Human Osteoactivin/GPNMB Antibody Summary
Lys23-Asn486
Accession # NP_002501
*Small pack size (-SP) is supplied either lyophilized or as a 0.2 µm filtered solution in PBS.
Applications
Human Osteoactivin/GPNMB Sandwich Immunoassay
Please Note: Optimal dilutions should be determined by each laboratory for each application. General Protocols are available in the Technical Information section on our website.
Scientific Data
View Larger
Detection of Human Osteoactivin/GPNMB by Western Blot. Western blot shows lysates of U-118-MG human glioblastoma/astrocytoma cell line and T98G human glioblastoma cell line. PVDF membrane was probed with 0.5 µg/mL of Goat Anti-Human Osteoactivin/GPNMB Antigen Affinity-purified Polyclonal Antibody (Catalog # AF2550) followed by HRP-conjugated Anti-Goat IgG Secondary Antibody (HAF017). Specific bands were detected for Osteoactivin/GPNMB at approximately 95 and 120 kDa (as indicated). This experiment was conducted under reducing conditions and using Immunoblot Buffer Group 1.
View Larger
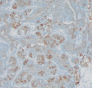
Osteoactivin/GPNMB in Human Liver. Osteoactivin/GPNMB was detected in immersion fixed paraffin-embedded sections of human liver using Goat Anti-Human Osteoactivin/GPNMB Antigen Affinity-purified Polyclonal Antibody (Catalog # AF2550) at 3 µg/mL overnight at 4 °C. Tissue was stained using the Anti-Goat HRP-DAB Cell & Tissue Staining Kit (brown; CTS008) and counterstained with hematoxylin (blue). Specific staining was localized to Kupffer cells. View our protocol for Chromogenic IHC Staining of Paraffin-embedded Tissue Sections.
View Larger
Osteoactivin/GPNMB Specificity is Shown by Immunocytochemistry in Knockdown Cell Line. U‑87 MG human glioblastoma/astrocytoma parental cell line ctrl and Osteoactivin/GPNMB U-87 MG KD cells were labelled with a green or a far-red fluorescent dye, respectively. Cells were stained with Goat Anti-Human Osteoactivin/GPNMB Antigen Affinity-purified Polyclonal Antibody (Catalog # AF2550) followed by incubation with an Alexa-fluor 555 conjugated secondary antibody (upper panel). DAPI-only counterstained cells shown on a lower panel. Acquisition of the blue (nucleus-DAPI), green (identification of ctrl cells), red (antibody staining) and far-red (identification of KD cells) channels was performed. Representative images of the blue and red (grayscale) channels are shown. Ctrl and KD cells are outlined with green and magenta dashed line, respectively. Primary antibody concentration used: 0.2 µg/mL. Image, protocol and testing courtesy of YCharOS Inc. (ycharos.com).
View Larger
Western Blot Shows Osteoactivin/GPNMB Specificity Using Knockdown Cell Line. Western blot shows lysates of U‑87 MG human glioblastoma/astrocytoma parental cell line and Osteoactivin/GPNMB knockdown U-87 MG cell line (KD). Nitrocellulose membrane was probed with 0.4 µg/mL Goat Anti-Human Osteoactivin/GPNMB Antigen Affinity-purified Polyclonal Antibody (Catalog # AF2550) followed by HRP-conjugated secondary antibody. Specific bands were detected for Osteoactivin/GPNMB at approximately 76 and 120 kDa (as indicated) in the parental U-87 MG cell line, but is significantly reduced in the U-87 MG cell line. The Ponceau stained transfer of the blot is shown. This experiment was conducted under reducing conditions. Image, protocol, and testing courtesy of YCharOS Inc. See ycharos.com for additional details.
View Larger
Detection of Osteoactivin/GPNMB by Immunoprecipitation. U‑87 MG human glioblastoma/astrocytoma cell line lysates were prepared and immunoprecipitation was performed using 2.0 μg of Goat Anti-Human Osteoactivin/GPNMB Antigen Affinity-purified Polyclonal Antibody (Catalog # AF2550) pre-coupled to Dynabeads Protein G. Immunoprecipitated Osteoactivin/GPNMB was detected in Western Blot with a Rabbit Osteoactivin/GPNMB Antibody. The Ponceau stained transfer of the blot is shown. SM=4% starting material; UB=4% unbound fraction; IP=immunoprecipitate; HC=antibody heavy chain. Image, protocol and testing courtesy of YCharOS Inc. (ycharos.com).
View Larger
Detection of Human Osteoactivin/GPNMB by Immunohistochemistry GPNMB and galectin-3 levels are elevated in FTD-GRN brains. a, b GPNMB and galectin-3 levels (ng/mg protein) were measured in frontal lobe tissue lysates generated from cognitively normal controls (CTL; n = 27) and FTD-GRN patients (n = 25). Data analyzed using unpaired t-test. c Representative immunoblots for GPNMB and galectin-3 in frontal lobe lysates from cognitively normal controls (n = 8) and FTD-GRN (n = 8) patients. d GPNMB levels (ng/mL) in CSF samples form cognitively normal controls (n = 14), FTD-GRN (n = 9), FTD-C9orf72 (n = 12) and FTD-MAPT (n = 12) samples quantified by ELISA. Data analyzed using one-way ANOVA. e, f GPNMB immunostaining was performed on frontal lobe tissue sections from cognitively normal controls (n = 5) (e) and FTD-GRN (n = 5) (f) patients. g, h Immunostaining for p-TDP 43 was stained on adjacent sections from identical samples in e, f as marker of FTLD pathology. i GPNMB staining intensity in human brain sections (e, f) were measured and presented as fold change. Representative immunofluorescence staining for cell markers (green) (j, n, r), GPNMB (red) (k, o, s), DAPI (blue) (i, p, t) in paraffin sections of brains from FTD-GRN cases. Iba-1, GFAP, NeuN used for markers of human microglia, astrocytes, and neurons respectively. GPNMB and Iba-1 signals overlap (arrow) (m) whereas, no overlapping signal was observed in co-staining with GFAP or NeuN (q, u). Scale bars were labeled in the images. Data analyzed by unpaired t-test. Scale bars (20 µm) labeled in images and quantitative data are shown as mean ± SEM, *p < 0.05; **p < 0.01; ***p < 0.001; ****p < 0.0001 Image collected and cropped by CiteAb from the following open publication (https://pubmed.ncbi.nlm.nih.gov/33028409), licensed under a CC-BY license. Not internally tested by R&D Systems.
View Larger
Detection of Human Osteoactivin/GPNMB by Immunohistochemistry GPNMB and galectin-3 levels are elevated in FTD-GRN brains. a, b GPNMB and galectin-3 levels (ng/mg protein) were measured in frontal lobe tissue lysates generated from cognitively normal controls (CTL; n = 27) and FTD-GRN patients (n = 25). Data analyzed using unpaired t-test. c Representative immunoblots for GPNMB and galectin-3 in frontal lobe lysates from cognitively normal controls (n = 8) and FTD-GRN (n = 8) patients. d GPNMB levels (ng/mL) in CSF samples form cognitively normal controls (n = 14), FTD-GRN (n = 9), FTD-C9orf72 (n = 12) and FTD-MAPT (n = 12) samples quantified by ELISA. Data analyzed using one-way ANOVA. e, f GPNMB immunostaining was performed on frontal lobe tissue sections from cognitively normal controls (n = 5) (e) and FTD-GRN (n = 5) (f) patients. g, h Immunostaining for p-TDP 43 was stained on adjacent sections from identical samples in e, f as marker of FTLD pathology. i GPNMB staining intensity in human brain sections (e, f) were measured and presented as fold change. Representative immunofluorescence staining for cell markers (green) (j, n, r), GPNMB (red) (k, o, s), DAPI (blue) (i, p, t) in paraffin sections of brains from FTD-GRN cases. Iba-1, GFAP, NeuN used for markers of human microglia, astrocytes, and neurons respectively. GPNMB and Iba-1 signals overlap (arrow) (m) whereas, no overlapping signal was observed in co-staining with GFAP or NeuN (q, u). Scale bars were labeled in the images. Data analyzed by unpaired t-test. Scale bars (20 µm) labeled in images and quantitative data are shown as mean ± SEM, *p < 0.05; **p < 0.01; ***p < 0.001; ****p < 0.0001 Image collected and cropped by CiteAb from the following open publication (https://pubmed.ncbi.nlm.nih.gov/33028409), licensed under a CC-BY license. Not internally tested by R&D Systems.
View Larger
Detection of Human Osteoactivin/GPNMB by Immunohistochemistry GPNMB and galectin-3 levels are elevated in FTD-GRN brains. a, b GPNMB and galectin-3 levels (ng/mg protein) were measured in frontal lobe tissue lysates generated from cognitively normal controls (CTL; n = 27) and FTD-GRN patients (n = 25). Data analyzed using unpaired t-test. c Representative immunoblots for GPNMB and galectin-3 in frontal lobe lysates from cognitively normal controls (n = 8) and FTD-GRN (n = 8) patients. d GPNMB levels (ng/mL) in CSF samples form cognitively normal controls (n = 14), FTD-GRN (n = 9), FTD-C9orf72 (n = 12) and FTD-MAPT (n = 12) samples quantified by ELISA. Data analyzed using one-way ANOVA. e, f GPNMB immunostaining was performed on frontal lobe tissue sections from cognitively normal controls (n = 5) (e) and FTD-GRN (n = 5) (f) patients. g, h Immunostaining for p-TDP 43 was stained on adjacent sections from identical samples in e, f as marker of FTLD pathology. i GPNMB staining intensity in human brain sections (e, f) were measured and presented as fold change. Representative immunofluorescence staining for cell markers (green) (j, n, r), GPNMB (red) (k, o, s), DAPI (blue) (i, p, t) in paraffin sections of brains from FTD-GRN cases. Iba-1, GFAP, NeuN used for markers of human microglia, astrocytes, and neurons respectively. GPNMB and Iba-1 signals overlap (arrow) (m) whereas, no overlapping signal was observed in co-staining with GFAP or NeuN (q, u). Scale bars were labeled in the images. Data analyzed by unpaired t-test. Scale bars (20 µm) labeled in images and quantitative data are shown as mean ± SEM, *p < 0.05; **p < 0.01; ***p < 0.001; ****p < 0.0001 Image collected and cropped by CiteAb from the following open publication (https://pubmed.ncbi.nlm.nih.gov/33028409), licensed under a CC-BY license. Not internally tested by R&D Systems.
View Larger
Detection of Osteoactivin/GPNMB by Western Blot Dasatinib can upregulate the expression of gpNMB in MDA-MB-468-bearing mice. The mice were separated into two groups and were treated with either dasatinib or vehicle control for 21 days. Subgroups of mice (n = 4) were euthanized at different timepoints. Tumors were then subjected to Western blot analyses of gpNMB and ꞵ-actin. (A) Western blot images of gpNMB and ꞵ-actin; (B) Plot of normalized gpNMB expression with ꞵ-actin. DAS = dasatinib. ns = not significant. Image collected and cropped by CiteAb from the following open publication (https://pubmed.ncbi.nlm.nih.gov/36900378), licensed under a CC-BY license. Not internally tested by R&D Systems.
View Larger
Detection of Osteoactivin/GPNMB by Western Blot Dasatinib can upregulate the expression of gpNMB on MDA-MB-468 and MDA-MB-231 cells in vitro. (A) Western blot for gpNMB, ꞵ-actin, and dasatinib-related proteins p-Src, Src; (B) Normalized gpNMB expression relative to ꞵ-actin. DAS = dasatinib. Image collected and cropped by CiteAb from the following open publication (https://pubmed.ncbi.nlm.nih.gov/36900378), licensed under a CC-BY license. Not internally tested by R&D Systems.
View Larger
Detection of Osteoactivin/GPNMB by Western Blot Dasatinib can upregulate the expression of gpNMB on MDA-MB-468 and MDA-MB-231 cells in vitro. (A) Western blot for gpNMB, ꞵ-actin, and dasatinib-related proteins p-Src, Src; (B) Normalized gpNMB expression relative to ꞵ-actin. DAS = dasatinib. Image collected and cropped by CiteAb from the following open publication (https://pubmed.ncbi.nlm.nih.gov/36900378), licensed under a CC-BY license. Not internally tested by R&D Systems.
View Larger
Detection of Osteoactivin/GPNMB by Western Blot Dasatinib can upregulate the expression of gpNMB in MDA-MB-468-bearing mice. The mice were separated into two groups and were treated with either dasatinib or vehicle control for 21 days. Subgroups of mice (n = 4) were euthanized at different timepoints. Tumors were then subjected to Western blot analyses of gpNMB and ꞵ-actin. (A) Western blot images of gpNMB and ꞵ-actin; (B) Plot of normalized gpNMB expression with ꞵ-actin. DAS = dasatinib. ns = not significant. Image collected and cropped by CiteAb from the following open publication (https://pubmed.ncbi.nlm.nih.gov/36900378), licensed under a CC-BY license. Not internally tested by R&D Systems.
Reconstitution Calculator
Preparation and Storage
- 12 months from date of receipt, -20 to -70 °C as supplied.
- 1 month, 2 to 8 °C under sterile conditions after reconstitution.
- 6 months, -20 to -70 °C under sterile conditions after reconstitution.
Background: Osteoactivin/GPNMB
Osteoactivin (also GPNMB and DC-HIL) is a variably glycosylated 75 - 125 kDa member of the NMB/pMEL-17 family of molecules. It is found in multiple subcellular sites, but is most often associated with the endosomal/lysosomal compartment (1-3). Human Osteoactivin is a 560 amino acid (aa) type I transmembrane protein. Its precursor contains a 21 aa signal sequence, a 465 aa luminal/extracellular domain, a 21 aa transmembrane segment and a 53 aa cytoplasmic tail (4, 5). The luminal region contains an N-terminal heparin-binding motif (aa 23-26), multiple glycosylation sites, an RGD motif (aa 64-66) and an 88 aa PKD domain (aa 240-327). The intracellular tail has an ITAM (Y-x-x-I) and lysosomal targeting (L-L) motif (4, 5). The extracellular/luminal region shares 74% and 77% aa identity with the equivalent regions in mouse and canine, respectively. Multiple isoforms would appear to exist. There is one alternate splice form known that shows a 12 aa insert between aa 339-340 (6). An addtional 206 aa isoform shows a mutation at position # 181 that results in a 26 aa substitution for the C-terminal 380 amino acids (7, 8). This has the potential to be soluble and may represent a counterpart to a secreted isoform of rat Osteoactivin (9). Cells known to express Osteoactivin include macrophages/Kupffer cells, fibroblasts, osteoblasts, myeloid dendritic cells, retinal pigment epithelial cells and melanocytes, plus fetal chondrocytes and stratum basale keratinocytes (3-5, 10-12). In mice, Osteoactivin is reported to bind to heparan sulfate-proteoglycan, possibly on the surface of endothelial cells and may also interact with integrins (13). It also appears to act as an inflammatory suppressor gene, as its expression downregulates the macrophage inflammatory response by inhibiting IL-6 and IL-12 p40 production (3).
- Bachner, D. et al. (2002) Gene Exp. Patterns 1:159.
- Safadi, F.F. et al. (2002) J. Cell. Biochem. 84:12.
- Ripoll, V.M. et al. (2007) J. Immunol. 178:6557.
- Owen, T.A. et al. (2003) Crit. Rev. Eukaryot. Gene Expr. 13:205.
- Weterman, M.A.J. et al. (1995) Int. J. Cancer 60:73.
- Kuan, C-T. et al. (2006) Clin. Cancer Res. 12:1970.
- Lennerz, V. et al. (2005) Proc. Natl. Acad. Sci. USA 102:16013.
- Genbank Accession # AAH11595.
- Abdelmagid, S.M. et al. (2007) J. Cell. Physiol. 210:26.
- Haralanova-Ilieva, B. et al. (2005) J. Hepatol. 42:565.
- Ahn, J.H. et al. (2002) Blood 100:1742.
- Anderson, M.G. et al. (2002) Nat. Genet. 30:81.
- Shikano, S. et al. (2001) J. Biol. Chem. 276:8125.
Product Datasheets
Citations for Human Osteoactivin/GPNMB Antibody
R&D Systems personnel manually curate a database that contains references using R&D Systems products. The data collected includes not only links to publications in PubMed, but also provides information about sample types, species, and experimental conditions.
40
Citations: Showing 1 - 10
Filter your results:
Filter by:
-
Transcriptional and Immune Landscape of Cardiac Sarcoidosis
Authors: Jing Liu, Pan Ma, Lulu Lai, Ana Villanueva, Andrew Koenig, Gregory R. Bean et al.
Circulation Research
-
NFATc2 is an intrinsic regulator of melanoma dedifferentiation.
Authors: V Perotti, P Baldassari, A Molla et al.
Oncogene
-
Progranulin deficiency results in sex-dependent alterations in microglia in response to demyelination
Authors: Zhang T, Feng T, Wu K et al.
Acta Neuropathologica
-
The PKD domain distinguishes the trafficking and amyloidogenic properties of the pigment cell protein PMEL and its homologue GPNMB
Authors: Alexander C. Theos, Brenda Watt, Dawn C. Harper, Karolina J. Janczura, Sarah C. Theos, Kathryn E. Herman et al.
Pigment Cell & Melanoma Research
-
High-throughput and targeted drug screens identify pharmacological candidates against MiT-translocation renal cell carcinoma
Authors: Martin Lang, Laura S. Schmidt, Kelli M. Wilson, Christopher J. Ricketts, Carole Sourbier, Cathy D. Vocke et al.
Journal of Experimental & Clinical Cancer Research
-
A single-cell atlas of the normal and malformed human brain vasculature
Authors: Ethan A. Winkler, Chang N. Kim, Jayden M. Ross, Joseph H. Garcia, Eugene Gil, Irene Oh et al.
Science
-
PRDM10 directs FLCN expression in a novel disorder overlapping with Birt–Hogg–Dubé syndrome and familial lipomatosis
Authors: Irma van de Beek, Iris E Glykofridis, Jan C Oosterwijk, Peter C van den Akker, Gilles F H Diercks, Maria C Bolling et al.
Human Molecular Genetics
-
Proteomic analysis of alcohol-associated hepatitis reveals glycoprotein NMB (GPNMB) as a novel hepatic and serum biomarker
Authors: Peter S. Harris, Cole R. Michel, Youngho Yun, Courtney D. McGinnis, Mohammed A. Assiri, Ali Reza Ahmadi et al.
Alcohol
-
Tumor associated microglia/macrophages utilize GPNMB to promote tumor growth and alter immune cell infiltration in glioma
Authors: Yalcin, F;Haneke, H;Efe, IE;Kuhrt, LD;Motta, E;Nickl, B;Flüh, C;Synowitz, M;Dzaye, O;Bader, M;Kettenmann, H;
Acta neuropathologica communications
Species: Mouse
Sample Types: Whole Tissue
Applications: Immunohistochemistry -
Radiotherapy induces persistent innate immune reprogramming of microglia into a primed state
Authors: Voshart, DC;Oshima, T;Jiang, Y;van der Linden, GP;Ainslie, AP;Reali Nazario, L;van Buuren-Broek, F;Scholma, AC;van Weering, HRJ;Brouwer, N;Sewdihal, J;Brouwer, U;Coppes, RP;Holtman, IR;Eggen, BJL;Kooistra, SM;Barazzuol, L;
Cell reports
Species: Rat
Sample Types: Whole Tissue
Applications: Immunohistochemistry-Paraffin -
Progranulin deficiency results in sex-dependent alterations in microglia in response to demyelination
Authors: Zhang T, Feng T, Wu K et al.
Acta Neuropathologica
-
PRDM10 RCC: A Birt-Hogg-Dubé-like Syndrome Associated with Lipoma and a Highly Penetrant, Aggressive Renal Tumors Morphologically Resembling Type 2 Papillary Renal Cell Carcinoma
Authors: Schmidt, LS;Vocke, CD;Ricketts, CJ;Blake, Z;Choo, KK;Nielsen, D;Gautam, R;Crooks, DR;Reynolds, KL;Krolus, JL;Bashyal, M;Karim, B;Cowen, EW;Malayeri, AA;Merino, MJ;Srinivasan, R;Ball, MW;Zbar, B;Marston Linehan, W;
Urology
Species: Human
Sample Types: Whole Tissue
Applications: Immunohistochemistry -
PRDM10 directs FLCN expression in a novel disorder overlapping with Birt–Hogg–Dubé syndrome and familial lipomatosis
Authors: Irma van de Beek, Iris E Glykofridis, Jan C Oosterwijk, Peter C van den Akker, Gilles F H Diercks, Maria C Bolling et al.
Human Molecular Genetics
Species: Human
Sample Types: Cell Lysates
Applications: Western Blot -
ImmunoPET Imaging Identifies the Optimal Timepoint for Combination Therapy in Xenograft Models of Triple-Negative Breast Cancer
Authors: Z Li, E Belitzky, O Blaha, A Cavaliere, SR Katz, M Aboian, L Melegari, K Rajabimogh, S Kurpiewski, X Zhu, B Marquez-No
Cancers, 2023-03-03;15(5):.
Species: Human
Sample Types: Cell Lysates
Applications: Western Blot -
Clustering-independent estimation of cell abundances in bulk tissues using single-cell RNA-seq data
Authors: RG Aubin, J Montelongo, R Hu, PG Camara
bioRxiv : the preprint server for biology, 2023-02-07;0(0):.
Species: Human
Sample Types: Whole Tissue
Applications: IHC -
A novel missense mutation in the folliculin gene associated with the renal tumor-only phenotype of Birt-Hogg-Dub� syndrome
Authors: T Sano, T Fukui, N Makita, K Shimizu, J Kono, K Masui, T Sato, T Goto, A Sawada, M Fujimoto, F Kojima, M Torishima, T Wada, M Furuya, O Ogawa, T Kobayashi, S Akamatsu
Cancer genetics, 2022-06-05;266(0):28-32.
Species: Human
Sample Types: Tissue Homogenates, Whole Tissue
Applications: IHC, Western Blot -
Proteomic analysis of alcohol-associated hepatitis reveals glycoprotein NMB (GPNMB) as a novel hepatic and serum biomarker
Authors: Peter S. Harris, Cole R. Michel, Youngho Yun, Courtney D. McGinnis, Mohammed A. Assiri, Ali Reza Ahmadi et al.
Alcohol
Species: Human
Sample Types: Whole Tissue
Applications: Immunohistochemistry -
Amyloidosis cutis dyschromica cases caused by GPNMB mutations with different inheritance patterns
Authors: W Qin, H Wang, W Zhong, J Bai, J Qiao, Z Lin
Journal of dermatological science, 2021-08-10;0(0):.
Species: Human
Sample Types: Cell Lysates, Whole Cells
Applications: ICC, Western Blot -
Classification of node-positive melanomas into prognostic subgroups using keratin, immune, and melanogenesis expression patterns
Authors: D Netanely, S Leibou, R Parikh, N Stern, H Vaknine, R Brenner, S Amar, RH Factor, T Perluk, J Frand, E Nizri, D Hershkovit, V Zemser-Wer, C Levy, R Shamir
Oncogene, 2021-02-09;0(0):.
Species: Human
Sample Types: Whole Tissue
Applications: IHC -
Clinical and Molecular Characterization of Microphthalmia-Associated Transcription Factor (MITF)-Related Renal Cell Carcinoma
Authors: M Lang, CD Vocke, CJ Ricketts, AR Metwalli, MW Ball, LS Schmidt, WM Linehan
Urology, 2020-11-24;0(0):.
Species: Human
Sample Types: Whole Tissue
Applications: IHC -
Network analysis of the progranulin-deficient mouse brain proteome reveals pathogenic mechanisms shared in human frontotemporal dementia caused by GRN mutations
Authors: M Huang, E Modeste, E Dammer, P Merino, G Taylor, DM Duong, Q Deng, CJ Holler, M Gearing, D Dickson, NT Seyfried, T Kukar
Acta Neuropathol Commun, 2020-10-07;8(1):163.
Species: Human
Sample Types: Protein
Applications: Western Blot -
GPNMB is expressed in human epidermal keratinocytes but disappears in the vitiligo lesional skin
Authors: KB Biswas, A Takahashi, Y Mizutani, S Takayama, A Ishitsuka, L Yang, F Yang, A Iddamalgod, I Katayama, S Inoue
Sci Rep, 2020-03-18;10(1):4930.
Species: Human
Sample Types: Cell Lysates, Whole Cells
Applications: ICC, Western Blot -
Role of the kringle-like domain in glycoprotein NMB for its tumorigenic potential
Authors: R Xie, Y Okita, Y Ichikawa, MA Fikry, KT Huynh Dam, STP Tran, M Kato
Cancer Sci., 2019-06-26;110(7):2237-2246.
Species: Mouse
Sample Types: Whole Cells
Applications: Flow Cytometry, ICC -
TFE3 Xp11.2 translocation renal cell carcinoma mouse model reveals novel therapeutic targets and identifies GPNMB as a diagnostic marker for human disease
Authors: M Baba, M Furuya, T Motoshima, M Lang, S Funasaki, W Ma, HW Sun, H Hasumi, Y Huang, I Kato, T Kadomatsu, Y Satou, N Morris, BO Karim, L Ileva, JD Kalen, LA Wilan Kris, Y Hasumi, A Sugiyama, R Kurahashi, K Nishimoto, M Oyama, Y Nagashima, N Kuroda, K Araki, M Eto, M Yao, T Kamba, T Suda, Y Oike, LS Schmidt, WM Linehan
Mol. Cancer Res., 2019-05-01;0(0):.
Species: Human
Sample Types: Paraffin-Embedded Tissue
Applications: IHC -
GPNMB methylation: a new marker of potentially carcinogenic colon lesions
Authors: H Ashktorab, H Rahi, M Nouraie, B Shokrani, E Lee, T Haydari, AO Laiyemo, P Siegel, H Brim
BMC Cancer, 2018-11-06;18(1):1068.
Species: Human
Sample Types: Whole Tissue
Applications: IHC -
Glycoprotein nmb is exposed on the surface of dormant breast cancer cells and induces stem cell-like properties
Authors: C Chen, Y Okita, Y Watanabe, F Abe, MA Fikry, Y Ichikawa, H Suzuki, A Shibuya, M Kato
Cancer Res., 2018-09-17;0(0):.
Species: Human
Sample Types: Whole Cells, Whole Tissue
Applications: FACS, IHC -
Direct molecular dissection of tumor parenchyma from tumor stroma in tumor xenograft using mass spectrometry-based glycoproteomics
Authors: X Ye, BT Luke, BR Wei, JA Kaczmarczy, J Loncarek, JE Dwyer, DJ Johann, RG Saul, DV Nissley, F McCormick, GR Whiteley, J Blonder
Oncotarget, 2018-05-29;9(41):26431-26452.
Species: Xenograft
Sample Types: Whole Tissue
Applications: IHC-P -
Clinical Significance of Glycoprotein Non-metastatic B and Its Association with EGFR/HER2 in Gastrointestinal Cancer
Authors: JY Tajima, M Futamura, S Gaowa, R Mori, T Tanahashi, Y Tanaka, N Matsuhashi, T Takahashi, K Yamaguchi, T Miyazaki, K Yoshida
J Cancer, 2018-01-01;9(2):358-366.
Species: Human
Sample Types: Cell Lysates
Applications: Western Blot -
Exploratory study on the effect of osteoactivin on muscle regeneration in a rat volumetric muscle loss model
Authors: J Ma, AR Baker, A Calabro, KA Derwin
PLoS ONE, 2017-04-20;12(4):e0175853.
Applications: IHC-Fr -
GPNMB ameliorates mutant TDP-43-induced motor neuron cell death
Authors: Yuki Nagahara
J. Neurosci. Res, 2016-12-09;0(0):.
Species: Human
Sample Types: Whole Tissue
Applications: IHC-P -
Identification of a biomarker in cerebrospinal fluid for neuronopathic forms of Gaucher disease.
Authors: Zigdon, Hila, Savidor, Alon, Levin, Yishai, Meshcheriakova, Anna, Schiffmann, Raphael, Futerman, Anthony
PLoS ONE, 2015-03-16;10(3):e0120194.
Species: Human
Sample Types: CSF
Applications: Western Blot -
GPNMB/OA protein increases the invasiveness of human metastatic prostate cancer cell lines DU145 and PC3 through MMP-2 and MMP-9 activity.
Authors: Fiorentini C, Bodei S, Bedussi F, Fragni M, Bonini S, Simeone C, Zani D, Berruti A, Missale C, Memo M, Spano P, Sigala S
Exp Cell Res, 2014-02-28;323(1):100-11.
Species: Human
Sample Types: Cell Lysates
Applications: Western Blot -
Hematopoietic growth factor inducible neurokinin-1 (Gpnmb/Osteoactivin) is a biomarker of progressive renal injury across species.
Authors: Patel-Chamberlin M, Wang Y, Satirapoj B
Kidney Int., 2011-03-09;79(10):1138-48.
Species: Human
Sample Types: Whole Tissue
Applications: IHC-P -
Inactivation of the FLCN tumor suppressor gene induces TFE3 transcriptional activity by increasing its nuclear localization.
Authors: Hong SB, Oh H, Valera VA, Baba M, Schmidt LS, Linehan WM
PLoS ONE, 2010-12-29;5(12):e15793.
Species: Human
Sample Types: Cell Lysates, Whole Tissue
Applications: IHC-P, Western Blot -
Glycoprotein nonmetastatic B is an independent prognostic indicator of recurrence and a novel therapeutic target in breast cancer.
Authors: Rose AA, Grosset AA, Dong Z, Russo C, Macdonald PA, Bertos NR, St-Pierre Y, Simantov R, Hallett M, Park M, Gaboury L, Siegel PM
Clin. Cancer Res., 2010-03-09;16(7):2147-56.
Species: Human
Sample Types: Cell Lysates, Whole Tissue
Applications: IHC-P, Western Blot -
MAPK Pathway Inhibitors Sensitize BRAF-Mutant Melanoma to an Antibody-Drug Conjugate Targeting GPNMB
Authors: April A. N. Rose, Matthew G. Annis, Dennie T. Frederick, Marco Biondini, Zhifeng Dong, Lawrence Kwong et al.
Clinical Cancer Research
-
Glycoprotein Nonmetastatic Melanoma Protein B as Potential Imaging Marker in Posttherapeutic Metastatic Head and Neck Cancer
Authors: Jeroen E. van Schaik, Saskia H. Hanemaaijer, György B. Halmos, Max J. H. Witjes, Bernard F. A. M. van der Laan, Bert van der Vegt et al.
Otolaryngology–Head and Neck Surgery
-
The glycoprotein GPNMB is selectively elevated in the substantia nigra of Parkinson's disease patients and increases after lysosomal stress
Authors: Elizabeth B. Moloney, Alyssa Moskites, Eliza J. Ferrari, Ole Isacson, Penelope J. Hallett
Neurobiology of Disease
-
Glycoprotein non–metastatic melanoma protein B functions with growth factor signaling to induce tumorigenesis through its serine phosphorylation
Authors: Chen Wang, Yukari Okita, Ling Zheng, Yasuhiro Shinkai, Lev Manevich, Jas M. Chin et al.
Cancer Science
-
Loss of FLCN-FNIP1/2 induces a noncanonical interferon response in human renal tubular epithelial cells
Authors: Glykofridis IE, Knol JC, Balk JA et al.
eLife
FAQs
No product specific FAQs exist for this product, however you may
View all Antibody FAQsReviews for Human Osteoactivin/GPNMB Antibody
Average Rating: 5 (Based on 3 Reviews)
Have you used Human Osteoactivin/GPNMB Antibody?
Submit a review and receive an Amazon gift card.
$25/€18/£15/$25CAN/¥75 Yuan/¥2500 Yen for a review with an image
$10/€7/£6/$10 CAD/¥70 Yuan/¥1110 Yen for a review without an image
Filter by:
primary Ab 1 :1000
Human specimens were deparaffinized and rehydrated before immunohistochemistry. The sections were blocked with 10% goat serum in PBS, then incubated overnight at 4 °C with the GPNMB antibody.
