Mouse Progranulin/PGRN Antibody Summary
Thr18-Leu589
Accession # P28798
Applications
Please Note: Optimal dilutions should be determined by each laboratory for each application. General Protocols are available in the Technical Information section on our website.
Scientific Data
View Larger
Detection of Mouse Progranulin/PGRN by Western Blot. Western blot shows lysates of mouse uterus tissue and J774A.1 mouse reticulum cell sarcoma macrophage cell line. PVDF membrane was probed with 0.5 µg/mL of Sheep Anti-Mouse Progranulin/PGRN Antigen Affinity-purified Polyclonal Antibody (Catalog # AF2557) followed by HRP-conjugated Anti-Sheep IgG Secondary Antibody (Catalog # HAF016). A specific band was detected for Progranulin/PGRN at approximately 85-90 kDa (as indicated). This experiment was conducted under reducing conditions and using Immunoblot Buffer Group 1.
View Larger
Progranulin/PGRN in Mouse Splencytes. Progranulin/PGRN was detected in immersion fixed mouse splenocytes using Sheep Anti-Mouse Progranulin/PGRN Antigen Affinity-purified Polyclonal Antibody (Catalog # AF2557) at 5 µg/mL for 3 hours at room temperature. Cells were stained using the NorthernLights™ 557-conjugated Anti-Sheep IgG Secondary Antibody (red; Catalog # NL010) and counterstained with DAPI (blue). Specific staining was localized to cytoplasm. View our protocol for Fluorescent ICC Staining of Non-adherent Cells.
View Larger
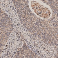
Progranulin in Mouse Kidney. Progranulin was detected in immersion fixed frozen sections of mouse kidney using Sheep Anti-Mouse Progranulin Antigen Affinity-purified Polyclonal Antibody (Catalog # AF2557) at 15 µg/mL overnight at 4 °C. Tissue was stained using the Anti-Sheep HRP-DAB Cell & Tissue Staining Kit (brown; Catalog # CTS019) and counterstained with hematoxylin (blue). View our protocol for Chromogenic IHC Staining of Frozen Tissue Sections.
View Larger
Detection of Mouse Progranulin/PGRN by Immunocytochemistry/Immunofluorescence PGRN immunolabeling following ND-602.(A) Representative photomicrographs depicting PGRN immunolabeling in the dentate gyrus of the Tg2576 mouse brain following unilateral intracerebral administration of either LV-GFP, or LV-PGRN (ND-602). (B) The hippocampal density of PGRN immunolabeling was significantly elevated following ND-602 administration in both the ipsilateral and contralateral hemispheres. (C) PGRN protein expression (progranulin/ beta -actin gray values) in the hippocampus was detected by western blot assay. (D) Representative fluorescent photomicrographs depicting PGRN immunolabeling in the entorhinal cortex and frontal cortex following unilateral intracerebral administration of either LV-GFP, or LV-PGRN (ND-602). (E) The density of PGRN immunolabeling was significantly elevated following ND-602 administration in both hemispheres. By contrast, elevations in the (F) frontal cortex did not reach statistical significance. (G) Representative fluorescent photomicrograph depicting GFP (green) and NeuN (red) immunolabeling throughout the ipsilateral hippocampus following lentiviral delivery. The image is a tiled composite of multiple images obtained at 20X magnification. A closer view, (H) shows viral transduction of both NeuN-positive and–negative cells. Each bar represents the mean (± S.E.M.) (n = 8–10) optical density measured across 4 coronal sections. ** sig. diff. from GFP-treated controls, p < 0.001; * p < 0.05. ++ sig. diff. from contralateral hemisphere, p < 0.001. Image collected and cropped by CiteAb from the following publication (https://pubmed.ncbi.nlm.nih.gov/28837568), licensed under a CC-BY license. Not internally tested by R&D Systems.
View Larger
Detection of Mouse Progranulin/PGRN by Immunocytochemistry/Immunofluorescence PGRN immunolabeling following ND-602.(A) Representative photomicrographs depicting PGRN immunolabeling in the dentate gyrus of the Tg2576 mouse brain following unilateral intracerebral administration of either LV-GFP, or LV-PGRN (ND-602). (B) The hippocampal density of PGRN immunolabeling was significantly elevated following ND-602 administration in both the ipsilateral and contralateral hemispheres. (C) PGRN protein expression (progranulin/ beta -actin gray values) in the hippocampus was detected by western blot assay. (D) Representative fluorescent photomicrographs depicting PGRN immunolabeling in the entorhinal cortex and frontal cortex following unilateral intracerebral administration of either LV-GFP, or LV-PGRN (ND-602). (E) The density of PGRN immunolabeling was significantly elevated following ND-602 administration in both hemispheres. By contrast, elevations in the (F) frontal cortex did not reach statistical significance. (G) Representative fluorescent photomicrograph depicting GFP (green) and NeuN (red) immunolabeling throughout the ipsilateral hippocampus following lentiviral delivery. The image is a tiled composite of multiple images obtained at 20X magnification. A closer view, (H) shows viral transduction of both NeuN-positive and–negative cells. Each bar represents the mean (± S.E.M.) (n = 8–10) optical density measured across 4 coronal sections. ** sig. diff. from GFP-treated controls, p < 0.001; * p < 0.05. ++ sig. diff. from contralateral hemisphere, p < 0.001. Image collected and cropped by CiteAb from the following publication (https://pubmed.ncbi.nlm.nih.gov/28837568), licensed under a CC-BY license. Not internally tested by R&D Systems.
View Larger
Detection of Mouse Progranulin/PGRN by Western Blot PGRN immunolabeling following ND-602.(A) Representative photomicrographs depicting PGRN immunolabeling in the dentate gyrus of the Tg2576 mouse brain following unilateral intracerebral administration of either LV-GFP, or LV-PGRN (ND-602). (B) The hippocampal density of PGRN immunolabeling was significantly elevated following ND-602 administration in both the ipsilateral and contralateral hemispheres. (C) PGRN protein expression (progranulin/ beta -actin gray values) in the hippocampus was detected by western blot assay. (D) Representative fluorescent photomicrographs depicting PGRN immunolabeling in the entorhinal cortex and frontal cortex following unilateral intracerebral administration of either LV-GFP, or LV-PGRN (ND-602). (E) The density of PGRN immunolabeling was significantly elevated following ND-602 administration in both hemispheres. By contrast, elevations in the (F) frontal cortex did not reach statistical significance. (G) Representative fluorescent photomicrograph depicting GFP (green) and NeuN (red) immunolabeling throughout the ipsilateral hippocampus following lentiviral delivery. The image is a tiled composite of multiple images obtained at 20X magnification. A closer view, (H) shows viral transduction of both NeuN-positive and–negative cells. Each bar represents the mean (± S.E.M.) (n = 8–10) optical density measured across 4 coronal sections. ** sig. diff. from GFP-treated controls, p < 0.001; * p < 0.05. ++ sig. diff. from contralateral hemisphere, p < 0.001. Image collected and cropped by CiteAb from the following publication (https://pubmed.ncbi.nlm.nih.gov/28837568), licensed under a CC-BY license. Not internally tested by R&D Systems.
View Larger
Detection of Human Mouse Progranulin/PGRN Antibody by Western Blot PSAP and PGRN levels are decreased in cingulate cortex tissue of schizophrenia patients. (A) Representative immunoblots of PSAP, PGRN, and beta -actin in cingulate cortex tissue from subjects of healthy control (Ctrl), schizophrenia (SCZ), bipolar disorder (BP), and major depressive disorder (MDD). Upper panel, illustration of cingulate cortex in human brain. (B,C) Bar graphs presenting quantification of the ratio of protein levels of PSAP/ beta -actin (B) and PGRN/ beta -actin (C). (D,E) Scatter plots showing the Pearson’s correlation analysis of PSAP and lifetime quantity of fluphenazine or equivalent (FLU) in schizophrenia (D) and bipolar disorder group (E), respectively. Each dot represents one patient of SCZ (blue) or BP (magenta). (F,G) Scatter plots showing the Pearson’s correlation analysis of PGRN and FLU in schizophrenia (F) and bipolar disorder group (G), respectively. One-way ANOVA with Sidak’s post hoc test. N = 11–12 samples in each group. Data are presented as mean ± S.E.M. * p ˂ 0.05 compared to Ctrl. Image collected and cropped by CiteAb from the following publication (https://pubmed.ncbi.nlm.nih.gov/36233357), licensed under a CC-BY license. Not internally tested by R&D Systems.
View Larger
Detection of Mouse Mouse Progranulin/PGRN Antibody by Immunohistochemistry Conditional deletion of neuronal PSAP in the cingulate cortex causes downregulation of neuronal PGRN. (A) Representative fluorescent in situ hybridization images of PSAP mRNA in the cingulate cortex of mice injected with AAV-GFP and AAV-GFP-Cre. Upper row, schematic depiction of stereotaxic injection sites in one hemisphere (the same in the other hemisphere). Scale bar, 50 μm. (B) Representative immunofluorescent staining images of GFP (cyan), Cre (orange), PSAP (magenta), and PGRN (yellow) in the cingulate cortex of mice injected with AAV-GFP and AAV-GFP-Cre, respectively. Scale bar, 20 μm. (C,D) Bar graphs showing quantification of mean fluorescence intensity (MFI) of PSAP (C) and PGRN (D) staining in GFP- or Cre-positive cells. A.U, arbitrary unit. Student’s t-test, N = 34 cells in each group. Data are presented as mean ± S.E.M. **** p ˂ 0.0001. Image collected and cropped by CiteAb from the following publication (https://pubmed.ncbi.nlm.nih.gov/36233357), licensed under a CC-BY license. Not internally tested by R&D Systems.
Reconstitution Calculator
Preparation and Storage
- 12 months from date of receipt, -20 to -70 °C as supplied.
- 1 month, 2 to 8 °C under sterile conditions after reconstitution.
- 6 months, -20 to -70 °C under sterile conditions after reconstitution.
Background: Progranulin/PGRN
Mouse Progranulin, also known as Proepithelin, PC Cell-derived Growth Factor and Acrogranin, is a secreted protein of 572 amino acid residues. It contains seven and one half granulin repeats which are characterized by 6 disulfide bridges. Progranulin can be converted in vivo to granulins by proteolysis. Progranulin is a mitogen that stimulates proliferation and survival of various epithelial, mesenchymal and tumor cells. Several granulins have also been shown to be biologically active and may play a role in inflammation and wound healing. Mouse Progranulin shares 86% and 75% amino acid sequence homology with rat and human Progranulin, respectively.
Product Datasheets
Citations for Mouse Progranulin/PGRN Antibody
R&D Systems personnel manually curate a database that contains references using R&D Systems products. The data collected includes not only links to publications in PubMed, but also provides information about sample types, species, and experimental conditions.
57
Citations: Showing 1 - 10
Filter your results:
Filter by:
-
Effects of Exercise on Progranulin Levels and Gliosis in Progranulin-Insufficient Mice1,2,3
Authors: Andrew E. Arrant, Aashka R. Patel, Erik D. Roberson
eNeuro
-
Outcomes of progranulin gene therapy in the retina are dependent on time and route of delivery
Authors: Emilia A. Zin, Daisy Han, Jennifer Tran, Nikolas Morrison-Welch, Meike Visel, Mervi Kuronen et al.
Molecular Therapy - Methods & Clinical Development
-
Loss of TMEM106B and PGRN leads to severe lysosomal abnormalities and neurodegeneration in mice
Authors: Feng T, Mai S, Roscoe JM et al.
EMBO Rep.
-
Progranulin deficiency results in sex-dependent alterations in microglia in response to demyelination
Authors: Zhang T, Feng T, Wu K et al.
Acta Neuropathologica
-
A multifaceted role of progranulin in regulating amyloid-beta dynamics and responses
Authors: Du H, Wong MY, Zhang T et al.
Life science alliance
-
AAV-GRN partially corrects motor deficits and ALS/FTLD-related pathology in Tmem106bGrn mice
Authors: Feng T, Minevich G, Liu P et al.
iScience
-
SMCR8 negatively regulates AKT and MTORC1 signaling to modulate lysosome biogenesis and tissue homeostasis
Authors: Shivapathasundram G, Wickremesekera A, Brasch H et al.
Autophagy
-
Progranulin inhibits phospholipase sPLA2-IIA to control neuroinflammation
Authors: H Du, C Yang, AL Nana, WW Seeley, M Smolka, F Hu
bioRxiv : the preprint server for biology, 2023-04-06;0(0):.
-
Reduction of microglial progranulin does not exacerbate pathology or behavioral deficits in neuronal progranulin-insufficient mice
Authors: Andrew E. Arrant, Anthony J. Filiano, Aashka R. Patel, Madelyn Q. Hoffmann, Nicholas R. Boyle, Shreya N. Kashyap et al.
Neurobiology of Disease
-
Targeting nonsense-mediated RNA decay does not increase progranulin levels in the Grn R493X mouse model of frontotemporal dementia
Authors: DM Smith, ML Niehoff, K Ling, P Jafar-Neja, F Rigo, SA Farr, MF Wilkinson, AD Nguyen
PLoS ONE, 2023-03-09;18(3):e0282822.
-
Loss of FMRP in microglia promotes degeneration of parvalbumin neurons and audiogenic seizures via progranulin insufficiency
Authors: Li, H;Choi, JJ;Huang, EJ;Xu, B;
bioRxiv : the preprint server for biology
Species: Mouse
Sample Types: Tissue Homogenates
Applications: Western Blot -
Reduced progranulin increases tau and ?-synuclein inclusions and alters mouse tauopathy phenotypes via glucocerebrosidase
Authors: Takahashi, H;Bhagwagar, S;Nies, SH;Ye, H;Han, X;Chiasseu, MT;Wang, G;Mackenzie, IR;Strittmatter, SM;
Nature communications
Species: Mouse
Sample Types: Whole Tissue
Applications: IHC -
Prosaposin maintains lipid homeostasis in dopamine neurons and counteracts experimental parkinsonism in rodents
Authors: He, Y;Kaya, I;Shariatgorji, R;Lundkvist, J;Wahlberg, LU;Nilsson, A;Mamula, D;Kehr, J;Zareba-Paslawska, J;Biverstål, H;Chergui, K;Zhang, X;Andren, PE;Svenningsson, P;
Nature communications
Species: Mouse
Sample Types: Whole Tissue
Applications: IHC -
Loss of Progranulin Results in Increased Pan-Cathepsin Activity and Reduced LAMP1 Lysosomal Protein
Authors: Anderson, A;Tansey, MG;
bioRxiv : the preprint server for biology
Species: Mouse
Sample Types: Cell Lysates
Applications: Western Blot -
Progranulin deficiency results in sex-dependent alterations in microglia in response to demyelination
Authors: Zhang T, Feng T, Wu K et al.
Acta Neuropathologica
-
AAV-GRN partially corrects motor deficits and ALS/FTLD-related pathology in Tmem106bGrn mice
Authors: Feng T, Minevich G, Liu P et al.
iScience
-
Decreased Prosaposin and Progranulin in the Cingulate Cortex Are Associated with Schizophrenia Pathophysiology
Authors: Y He, X Zhang, I Flais, P Svenningss
International Journal of Molecular Sciences, 2022-10-10;23(19):.
Species: Mouse
Sample Types: Whole Tissue
Applications: IHC -
Progranulin-derived granulin E and lysosome membrane protein CD68 interact to reciprocally regulate their protein homeostasis
Authors: MN Santos, DH Paushter, T Zhang, X Wu, T Feng, J Lou, H Du, SM Becker, R Fragoza, H Yu, F Hu
The Journal of Biological Chemistry, 2022-08-04;0(0):102348.
Species: Mouse
Sample Types: Tissue Homogenates
Applications: Western Blot -
Progranulin Preserves Autophagy Flux and Mitochondrial Function in Rat Cortical Neurons Under High Glucose Stress
Authors: C Dedert, V Mishra, G Aggarwal, AD Nguyen, F Xu
Frontiers in Cellular Neuroscience, 2022-07-08;16(0):874258.
Species: Rat
Sample Types: Tissue Homogenates, Whole Cells
Applications: ICC, Western Blot -
Efficient progranulin exit from the ER requires its interaction with prosaposin, a Surf4 cargo
Authors: Swathi Devireddy, Shawn M. Ferguson
Journal of Cell Biology
Species: Mouse
Sample Types: Whole Cells
Applications: Immunocytochemistry -
Differential regulation of progranulin derived granulin peptides
Authors: T Zhang, H Du, MN Santos, X Wu, MD Pagan, LJ Trigiani, N Nishimura, T Reinheckel, F Hu
Molecular Neurodegeneration, 2022-02-04;17(1):15.
Species: Mouse
Sample Types: Tissue Homogenates
Applications: Western Blot -
Progranulin deficiency in Iba-1+ myeloid cells exacerbates choroidal neovascularization by perturbation of lysosomal function and abnormal inflammation
Authors: K Takahashi, S Nakamura, W Otsu, M Shimazawa, H Hara
Journal of Neuroinflammation, 2021-07-25;18(1):164.
Species: Mouse
Sample Types: Tissue Homogenates, Whole Tissue
Applications: IHC, Western Blot -
Neuropathological and behavioral characterization of aged Grn R493X progranulin-deficient frontotemporal dementia knockin mice
Authors: J Frew, HB Nygaard
Acta neuropathologica communications, 2021-04-01;9(1):57.
Species: Mouse
Sample Types: Tissue Homogenates, Whole Tissue
Applications: IHC, Western Blot -
Differential organ-specific inflammatory response to progranulin in high-fat diet-fed mice
Authors: M Murakoshi, T Gohda, E Adachi, S Ichikawa, S Hagiwara, Y Suzuki
Scientific Reports, 2021-01-13;11(1):1194.
Species: Mouse
Sample Types: Whole Tissue
Applications: IHC -
Effects of progranulin on the pathological conditions in experimental myocardial infarction model
Authors: T Sasaki, M Shimazawa, H Kanamori, Y Yamada, A Nishinaka, Y Kuse, G Suzuki, T Masuda, S Nakamura, M Hosokawa, S Minatoguch, H Hara
Sci Rep, 2020-07-16;10(1):11842.
Species: Mouse
Sample Types: Tissue Lysate, Whole Tissue
Applications: IF, Western Blot -
Coupling of terminal differentiation deficit with neurodegenerative pathology in Vps35-deficient pyramidal neurons
Authors: FL Tang, L Zhao, Y Zhao, D Sun, XJ Zhu, L Mei, WC Xiong
Cell Death Differ., 2020-01-06;0(0):.
Species: Mouse
Sample Types: Whole Tissue
Applications: IHC -
Progranulin deficiency exacerbates spinal cord injury by promoting neuroinflammation and cell apoptosis in mice
Authors: C Wang, L Zhang, JC Ndong, A Hettinghou, G Sun, C Chen, C Zhang, R Liu, CJ Liu
J Neuroinflammation, 2019-11-27;16(1):238.
Species: Mouse
Sample Types: Tissue homogena
Applications: Western Blot -
Induction of PGRN by influenza virus inhibits the antiviral immune responses through downregulation of type I interferons signaling
Authors: F Wei, Z Jiang, H Sun, J Pu, Y Sun, M Wang, Q Tong, Y Bi, X Ma, GF Gao, J Liu
PLoS Pathog., 2019-10-04;15(10):e1008062.
Species: Mouse
Sample Types: In Vivo
Applications: In Vivo -
Progranulin deficiency leads to reduced glucocerebrosidase activity
Authors: X Zhou, DH Paushter, MD Pagan, D Kim, M Nunez Sant, RL Lieberman, HS Overkleeft, Y Sun, MB Smolka, F Hu
PLoS ONE, 2019-07-10;14(7):e0212382.
Species: Mouse
Sample Types: Whole Cells
Applications: Western Blot -
Genetic Regulation of Neuronal Progranulin Reveals a Critical Role for the Autophagy-Lysosome Pathway
Authors: LP Elia, AR Mason, A Alijagic, S Finkbeiner
J. Neurosci., 2019-01-29;0(0):.
Species: Mouse
Sample Types: Serum
Applications: ELISA Development (Detection) -
Microglia increases the proliferation of retinal precursor cells during postnatal development
Authors: Y Kuse, K Ohuchi, S Nakamura, H Hara, M Shimazawa
Mol. Vis., 2018-07-30;24(0):536-545.
Species: Mouse
Sample Types: Tissue Homogenates, Whole Tissue
Applications: IHC, Western Blot -
Loss of Tmem106b is unable to ameliorate frontotemporal dementia-like phenotypes in an AAV mouse model of C9ORF72-repeat induced toxicity
Authors: AM Nicholson, X Zhou, RB Perkerson, TM Parsons, J Chew, M Brooks, M DeJesus-He, NA Finch, BJ Matchett, A Kurti, KR Jansen-Wes, E Perkerson, L Daughrity, M Castanedes, L Rousseau, V Phillips, F Hu, TF Gendron, ME Murray, DW Dickson, JD Fryer, L Petrucelli, R Rademakers
Acta Neuropathol Commun, 2018-05-31;6(1):42.
Species: Mouse
Sample Types: Tissue Homogenates
Applications: Western Blot -
Retrograde Signaling from Progranulin to Sort1 Counteracts Synapse Elimination in the Developing Cerebellum
Authors: N Uesaka, M Abe, K Konno, M Yamazaki, K Sakoori, T Watanabe, TH Kao, T Mikuni, M Watanabe, K Sakimura, M Kano
Neuron, 2018-02-01;0(0):.
Species: Mouse
Sample Types: Whole Tissue
Applications: IHC -
Targeting Tyro3 ameliorates a model of PGRN-mutant FTLD-TDP via tau-mediated synaptic pathology
Authors: K Fujita, X Chen, H Homma, K Tagawa, M Amano, A Saito, S Imoto, H Akatsu, Y Hashizume, K Kaibuchi, S Miyano, H Okazawa
Nat Commun, 2018-01-30;9(1):433.
Species: Mouse
Sample Types: Whole Tissue
Applications: IHC -
Progranulin Gene Therapy Improves Lysosomal Dysfunction and Microglial Pathology Associated with Frontotemporal Dementia and Neuronal Ceroid Lipofuscinosis
Authors: AE Arrant, VC Onyilo, DE Unger, ED Roberson
J. Neurosci., 2018-01-29;0(0):.
Species: Mouse
Sample Types: Tissue Homogenates, Whole Tissue
Applications: IHC-Fr, Western Blot -
Progranulin deficiency leads to prolonged persistence of macrophages, accompanied with myofiber hypertrophy in regenerating muscle
Authors: H Sugihara, K Miyaji, K Yamanouchi, T Matsuwaki, M Nishihara
J. Vet. Med. Sci., 2017-12-18;0(0):.
Species: Mouse
Sample Types: Whole Tissue
Applications: IHC -
Progranulin gene delivery reduces plaque burden and synaptic atrophy in a mouse model of Alzheimer's disease
Authors: JM Van Kampen, DG Kay
PLoS ONE, 2017-08-24;12(8):e0182896.
Species: Mouse
Sample Types: Tissue Homogenates, Whole Tissue
Applications: IHC-Fr, Western Blot -
Lysosomal processing of progranulin
Authors: X Zhou, DH Paushter, T Feng, L Sun, T Reinheckel, F Hu
Mol Neurodegener, 2017-08-23;12(1):62.
Species: Mouse
Sample Types: Cell Lysates
Applications: Western Blot -
Progranulin functions as a cathepsin D chaperone to stimulate axonal outgrowth in vivo
Authors: S Beel, M Moisse, M Damme, L De Muynck, W Robberecht, L Van Den Bo, P Saftig, P Van Damme
Hum. Mol. Genet., 2017-08-01;26(15):2850-2863.
Species: Mouse
Sample Types: Whole Cells
Applications: ICC -
Conditional loss of progranulin in neurons is not sufficient to cause neuronal ceroid lipofuscinosis-like neuropathology in mice
Authors: TL Petkau, J Blanco, BR Leavitt
Neurobiol. Dis., 2017-06-21;106(0):14-22.
Species: Mouse
Sample Types: Whole Tissue
Applications: IHC -
Progranulin promotes the retinal precursor cell proliferation and the photoreceptor differentiation in the mouse retina
Authors: Y Kuse, K Tsuruma, S Sugitani, H Izawa, Y Ohno, M Shimazawa, H Hara
Sci Rep, 2016-03-31;6(0):23811.
Species: Mouse
Sample Types: Cell Lysates, Whole Tissue
Applications: IHC-Fr, Western Blot -
Progressive retinal degeneration and accumulation of autofluorescent lipopigments in Progranulin deficient mice
Authors: Brian P. Hafler, Zoe A. Klein, Z. Jimmy Jimmy Zhou, Stephen M. Strittmatter
Brain Research
Species: Mouse
Sample Types: Whole Cells, Whole Tissue
Applications: Immunohistochemistry, Immunocytochemistry -
Effects of hypoxia on progranulin expression in HT22 mouse hippocampal cells.
Authors: Luo L, Lu L, Lu Y, Zhang L, Li B, Guo K, Chen L, Wang Y, Shao Y, Xu J
Mol Med Rep, 2014-03-06;9(5):1675-80.
Species: Mouse
Sample Types: Cell Lysates, Whole Cells
Applications: ICC, Western Blot -
Progranulin regulates neuronal outgrowth independent of sortilin.
Authors: Gass J, Lee W, Cook C, Finch N, Stetler C, Jansen-West K, Lewis J, Link C, Rademakers R, Nykjaer A, Petrucelli L
Mol Neurodegener, 2012-07-10;7(0):33.
Species: Mouse
Sample Types: Cell Lysates
Applications: Western Blot -
Progranulin, a glycoprotein deficient in frontotemporal dementia, is a novel substrate of several protein disulfide isomerase family proteins.
Authors: Almeida S, Zhou L, Gao FB
PLoS ONE, 2011-10-18;6(10):e26454.
Species: Mouse
Sample Types: Whole Cells
Applications: ICC -
Progranulin expression correlates with dense-core amyloid plaque burden in Alzheimer disease mouse models.
Authors: Pereson S, Wils H, Kleinberger G, McGowan E, Vandewoestyne M, Van Broeck B, Joris G, Cuijt I, Deforce D, Hutton M, Van Broeckhoven C, Kumar-Singh S
J. Pathol., 2009-10-01;219(2):173-81.
Species: Mouse
Sample Types: Tissue Homogenates, Whole Tissue
Applications: IHC-P, Western Blot -
Efficient progranulin exit from the ER requires its interaction with prosaposin, a Surf4 cargo
Authors: Swathi Devireddy, Shawn M. Ferguson
Journal of Cell Biology
-
Niche astrocytes promote the survival, proliferation and neuronal differentiation of co-transplanted neural stem cells following ischemic stroke in rats
Authors: Li Luo, Kaihua Guo, Wenguo Fan, Yinghong Lu, Lizhi Chen, Yang Wang et al.
Experimental and Therapeutic Medicine
-
An Experimental Model of Neurodegenerative Disease Based on Porcine Hemagglutinating Encephalomyelitis Virus–Related Lysosomal Abnormalities
Authors: Yungang Lan, Zi Li, Zhenzhen Wang, Xinran Wang, Gaili Wang, Jing Zhang et al.
Molecular Neurobiology
-
Progressive retinal degeneration and accumulation of autofluorescent lipopigments in Progranulin deficient mice
Authors: Brian P. Hafler, Zoe A. Klein, Z. Jimmy Jimmy Zhou, Stephen M. Strittmatter
Brain Research
-
Microglia regulate brain progranulin levels through the endocytosis/lysosomal pathway
Authors: Tingting Dong, Leon Tejwani, Youngseob Jung, Hiroshi Kokubu, Kimberly Luttik, Terri M. Driessen et al.
JCI Insight
-
Progranulin Recruits HSP70 to beta -Glucocerebrosidase and Is Therapeutic Against Gaucher Disease
Authors: Jinlong Jian, Qing-Yun Tian, Aubryanna Hettinghouse, Shuai Zhao, Helen Liu, Jianlu Wei et al.
EBioMedicine
-
Network analysis of the progranulin-deficient mouse brain proteome reveals pathogenic mechanisms shared in human frontotemporal dementia caused by GRN mutations
Authors: M Huang, E Modeste, E Dammer, P Merino, G Taylor, DM Duong, Q Deng, CJ Holler, M Gearing, D Dickson, NT Seyfried, T Kukar
Acta Neuropathol Commun, 2020-10-07;8(1):163.
-
Retinal Degeneration and Microglial Dynamics in Mature Progranulin-Deficient Mice
Authors: Kei Takahashi, Shinsuke Nakamura, Masamitsu Shimazawa, Hideaki Hara
International Journal of Molecular Sciences
-
Progranulin protects against amyloid beta deposition and toxicity in Alzheimer's disease mouse models
Authors: S. Sakura Minami, Sang-Won Min, Grietje Krabbe, Chao Wang, Yungui Zhou, Rustam Asgarov et al.
Nature Medicine
-
Frontotemporal dementia nonsense mutation of progranulin rescued by aminoglycosides
Authors: Kuang L, Hashimoto K, Huang EJ et al.
Hum. Mol. Genet.
-
Regulation of lysosomal trafficking of progranulin by sortilin and prosaposin
Authors: Du H, Zhou X, Feng T, Hu F
Brain Communications
FAQs
No product specific FAQs exist for this product, however you may
View all Antibody FAQsReviews for Mouse Progranulin/PGRN Antibody
Average Rating: 5 (Based on 7 Reviews)
Have you used Mouse Progranulin/PGRN Antibody?
Submit a review and receive an Amazon gift card.
$25/€18/£15/$25CAN/¥75 Yuan/¥2500 Yen for a review with an image
$10/€7/£6/$10 CAD/¥70 Yuan/¥1110 Yen for a review without an image
Filter by:
We had good results using this antibody for adult rat brain samples. We were very pleased with the bands we got. We used 5microliters of primary antibody and 10ml of milk during the primary antibody incubation.
