Human CFTR R Domain Antibody Summary
Cys590-Lys830 (predicted)
Accession # P13569
*Small pack size (SP) is supplied either lyophilized or as a 0.2 µm filtered solution in PBS.
Applications
Cheng, S.H. et al. (1990) Cell 63:827.
Marino, C.R. et al. (1991) J. Clin. Invest. 88:712.
Please Note: Optimal dilutions should be determined by each laboratory for each application. General Protocols are available in the Technical Information section on our website.
Scientific Data
View Larger
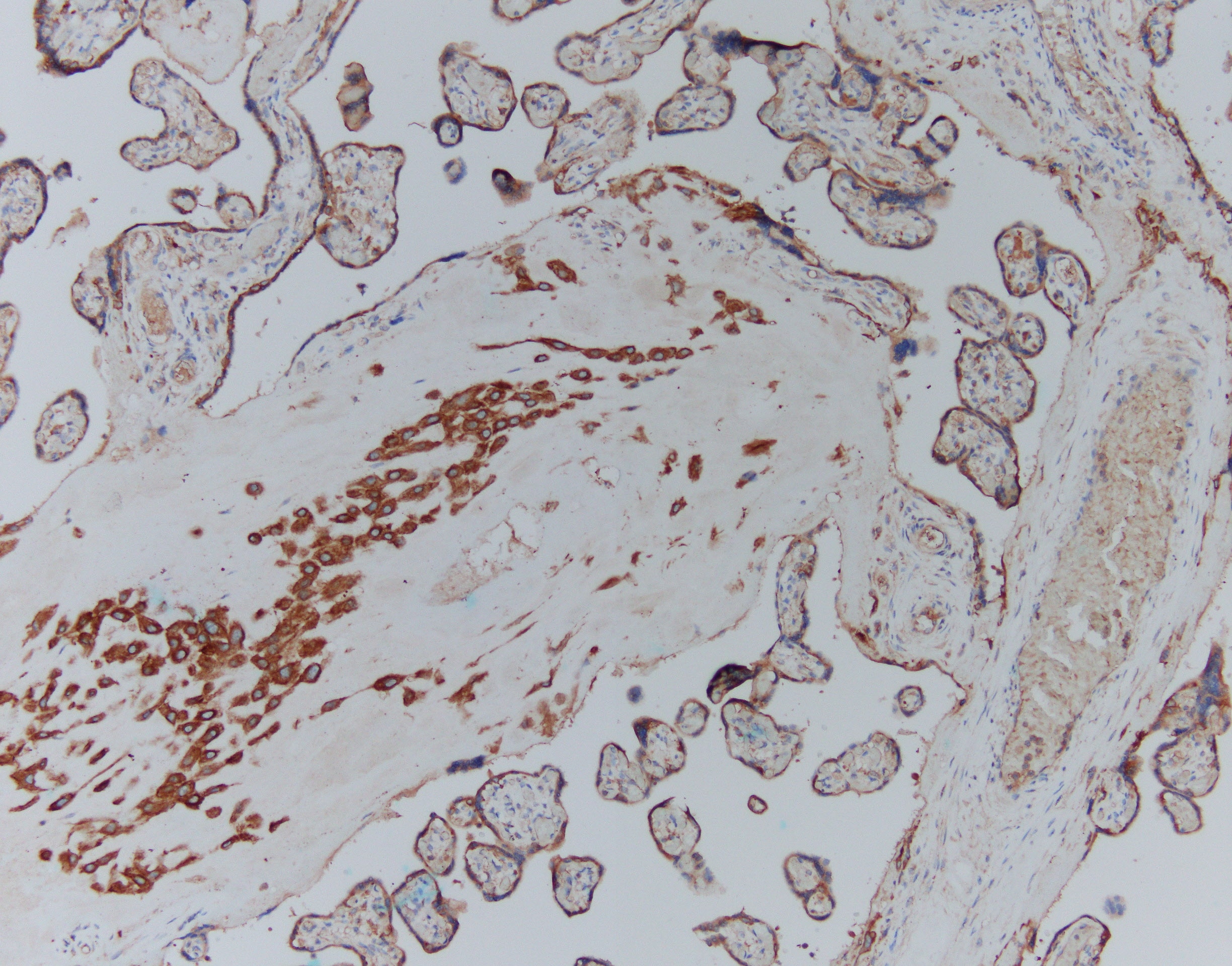
CFTR in Human Placenta. CFTR was detected in immersion fixed paraffin-embedded sections of human placenta using Mouse Anti-Human CFTR R Domain Monoclonal Antibody (Catalog # MAB1660) at 15 µg/mL overnight at 4 °C. Before incubation with the primary antibody tissue was subjected to heat-induced epitope retrieval using Antigen Retrieval Reagent-Basic (Catalog # CTS013). Tissue was stained using the Anti-Mouse HRP-DAB Cell & Tissue Staining Kit (brown; Catalog # CTS002) and counterstained with hematoxylin (blue). Specific labeling was localized to the plasma membrane and cytoplasm of decidual cells. View our protocol for Chromogenic IHC Staining of Paraffin-embedded Tissue Sections.
Reconstitution Calculator
Preparation and Storage
- 12 months from date of receipt, -20 to -70 °C, as supplied.
- 1 month, 2 to 8 °C under sterile conditions after opening.
- 6 months, -20 to -70 °C under sterile conditions after opening.
Background: CFTR
Cystic fibrosis transmembrane conductance regulator (CFTR) is a multi-pass transmembrane protein that functions as a chloride channel. CFTR belongs to the ATP-binding cassette (ABC) superfamily. Mutations in CFTR cause the pulmonary disease, cystic fibrosis (CF). Specifically, deletion of phenyalanine at position 508 (DeltaF508-CFTR) results in a folding defect which impairs chloride channel function. The mechanism by which channel dysfunction relates to disease symptoms is a focus of intense research. CFTR dysfunction results in disruption of ion transport and subsequent blockage of airways by secreted mucus. CFTR may also play a role in the skeletal muscle atrophy and dysfunction that characterizes CF. In addition, CFTR-mediated chloride secretion underlies fluid accumulation and cyst growth in autosomal dominant polycystic kidney disease (ADPKD).
Product Datasheets
Citations for Human CFTR R Domain Antibody
R&D Systems personnel manually curate a database that contains references using R&D Systems products. The data collected includes not only links to publications in PubMed, but also provides information about sample types, species, and experimental conditions.
18
Citations: Showing 1 - 10
Filter your results:
Filter by:
-
Localization of cystic fibrosis transmembrane conductance regulator signaling complexes in human salivary gland striated duct cells
Authors: Vina Z. Zinn, Aditi Khatri, Maija I. Mednieks, Arthur R. Hand
European Journal of Oral Sciences
-
Human Nasal Epithelial Organoids for Therapeutic Development in Cystic Fibrosis
Authors: Z Liu, JD Anderson, L Deng, S Mackay, J Bailey, L Kersh, SM Rowe, JS Guimbellot
Genes (Basel), 2020-05-29;11(6):.
Species: Human
Sample Types: Organoid
Applications: ICC -
Synergy of cAMP and calcium signaling pathways in CFTR regulation
Authors: Z Bozoky, S Ahmadi, T Milman, TH Kim, K Du, M Di Paola, S Pasyk, R Pekhletski, JP Keller, CE Bear, JD Forman-Kay
Proc. Natl. Acad. Sci. U.S.A, 2017-02-27;0(0):.
Species: Human
Sample Types: Whole Cells
Applications: ICC -
Mutating the Conserved Q-loop Glutamine 1291 Selectively Disrupts Adenylate Kinase-dependent Channel Gating of the ATP-binding Cassette (ABC) Adenylate Kinase Cystic Fibrosis Transmembrane Conductance Regulator (CFTR) and Reduces Channel Function in Primary Human Airway Epithelia.
Authors: Dong Q, Ernst S, Ostedgaard L, Shah V, Ver Heul A, Welsh M, Randak C
J Biol Chem, 2015-04-17;290(22):14140-53.
Species: Human
Sample Types: Cell Lysates
Applications: Western Blot -
A novel chimeric adenoassociated virus 2/human bocavirus 1 parvovirus vector efficiently transduces human airway epithelia.
Authors: Yan, Ziying, Keiser, Nicholas, Song, Yi, Deng, Xuefeng, Cheng, Fang, Qiu, Jianming, Engelhardt, John F
Mol Ther, 2013-07-30;21(12):2181-94.
Species: Human
Sample Types: Whole Tissue
Applications: IHC-Fr -
Defective CFTR expression and function are detectable in blood monocytes: development of a new blood test for cystic fibrosis.
Authors: Sorio C, Buffelli M, Angiari C, Ettorre M, Johansson J, Vezzalini M, Viviani L, Ricciardi M, Verze G, Assael BM, Melotti P
PLoS ONE, 2011-07-21;6(7):e22212.
Species: Human
Sample Types: Cell Lysates, Whole Cells
Applications: ICC, Western Blot -
Identification of a bone marrow-derived epithelial-like population capable of repopulating injured mouse airway epithelium.
Authors: Wong AP, Keating A, Lu WY, Duchesneau P, Wang X, Sacher A, Hu J, Waddell TK
J. Clin. Invest., 2009-01-26;119(2):336-48.
Species: Mouse
Sample Types: Whole Cells
Applications: ICC -
Human-specific cystic fibrosis transmembrane conductance regulator antibodies detect in vivo gene transfer to ovine airways.
Authors: Davidson H, McLachlan G, Wilson A, Boyd AC, Doherty A, MacGregor G, Davies L, Painter HA, Coles R, Hyde SC, Gill DR, Amaral MD, Collie DD, Porteous DJ, Penque D
Am. J. Respir. Cell Mol. Biol., 2006-02-23;35(1):72-83.
Species: Ovine
Sample Types: Whole Tissue
Applications: IHC-Fr -
Chloride channels in the small intestinal cell line IEC-18.
Authors: Basavappa S, Vulapalli SR, Zhang H, Yule D, Coon S, Sundaram U
J. Cell. Physiol., 2005-01-01;202(1):21-31.
Species: Rat
Sample Types: Whole Cells
Applications: ICC -
Protection of Cftr knockout mice from acute lung infection by a helper-dependent adenoviral vector expressing Cftr in airway epithelia.
Authors: Koehler DR, Sajjan U, Chow YH, Martin B, Kent G, Tanswell AK, McKerlie C, Forstner JF, Hu J
Proc. Natl. Acad. Sci. U.S.A., 2003-12-12;100(26):15364-9.
Species: Human, Mouse
Sample Types: Whole Cells, Whole Tissue
Applications: ICC, IHC-P -
Mitochondria-rich cells as experimental model in studies of epithelial chloride channels.
Authors: Willumsen NJ, Amstrup J, Mobjerg N, Jespersen A, Kristensen P, Larsen EH
Biochim. Biophys. Acta, 2002-11-13;1566(1):28-43.
Species: Xenopus
Sample Types: Whole Tissue
Applications: IHC-P -
Reciprocal protein kinase A regulatory interactions between cystic fibrosis transmembrane conductance regulator and Na+/H+ exchanger isoform 3 in a renal polarized epithelial cell model.
Authors: Bagorda A, Guerra L, Di Sole F, Hemle-Kolb C, Cardone RA, Fanelli T, Reshkin SJ, Gisler SM, Murer H, Casavola V
J. Biol. Chem., 2002-04-05;277(24):21480-8.
Species: Amphibian
Sample Types: Cell Lysates
Applications: Immunoprecipitation -
Localization of cystic fibrosis transmembrane conductance regulator in chloride secretory epithelia.
Authors: Denning GM, Ostedgaard LS, Cheng SH, Smith AE, Welsh MJ
J. Clin. Invest., 1992-01-01;89(1):339-49.
Species: Human
Sample Types: Cell Lysates, Whole Cells
Applications: ICC, IHC -
Overcoming the Undesirable CRISPR-Cas9 Expression in Gene Correction
Authors: Emily Xia, Rongqi Duan, Fushan Shi, Kyle E. Seigel, Hartmut Grasemann, Jim Hu
Molecular Therapy - Nucleic Acids
-
Cystic fibrosis transmembrane conductance regulator protein (CFTR) expression in the developing human brain: comparative immunohistochemical study between patients with normal and mutated CFTR
Authors: Pascale Marcorelles, Gaëlle Friocourt, Arnaud Uguen, Françoise Ledé, Claude Férec, Annie Laquerrière
Journal of Histochemistry & Cytochemistry
-
Culture and Imaging of Human Nasal Epithelial Organoids
Authors: Zhongyu Liu, Justin D. Anderson, Jennifer Natt, Jennifer S. Guimbellot
Journal of Visualized Experiments
-
TALEN-Mediated Gene Targeting for Cystic Fibrosis-Gene Therapy
Authors: Emily Xia, Yiqian Zhang, Huibi Cao, Jun Li, Rongqi Duan, Jim Hu
Genes (Basel)
-
Changes in the R‐region interactions depend on phosphorylation and contribute to PKA and PKC regulation of the cystic fibrosis transmembrane conductance regulator chloride channel
Authors: Diogo R. Poroca, Noha Amer, Audrey Li, John W. Hanrahan, Valerie M. Chappe
FASEB BioAdvances
FAQs
No product specific FAQs exist for this product, however you may
View all Antibody FAQsReviews for Human CFTR R Domain Antibody
Average Rating: 5 (Based on 2 Reviews)
Have you used Human CFTR R Domain Antibody?
Submit a review and receive an Amazon gift card.
$25/€18/£15/$25CAN/¥75 Yuan/¥2500 Yen for a review with an image
$10/€7/£6/$10 CAD/¥70 Yuan/¥1110 Yen for a review without an image
Filter by:
Heat pretreatment in basic buffer
Blocking normal horse sera
primary Ab MAB1660 x25, 30 min
ImmPRESS anti-mouse HRP (Vector), 30min & DAB
