Human/Mouse/Rat Teneurin-4 Antibody Summary
Lys61-Lys340
Accession # Q6N022
Applications
Please Note: Optimal dilutions should be determined by each laboratory for each application. General Protocols are available in the Technical Information section on our website.
Scientific Data
View Larger
Detection of Human and Mouse Teneurin‑4 by Western Blot. Western blot shows lysates of SH‑SY5Y human neuroblastoma cell line and L‑929 mouse fibroblast cell line. PVDF membrane was probed with 1 µg/mL of Sheep Anti-Human/Mouse/Rat Teneurin‑4 Antigen Affinity-purified Polyclonal Antibody (Catalog # AF6320) followed by HRP-conjugated Anti-Sheep IgG Secondary Antibody (HAF016). A specific band was detected for Teneurin‑4 at approximately 300 kDa (as indicated). This experiment was conducted under reducing conditions and using Western Blot Buffer Group 1.
View Larger
Detection of Rat Teneurin‑4 by Western Blot. Western blot shows lysates of Rat cortical stem cell. PVDF membrane was probed with 1 µg/mL of Sheep Anti-Human/Mouse/Rat Teneurin‑4 Antigen Affinity-purified Polyclonal Antibody (Catalog # AF6320) followed by HRP-conjugated Anti-Sheep IgG Secondary Antibody (HAF016). A specific band was detected for Teneurin‑4 at approximately 300 kDa (as indicated). This experiment was conducted under reducing conditions and using Western Blot Buffer Group 1.
View Larger
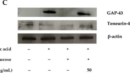
Detection of Teneurin-4 by Western Blot The effect of fraction ACH3 on neurite outgrowth (A). MTT assay was performed to clarify the effect of fraction ACH3 on cell viability (B). GAP-43 and Teneurin4 expression shown in a representative Western blot (C). Normalized values of both GAP-43 and Teneurin-4 against beta -actin (D). All data are presented as the mean ± SEM, * p < 0.05 vs. control; +p < 0.05 vs. 10 μM RA; #p < 0.05 vs. high glucose-treated cells. Image collected and cropped by CiteAb from the following open publication (https://pubmed.ncbi.nlm.nih.gov/36079924), licensed under a CC-BY license. Not internally tested by R&D Systems.
View Larger
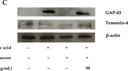
Detection of Teneurin-4 by Western Blot The effect of fraction ACH3 on neurite outgrowth (A). MTT assay was performed to clarify the effect of fraction ACH3 on cell viability (B). GAP-43 and Teneurin4 expression shown in a representative Western blot (C). Normalized values of both GAP-43 and Teneurin-4 against beta -actin (D). All data are presented as the mean ± SEM, * p < 0.05 vs. control; +p < 0.05 vs. 10 μM RA; #p < 0.05 vs. high glucose-treated cells. Image collected and cropped by CiteAb from the following open publication (https://pubmed.ncbi.nlm.nih.gov/36079924), licensed under a CC-BY license. Not internally tested by R&D Systems.
Reconstitution Calculator
Preparation and Storage
- 12 months from date of receipt, -20 to -70 °C as supplied.
- 1 month, 2 to 8 °C under sterile conditions after reconstitution.
- 6 months, -20 to -70 °C under sterile conditions after reconstitution.
Background: Teneurin-4
Teneurin-4 (also Ten-m4, Doc4 and tenascin-M4) is a 250-300 kDa member of the tenascin family, teneurin subfamily of transmembrane (TM) molecules. It is a covalently-linked homodimer that is widely expressed in the embryo, and in adult, participates in cell-to-cell adhesion, and may communicate ER stress levels. Human Teneurin-4 is a 2769 amino acid (aa) type II TM glycoprotein. It contains a 345 aa cytoplasmic region (aa 1-345), plus a 2403 aa extracellular domain (ECD) (aa 367‑2769). The ECD possesses eight sequential EGF-like domains (aa 561-831), five NHL repeats, each of which form a beta -propeller (aa 1216-1566), and 23 YD/TyrAsp-containing repeats that bind carbohydrates. C-terminal cleavage generates a short 5 kDa, 41 aa peptide (aa 2726-2766) termed TCAP-1 that shows bioactivity. Teneurin-4 is hypothesized to form heterodimers with other teneurins. Over aa 61-340, human Teneurin-4 shares 95% aa identity with mouse Teneurin-4.
Product Datasheets
Citations for Human/Mouse/Rat Teneurin-4 Antibody
R&D Systems personnel manually curate a database that contains references using R&D Systems products. The data collected includes not only links to publications in PubMed, but also provides information about sample types, species, and experimental conditions.
5
Citations: Showing 1 - 5
Filter your results:
Filter by:
-
Nogo Receptor Antagonist LOTUS Promotes Neurite Outgrowth through Its Interaction with Teneurin-4
Authors: Kurihara, Y;Kawaguchi, Y;Ohta, Y;Kawasaki, N;Fujita, Y;Takei, K;
Cells
Species: Primate - Chlorocebus aethiops (African Green Monkey)
Sample Types: Cell Lysates
Applications: Western Blot -
Aquilaria crassna Leaf Extract Ameliorates Glucose-Induced Neurotoxicity In Vitro and Improves Lifespan in Caenorhabditis elegans
Authors: N Pattaracho, N Sornkaew, W Warayanon, P Rangsinth, C Sillapacha, W Vongthip, S Chuchawank, A Prasansukl, T Tencomnao
Nutrients, 2022-09-05;14(17):.
Species: Human
Sample Types: Cell Lysates
Applications: Western Blot -
Role and Involvement of TENM4 and miR-708 in Breast Cancer Development and Therapy
Authors: G Peppino, F Riccardo, M Arigoni, E Bolli, G Barutello, F Cavallo, E Quaglino
Cells, 2022-01-05;11(1):.
Species: Human
Sample Types: Cell Lysates
Applications: Western Blot -
Synapse type-specific proteomic dissection identifies IgSF8 as a hippocampal CA3 microcircuit organizer
Authors: N Apóstolo, SN Smukowski, J Vanderlind, G Condomitti, V Rybakin, J Ten Bos, L Trobiani, S Portegies, KM Vennekens, NV Gounko, D Comoletti, KD Wierda, JN Savas, J de Wit
Nat Commun, 2020-10-14;11(1):5171.
Species: Mouse
Sample Types: Cell Lysates
Applications: Western Blot -
Identification of TENM4 as a Novel Cancer Stem Cell-Associated Molecule and Potential Target in Triple Negative Breast Cancer
Authors: Roberto Ruiu, Giuseppina Barutello, Maddalena Arigoni, Federica Riccardo, Laura Conti, Giulia Peppino et al.
Cancers (Basel)
FAQs
No product specific FAQs exist for this product, however you may
View all Antibody FAQsReviews for Human/Mouse/Rat Teneurin-4 Antibody
There are currently no reviews for this product. Be the first to review Human/Mouse/Rat Teneurin-4 Antibody and earn rewards!
Have you used Human/Mouse/Rat Teneurin-4 Antibody?
Submit a review and receive an Amazon gift card.
$25/€18/£15/$25CAN/¥75 Yuan/¥2500 Yen for a review with an image
$10/€7/£6/$10 CAD/¥70 Yuan/¥1110 Yen for a review without an image
