Key Product Details

Species Reactivity

Human

Applications

Immunohistochemistry, Western Blot

Label

Unconjugated

Antibody Source

Monoclonal Mouse IgG2A Clone # 296605
Loading...

Product Specifications

Immunogen

Mouse myeloma cell line NS0-derived recombinant human Progranulin/PGRN
Met1-Leu593
Accession # P28799

Specificity

Detects human Progranulin/PGRN in direct ELISAs.

Clonality

Monoclonal

Host

Mouse

Isotype

IgG2A

Scientific Data Images for Human Progranulin/PGRN Antibody

Detection of Human and Mouse Progranulin/PGRN antibody by Western Blot.

Detection of Human and Mouse Progranulin/PGRN by Western Blot.

Western blot shows lysates of HepG2 human hepatocellular carcinoma cell line and mouse liver tissue. PVDF membrane was probed with 2 µg/mL of Mouse Anti-Human Progranulin/PGRN Polyclonal Antibody (Catalog # MAB24201) followed by HRP-conjugated Anti-Mouse IgG Secondary Antibody (Catalog # HAF018). A specific band was detected for Progranulin/PGRN at approximately 75 kDa (as indicated). This experiment was conducted under reducing conditions and using Immunoblot Buffer Group 1. For Western blotting, Catalog # AF2420is recommended.
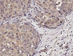
Progranulin/PGRN antibody in Human Breast Cancer Tissue by Immunohistochemistry (IHC-P).

Progranulin/PGRN in Human Breast Cancer Tissue.

Progranulin/PGRN was detected in immersion fixed paraffin-embedded sections of human breast cancer tissue using Mouse Anti-Human Progranulin/PGRN Polyclonal Antibody (Catalog # MAB24201) at 5 µg/mL for 1 hour at room temperature followed by incubation with the Anti-Mouse IgG VisUCyte™ HRP Polymer Antibody (Catalog # VC001). Tissue was stained using DAB (brown) and counterstained with hematoxylin (blue). Specific staining was localized to cytoplasm in cancer cells. View our protocol for IHC Staining with VisUCyte HRP Polymer Detection Reagents.

Applications for Human Progranulin/PGRN Antibody

Application
Recommended Usage

Immunohistochemistry

5-25 µg/mL
Sample: Immersion fixed paraffin-embedded sections of human breast cancer tissue

Western Blot

2 µg/mL
Sample: HepG2 human hepatocellular carcinoma cell line and mouse liver tissue. For Western blotting, Catalog # AF2420 is recommended.

Reviewed Applications

Read 1 review rated 5 using MAB24201 in the following applications:

Formulation, Preparation, and Storage

Purification

Protein A or G purified from hybridoma culture supernatant

Reconstitution

Reconstitute at 0.5 mg/mL in sterile PBS. For liquid material, refer to CoA for concentration.


Loading...

Formulation

Lyophilized from a 0.2 μm filtered solution in PBS with Trehalose. *Small pack size (SP) is supplied either lyophilized or as a 0.2 µm filtered solution in PBS.

Shipping

Lyophilized product is shipped at ambient temperature. Liquid small pack size (-SP) is shipped with polar packs. Upon receipt, store immediately at the temperature recommended below.

Stability & Storage

Use a manual defrost freezer and avoid repeated freeze-thaw cycles.
  • 12 months from date of receipt, -20 to -70 °C as supplied.
  • 1 month, 2 to 8 °C under sterile conditions after reconstitution.
  • 6 months, -20 to -70 °C under sterile conditions after reconstitution.

Calculators

The reconstitution calculator allows you to quickly calculate the volume of a reagent to reconstitute your vial. Simply enter the mass of reagent and the target concentration and the calculator will determine the rest.

=
÷

Background: Progranulin/PGRN

Progranulin, also known as Acrogranin, PC Cell-derived Growth Factor (PCDGF) and Epithelin/Granulin Precursor, is a ubiquitously expressed, 88 kDa, secreted glycoprotein (1‑3). Structurally, it does not belong to any of the well-established growth factor families (4). Human Progranulin is 593 amino acids (aa) in length and contains a 17 aa signal sequence and 5 potential sites for N-linked glycosylation (Swiss Prot # P28799). It has a highly repetitive organization, containing seven tandem copies of a 55-57 aa consensus motif that contains 12 conserved cysteine residues: VXCX5-6CX5CCX8CCX6CCXDX2HCCPX4CX5-6CX2 (1). There is one alternate splice form for human Progranulin. This has a deletion of aa corresponding to aa 377-531 of the standard form. Progranulin is secreted as a full length form (2, 4), and may undergo proteolysis leading to the release of numerous peptides made from the seven tandem repeats, called the granulins (5-7). Human Progranulin shares 75% aa sequence identity with mouse and rat Progranulin. Progranulin is involved in the regulation of cellular proliferation, as well as differentiation, development, and pathological processes (4). It has been isolated as a differentially expressed gene during mesothelial differentiation (8), macrophage development (9), the development of rheumatoid arthritis and osteoarthritis (10), sexual differentiation of the brain (11), and has also been shown to be a mediator of cartilage proliferation and of wound response and tissue repair (4, 12 13). High levels of Progranulin expression have been found to be associated with several human cancers and are believed to contribute to tumorigenesis in breast cancer, clear cell renal carcinoma, invasive ovarian carcinoma, glioblastoma, adipocyte teratoma, and multiple myeloma (4-5, 12, 14-19). In addition, mutations in the Progranulin gene are a cause of frontotemporal dementia, and increased expression of Progranulin is seen in activated microglia in many neurodegenerative diseases including Creutzfeldt-Jakob disease, motor neuron disease and Alzheimer's disease (20). Mutations in Progranulin causing neurodegenerative disease indicate that Progranulin is important for neuronal survival (20).

References

  1. Plowman, G.D. et al. (1992) J. Biol. Chem. 267:13073.
  2. Zhou, J. et al. (1993) J. Biol. Chem. 268:10863.
  3. Liu, Y. et al. (2007) BMC Cancer 7:22.
  4. Xu, K. et al. (2007) J. Biol. Chem. 282:11347.
  5. Davidson, B. et al. (2004) Cancer 100:2139.
  6. Zanocco-Marani, T. et al. (1999) Cancer Res. 59:5331.
  7. Lu, R. and G. Serrero (2000) Proc. Natl. Acad. Sci. USA 97:3993.
  8. Sun, X. et al. (2004) Am. J. Respir. Cell Mol. Biol. 30:510.
  9. Barreda, D.R. et al. (2004) Dev. Comp. Immunol. 28:727.
  10. Justen, H.P. et al. (2000) Mol. Cell Biol. Res. Commun. 3:165.
  11. Suzuki, M. and M. Nishiahara (2002) Mol. Genet. Metab. 75:31.
  12. He, Z. et al. (2003) Nat. Med. 9:225.
  13. Zhu, J. et al. (2002) Cell 111:867.
  14. He, Z. and A. Bateman (2003) J. Mol. Med. 81:600.
  15. Bateman, A. et al. (1990) Biochem. Biophys. Res. Commun. 173:1161.
  16. Gonzalez, E.M. et al. (2003) J. Biol. Chem. 278:38113.
  17. Jones, M.B. et al. (2003) Gynecol. Oncol. 88:S136.
  18. Wang, W. et al. (2003) Clin. Cancer Res. 9:2221.
  19. Zhang, H. and G. Serrero (1998) Proc. Natl. Acad. Sci. USA 95:14202.
  20. Baker, M. et al. (2006) Nature 442:916.

Alternate Names

Acrogranin, GEP, GP88, GRN, PCDGF, PEPI, PGRN, Proepithelin

Entrez Gene IDs

2896 (Human); 14824 (Mouse)

Gene Symbol

GRN

UniProt

Additional Progranulin/PGRN Products

Product Documents for Human Progranulin/PGRN Antibody

Certificate of Analysis

To download a Certificate of Analysis, please enter a lot or batch number in the search box below.

Note: Certificate of Analysis not available for kit components.

Product Specific Notices for Human Progranulin/PGRN Antibody

For research use only

Related Research Areas

Citations for Human Progranulin/PGRN Antibody

Customer Reviews for Human Progranulin/PGRN Antibody (1)

5 out of 5
1 Customer Rating
5 Stars
100%
4 Stars
0%
3 Stars
0%
2 Stars
0%
1 Stars
0%

Have you used Human Progranulin/PGRN Antibody?

Submit a review and receive an Amazon gift card!

$25/€18/£15/$25CAN/¥2500 Yen for a review with an image

$10/€7/£6/$10CAN/¥1110 Yen for a review without an image

Submit a review
Amazon Gift Card

Customer Images


Showing  1 - 11 review Showing All
Filter By:
  • Human Progranulin/PGRN Antibody
    Name: Anonymous
    Application: Immunohistochemistry
    Sample Tested: Breast cancer tissue
    Species: Human
    Verified Customer | Posted 06/19/2022
    Human Progranulin/PGRN Antibody MAB24201

There are no reviews that match your criteria.

Showing  1 - 11 review Showing All

Protocols

Find general support by application which include: protocols, troubleshooting, illustrated assays, videos and webinars.

FAQs

No product specific FAQs exist for this product.

View all FAQs for Antibodies
Loading...