Human Thioredoxin Reductase 2/TRXR2 Antibody
Discontinued Product
Human Thioredoxin Reductase 2/TRXR2 Antibody Summary
Met268-Asp393
Accession # Q9NNW7.3
Applications
Please Note: Optimal dilutions should be determined by each laboratory for each application. General Protocols are available in the Technical Information section on our website.
Scientific Data
View Larger
Detection of Human, Mouse, and Rat Thioredoxin Reductase 2/TRXR2 by Western Blot. Western blot shows lysates of HeLa human cervical epithelial carcinoma cell line, C2C12 mouse myoblast cell line, and Nb2-11 rat lymphoma cell line. PVDF Membrane was probed with 0.1 µg/mL of Mouse Anti-Human Thioredoxin Reductase 2/TRXR2 Monoclonal Antibody (Catalog # MAB58151) followed by HRP-conjugated Anti-Mouse IgG Secondary Antibody (Catalog # HAF007). A specific band was detected for Thioredoxin Reductase 2/TRXR2 at approximately 52 kDa (as indicated). This experiment was conducted under reducing conditions and using Immunoblot Buffer Group 2.
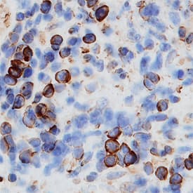
View Larger
Thioredoxin Reductase 2/TRXR2 in Human Prostate. Thioredoxin Reductase 2/TRXR2 was detected in immersion fixed paraffin-embedded sections of human prostate using Mouse Anti-Human Thioredoxin Reductase 2/TRXR2 Monoclonal Antibody (Catalog # MAB58151) at 15 µg/mL overnight at 4 °C. Before incubation with the primary antibody, tissue was subjected to heat-induced epitope retrieval using Antigen Retrieval Reagent-Basic (Catalog # CTS013). Tissue was stained using the Anti-Mouse HRP-DAB Cell & Tissue Staining Kit (brown; Catalog # CTS002) and counterstained with hematoxylin (blue). Specific staining was localized to cytoplasm and plasma membrane of epithelial cells. View our protocol for Chromogenic IHC Staining of Paraffin-embedded Tissue Sections.
Reconstitution Calculator
Preparation and Storage
- 12 months from date of receipt, -20 to -70 °C as supplied.
- 1 month, 2 to 8 °C under sterile conditions after reconstitution.
- 6 months, -20 to -70 °C under sterile conditions after reconstitution.
Background: Thioredoxin Reductase 2/TRXR2
Thioredoxin Reductase 2 (TRXR2; also known as Thioredoxin Reductase TR3 and Selenoprotein Z) is a 56 kDa, ubiquitously expressed, mitochondrial selenoprotein and member of the class-I pyridine nucleotide-disulfide oxidoreductase family of proteins. Human TRXR2 is synthesized as a 524 amino acid (aa) precursor that contains a 36 aa transit peptide and a 488 aa mature chain. A selenocysteine residue at position 523 is essential for enzymatic activity. Alternate splicing produces four isoforms. Human TRXR2 shares 86% and 85% aa identity with mouse and rat TRXR2, respectively. TRXR2 maintains thioredoxin in a reduced state and is implicated in the defense against oxidative stress. It may also play a role in redox-regulated cell signaling.
Product Datasheets
FAQs
No product specific FAQs exist for this product, however you may
View all Antibody FAQsReviews for Human Thioredoxin Reductase 2/TRXR2 Antibody
There are currently no reviews for this product. Be the first to review Human Thioredoxin Reductase 2/TRXR2 Antibody and earn rewards!
Have you used Human Thioredoxin Reductase 2/TRXR2 Antibody?
Submit a review and receive an Amazon gift card.
$25/€18/£15/$25CAN/¥75 Yuan/¥2500 Yen for a review with an image
$10/€7/£6/$10 CAD/¥70 Yuan/¥1110 Yen for a review without an image
