308 results for "Fc gamma RIIIA/CD16a" in Products

Fc gamma RIIIA/CD16a Products

Fc gamma RIIIA/CD16a is a low/intermediate affinity activating receptor for polyvalent immune-complexed IgG. It is involved in phagocytosis, secretion of enzymes and inflammatory mediators, antibody-dependent cytotoxicity, and clearance of immune complexes. It is expressed on NK cells, T cells, monocytes, and macrophages. It is closely related to the GPI-linked Fc gamma RIIIB which is expressed on neutrophils and eosinophils. Surface expression requires interaction with an accessory chain, ...

Show More

Analyzed by SEC-MALS, Isoform V176, His-tag

Reactivity: Human
Source: NS0
Accession #: AAH17865
Applications: Binding Activity
(3)
Loading...
Reactivity: Human
Details: Goat IgG Polyclonal
Applications: WB, B/N, Simple Western
Detection of Human Fc gamma RIII (CD16) antibody by Western Blot.
(2)
Loading...

Low-affinity V176F polymorphic variant

Reactivity: Human
Source: HEK293
Accession #: P08637
Applications: Bioactivity
Recombinant Human Fc gamma RIIIA/CD16a (V176F) Protein Binding Activity
Loading...
Reactivity: Human
Details: Mouse IgG2A Monoclonal Clone #245536
Applications: Flow, CyTOF-ready
(4)
Loading...
Reactivity: Human
Details: Mouse IgG1 Monoclonal Clone #1105901
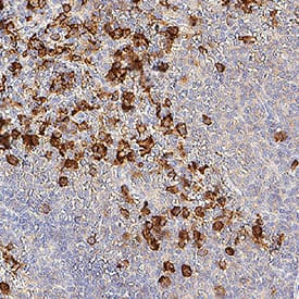
Applications: mIF, IHC, WB, COMET
(7)
Loading...
Reactivity: Human
Details: Mouse IgG2A Monoclonal Clone #1001049
Applications: IHC, WB, Flow, ICC/IF, CyTOF-ready
Detection of Human Fc? RIIIA/CD16a antibody by Western Blot.
(4)
Loading...
Reactivity: Human, Primate
Details: Mouse IgG1 kappa Monoclonal Clone #3G8
Applications: IHC, Flow, IP, CyTOF-ready
Flow Cytometry: Fc gamma RIIIA/CD16a Antibody (3G8) - BSA Free [NBP1-50056]
(13)
Loading...
Reactivity: Human, Porcine, Primate
Details: Mouse IgM Monoclonal Clone #MEM-168
Applications: Flow
Flow Cytometry: Fc gamma RIIIA/CD16a Antibody (MEM-168) [NB500-523]
(4)
Loading...
Reactivity: Human
Details: Mouse IgG2A Monoclonal Clone #1001005
Applications: IHC, Flow, ICC/IF, CyTOF-ready
Detection of Fc gamma RIII (CD16) antibody in Human PBMCs antibody by Flow Cytometry.
(3)
Loading...
Reactivity: Human
Details: Mouse IgG2A Monoclonal Clone #245536
Applications: Flow
Detection of Fc gamma RIII (CD16) antibody in Human PBMCs antibody by Flow Cytometry.
(3)
Loading...
Reactivity: Human
Details: Mouse IgG2A Monoclonal Clone #245536
Applications: Flow
Detection of Fc gamma RIII (CD16) antibody in Human PBMCs antibody by Flow Cytometry.
Loading...
Reactivity: Rat
Source: NS0
Accession #: NP_997486
Applications: Bioactivity
Recombinant Rat Fc gamma RIIIA/CD16a Protein Bioactivity
Loading...
Reactivity: Human
Details: Mouse IgG2A Monoclonal Clone #1041618
Applications: B/N, ICC/IF
Loading...
Reactivity: Human
Details: Mouse IgG2A Monoclonal Clone #1041646
Applications: B/N, ICC/IF
Loading...

Recombinant Monoclonal Antibody

Reactivity: Human
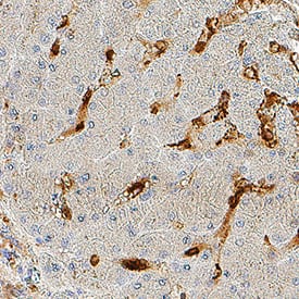
Details: Rabbit Monoclonal Clone #BLR162J
Applications: IHC, WB, ICC/IF
Immunohistochemistry: Fc gamma RIIIA/CD16a Antibody (BLR162J) [NBP3-14736]
(3)
Loading...
Reactivity: Human, Cynomolgus Monkey
Details: Rabbit IgG Polyclonal
Applications: IHC, ELISA
Immunohistochemistry-Paraffin: Fc gamma RIIIA/CD16a Antibody [NBP2-99278]
(4)
Loading...

Biotinylated Isoform V176

Reactivity: Human
Source: HEK293
Accession #: AAH17865.1
Applications: Bioactivity
Recombinant Human Fc gamma RIIIA/CD16a His Avi Protein Binding Activity
(2)
Loading...

Biotinylated

Reactivity: Human
Source: HEK293
Accession #: P08637-1
Applications: Bioactivity
Recombinant Human Fc gamma RIIIA (F176) His Avi Protein Binding Activity
(3)
Loading...
Reactivity: Human
Details: Mouse IgG1 Monoclonal Clone #2G10A9
Applications: WB, ELISA, Flow
Western Blot: Fc gamma RIIIA/CD16a Antibody (2G10A9)BSA Free [NBP2-61693]
(4)
Loading...
Reactivity: Human
Details: Mouse IgG2A Monoclonal Clone #245536
Applications: Flow
Detection of Fc gamma RIII (CD16) antibody in Human PBMCs antibody by Flow Cytometry.
(2)
Loading...
Reactivity: Human
Details: Mouse IgG1 Monoclonal Clone #DJ130c
Applications: IHC, Flow
Flow Cytometry: Fc gamma RIIIA/CD16a Antibody (DJ130c) - BSA Free [NB100-64346]
(2)
Loading...

His-tag

Reactivity: Human
Source: NS0
Accession #: AAH17865.1
Applications: Bioactivity
(2)
Loading...
Results Per Page
5 10 25 50