DPP3 (DiPeptidyl Peptidase III; also known as Dipeptidyl arylamidase III and Enkephalinase B) is a cytosolic member of the metallopeptidase family of proteins (1, 2). More specifically, it is classified as the singular member of the M49/Clan M- family of enzymes that possesses an unusual six-amino acid, zinc-binding motif (HExxGH) (1, 3). Notably, DPP # 3 is the only DPP that qualifies as a metallopeptidase, as all other DPPs belong to either the cysteine or serine class of peptidases. DPP3 is widely expressed, being found in numerous hematopoietic cells (RBCs, neutrophils, monocytes) and epithelium-dominated tissues (1, 4, 5). Although DPP3 was initially reported to be an Arg-Arg dipeptidase for non-N-terminally substituted peptides, it is now known to be active on a wide range of amino acid combinations, and thus qualifies as a non-specific peptidase. DPP3 does show restriction when it comes to peptide length, however; peptides shorter than three and longer than ten amino acids are very poor substrates for DPP3. Consistent with its broad range of substrates, DPP3 likely has multiple functions. It has been suggested to be a general mediator of peptidome degradation (i.e. the three-to-24 amino acid cytoplasmic fragments that result from initial proteasome degradation), and is considered particularly important in the degradation of proline-containing peptides (1, 6). Conversely, elevated levels of DDP3 activity will reduce the availability of eight-to-ten amino acid length peptides that are used for MHC presentation, adversely affect this crucial immune surveillance activity. DDP3 is also found extracellularly, and has documented activity against angiotensin II-IV and opioids, suggesting a role for DPP3 in both blood pressure regulation and pain modulation (1, 6-8). Finally, DPP3 appears to play a protective role in oxidative stress. Nrf2 is a Zn-finger transcription factor that stimulates antioxidant enzyme production. Normally, it is sequestered in the cytosol through complex formation with Keap I. Though the details are somewhat unclear, under oxidative stress, DPP3 appears to promote the dissociation of Nrf2 and Keap I, directing Nrf2 into the nucleus with subsequent antioxidant enzyme transcription (1). Human DPP3 is 737 amino acids in length, contains a peptidase region over aa 143-705, and is reported to run as a 93-94 kDa protein on SDS-PAGE (2). Although there is no canonical signal sequence, as noted, it is found extracellularly. Potential sites for myristoylation are known and, if utilized, may account for reports of a DPP3 presence in membranes (1). There are potential isoform variants. One shows a deletion of aa 182-601, while another shows a deletion of aa 91-120. Mouse and rat DPP3 share 93% aa sequence identity with human DPP3.
Key Product Details
Species Reactivity
Human
Applications
Immunohistochemistry, Western Blot, Immunocytochemistry
Label
Unconjugated
Antibody Source
Monoclonal Rat IgG2B Clone # 986603
Loading...
Product Specifications
Immunogen
E. coli-derived recombinant human DPP3
Ala2-Ala737
Accession # Q9NY33
Ala2-Ala737
Accession # Q9NY33
Specificity
Detects human DPP3 in direct ELISAs.
Clonality
Monoclonal
Host
Rat
Isotype
IgG2B
Scientific Data Images for Human DPP3 Antibody
Detection of Human DPP3 by Western Blot.
Western blot shows lysates of HepG2 human hepatocellular carcinoma cell line, Raji human Burkitt's lymphoma cell line, and human kidney tissue. PVDF membrane was probed with 2 µg/mL of Rat Anti-Human DPP3 Monoclonal Antibody (Catalog # MAB80872) followed by HRP-conjugated Anti-Rat IgG Secondary Antibody (Catalog # HAF005). A specific band was detected for DPP3 at approximately 75 kDa (as indicated). This experiment was conducted under reducing conditions and using Immunoblot Buffer Group 1.DPP3 in HeLa Human Cell Line.
DPP3 was detected in immersion fixed HeLa human cervical epithelial carcinoma cell line using Rat Anti-Human DPP3 Monoclonal Antibody (Catalog # MAB80872) at 8 µg/mL for 3 hours at room temperature. Cells were stained using the NorthernLights™ 557-conjugated Anti-Rat IgG Secondary Antibody (red; Catalog # NL013) and counterstained with DAPI (blue). Specific staining was localized to cytoplasm. View our protocol for Fluorescent ICC Staining of Cells on Coverslips.DPP3 in Human Squamous Cell Carcinoma.
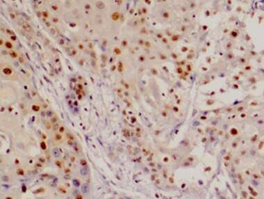
DPP3 was detected in immersion fixed paraffin-embedded sections of human squamous cell carcinoma using Rat Anti-Human DPP3 Monoclonal Antibody (Catalog # MAB80872) at 5 µg/mL for 1 hour at room temperature followed by incubation with the Anti-Rat IgG VisUCyte™ HRP Polymer Antibody (Catalog # VC005). Before incubation with the primary antibody, tissue was subjected to heat-induced epitope retrieval using Antigen Retrieval Reagent-Basic (Catalog # CTS013). Tissue was stained using DAB (brown) and counterstained with hematoxylin (blue). Specific staining was localized to cytoplasm. View our protocol for IHC Staining with VisUCyte HRP Polymer Detection Reagents.Applications for Human DPP3 Antibody
Application
Recommended Usage
Immunocytochemistry
8-25 µg/mL
Sample: Immersion fixed HeLa human cervical epithelial carcinoma cell line
Sample: Immersion fixed HeLa human cervical epithelial carcinoma cell line
Immunohistochemistry
5-25 µg/mL
Sample: Immersion fixed paraffin-embedded sections of human squamous cell carcinoma tissue
Sample: Immersion fixed paraffin-embedded sections of human squamous cell carcinoma tissue
Western Blot
2 µg/mL
Sample: HepG2 human hepatocellular carcinoma cell line, Raji human Burkitt's lymphoma cell line, and human kidney tissue
Sample: HepG2 human hepatocellular carcinoma cell line, Raji human Burkitt's lymphoma cell line, and human kidney tissue
Reviewed Applications
Read 1 review rated 5 using MAB80872 in the following applications:
Formulation, Preparation, and Storage
Purification
Protein A or G purified from hybridoma culture supernatant
Reconstitution
Reconstitute at 0.5 mg/mL in sterile PBS. For liquid material, refer to CoA for concentration.
Loading...
Formulation
Lyophilized from a 0.2 μm filtered solution in PBS with Trehalose. *Small pack size (SP) is supplied either lyophilized or as a 0.2 µm filtered solution in PBS.
Shipping
Lyophilized product is shipped at ambient temperature. Liquid small pack size (-SP) is shipped with polar packs. Upon receipt, store immediately at the temperature recommended below.
Stability & Storage
Use a manual defrost freezer and avoid repeated freeze-thaw cycles.
- 12 months from date of receipt, -20 to -70 °C as supplied.
- 1 month, 2 to 8 °C under sterile conditions after reconstitution.
- 6 months, -20 to -70 °C under sterile conditions after reconstitution.
Calculators
Background: DPP3
References
- Prajapati, S.C. & S. S. Chauhan (2011) FEBS J. 278:3256.
- Fukasawa, K. et al. (1998) Biochem. J. 329:275.
- Hirose, J. et al. (2004) Arch. Biochem. Biophys. 431:1.
- Jones, T.H & A. Kapralou (1982) Anal. Biochem. 119:418.
- Hashimoto, J. et al. (2000) Biochem. Biophys. Res. Commun. 273:393.
- Barsun, M. et al. (2007) Biol. Chem. 388:343.
- Allard, M. et al. (1987) J. Neurochem. 48:1553.
- Bezerra, G.A. et al. (2012) Proc. Natl. Acad. Sci. USA 109:6525.
Long Name
Dipeptidyl-peptidase 3
Alternate Names
DPPIII
Gene Symbol
DPP3
UniProt
Additional DPP3 Products
Product Documents for Human DPP3 Antibody
Certificate of Analysis
To download a Certificate of Analysis, please enter a lot or batch number in the search box below.
Note: Certificate of Analysis not available for kit components.
Product Specific Notices for Human DPP3 Antibody
For research use only
Related Research Areas
Customer Reviews for Human DPP3 Antibody (1)
5 out of 5
1 Customer Rating
Have you used Human DPP3 Antibody?
Submit a review and receive an Amazon gift card!
$25/€18/£15/$25CAN/¥2500 Yen for a review with an image
$10/€7/£6/$10CAN/¥1110 Yen for a review without an image
Submit a review
Customer Images
Showing
1
-
1 的
1 review
Showing All
Filter By:
-
Application: ImmunohistochemistrySample Tested: Squamous cell carcinomaSpecies: HumanVerified Customer | Posted 08/03/2022
There are no reviews that match your criteria.
Protocols
Find general support by application which include: protocols, troubleshooting, illustrated assays, videos and webinars.
- Antigen Retrieval Protocol (PIER)
- Antigen Retrieval for Frozen Sections Protocol
- Appropriate Fixation of IHC/ICC Samples
- Cellular Response to Hypoxia Protocols
- Chromogenic IHC Staining of Formalin-Fixed Paraffin-Embedded (FFPE) Tissue Protocol
- Chromogenic Immunohistochemistry Staining of Frozen Tissue
- ClariTSA™ Fluorophore Kits
- Detection & Visualization of Antibody Binding
- Fluorescent IHC Staining of Frozen Tissue Protocol
- Graphic Protocol for Heat-induced Epitope Retrieval
- Graphic Protocol for the Preparation and Fluorescent IHC Staining of Frozen Tissue Sections
- Graphic Protocol for the Preparation and Fluorescent IHC Staining of Paraffin-embedded Tissue Sections
- Graphic Protocol for the Preparation of Gelatin-coated Slides for Histological Tissue Sections
- ICC Cell Smear Protocol for Suspension Cells
- ICC Immunocytochemistry Protocol Videos
- ICC for Adherent Cells
- IHC Sample Preparation (Frozen sections vs Paraffin)
- Immunocytochemistry (ICC) Protocol
- Immunocytochemistry Troubleshooting
- Immunofluorescence of Organoids Embedded in Cultrex Basement Membrane Extract
- Immunofluorescent IHC Staining of Formalin-Fixed Paraffin-Embedded (FFPE) Tissue Protocol
- Immunohistochemistry (IHC) and Immunocytochemistry (ICC) Protocols
- Immunohistochemistry Frozen Troubleshooting
- Immunohistochemistry Paraffin Troubleshooting
- Preparing Samples for IHC/ICC Experiments
- Preventing Non-Specific Staining (Non-Specific Binding)
- Primary Antibody Selection & Optimization
- Protocol for Heat-Induced Epitope Retrieval (HIER)
- Protocol for Making a 4% Formaldehyde Solution in PBS
- Protocol for VisUCyte™ HRP Polymer Detection Reagent
- Protocol for the Fluorescent ICC Staining of Cell Smears - Graphic
- Protocol for the Fluorescent ICC Staining of Cultured Cells on Coverslips - Graphic
- Protocol for the Preparation & Fixation of Cells on Coverslips
- Protocol for the Preparation and Chromogenic IHC Staining of Frozen Tissue Sections
- Protocol for the Preparation and Chromogenic IHC Staining of Frozen Tissue Sections - Graphic
- Protocol for the Preparation and Chromogenic IHC Staining of Paraffin-embedded Tissue Sections
- Protocol for the Preparation and Chromogenic IHC Staining of Paraffin-embedded Tissue Sections - Graphic
- Protocol for the Preparation and Fluorescent ICC Staining of Cells on Coverslips
- Protocol for the Preparation and Fluorescent ICC Staining of Non-adherent Cells
- Protocol for the Preparation and Fluorescent ICC Staining of Stem Cells on Coverslips
- Protocol for the Preparation and Fluorescent IHC Staining of Frozen Tissue Sections
- Protocol for the Preparation and Fluorescent IHC Staining of Paraffin-embedded Tissue Sections
- Protocol for the Preparation of Gelatin-coated Slides for Histological Tissue Sections
- Protocol for the Preparation of a Cell Smear for Non-adherent Cell ICC - Graphic
- R&D Systems Quality Control Western Blot Protocol
- TUNEL and Active Caspase-3 Detection by IHC/ICC Protocol
- The Importance of IHC/ICC Controls
- Troubleshooting Guide: Immunohistochemistry
- Troubleshooting Guide: Western Blot Figures
- Western Blot Conditions
- Western Blot Protocol
- Western Blot Protocol for Cell Lysates
- Western Blot Troubleshooting
- Western Blot Troubleshooting Guide
- View all Protocols, Troubleshooting, Illustrated assays and Webinars
Loading...