Human/Mouse DLL4 Antibody Summary
Ser28-Pro525
Accession # Q9JI71
Applications
Please Note: Optimal dilutions should be determined by each laboratory for each application. General Protocols are available in the Technical Information section on our website.
Scientific Data
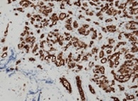
View Larger
DLL4 in Mouse Embryonic Heart. DLL4 was detected in immersion fixed frozen sections of mouse embryonic heart using Rat Anti-Human/Mouse DLL4 Monoclonal Antibody (Catalog # MAB1389) at 8 µg/mL overnight at 4 °C. Tissue was stained using the Anti-Rat HRP-DAB Cell & Tissue Staining Kit (brown; Catalog # CTS017) and counterstained with hematoxylin (blue). Specific staining was localized to developing cardiomyocytes. View our protocol for Chromogenic IHC Staining of Frozen Tissue Sections.
View Larger
Detection of DLL4 by Western Blot mDia1is essential for CCN1-induced Cdc42 activation in tip cell formation.(A) HUVECs were treated with PBS (Control) or CCN1 (10 ng/mL) for 24 hr, and total RNA was used for the detection of DIAPH1 (mDia1) mRNA expression by qRT-PCR. *p<0.001 vs. Control. (B) After transfection with DIAPH1 WT full length and DIAPH1 double-negative mutant plasmids, HUVECs were treated with CCN1 and immunostained with anti-vinculin antibody (red) and phalloidin (green) to visualise filopodia. Scale bar = 10 µm. (C, D) HUVECs transfected with DIAPH1 WT full length and DIAPH1 double-negative mutant plasmids were treated with CCN1 (10 ng/mL) for 30 min, and active Cdc42 was assessed by western blotting analysis (C) and visualised by p-N-Wasp (D). Fold changes were noted under each protein band. (E) After HUVECs were transfected with DIAPH1 WT full length and DIAPH1 DN3 mutant plasmid, starved cells for 16 hr were treated with CCN1 10 ng/ml for 1 hr and detected YAP/TAZ by IF. Scale bar = 100 µm.10.7554/eLife.46012.012Figure 4—source data 1.Source data for Figure 4C.Source data for Figure 4C. Image collected and cropped by CiteAb from the following open publication (https://pubmed.ncbi.nlm.nih.gov/31429823), licensed under a CC-BY license. Not internally tested by R&D Systems.
View Larger
Detection of DLL4 by Western Blot CCN1 stimulates tip cell activity in ECs. (G) Western blotting analysis of VEGFR2, DLL4, and SOX17 protein levels in the same samples as used in F. beta -actin was used as an internal control. Fold increase was indicated as a number below each band. (H) Luciferase assays in HUVECs transfected with DLL4-Luc reporter vector and treated with CCN1 or VEGF (10 ng/mL) for 24 hr. Luciferase activity was normalised to Renilla luminescence. *p<0.001 vs. Control.10.7554/eLife.46012.005Figure 2—source data 1.Source data for Figure 2G.Source data for Figure 2G. Image collected and cropped by CiteAb from the following open publication (https://pubmed.ncbi.nlm.nih.gov/31429823), licensed under a CC-BY license. Not internally tested by R&D Systems.
Reconstitution Calculator
Preparation and Storage
- 12 months from date of receipt, -20 to -70 °C as supplied.
- 1 month, 2 to 8 °C under sterile conditions after reconstitution.
- 6 months, -20 to -70 °C under sterile conditions after reconstitution.
Background: DLL4
Delta-like protein 4 (DLL4) is a type I membrane protein belonging to the Delta/Serrate/Lag2 (DSL) family of Notch ligands (1). Notch signaling is an evolutionarily conserved pathway that controls cell fate and is required in multiple developmental processes including vascular development, hematopoiesis, somatogenesis, myogenesis, and neurogenesis (2-4). Dysregulation in the Notch pathway is associated with various human diseases. In mammals, four Notch homologs (Notch 1 to 4) and five ligands (DLL 1, 3 and 4, Jagged 1 and 2) have been identified. Notch ligands are transmembrane proteins with a DSL motif necessary for Notch binding, tandem EGF repeats, a transmembrane region and a short intracellular domain (ICD). Notch ligands are categorized into two subfamilies based on the presence of an extracellular cysteine-rich domain and insertions that interrupt some EGF repeats in the Jagged but not the Delta ligand family. Interactions of Notch receptors with their ligands results in reciprocal regulated intramembrane proteolysis (RIP) (4). RIP is a mechanism for transmembrane signal transduction that involves the sequential processing by a disintegrin metalloprotease (ADAM) and then by presenilin/ gamma secretase, resulting in shedding of the extracellular domains and the generation of the soluble ICD signaling fragments, respectively. The Notch ICD translocates to the nucleus and interacts with transcriptional coactivators, resulting in the transcription of target genes. The ICDs of the Notch ligands have also been shown to translocate to the nucleus where they may have a signaling function (5, 6). DLL4 is expressed highly and selectively within the arterial endothelium and has been shown to function as a ligand for Notch 1 and Notch 4. Human and mouse DLL4 share 86% amino acid sequence identity (1).
- Shutter, J.R. et al. (2000) Genes Dev. 14:1313.
- Iso, T. et al. (2002) Arterioscler. Thromb. Vasc. Biol. 23:543.
- Walker, L. et al. (2001) Stem Cells 19:543.
- Baron, M. (2002) Semin. Cell Dev. Biol. 14:113.
- Ikeuchi, T. and S.S. Sisodia (2003) J. Biol. Chem. 278:7751.
- Bland, C.E. et al. (2003) J. Biol. Chem. 278:13607.
Product Datasheets
Citations for Human/Mouse DLL4 Antibody
R&D Systems personnel manually curate a database that contains references using R&D Systems products. The data collected includes not only links to publications in PubMed, but also provides information about sample types, species, and experimental conditions.
10
Citations: Showing 1 - 10
Filter your results:
Filter by:
-
CCN1 interlinks integrin and Hippo pathway to autoregulate tip cell activity
Authors: Park MH, Kim AK, Manandhar S et al.
Elife
-
Anti-DLL4 VNAR targeted nanoparticles for targeting of both tumour and tumour associated vasculature
Authors: Adam Leach, Peter Smyth, Laura Ferguson, John Steven, Michelle K. Greene, Cristina M. Branco et al.
Nanoscale
-
Atypical chemokine receptor ACKR3/CXCR7 controls postnatal vasculogenesis and arterial specification by mesenchymal stem cells via Notch signaling
Authors: ST Wei, YC Huang, ML Hsieh, YJ Lin, WC Shyu, HC Chen, CH Hsieh
Cell Death Dis, 2020-05-04;11(5):307.
Species: Human
Sample Types: Cell Culture Supernatents
Applications: Western Blot -
Muscle Satellite Cell Cross-Talk with a Vascular Niche Maintains Quiescence via VEGF and Notch Signaling
Authors: M Verma, Y Asakura, BSR Murakonda, T Pengo, C Latroche, B Chazaud, LK McLoon, A Asakura
Cell Stem Cell, 2018-10-04;23(4):530-543.e9.
-
MEF2 transcription factors are key regulators of sprouting angiogenesis
Authors: Sarah De Val
Genes Dev., 2016-10-15;30(20):2297-2309.
Species: Mouse
Sample Types: Whole Tissue
Applications: IHC -
Suppression of ischemia in arterial occlusive disease by JNK-promoted native collateral artery development
Elife, 2016-08-09;5(0):.
Species: Mouse
Sample Types: Cell Lysates, Whole Cells
Applications: IHC-Fr, Western Blot -
Quantitative assessment of angiogenesis, perfused blood vessels and endothelial tip cells in the postnatal mouse brain.
Authors: Walchli T, Mateos J, Weinman O, Babic D, Regli L, Hoerstrup S, Gerhardt H, Schwab M, Vogel J
Nat Protoc, 2014-12-11;10(1):53-74.
Species: Mouse
Sample Types: Whole Tissue
Applications: IHC -
The alarmin IL-33 is a notch target in quiescent endothelial cells.
Authors: Sundlisaeter E, Edelmann R, Hol J, Sponheim J, Kuchler A, Weiss M, Udalova I, Midwood K, Kasprzycka M, Haraldsen G
Am J Pathol, 2012-07-16;181(3):1099-111.
Species: Human
Sample Types: Whole Cells
Applications: ICC -
KSHV-induced notch components render endothelial and mural cell characteristics and cell survival.
Authors: Liu R, Li X, Tulpule A, Zhou Y, Scehnet JS, Zhang S, Lee JS, Chaudhary PM, Jung J, Gill PS
Blood, 2009-11-24;115(4):887-95.
Species: Human
Sample Types: Cell Lysates
Applications: Western Blot -
CD8- DCs induce IL-12-independent Th1 differentiation through Delta 4 Notch-like ligand in response to bacterial LPS.
Authors: Skokos D, Nussenzweig MC
J. Exp. Med., 2007-06-18;204(7):1525-31.
Species: Mouse
Sample Types: Cell Lysates
Applications: Western Blot
FAQs
No product specific FAQs exist for this product, however you may
View all Antibody FAQsReviews for Human/Mouse DLL4 Antibody
Average Rating: 4.3 (Based on 3 Reviews)
Have you used Human/Mouse DLL4 Antibody?
Submit a review and receive an Amazon gift card.
$25/€18/£15/$25CAN/¥75 Yuan/¥2500 Yen for a review with an image
$10/€7/£6/$10 CAD/¥70 Yuan/¥1110 Yen for a review without an image
Filter by:
