97 results for "Fc gamma RIIIB/CD16b" in Products

Fc gamma RIIIB/CD16b Products

Fc gamma RIIIB/CD16b is a low/intermediate affinity receptor for polyvalent immune-complexed IgG. It is a GPI-anchored protein that is selectively expressed on the surface of neutrophils and eosinophils. Fc gamma RIIIB functions as a decoy receptor that binds IgG complexes without triggering activation. A shed soluble form of Fc gamma RIIIB can interact with complement receptors CR3 and CR4 on monocytes to induce the production of pro-inflammatory cytokines.

 

NA2 variant

Reactivity: Human
Source: NS0
Accession #: O75015.2
Applications: Binding Activity
Recombinant Human Fc gamma RIIIB/CD16b Protein Binding Activity
(2)
Loading...
Reactivity: Human
Details: Goat IgG Polyclonal
Applications: WB, B/N, Simple Western
Detection of Human Fc gamma RIII (CD16) antibody by Western Blot.
(2)
Loading...
Reactivity: Human
Details: Mouse IgG2A Monoclonal Clone #245536
Applications: Flow, CyTOF-ready
(4)
Loading...

Recombinant Monoclonal Antibody.

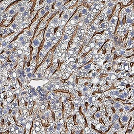
Reactivity: Mouse
Details: Rabbit IgG Monoclonal Clone #3163D
Applications: mIF, IHC, WB, ICC/IF, COMET
(6)
Loading...
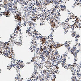
Reactivity: Mouse
Details: Rat IgG2B Monoclonal Clone #1107512
Applications: mIF, IHC, WB, COMET
(7)
Loading...
Reactivity: Human
Details: Mouse IgG2A Monoclonal Clone #1001049
Applications: IHC, WB, Flow, ICC/IF, CyTOF-ready
Detection of Human Fc? RIIIA/CD16a antibody by Western Blot.
(4)
Loading...
Reactivity: Human
Details: Mouse IgG2A Monoclonal Clone #1001005
Applications: IHC, Flow, ICC/IF, CyTOF-ready
Detection of Fc gamma RIII (CD16) antibody in Human PBMCs antibody by Flow Cytometry.
(3)
Loading...

Recombinant Monoclonal Antibody

Reactivity: Human
Details: Rabbit Monoclonal Clone #BLR163J
Applications: mIF, IHC, WB, ICC/IF
Western Blot: Fc gamma RIIIB/CD16b Antibody (BLR163J) [NBP3-14737]
(5)
Loading...
Reactivity: Human
Details: Mouse IgG2A Monoclonal Clone #245536
Applications: Flow
Detection of Fc gamma RIII (CD16) antibody in Human PBMCs antibody by Flow Cytometry.
(3)
Loading...
Reactivity: Human
Details: Mouse IgG2A Monoclonal Clone #245536
Applications: Flow
Detection of Fc gamma RIII (CD16) antibody in Human PBMCs antibody by Flow Cytometry.
Loading...
Reactivity: Human
Source: HEK293
Accession #: NP_000561.3
Applications: Bioactivity
Recombinant Human Fc gamma RIIIB/CD16b (aa18-200) Protein Binding Activity
(2)
Loading...

His-tag

Reactivity: Human
Source: CHO
Accession #: O75015.3
Applications: Bioactivity
Loading...

His-tag SH Varient

Reactivity: Human
Source: HEK293
Accession #: O75015.3
Applications: Bioactivity
Loading...
Reactivity: Human, Porcine
Details: Rabbit Polyclonal
Applications: IHC, WB
Fc gamma RIIIB/CD16b Antibody
(2)
Loading...
Reactivity: Human
Details: Mouse IgG2A Monoclonal Clone #245536
Applications: Flow
Detection of Fc gamma RIII (CD16) antibody in Human PBMCs antibody by Flow Cytometry.
(2)
Loading...
Reactivity: Human
Details: Goat IgG Polyclonal
Applications: WB
Human Fc gamma  RIIIA/B (CD16) Biotinylated Antibody
Loading...

His-tag Avi-tag NA2 variant

Reactivity: Human
Source: CHO
Accession #: O75015.2
Applications: Bioactivity
(2)
Loading...

Recombinant Monoclonal Antibody.

Reactivity: Mouse
Details: Rabbit IgG Monoclonal Clone #3163D
Applications: IHC, WB, ICC/IF
Mouse Fc gamma  RIIIB/CD16b Alexa Fluor® 488‑conjugated Antibody
Loading...

Recombinant Monoclonal Antibody.

Reactivity: Mouse
Details: Rabbit IgG Monoclonal Clone #3163D
Applications: IHC, WB, ICC/IF
Mouse Fc gamma  RIIIB/CD16b Alexa Fluor® 700‑conjugated Antibody
Loading...

Recombinant Monoclonal Antibody.

Reactivity: Mouse
Details: Rabbit IgG Monoclonal Clone #3163D
Applications: IHC, WB, ICC/IF
Mouse Fc gamma  RIIIB/CD16b Alexa Fluor® 647‑conjugated Antibody
Loading...

Recombinant Monoclonal Antibody.

Reactivity: Mouse
Details: Rabbit IgG Monoclonal Clone #3163D
Applications: IHC, WB, ICC/IF
Mouse Fc gamma  RIIIB/CD16b Alexa Fluor® 750‑conjugated Antibody
Loading...

Recombinant Monoclonal Antibody.

Reactivity: Mouse
Details: Rabbit IgG Monoclonal Clone #3163D
Applications: IHC, WB, ICC/IF
Mouse Fc gamma  RIIIB/CD16b Alexa Fluor® 594‑conjugated Antibody
Loading...

Recombinant Monoclonal Antibody.

Reactivity: Mouse
Details: Rabbit IgG Monoclonal Clone #3163D
Applications: IHC, WB, ICC/IF
Mouse Fc gamma  RIIIB/CD16b Alexa Fluor® 350‑conjugated Antibody
Loading...
Results Per Page
5 10 25 50