Human G6PD Antibody Summary
Ala2-Leu515
Accession # P11413
Applications
Please Note: Optimal dilutions should be determined by each laboratory for each application. General Protocols are available in the Technical Information section on our website.
Scientific Data
View Larger
Detection of Human G6PD by Western Blot. Western Blot shows lysates of A549 human lung carcinoma cell line and MCF‑7 human breast cancer cell line. PVDF membrane was probed with 1 µg/ml of Mouse Anti-Human G6PD Monoclonal Antibody (Catalog # MAB11467) followed by HRP-conjugated Anti-Mouse IgG Secondary Antibody (Catalog # HAF018). A specific band was detected for G6PD at approximately 59 kDa (as indicated). This experiment was conducted under reducing conditions and using Western Blot Buffer Group 1.
View Larger
Detection of Human G6PD by Simple WesternTM. Simple Western shows lysates of MCF‑7 human breast cancer cell line, Jurkat human acute T cell leukemia cell line and A549 human lung carcinoma cell line, loaded at 0.2 mg/ml. A specific band was detected for G6PD at approximately 58 kDa (as indicated) using 10 µg/mL of Mouse Anti-Human G6PD Monoclonal Antibody (Catalog # MAB11467) followed by 1:50 dilution of HRP-conjugated Anti-Mouse IgG Secondary Antibody (Catalog # HAF018). This experiment was conducted under reducing conditions and using the 12-230 kDa separation system.
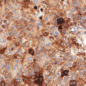
View Larger
Detection of G6PD in Liver Cancer. G6PD was detected in immersion fixed paraffin-embedded sections of liver cancer using Mouse Anti-Human G6PD Monoclonal Antibody (Catalog # mab11467) at 1 µg/ml for 1 hour at room temperature followed by incubation with the Anti-Mouse IgG VisUCyte™ HRP Polymer Antibody (Catalog # VC001). Before incubation with the primary antibody, tissue was subjected to heat-induced epitope retrieval using VisUCyte Antigen Retrieval Reagent-Basic (Catalog # VCTS021). Tissue was stained using DAB (brown) and counterstained with hematoxylin (blue). Specific staining was localized to cytoplasm. View our protocol for Chromogenic IHC Staining of Paraffin-embedded Tissue Sections.
Reconstitution Calculator
Preparation and Storage
- 12 months from date of receipt, -20 to -70 °C as supplied.
- 1 month, 2 to 8 °C under sterile conditions after reconstitution.
- 6 months, -20 to -70 °C under sterile conditions after reconstitution.
Background: G6PD
Glucose-6-phosphate dehydrogenase (G6PD) converts D-glucose 6-phosphate (G6P) into 6-phosphoglucono-δ-lactone and generate co-enzyme nicotinamide adenine dinucleotide phosphate (NADPH) (1). G6PD is the rate-limiting enzyme of the pentose phosphate pathway that supplies reducing energy to cells by maintaining the level of NADPH, which in turn maintains the level of glutathione in these cells that helps protect the red blood cells against oxidative damage from compounds like hydrogen peroxide (1, 2). More importantly, NADPH is used for biosynthesis of fatty acids or isoprenoids. G6PD is generally found as a dimer of two identical monomers (3). Depending on conditions, such as pH, these dimers can themselves dimerize to form tetramers. Each monomer in the complex has a substrate binding site that binds to G6P, and a catalytic coenzyme binding site that binds to NADP+/NADPH using the Rossman fold (4). Its activity is stimulated by the substrate G6P and NADP+. Clinically, genetic deficiency of G6PD predisposes a person to non-immune hemolytic anemia (5). G6PD is remarkable for its genetic diversity. Many variants of G6PD have been described with wide-ranging levels of enzyme activity and associated clinical symptoms. G6PD is frequently used as a coupling enzyme for measuring the enzymatic activity of glucose kinase (6).
- Au, S.W. et al. (2000). Structure 8:293.
- Thomas, D. et al. (1991). The EMBO Journal 10:547.
- Kiani, F. et al. (2007). PLOS One 2:e625.
- Kotaka, M. et al. (2005). Acta Crystallographica D 61:495.
- Cappellini, M.D. and Fiorelli, G. (2008). Lancet 371:64.
- Goward, C.R. et al. (1986) Biochemical Journal 237:415.
Product Datasheets
FAQs
No product specific FAQs exist for this product, however you may
View all Antibody FAQsReviews for Human G6PD Antibody
There are currently no reviews for this product. Be the first to review Human G6PD Antibody and earn rewards!
Have you used Human G6PD Antibody?
Submit a review and receive an Amazon gift card.
$25/€18/£15/$25CAN/¥75 Yuan/¥2500 Yen for a review with an image
$10/€7/£6/$10 CAD/¥70 Yuan/¥1110 Yen for a review without an image
