Human CD8 alpha Antibody Summary
Ser22-Val198
Accession # NP_741696
Applications
Please Note: Optimal dilutions should be determined by each laboratory for each application. General Protocols are available in the Technical Information section on our website.
Scientific Data
View Larger
Detection of CD8 alpha in Hodgkins Lymphoma via Multiplex Immunofluorescence staining on COMET™ CD8 alpha was detected in immersion fixed paraffin-embedded sections of Hodgkins Lymphoma using Mouse Anti-Human CD8 alpha Monoclonal Antibody (MAB3801) at 15 µg/mL at 37 ° Celsius for 2 minutes. Before incubation with the primary antibody, tissue underwent an all-in-one dewaxing and antigen retrieval preprocessing using PreTreatment Module (PT Module) and Dewax and HIER Buffer H (pH 9). Tissue was stained using the Alexa Fluor™ 647 Goat anti-Mouse IgG Secondary Antibody at 1:200 at 37 ° Celsius for 2 minutes. (Yellow; Lunaphore Catalog # DR647MS) and counterstained with DAPI (blue; Lunaphore Catalog # DR100). Specific staining was localized to the membrane. Protocol available in COMET™ Panel Builder.
View Larger
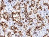
CD8 alpha in Human Tonsil. CD8a was detected in immersion fixed paraffin-embedded sections of human tonsil using Mouse Anti-Human CD8a Monoclonal Antibody (Catalog # MAB3801) at 5 µg/mL for 1 hour at room temperature followed by incubation with the Anti-Mouse IgG VisUCyte™ HRP Polymer Antibody (VC001). Before incubation with the primary antibody, tissue was subjected to heat-induced epitope retrieval using Antigen Retrieval Reagent-Basic (CTS013). Tissue was stained using DAB (brown) and counterstained with hematoxylin (blue). Specific staining was localized to cell surfaces in lymphocytes. View our protocol for IHC Staining with VisUCyte HRP Polymer Detection Reagents.
Reconstitution Calculator
Preparation and Storage
- 12 months from date of receipt, -20 to -70 °C as supplied.
- 1 month, 2 to 8 °C under sterile conditions after reconstitution.
- 6 months, -20 to -70 °C under sterile conditions after reconstitution.
Background: CD8
CD8 is a heterodimeric glycoprotein consisting of an alpha and beta chain. It is expressed on cytolytic T cells and functions in conjunction with the T cell receptor in the recognition of MHC/peptide complexes.
Product Datasheets
Citation for Human CD8 alpha Antibody
R&D Systems personnel manually curate a database that contains references using R&D Systems products. The data collected includes not only links to publications in PubMed, but also provides information about sample types, species, and experimental conditions.
1 Citation: Showing 1 - 1
-
Cohort Analysis of ADAM8 Expression in the PDAC Tumor Stroma
Authors: C Jaworek, Y Verel-Yilm, S Driesch, S Ostgathe, L Cook, S Wagner, DK Bartsch, EP Slater, JW Bartsch
Journal of personalized medicine, 2021-02-10;11(2):.
Species: Human
Sample Types: Whole Tissue
Applications: IHC
FAQs
No product specific FAQs exist for this product, however you may
View all Antibody FAQsReviews for Human CD8 alpha Antibody
Average Rating: 4 (Based on 2 Reviews)
Have you used Human CD8 alpha Antibody?
Submit a review and receive an Amazon gift card.
$25/€18/£15/$25CAN/¥75 Yuan/¥2500 Yen for a review with an image
$10/€7/£6/$10 CAD/¥70 Yuan/¥1110 Yen for a review without an image
Filter by:
