Human PTPR gamma Antibody
Human PTPR gamma Antibody Summary
Ser111-Ala541
Accession # P23470
Applications
Please Note: Optimal dilutions should be determined by each laboratory for each application. General Protocols are available in the Technical Information section on our website.
Scientific Data
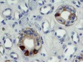
View Larger
PTPR gamma in Human Kidney. PTPR? was detected in immersion fixed paraffin-embedded sections of human kidney using 15 µg/mL Goat Anti-Human PTPR? Antigen Affinity-purified Polyclonal Antibody (Catalog # AF4608) overnight at 4 °C. Tissue was stained with the Anti-Goat HRP-DAB Cell & Tissue Staining Kit (brown; Catalog # CTS008) and counter-stained with hematoxylin (blue). Specific labeling was localized to the cytoplasm of epithelial cells in tubules. View our protocol for Chromogenic IHC Staining of Paraffin-embedded Tissue Sections.
View Larger
Detection of Human PTPR gamma by Western Blot. Western blot shows lysates of CHP-100 human neuroblastoma cell line and SH-SY5Y human neuroblastoma cell line. PVDF membrane was probed with 1 µg/mL of Goat Anti-Human PTPR? Antigen Affinity-purified Polyclonal Antibody (Catalog # AF4608) followed by HRP-conjugated Anti-Goat IgG Secondary Antibody (Catalog # HAF109). A specific band was detected for PTPR? at approximately 160 kDa (as indicated). This experiment was conducted under reducing conditions and using Immunoblot Buffer Group 1.
Reconstitution Calculator
Preparation and Storage
- 12 months from date of receipt, -20 to -70 °C as supplied.
- 1 month, 2 to 8 °C under sterile conditions after reconstitution.
- 6 months, -20 to -70 °C under sterile conditions after reconstitution.
Background: PTP gamma/PTPRG
Protein Tyrosine Phosphatase, Receptor type gamma (PTPR gamma ), also called PTPRG and PTPG, is a transmembrane protein. Its extracellular region contains carbonic anhydrase and Fibronectin III domains, suggesting that it interacts with adhesion molecules, but the only reported activator is an intracellular ATP-dependent factor. During brain development, PTPR gamma is found exclusively in post-mitotic neurons. A wide variety of cancers, including colon, renal clear cell, lung, breast, and cervical cancers, show a high incidence of defects in the PTPR gamma gene, suggesting the protein has a key regulatory function in tumor suppression.
Product Datasheets
FAQs
No product specific FAQs exist for this product, however you may
View all Antibody FAQsReviews for Human PTPR gamma Antibody
There are currently no reviews for this product. Be the first to review Human PTPR gamma Antibody and earn rewards!
Have you used Human PTPR gamma Antibody?
Submit a review and receive an Amazon gift card.
$25/€18/£15/$25CAN/¥75 Yuan/¥2500 Yen for a review with an image
$10/€7/£6/$10 CAD/¥70 Yuan/¥1110 Yen for a review without an image
