Human PTHLH/PTHrP Antibody
Human PTHLH/PTHrP Antibody Summary
Ala37-Arg175
Accession # P12272
Applications
Please Note: Optimal dilutions should be determined by each laboratory for each application. General Protocols are available in the Technical Information section on our website.
Scientific Data
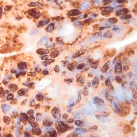
View Larger
PTHLH/PTHrP in Human Colon. PTHLH/PTHrP was detected in immersion fixed paraffin-embedded sections of human colon using Sheep Anti-Human PTHLH/PTHrP Antigen Affinity-purified Polyclonal Antibody (Catalog # AF6884) at 10 µg/mL overnight at 4 °C. Before incubation with the primary antibody, tissue was subjected to heat-induced epitope retrieval using Antigen Retrieval Reagent-Basic (Catalog # CTS013). Tissue was stained using the Anti-Sheep HRP-DAB Cell & Tissue Staining Kit (brown; Catalog # CTS019) and counterstained with hematoxylin (blue). Specific staining was localized to cytoplasm and nuclei. View our protocol for Chromogenic IHC Staining of Paraffin-embedded Tissue Sections.
Reconstitution Calculator
Preparation and Storage
- 12 months from date of receipt, -20 to -70 °C as supplied.
- 1 month, 2 to 8 °C under sterile conditions after reconstitution.
- 6 months, -20 to -70 °C under sterile conditions after reconstitution.
Background: PTHLH/PTHrP
PTHLH (Parathyroid hormone-like protein; also PTHrP and PLP) is a 17-18 kDa member of the parathyroid hormone family of molecules. It is widely expressed, and serves as an autocrine/paracrine factor for cells of differing tissue type. Although its N-terminus is related to PTH/parathyroid hormone, the molecule, on balance, is not considered a substitute for PTH. Human PTHLH is synthesized as a 177 amino acid (aa) preproprecursor. The preproregion is 36 aa in length and is coupled to a 16 kDa, 141 aa mature molecule (aa 37-177). There are no potential glycosylation sites or identifiable structural domains in the mature region. PTHLH undergoes both alternative splicing and proteolytic processing. Splicing generates two variant isoforms, a 139 aa variant (aa 37-175), and a 20 kDa, 173 aa variant that shows a 34 aa substitution for aa 176-177. Proteolytic processing creates multiple fragments. The three best characterized are PTHLH/PTHrP (1-36) (equivalent to aa 37-72 of the precursor molecule), PTHLH (74-130), and PTHLH (143-175) (otherwise known as osteostatin). These three peptides have distinct functions; the N-terminal peptide is associated with cell growth, the middle peptide with divalent cation transport, and the C-terminal peptide with osteoclast function. Over aa 37-175, human PTHLH shares 86% aa identity with mouse PTHLH.
Product Datasheets
FAQs
No product specific FAQs exist for this product, however you may
View all Antibody FAQsReviews for Human PTHLH/PTHrP Antibody
There are currently no reviews for this product. Be the first to review Human PTHLH/PTHrP Antibody and earn rewards!
Have you used Human PTHLH/PTHrP Antibody?
Submit a review and receive an Amazon gift card.
$25/€18/£15/$25CAN/¥75 Yuan/¥2500 Yen for a review with an image
$10/€7/£6/$10 CAD/¥70 Yuan/¥1110 Yen for a review without an image
