/or CD8 mAbs (100 µg per mouse) was administrated i.p. to Balb/c mice (n = 8 per group) 24h before Con A injection (20 mg kg–1). The effect of anti-CD4 orCD-8 antibodies administration on depleting these cells in the liver of mice prior injecting Con A was determined by FACS. Representative results were shown in (A). Sera were collected 24 h after Con A injection. Serum ALT (B) and AST (C) levels were measured. The results were presented as the mean ± SD of three separate experiments. ***, p<0.001 vs control. (D) The livers were removed 24 h later. Paraffin sections were stained with hematoxylin and eosin (H&E) staining. Representative liver sections were shown for each group, original magnification: ×200. Image collected and cropped by CiteAb from the following open publication (https://pubmed.ncbi.nlm.nih.gov/23118999), licensed under a CC-BY license. Not internally tested by R&D Systems.
View Larger
Detection of CD4 by Immunohistochemistry T cells and Con A-induced hepatitis. Isotype, CD4 and/or CD8 mAbs (100 µg per mouse) was administrated i.p. to Balb/c mice (n = 8 per group) 24h before Con A injection (20 mg kg–1). The effect of anti-CD4 orCD-8 antibodies administration on depleting these cells in the liver of mice prior injecting Con A was determined by FACS. Representative results were shown in (A). Sera were collected 24 h after Con A injection. Serum ALT (B) and AST (C) levels were measured. The results were presented as the mean ± SD of three separate experiments. ***, p<0.001 vs control. (D) The livers were removed 24 h later. Paraffin sections were stained with hematoxylin and eosin (H&E) staining. Representative liver sections were shown for each group, original magnification: ×200. Image collected and cropped by CiteAb from the following open publication (https://pubmed.ncbi.nlm.nih.gov/23118999), licensed under a CC-BY license. Not internally tested by R&D Systems.
Reconstitution Calculator
Preparation and Storage
- 12 months from date of receipt, -20 to -70 °C as supplied.
- 1 month, 2 to 8 °C under sterile conditions after reconstitution.
- 6 months, -20 to -70 °C under sterile conditions after reconstitution.
Background: CD4
CD4 is a type I membrane glycoprotein belonging to the immunoglobulin superfamily. It is expressed predominantly on thymocytes and a subset of mature T lymphocytes. CD4 functions in collaboration with the T cell receptor in the recognition of peptide antigens that are presented by class II major histocompatibility complexes. CD4 also has been shown to be a coreceptor of HIV entry and specifically binds gp120, the external envelope glycoprotein of HIV.
Product Datasheets
Citations for Mouse CD4 Antibody
R&D Systems personnel manually curate a database that contains references using R&D Systems products. The data collected includes not only links to publications in PubMed, but also provides information about sample types, species, and experimental conditions.
19
Citations: Showing 1 - 10
Filter your results:
Filter by:
-
Remyelination protects neurons from DLK-mediated neurodegeneration.
Authors: Duncan, GJ;Ingram, SD;Emberley, K;Hill, J;Cordano, C;Abdelhak, A;McCane, M;Jenks, JE;Jabassini, N;Ananth, K;Ferrara, SJ;Stedelin, B;Sivyer, B;Aicher, SA;Scanlan, TS;Watkins, TA;Mishra, A;Nelson, JW;Green, AJ;Emery, B;
Nature communications
Species: Mouse
Sample Types: Whole Tissue
Applications: Immunohistochemistry -
Functionalized nanowires for miRNA-mediated therapeutic programming of naïve T cells
Authors: Yee Mon, KJ;Kim, S;Dai, Z;West, JD;Zhu, H;Jain, R;Grimson, A;Rudd, BD;Singh, A;
Nature nanotechnology
Species: Transgenic Mouse
Sample Types: Whole Cells
Applications: Flow Cytometry -
Eggerthella lenta augments preclinical autoantibody production and metabolic shift mimicking senescence in arthritis
Authors: Balakrishnan, B;Luckey, D;Wright, K;Davis, JM;Chen, J;Taneja, V;
Science advances
Species: Transgenic Mouse
Sample Types: Whole Cells
Applications: Flow Cytometry -
CD4+ T cells aggravate hemorrhagic brain injury
Authors: Shi, SX;Xiu, Y;Li, Y;Yuan, M;Shi, K;Liu, Q;Wang, X;Jin, WN;
Science advances
Species: Mouse
Sample Types: Whole Tissue
Applications: IHC -
Survival of stem cells and progenitors in the intestine is regulated by LPA5-dependent signaling
Authors: Z Liang, P He, Y Han, CC Yun
Cellular and Molecular Gastroenterology and Hepatology, 2022-04-04;0(0):.
Species: Mouse
Sample Types: Tissue, Whole Cells
Applications: ICC/IF, IHC -
Alzheimer's disease protease-containing plasma extracellular vesicles transfer to the hippocampus via the choroid plexus
Authors: JH Lee, C Ostalecki, T Oberstein, S Schierer, E Zinser, M Eberhardt, K Blume, B Plosnita, L Stich, H Bruns, R Coras, J Vera-Gonza, M Maler, AS Baur
EBioMedicine, 2022-02-25;77(0):103903.
Species: Mouse
Sample Types: Whole Cells
Applications: Flow Cytometry -
RNU (Foxn1 RNU-Nude) Rats Demonstrate an Improved Ability to Regenerate Muscle in a Volumetric Muscle Injury Compared to Sprague Dawley Rats
Authors: Michael J. McClure, Lucas C. Olson, David J. Cohen, Yen Chen Huang, Shirley Zhang, Tri Nguyen et al.
Bioengineering (Basel)
-
Chronic mild hypoxia accelerates recovery from preexisting EAE by enhancing vascular integrity and apoptosis of infiltrated monocytes
Authors: SK Halder, R Milner
Proc. Natl. Acad. Sci. U.S.A., 2020-05-05;0(0):.
Species: Mouse
Sample Types: Whole Tissue
Applications: IHC -
Interleukin-12p35 Deficiency Reverses the Th1/Th2 Imbalance, Aggravates the Th17/Treg Imbalance, and Ameliorates Atherosclerosis in ApoE-/- Mice
Authors: Y Huang, H Hu, L Liu, J Ye, Z Wang, B Que, W Liu, Y Shi, T Zeng, L Shi, Q Ji, C Chang, Y Lin
Mediators Inflamm., 2019-04-10;2019(0):3152040.
Species: Mouse
Sample Types: Whole Tissue
Applications: IHC -
Herpes Simplex Virus Type 2 Infection-Induced Expression of CXCR3 Ligands Promotes CD4+ T Cell Migration and Is Regulated by the Viral Immediate-Early Protein ICP4
Authors: Mudan Zhang, Xu Deng, Xinmeng Guan, Lanlan Geng, Ming Fu, Binman Zhang et al.
Frontiers in Immunology
-
Hypoxic pre-conditioning suppresses experimental autoimmune encephalomyelitis by modifying multiple properties of blood vessels
Authors: SK Halder, R Kant, R Milner
Acta Neuropathol Commun, 2018-09-03;6(1):86.
Species: Mouse
Sample Types: Whole Tissue
Applications: IHC -
Combination of CD40 agonism and CSF-1R blockade reconditions tumor-associated macrophages and drives potent antitumor immunity
Authors: KR Wiehagen, NM Girgis, DH Yamada, AA Smith, SR Chan, IS Grewal, M Quigley, RI Verona
Cancer Immunol Res, 2017-11-02;0(0):.
Species: Mouse
Sample Types: Whole Cells
Applications: Flow Cytometry -
The efficacy of combination therapy with oncolytic herpes simplex virus HF10 and dacarbazine in a mouse melanoma model
Authors: R Tanaka, F Goshima, S Esaki, Y Sato, T Murata, Y Nishiyama, D Watanabe, H Kimura
Am J Cancer Res, 2017-08-01;7(8):1693-1703.
Species: Mouse
Sample Types: Whole Cells
Applications: Cell Selection -
PAX7 expression defines germline stem cells in the adult testis.
Authors: Aloisio G, Nakada Y, Saatcioglu H, Pena C, Baker M, Tarnawa E, Mukherjee J, Manjunath H, Bugde A, Sengupta A, Amatruda J, Cuevas I, Hamra F, Castrillon D
J Clin Invest, 2014-08-18;124(9):3929-44.
Species: Mouse
Sample Types: In Vivo
Applications: In Vivo -
Oncolytic viral therapy with a combination of HF10, a herpes simplex virus type 1 variant and granulocyte-macrophage colony-stimulating factor for murine ovarian cancer.
Authors: Goshima F, Esaki S, Luo C, Kamakura M, Kimura H, Nishiyama Y
Int J Cancer, 2013-12-02;134(12):2865-77.
Species: Mouse
Sample Types: Whole Tissue
Applications: IHC -
Non-thermal Nanoelectroablation of UV-induced Murine Melanomas Stimulates an Immune Response
Authors: Richard Nuccitelli, Kevin Tran, Kaying Lui, Joanne Huynh, Brian Athos, Mark Kreis et al.
Pigment Cell & Melanoma Research
-
Extracellular adenosine signaling induces CX3CL1 expression in the brain to promote experimental autoimmune encephalomyelitis.
J Neuroinflammation, 2012-08-10;9(0):193.
Species: Mouse
Sample Types: Whole Tissue
Applications: IHC-Fr -
CXCR3-dependent recruitment of antigen-specific T lymphocytes to the liver during murine cytomegalovirus infection.
Authors: Hokeness KL, Deweerd ES, Munks MW, Lewis CA, Gladue RP, Salazar-Mather TP
J. Virol., 2006-11-15;81(3):1241-50.
Species: Mouse
Sample Types: Whole Tissue
Applications: IHC-Fr -
Blockade of experimental atopic dermatitis via topical NF-kappaB decoy oligonucleotide.
Authors: Dajee M, Muchamuel T, Schryver B, Oo A, Alleman-Sposeto J, De Vry CG, Prasad S, Ruhrmund D, Shyamsundar R, Mutnick D, Mai K, Le T, Parham C, Zhang J, Komuves L, Colby T, Hudak S, McEvoy LM, Ehrhardt RO
J. Invest. Dermatol., 2006-04-20;126(8):1792-803.
Species: Mouse
Sample Types: Whole Tissue
Applications: IHC-Fr
FAQs
No product specific FAQs exist for this product, however you may
View all Antibody FAQsReviews for Mouse CD4 Antibody
Average Rating: 4.5 (Based on 2 Reviews)
Have you used Mouse CD4 Antibody?
Submit a review and receive an Amazon gift card.
$25/€18/£15/$25CAN/¥75 Yuan/¥2500 Yen for a review with an image
$10/€7/£6/$10 CAD/¥70 Yuan/¥1110 Yen for a review without an image
Filter by:
Binds to murine CD4-his. Immobilize CD4-his on Penta-his sensors, and flow 3 conc of Anti-murine CD4 (100, 50, 25nM). Specific binding of Anti-murine CD4 to murine CD4, no binding to human CD4.
