Human ER beta/NR3A2 Antibody Summary
Applications
Please Note: Optimal dilutions should be determined by each laboratory for each application. General Protocols are available in the Technical Information section on our website.
Reconstitution Calculator
Preparation and Storage
Background: ER beta/NR3A2
Estrogen Receptor beta (ERβ,NR3A2) is a member of the steroid receptor family. The natural ligand for ER is the classical estrogenic compound 17β-estradiol. ERβ is expressed in the granulosa cell layer of primary, secondary and mature follicles in the ovary, in bone, bladder, uterus, testis, epididymis, gastrointestinal tract, kidney, breast, heart, vessel wall, immune system, lung, pituitary, hippocampus and hypothalamus. Roles for ERβ in the reproductive and cardiovascular systems have been reported, although these are the subject of conflicting reports. ERβ has been postulated to act primarily as a modulator of ERα function. ER&beta has been shown to form homodimers as well as heterodimers with ERα. Both ERα and ERβ can give rise to numerous isoforms.
Product Datasheets
Citations for Human ER beta/NR3A2 Antibody
R&D Systems personnel manually curate a database that contains references using R&D Systems products. The data collected includes not only links to publications in PubMed, but also provides information about sample types, species, and experimental conditions.
8
Citations: Showing 1 - 8
Filter your results:
Filter by:
-
ER? mediates sex-specific protection in the App-NL-G-F mouse model of Alzheimer's disease
Authors: Demetriou, A;Lindqvist, B;Ali, HG;Shamekh, MM;Maioli, S;Inzunza, J;Varshney, M;Nilsson, P;Nalvarte, I;
bioRxiv : the preprint server for biology
Species: Transgenic Mouse
Sample Types: Whole Tissue
Applications: Immunohistochemistry -
Ovarian ER? cistrome and transcriptome reveal chromatin interaction with LRH-1
Authors: Birgersson, M;Indukuri, R;Lindquist, L;Stepanauskaite, L;Luo, Q;Deng, Q;Archer, A;Williams, C;
BMC biology
Species: Mouse
Sample Types: Whole Tissue
Applications: IHC -
Immunohistochemical Detection of Estrogen Receptor-Beta (ERbeta) with PPZ0506 Antibody in Murine Tissue: From Pitfalls to Optimization
Authors: SK Schröder, CG Tag, JC Kessel, P Antonson, R Weiskirche
Biomedicines, 2022-12-01;10(12):.
Species: Mouse
Sample Types: Whole Tissue
Applications: IHC -
ER alpha and ER beta Homodimers in the Same Cellular Context Regulate Distinct Transcriptomes and Functions
Authors: Dandan Song, Huan He, Rajitha Indukuri, Zhiqiang Huang, Lina Stepanauskaite, Indranil Sinha et al.
Front Endocrinol (Lausanne)
-
Estrogen Receptor beta (ESR2) Transcriptome and Chromatin Binding in a Mantle Cell Lymphoma Tumor Model Reveal the Tumor-Suppressing Mechanisms of Estrogens
Authors: Dan Huang, Zhiqiang Huang, Rajitha Indukuri, Chandrashekar Bangalore Revanna, Mattias Berglund, Jiyu Guan et al.
Cancers (Basel)
-
Estrogen Receptor beta (ESR2) Transcriptome and Chromatin Binding in a Mantle Cell Lymphoma Tumor Model Reveal the Tumor-Suppressing Mechanisms of Estrogens
Authors: Dan Huang, Zhiqiang Huang, Rajitha Indukuri, Chandrashekar Bangalore Revanna, Mattias Berglund, Jiyu Guan et al.
Cancers (Basel)
Species: Human
Sample Types: Chromatin
Applications: Chromatin Immunoprecipitation (ChIP) -
A Presurgical‐Window Intervention Trial of Isothiocyanate‐Rich Broccoli Sprout Extract in Patients with Breast Cancer
Authors: Zinian Wang, Chengjian Tu, Rachel Pratt, Thaer Khoury, Jun Qu, Jed W. Fahey et al.
Molecular Nutrition & Food Research
-
Expression of oestrogen receptors (GPER, ESR1, ESR2) in human ductuli efferentes and proximal epididymis
Authors: Rago V, Romeo F, Giordano F et al.
Andrology
Species: Human
Sample Types:
Applications: IHC
FAQs
No product specific FAQs exist for this product, however you may
View all Antibody FAQsReviews for Human ER beta/NR3A2 Antibody
Average Rating: 5 (Based on 2 Reviews)
Have you used Human ER beta/NR3A2 Antibody?
Submit a review and receive an Amazon gift card.
$25/€18/£15/$25CAN/¥75 Yuan/¥2500 Yen for a review with an image
$10/€7/£6/$10 CAD/¥70 Yuan/¥1110 Yen for a review without an image
Filter by:
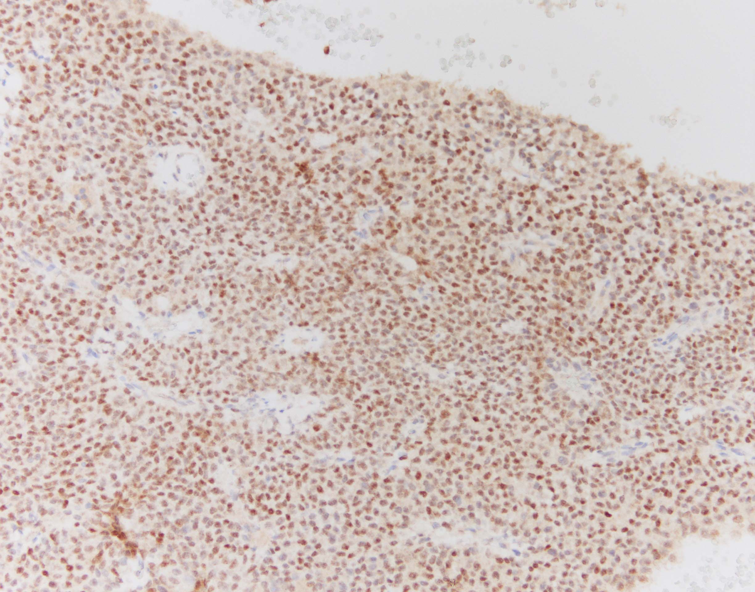
heating pretreatment, x200 primary antibody
The present antibody proved excellent for IHC (1:600 dilution) of formalin-fixed paraffin-embedded tissues and cells, Western blotting (1:1000) and IP as determined by comparing results from ERbeta-positive cells and ERbeta-negative cells, and corroborated by mass spectrometry. It was tested on a wide range of human normal tissues and cancer, and correlated to mRNA levels (RNA-seq). It stained the nucleus of granulosa cells of the normal ovary, testis, adrenal gland, tonsil, and lymphocytes in various tissues; tumor cells of granulosa cell tumors and a subset of malignant melanoma.
See full article at Nature Communications (Andersson et al, 2017): https://www.nature.com/articles/ncomms15840
