Human VASA Antibody Summary
Met1-Tyr145
Accession # Q9NQI0
Applications
Please Note: Optimal dilutions should be determined by each laboratory for each application. General Protocols are available in the Technical Information section on our website.
Scientific Data
View Larger
Detection of Human VASA by Western Blot. Western blot shows lysates of human testis tissue. PVDF membrane was probed with 1 µg/mL of Goat Anti-Human VASA Antigen Affinity-purified Polyclonal Antibody (Catalog # AF2030) followed by HRP-conjugated Anti-Goat IgG Secondary Antibody (Catalog # HAF019). A specific band was detected for VASA at approximately 85 kDa (as indicated). This experiment was conducted under reducing conditions and using Immunoblot Buffer Group 1.
View Larger
VASA in Human Testis. VASA was detected in paraffin-embedded sections of human testis using Goat Anti-Human VASA Antigen Affinity-purified Polyclonal Antibody (Catalog # AF2030) at 10 µg/mL overnight at 4 °C. Before incubation with the primary antibody tissue was subjected to heat-induced epitope retrieval using Antigen Retrieval Reagent-Basic (Catalog # CTS013). Tissue was stained using the Anti-Goat HRP-DAB Cell & Tissue Staining Kit (brown; Catalog # CTS008) and counterstained with hematoxylin (blue). View our protocol for Chromogenic IHC Staining of Paraffin-embedded Tissue Sections.
View Larger
Detection of Mouse VASA by Immunohistochemistry Immuno-staining on control and PMSG treated ovarian sections.A-C: Immunostaining with anti-PCNA antibody. Note minimal PCNA staining in control OSE. Increased staining is observed after PMSG treatment in both the OSE cells and the oocytes of PF (B-&C). Inset B’ is magnified image of the PF located in the OSE. At places, granulosa cells were also positive for PCNA (arrowhead). D-F: Immunostaining with anti-OCT-4 antibody in control (D) and 7D PMSG treated (E&F) ovarian sections. OCT-4 is localized in the ooplasm in control, while in 7D PMSD treated, positive staining was observed in ooplasm as well as in the nucleus of few oocytes (arrowhead) in PFs. G: Immunostaining with anti-human VASA antibody that cross-reacts with mouse MVH. MVH is distinctly localized in the ooplasm of PF and at places was also observed in a ‘germ cell nest’ (G’, arrow). At places some oocytes of primordial follicles in cohorts appeared connected without intervening granulosa cell (arrowhead) H-J: SCP-3 is localized in PF oocytes present in close vicinity of multilayer OSE. Bar: 20μm. Image collected and cropped by CiteAb from the following publication (https://ovarianresearch.biomedcentral.com/articles/10.1186/1757-2215-5-32), licensed under a CC-BY license. Not internally tested by R&D Systems.
Reconstitution Calculator
Preparation and Storage
- 12 months from date of receipt, -20 to -70 °C as supplied.
- 1 month, 2 to 8 °C under sterile conditions after reconstitution.
- 6 months, -20 to -70 °C under sterile conditions after reconstitution.
Background: VASA
The VASA gene, originally identified in Drosophila, encodes a member of the DEAD box family of ATP-dependent RNA helicases. The expression of VASA in invertebrate and vertebrate species is restricted to germ cells and is required for germ cell formation. VASA is therefore a highly specific marker of germ cells (1-3).
- Zeeman, A.M. et al. (2002) Lab Invest. 82:159.
- Raz, E. (2000) Genome Biol. 1:REVIEWS1017.
- Castrillon, D. et al. (2001) Proc. Natl. Acad. Sci. USA 97:9585.
Product Datasheets
Citations for Human VASA Antibody
R&D Systems personnel manually curate a database that contains references using R&D Systems products. The data collected includes not only links to publications in PubMed, but also provides information about sample types, species, and experimental conditions.
58
Citations: Showing 1 - 10
Filter your results:
Filter by:
-
Restoration of functional sperm production in irradiated pubertal rhesus monkeys by spermatogonial stem cell transplantation
Authors: Shetty G, Mitchell JM, Meyer JM et al.
Andrology
-
MEIOC prevents continued mitotic cycling and promotes meiotic entry during mouse oogenesis
Authors: Ushuhuda, EG;Nguyen, JT;Pfaltzgraff, NG;Kofron, M;Mikedis, MM;
bioRxiv : the preprint server for biology
Species: Transgenic Mouse
Sample Types: Whole Tissue
Applications: Immunohistochemistry -
Ovotesticular cords and ovotesticular follicles: New histologic markers for human ovotesticular syndrome
Authors: Baskin, LS;Cao, M;Li, Y;Baker, L;Cooper, CS;Cunha, GR;
Journal of pediatric urology
Species: Human
Sample Types: Whole Tissue
Applications: Immunohistochemistry -
Testis exposure to unopposed/elevated activin A in utero affects somatic and germ cells and alters steroid levels mimicking phthalate exposure
Authors: Penny A. F. Whiley, Michael C. M. Luu, Liza O'Donnell, David J. Handelsman, Kate L. Loveland
Front Endocrinol (Lausanne)
-
Molecular phenotyping of domestic cat (Felis catus) testicular cells across postnatal development – A model for wild felids
Authors: M. Bashawat, B.C. Braun, K. Müller, B.P. Hermann
Theriogenology Wild
-
Transcriptional metabolic reprogramming implements meiotic fate decision in mouse testicular germ cells
Authors: Zhang, X;Liu, Y;Sosa, F;Gunewardena, S;Crawford, PA;Zielen, AC;Orwig, KE;Wang, N;
Cell reports
Species: Mouse
Sample Types: Protein, Whole Cells, Whole Tissue
Applications: ICC/IF, Western Blot, IHC -
Efficient and scalable generation of primordial germ cells in 2D culture using basement membrane extract overlay
Authors: Arend W. Overeem, Yolanda W. Chang, Ioannis Moustakas, Celine M. Roelse, Sanne Hillenius, Talia Van Der Helm et al.
Cell Reports Methods
Species: Human
Sample Types: Whole Cells
Applications: Immunocytochemistry -
DNA repair protein FANCD2 has both ubiquitination-dependent and ubiquitination-independent functions during germ cell development
Authors: Zhao S, Huang C, Yang Y et al.
Journal of Biological Chemistry
-
Efficient generation of marmoset primordial germ cell-like cells using induced pluripotent stem cells
Authors: Yasunari Seita, Keren Cheng, John R McCarrey, Nomesh Yadu, Ian H Cheeseman, Alec Bagwell et al.
eLife
-
YTHDC2 serves a distinct late role in spermatocytes during germ cell differentiation
Authors: AS Bailey, MT Fuller
bioRxiv : the preprint server for biology, 2023-01-23;0(0):.
Species: Mouse
Sample Types: Whole Tissue
Applications: IHC -
SMG6 localizes to the chromatoid body and shapes the male germ cell transcriptome to drive spermatogenesis
Authors: T Lehtiniemi, M Bourgery, L Ma, A Ahmedani, M Mäkelä, J Asteljoki, O Olotu, S Laasanen, FP Zhang, K Tan, JN Chousal, D Burow, S Koskinen, A Laiho, LL Elo, F Chalmel, MF Wilkinson, N Kotaja
Nucleic Acids Research, 2022-11-11;0(0):.
Species: Human
Sample Types: Whole Tissue
Applications: IHC -
HGF Secreted by Mesenchymal Stromal Cells Promotes Primordial Follicle Activation by Increasing the Activity of the PI3K-AKT Signaling Pathway
Authors: Xin Mi, Wenlin Jiao, Yajuan Yang, Yingying Qin, Zi-Jiang Chen, Shidou Zhao
Stem Cell Reviews and Reports
-
The Impact of Activin A on Fetal Gonocytes: Chronic Versus Acute Exposure Outcomes
Authors: Sarah C. Moody, Penny A. F. Whiley, Patrick S. Western, Kate L. Loveland
Front Endocrinol (Lausanne)
-
Loss of NEDD4 causes complete XY gonadal sex reversal in mice
Authors: SP Windley, C Mayère, AE McGovern, NL Harvey, S Nef, Q Schwarz, S Kumar, D Wilhelm
Cell Death & Disease, 2022-01-24;13(1):75.
Species: Mouse
Sample Types: Whole Tissue
Applications: IHC -
GATA transcription factors, SOX17 and TFAP2C, drive the human germ-cell specification program
Authors: Yoji Kojima, Chika Yamashiro, Yusuke Murase, Yukihiro Yabuta, Ikuhiro Okamoto, Chizuru Iwatani et al.
Life Science Alliance
-
Single-cell analysis of the developing human testis reveals somatic niche cell specification and fetal germline stem cell establishment
Authors: J Guo, E Sosa, T Chitiashvi, X Nie, EJ Rojas, E Oliver, DonorConne, K Plath, JM Hotaling, JB Stukenborg, AT Clark, BR Cairns
Cell Stem Cell, 2021-01-15;0(0):.
Species: Human
Sample Types: Whole Tissue
Applications: IHC -
The gene encoding the ketogenic enzyme HMGCS2 displays a unique expression during gonad development in mice
Authors: S Bagheri-Fa, H Chen, S Wilson, K Ayers, J Hughes, F Sloan-Bena, P Calvel, G Robevska, B Puisac, K Kusz-Zamel, S Gimelli, A Spik, J Jaruzelska, A Warenik-Sz, S Faradz, S Nef, J Pié, P Thomas, A Sinclair, D Wilhelm
PLoS ONE, 2020-01-07;15(1):e0227411.
Species: Mouse
Sample Types: Tissue
Applications: IF -
High-resolution analysis of germ cells from men with sex chromosomal aneuploidies reveals normal transcriptome but impaired imprinting
Authors: Sandra Laurentino, Laura Heckmann, Sara Di Persio, Xiaolin Li, Gerd Meyer zu Hörste, Joachim Wistuba et al.
Clinical Epigenetics
-
Xeno-Free Propagation of Spermatogonial Stem Cells from Infant Boys
Authors: Lihua Dong, Murat Gul, Simone Hildorf, Susanne Elisabeth Pors, Stine Gry Kristensen, Eva R. Hoffmann et al.
International Journal of Molecular Sciences
-
Propagation of Spermatogonial Stem Cell-Like Cells From Infant Boys
Authors: Lihua Dong, Stine Gry Kristensen, Simone Hildorf, Murat Gul, Erik Clasen-Linde, Jens Fedder et al.
Frontiers in Physiology
-
Effect of hormone modulations on donor‐derived spermatogenesis or colonization after syngeneic and xenotransplantation in mice
Authors: GUNAPALA Shetty, ZHUANG Wu, TRUONG NGUYEN ANH LAM, THIEN TRONG Phan, KYLE E Orwig, MARVIN L Meistrich
Andrology
-
Amplification of a broad transcriptional program by a common factor triggers the meiotic cell cycle in mice
Authors: Mina L Kojima, Dirk G de Rooij, David C Page
eLife
-
The mTORC1 component RPTOR is required for maintenance of the foundational spermatogonial stem cell pool in mice†
Authors: Nicholas Serra, Ellen K Velte, Bryan A Niedenberger, Oleksander Kirsanov, Christopher B Geyer
Biology of Reproduction
Species: Mouse
Sample Types: Whole Tissue
Applications: Immunohistochemistry -
The Mammalian Spermatogenesis Single-Cell Transcriptome, from Spermatogonial Stem Cells to Spermatids
Authors: BP Hermann, K Cheng, A Singh, L Roa-De La, KN Mutoji, IC Chen, H Gilderslee, JD Lehle, M Mayo, B Westernstr, NC Law, MJ Oatley, EK Velte, BA Niedenberg, D Fritze, S Silber, CB Geyer, JM Oatley, JR McCarrey
Cell Rep, 2018-11-06;25(6):1650-1667.e8.
Species: Human
Sample Types: Whole Tissue
Applications: IHC-Fr -
Reduced PRC2 function alters male germline epigenetic programming and paternal inheritance
Authors: JM Stringer, SC Forster, Z Qu, L Prokopuk, MK O'Bryan, DK Gardner, SJ White, D Adelson, PS Western
BMC Biol., 2018-09-20;16(1):104.
Species: Mouse
Sample Types: Whole Cells
Applications: Flow Cytometry -
Quantitative proteomic profiling of the human ovary from early to mid-gestation reveals protein expression dynamics of oogenesis and folliculogenesis
Authors: A Bothun, Y Gao, Y Takai, O Ishihara, H Seki, B Karger, J Tilly, DC Woods
Stem Cells Dev., 2018-05-29;0(0):.
Species: Human
Sample Types: Whole Cells
Applications: ICC -
Parental haplotype-specific single-cell transcriptomics reveal incomplete epigenetic reprogramming in human female germ cells
Authors: Á Vértesy, W Arindrarto, MS Roost, B Reinius, V Torrens-Ju, M Bialecka, I Moustakas, Y Ariyurek, E Kuijk, H Mei, R Sandberg, A van Oudena, SM Chuva de S
Nat Commun, 2018-05-14;9(1):1873.
Species: Human
Sample Types: Whole Tissue
Applications: IHC -
PRDM14 is expressed in germ cell tumors with constitutive overexpression altering human germline differentiation and proliferation
Authors: JJ Gell, J Zhao, D Chen, TJ Hunt, AT Clark
Stem Cell Res, 2018-01-04;27(0):46-56.
Species: Human
Sample Types: Whole Tissue
Applications: IHC-P -
The conserved RNA helicase YTHDC2 regulates the transition from proliferation to differentiation in the germline
Authors: Alexis S Bailey, Pedro J Batista, Rebecca S Gold, Y Grace Chen, Dirk G de Rooij, Howard Y Chang et al.
eLife
-
Genetic studies in mice directly link oocytes produced during adulthood to ovarian function and natural fertility
Authors: N Wang, C Satirapod, Y Ohguchi, ES Park, DC Woods, JL Tilly
Sci Rep, 2017-08-30;7(1):10011.
Species: Mouse
Sample Types: Whole Tissue
Applications: IHC -
Primate Primordial Germ Cells Acquire Transplantation Potential by Carnegie Stage 23
Authors: AT Clark, S Gkountela, D Chen, W Liu, E Sosa, M Sukhwani, JD Hennebold, KE Orwig
Stem Cell Reports, 2017-06-01;0(0):.
Species: Primate - Macaca mulatta (Rhesus Macaque)
Sample Types: Whole Cells, Whole Tissue
Applications: ICC, IHC -
Characterisation of the Epigenetic Changes During Human Gonadal Primordial Germ Cells Reprogramming
Authors: C Eguizabal
Stem Cells, 2016-06-30;0(0):.
Species: Human
Sample Types: Whole Tissue
Applications: IHC-P -
Long-Term Oocyte-Like Cell Development in Cultures Derived from Neonatal Marmoset Monkey Ovary
Authors: Bentolhoda Fereydouni, Gabriela Salinas-Riester, Michael Heistermann, Ralf Dressel, Lucia Lewerich, Charis Drummer et al.
Stem Cells International
Species: Monkey
Sample Types: Tissue Homogenates, Whole Cells, Whole Tissue
Applications: Immunohistochemistry, Western Blot, Immunocytochemistry -
Mammalian target of rapamycin complex 1 (mTORC1) Is required for mouse spermatogonial differentiation in vivo
Authors: Jonathan T. Busada, Bryan A. Niedenberger, Ellen K. Velte, Brett D. Keiper, Christopher B. Geyer
Developmental Biology
-
Marker expression reveals heterogeneity of spermatogonia in the neonatal mouse testis
Authors: Bryan A. Niedenberger, Jonathan T. Busada, Christopher B. Geyer
REPRODUCTION
-
The Sm protein methyltransferase PRMT5 is not required for primordial germ cell specification in mice
Authors: Ziwei Li, Juehua Yu, Linzi Hosohama, Kevin Nee, Sofia Gkountela, Sonal Chaudhari et al.
The EMBO Journal
-
Licensing of primordial germ cells for gametogenesis depends on genital ridge signaling.
Authors: Hu, Yueh-Chi, Nicholls, Peter K, Soh, Y Q Shir, Daniele, Joseph R, Junker, Jan Phil, van Oudenaarden, Alexande, Page, David C
PLoS Genet, 2015-03-04;11(3):e1005019.
Species: Mouse
Sample Types: Whole Tissue
Applications: IHC-P -
Development of the follicular basement membrane during human gametogenesis and early folliculogenesis.
Authors: Heeren A, van Iperen L, Klootwijk D, de Melo Bernardo A, Roost M, Gomes Fernandes M, Louwe L, Hilders C, Helmerhorst F, van der Westerlaken L, Chuva de Sousa Lopes S
BMC Dev Biol, 2015-01-21;15(0):4.
Species: Human
Sample Types: Whole Tissue
Applications: IHC-P -
MORC1 represses transposable elements in the mouse male germline
Authors: William A. Pastor, Hume Stroud, Kevin Nee, Wanlu Liu, Dubravka Pezic, Sergei Manakov et al.
Nature Communications
-
Characterization of human spermatogonial stem cell markers in fetal, pediatric, and adult testicular tissues
Authors: Eran Altman, Pamela Yango, Radwa Moustafa, James F. Smith, Peter C. Klatsky, Nam D. Tran
REPRODUCTION
-
Human germ cell formation in xenotransplants of induced pluripotent stem cells carrying X chromosome aneuploidies.
Authors: Dominguez, Antonia, Chiang, H Rosari, Sukhwani, Meena, Orwig, Kyle E, Reijo Pera, Renee A
Sci Rep, 2014-09-22;4(0):6432.
Species: Mouse
Sample Types: Whole Tissue
Applications: IHC-P -
The neonatal marmoset monkey ovary is very primitive exhibiting many oogonia
Authors: B Fereydouni, C Drummer, N Aeckerle, S Schlatt, R Behr
REPRODUCTION
Species: Monkey
Sample Types: Whole Tissue
Applications: Immunohistochemistry -
Three-step method for proliferation and differentiation of human embryonic stem cell (hESC)-derived male germ cells.
Authors: Lim J, Shim M, Lee J, Lee D
PLoS ONE, 2014-04-01;9(4):e90454.
Species: Human
Sample Types: Whole Cells
Applications: ICC -
Influence of activin A supplementation during human embryonic stem cell derivation on germ cell differentiation potential.
Authors: Duggal G, Heindryckx B, Warrier S, O'Leary T, Van der Jeught M, Lierman S, Vossaert L, Deroo T, Deforce D, Chuva de Sousa Lopes S, De Sutter P
Stem Cells Dev, 2013-08-14;22(23):3141-55.
Species: Human
Sample Types: Whole Cells
Applications: ICC -
Tumor suppressor gene Rb is required for self-renewal of spermatogonial stem cells in mice
Authors: Yueh-Chiang Hu, Dirk G. de Rooij, David C. Page
Proceedings of the National Academy of Sciences
-
Gonadotropin treatment augments postnatal oogenesis and primordial follicle assembly in adult mouse ovaries?
Authors: Bhartiya, Deepa, Sriraman, Kalpana, Gunjal, Pranesh, Modak, Harshada
J Ovarian Res, 2012-11-07;5(1):32.
Species: Mouse
Sample Types: Whole Tissue
Applications: IHC -
Genetic markers of ovarian follicle number and menopause in women of multiple ethnicities
Authors: Sonya M. Schuh-Huerta, Nicholas A. Johnson, Mitchell P. Rosen, Barbara Sternfeld, Marcelle I. Cedars, Renee A. Reijo Pera
Human Genetics
-
The pluripotency factor LIN28 in monkey and human testes: a marker for spermatogonial stem cells?
Authors: N. Aeckerle, K. Eildermann, C. Drummer, J. Ehmcke, S. Schweyer, A. Lerchl et al.
MHR: Basic science of reproductive medicine
-
Direct Reprogramming of Fibroblasts into Embryonic Sertoli-like Cells by Defined Factors
Authors: Yosef Buganim, Elena Itskovich, Yueh-Chiang Hu, Albert W. Cheng, Kibibi Ganz, Sovan Sarkar et al.
Cell Stem Cell
Species: Mouse
Sample Types: Whole Tissue
Applications: Immunohistochemistry -
Complete meiosis from human induced pluripotent stem cells.
Authors: Eguizabal C, Montserrat N, Vassena R, Barragan M, Garreta E, Garcia-Quevedo L, Vidal F, Giorgetti A, Veiga A, Belmonte JC
Stem Cells, 2011-08-01;29(8):1186-95.
Species: Human
Sample Types: Whole Cells
Applications: ICC -
Sertoli cell-conditioned medium induces germ cell differentiation in human embryonic stem cells.
Authors: Geens M, Sermon KD
J. Assist. Reprod. Genet., 2011-02-12;0(0):.
Species: Human
Sample Types: Whole Cells, Whole Tissue
Applications: ICC, IHC-P -
Human haploid cells differentiated from meiotic competent clonal germ cell lines that originated from embryonic stem cells.
Authors: West FD, Mumaw JL, Gallegos-Cardenas A, Young A, Stice SL
Stem Cells Dev., 2010-12-02;20(6):1079-88.
Species: Human
Sample Types: Whole Cells
Applications: Flow Cytometry, ICC -
A Novel Approach for the Derivation of Putative Primordial Germ Cells and Sertoli Cells from Human Embryonic Stem Cells.
Authors: Bucay N, Yebra M, Cirulli V, Afrikanova I, Kaido T, Hayek A, Montgomery AM
Stem Cells, 2009-01-01;0(0):.
Species: Human
Sample Types: Whole Cells
Applications: Flow Cytometry, ICC -
Generation of pluripotent stem cells from adult human testis.
Authors: Conrad S, Renninger M, Hennenlotter J, Wiesner T, Just L, Bonin M, Aicher W, Buhring HJ, Mattheus U, Mack A, Wagner HJ, Minger S, Matzkies M, Reppel M, Hescheler J, Sievert KD, Stenzl A, Skutella T
Nature, 2008-10-08;456(7220):344-9.
Species: Human
Sample Types: Whole Cells
Applications: ICC -
Isolation of primordial germ cells from differentiating human embryonic stem cells.
Authors: Tilgner K, Atkinson SP, Golebiewska A, Stojkovic M, Lako M, Armstrong L
Stem Cells, 2008-09-18;26(12):3075-85.
Species: Human
Sample Types: Whole Cells
Applications: ICC -
Enrichment and differentiation of human germ-like cells mediated by feeder cells and basic fibroblast growth factor signaling.
Authors: West FD, Machacek DW, Boyd NL, Pandiyan K, Robbins KR, Stice SL
Stem Cells, 2008-08-21;26(11):2768-76.
Species: Human
Sample Types: Whole Cells
Applications: Flow Cytometry, ICC -
Oocyte formation by mitotically active germ cells purified from ovaries of reproductive-age women.
Authors: White YA, Woods DC, Takai Y, Ishihara O, Seki H, Tilly JL.
Nat Med;18(3):413-21.
-
On the development of extragonadal and gonadal human germ cells.
Authors: Heeren AM, He N, de Souza AF et al.
Biol Open.
FAQs
No product specific FAQs exist for this product, however you may
View all Antibody FAQsReviews for Human VASA Antibody
Average Rating: 5 (Based on 5 Reviews)
Have you used Human VASA Antibody?
Submit a review and receive an Amazon gift card.
$25/€18/£15/$25CAN/¥75 Yuan/¥2500 Yen for a review with an image
$10/€7/£6/$10 CAD/¥70 Yuan/¥1110 Yen for a review without an image
Filter by:
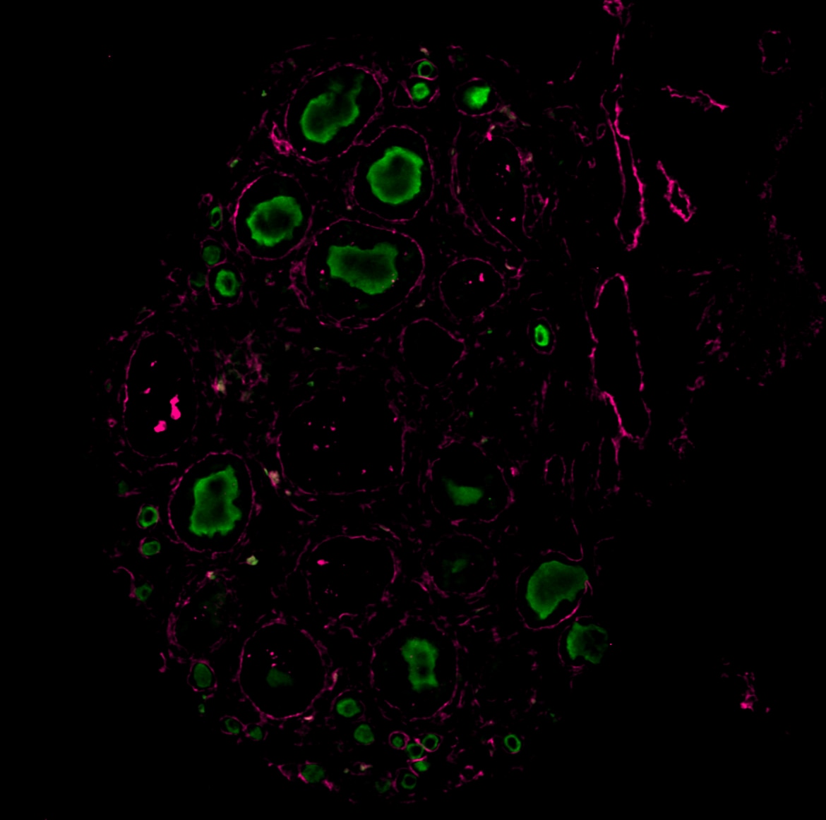
Worked on mouse P14 ovary magenta (laminin), green (vasa), working concentration 1:100, IHC-P
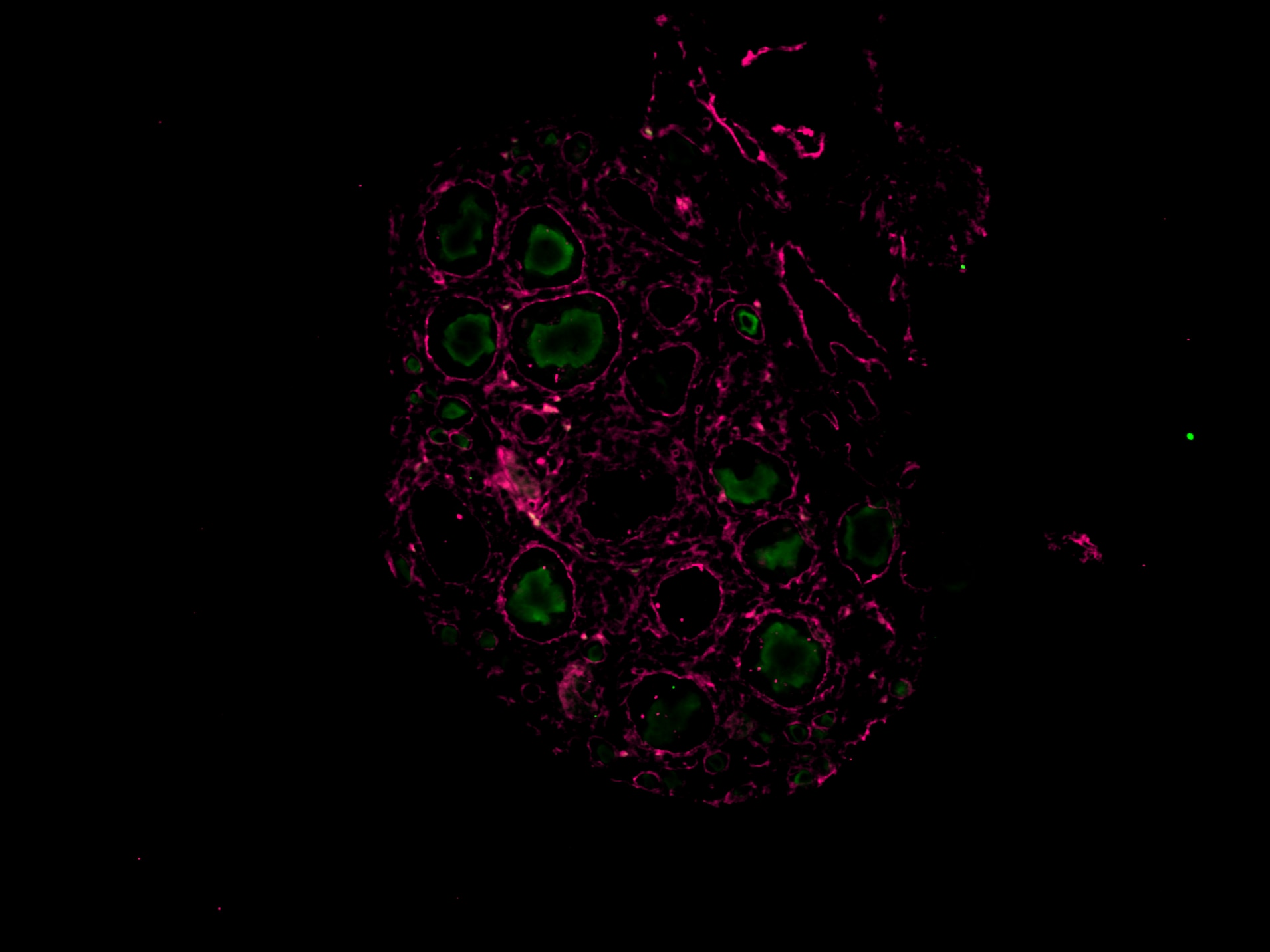
The antibody was tested on a paraffin-embedded section of a mouse P14 ovary, with successful staining observed at a dilution of 1:200.
Green (VASA)
Magenta (Laminin)
Whole mount of Mouse Ovary (E16.5). Dilution: 1:300.
DDX4/VASA germ cell marker. IF1:500
Postnatal day 6 mouse testes were fixed in 4% paraformaldehyde. Tissue was embedded in O.C.T. and 5 micron sections cut. Sections were permeabilized with PBS containing 0.1% Triton X-100, then blocked for 30 min in 3% BSA in PBS containing 0.1% Triton X-100. Goat Anti-Human VASA Antigen Affinity-purified Polyclonal Antibody (AF2030) was diluted in blocking buffer to 1.25 µg/ml and applied to sections for 1 hour at RT. Sections were washed 3X with PBS containing 0.1% Triton X-100, then incubated with secondary antibody: Donkey anti-Goat IgG (H+L) Secondary Antibody, Alexa Fluor® 555 conjugate (Thermo Fisher A-21432) diluted to 1:500 for 1 hour at RT. Sections were washed 3X with PBS containing 0.1% Triton X-100 and mounted.
