MimEX GI Human Descending Colon Stem Cells
MimEX GI Human Descending Colon Stem Cells Summary
Kit Summary
Adult Human Descending Colon Stem Cells for use with MimEX™ GI Reagents.
Key Benefits
- Rapidly expand in MimEX™ GI Expansion Media
- Genomically stable over multiple passages
- Differentiate into multi-cellular 3-D descending colon in vitro
- Generates 3-D tissue with an accessible epithelial surface
- Provides a sustainable source of in vitro 3-D colon tissue
- Applicable for drug discovery, disease modeling, and toxicology research
The Benefits of MimEX™ GI Differentiation Media for Generating 3-D Gastrointestinal Tissue In Vitro
Three-dimensional (3-D) cell culture models of the gastrointestinal epithelium are quickly being adopted for toxicology, drug discovery, and disease modeling. These more complex models provide a tremendous benefit over cell-line and primary cell-based methods, including the mimicking of native intestinal cytoarchitecture and importantly, the recapitulation of physiological attributes of the tissue.
The MimEX™ GI Tissue Model System allows for the expansion and differentiation of ground-state, adult stem cell populations from the gastrointestinal tract. These cells create sustainable and accessible 3-dimensional gastrointestinal tissues in vitro and provide a valuable tool for biomarker discovery, disease modeling, drug screening*, and developmental biology studies.
MimEX™ GI Human Descending Colon Stem Cells can be expanded in culture using the MimEX™ GI Tissue Model System. These cells have been tested for their ability to expand and differentiate in vitro using MimEX™ GI Tissue Model System reagents. The resulting in vitro 3-D tissue contains all cells of the intestinal epithelium including, goblet cells, enterocytes, enteroendocrine cells, and paneth cells. MimEX™ GI Human Descending Colon Stem Cells are cryopreserved at passage 8 (P8). These cells can be expanded clonally and reliably passaged when cultured in MimEX™ GI Expansion Media with MimEX™ Irradiated Fibroblasts.
This kit contains the following reagents:
- 1 vial of Human Descending Colon Stem Cells (1 × 105 cells)
Precaution
When handling biohazardous materials such as human cells, safe laboratory procedures should be followed and protective clothing should be worn.
Limitations
- FOR LABORATORY RESEARCH USE ONLY. NOT FOR USE IN DIAGNOSTIC PROCEDURES.
- The safety and efficacy of this product in diagnostic or other clinical uses has not been established.
- Results may vary due to variations among adult stem cell lines originating from different donors.
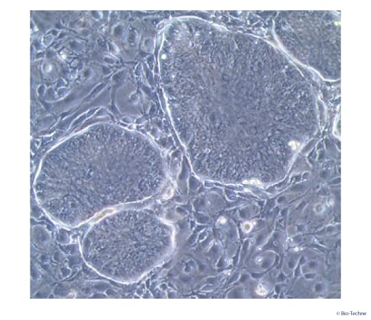
![]() View Larger Image |
Intestinal Stem Cell Colony Morphology During Expansion. MimEX™ Descending Colon Stem Cells were cultured on fibroblast-coated plates in MimEX™ GI Expansion Media (R&D Systems®; Catalog # CCM003). Colony morphology was assessed using brightfield microscopy at 7 days of culture. Based on the size and distribution of the colonies, this culture is ready for passaging. |
![]() View Larger Image |
Human Descending Colon Adult Stem Cells Differentiate into Descending Colon Tissue. MimEX™ Human Descending Colon Stem Cells were cultured and differentiated in MimEX™ GI Media under air-liquid interface conditions. To evaluate differentiation, descending colon tissue was immersion-fixed, paraffin-embedded, and sections stained with Mouse Anti-Tubulin (ac Lys40) Monoclonal Antibody (green; Novus Biologicals®; Catalog # NB600-567) and Goat Anti-Human GATA-6 Antigen Affinity-purified Polyclonal Antibody (red; R&D Systems®; Catalog # AF1700). Tissue was then stained using Alexa 488 and Donkey Anti-Goat IgG NorthernLights™ (NL)557-conjugated Antibody (R&D Systems®; Catalog # NL001), respectively. Tubulin staining shows the cellular composition of the tissue, highlighting the columnar cytoarchitecture. GATA-6 is expressed in cells of the descending colon. |
![]() View Larger Image |
Human Descending Colon Adult Stem Cells Differentiate into Descending Colon Tissue. MimEX™ Human Descending Colon Stem Cells were cultured and differentiated in MimEX™ GI Media under air-liquid interface conditions. To evaluate differentiation, descending colon tissue was immersion-fixed, paraffin-embedded, and sections stained with Mouse Anti-Human/Mouse/Rat Intelectin-1/2 Monoclonal Antibody (green; Novus Biologicals®; Catalog # MAB42542) and Goat Anti-Human A33 Antigen Affinity-purified Polyclonal Antibody (red; R&D Systems®; Catalog # AF3030). Tissue was then stained using Alexa 488 and Donkey Anti-Goat IgG NorthernLights™ (NL)557-conjugated Antibody (R&D Systems®; Catalog # NL001), respectively. The tissue was counterstained with DAPI (blue; Tocris®; Catalog # 5748). A33 staining was detected in cellular membranes throughout the epithelial layer while Intelectin-1/2 staining was localized specifically to goblet cells. |
* Portions of MimEX Tissue Model Systems are covered by a license to intellectual property owned by, or licensed to, Multiclonal Therapeutics, Inc. The purchase of this product conveys to the buyer the limited, non-exclusive, non-transferable right under these intellectual property rights to use this product for research purposes only. The purchase of this product does not include any right to use this product or components of this product for resale, for drug discovery intended for commercial gain, for the generation of cells or tissues intended for transplantation in human patients, or for any other commercial purposes, including without limitation, provision of services to a third party, generation of commercial databases, or as a diagnostic or therapeutic. Multiclonal Therapeutics, Inc., reserves all other rights under these rights. For information on purchasing a license to the intellectual property for uses other than in conjunction with this product or to use this product for purposes other than research, please contact Multiclonal Therapeutics, Inc. at licensing@multiclonaltherpaeutics.com.
All trademarks and registered trademarks are the property of their respective owners.
Specifications
Product Datasheets
Assay Procedure
Refer to the product datasheet for complete product details.
Briefly, MimEX™ GI Human Descending Colon Stem Cells can be used to generate 3-D gastrointestinal tissue using the following procedure:
- Thaw MimEX™ GI Human Descending Colon Stem Cells
- Expand stem cells using MimEX™ GI Expansion Media and MimEX™ Irradiated Fibroblasts
- Differentiate stem cells in an transwell insert in combination with MimEX™ GI Differentiation Media
Reagents provided with MimEX™ GI Human Descending Colon Stem Cells (Catalog # MIM006):
- 1 vial of Human Descending Colon Stem Cells (1 × 105 cells)
Reagents
- MimEX™ Irradiated Fibroblast Kit (R&D Systems®; Catalog # MIM005)
- MimEX™ GI Expansion Media (R&D Systems®; Catalog # MIM003)
- MimEX™ GI Differentiation Media (R&D Systems®; Catalog # MIM004)
- DMEM/F12
- Penicillin-Streptomycin (100X), optional
- 0.05% Trypsin/EDTA
- Sterile Phosphate-Buffered Saline (PBS) (Tocris®; Catalog # 3156)
Materials
- 6-well tissue culture treated plates
- 15 and 50 mL centrifuge tubes
- Serological pipettes
- Pipette and pipette tips
Equipment
- 37 °C and 7.5% CO2 incubator
- Centrifuge (low speed clinical or equivalent)
- Hemocytometer
- Inverted Microscope
- Water bath
The protocols below describe the expansion and differentiation of MimEX™ Human Descending Colon Stem Cells in MimEX™ GI Expansion Media.
Note: The detailed protocol must be read in its entirety before using this product.
Protocol for Expansion of MimEX™ GI Human Descending Colon Stem Cell
Protocol for Differentiation of MimEX™ GI Human Descending Colon Stem Cells
Protocol for Expansion of MimEX™ GI Human Descending Colon Stem Cells
Prepare a 6-well plate with MimEX™ Irradiated Fibroblasts 1–3 days before culturing adult GI stem cells. Follow protocol for Plating MimEX™ Irradiated Fibroblasts.

Warm MimEX™ GI Expansion Media to 37 °C in a water bath.

Warm frozen vial of MimEX™ GI Human Descending Colon Stem Cells until just thawed.

Transfer the cells to a 15 mL centrifuge tube containing at least 5 mL of prewarmed MimEX™ GI Expansion Media.
Centrifuge at 200 × g for 5 minutes.

Resuspend the pellet in 4 mL of MimEX™ GI Expansion Media.

Remove media from irradiated fibroblast-coated plates.
Add 2 mL of the Descending Colon Stem Cell suspension to each well.

Differentiation of MimEX™ GI Human Descending Colon Stem Cells
Determine the number of wells needed for the experiment.
Prepare an appropriate number of transwell inserts in a 24-well plate with MimEX™ Irradiated Fibroblasts 1–3 days before adding adult GI stem cells for differentiation. Follow protocol for Plating MimEX™ Irradiated Fibroblasts.

Warm PBS to 37 °C in a water bath.
Warm MimEX™ GI Expansion Media to 37 °C in a water bath.

Rinse expanded MimEX™ GI Human Descending Colon Stem Cells with prewarmed PBS to dislodge mucus produced from the stem cells.
Incubate expanded MimEX™ GI Human Descending Colon Stem Cells in 1 mL of 0.05% Trypsin/EDTA.
Pipette the cell suspension up and down to ensure full dissociation of cells. Avoid bubbles.

Add 1 mL of MimEX™ GI Expansion Media to inhibit the trypsin, triturate gently.
Transfer to a 15 mL centrifuge tube.
Centrifuge at 200 × g for 5 minutes.

Resuspend the cell pellet in 80 µL of DMEM/F12 media.
Perform a viable cell count using a hemocytometer.

Re-suspend the cells in MimEX™ GI Expansion Media at a concentration of 1.8 × 106 cells/mL.

Remove media from the upper and lower chambers of the 24-well plate.
Add 700 µL of MimEX™ GI Expansion Media to the lower chamber.
Add 250 µL of the Adult Stem Cell suspension to the transwell insert.

Distribute cells in the well using the MimEX™ Cell Plating Procedure. (Critical Step)
Incubate the plate in a 37 °C/7.5% CO2 incubator. (Critical Step) without disturbing the plate.
Replace MimEX™ GI Expansion Media in the transwell insert and the bottom well daily.
After approximately 4-5 days
Warm MimEX™ GI Differentiation Media to 37 °C in a water bath.

Remove all media from the transwell insert.
Replace the media in the bottom of the well with 700 µL of MimEX™ GI Differentiation Media.
Exchange media in the bottom well daily with 700 µL of fresh MimEX™ Differentiation Media. Descending Colon tissue should be fully differentiated in 9-12 days after initially plating MimEX™ GI Human Descending Colon Stem Cells

FAQs
No product specific FAQs exist for this product, however you may
View all Cell Culture Product FAQsReviews for MimEX GI Human Descending Colon Stem Cells
There are currently no reviews for this product. Be the first to review MimEX GI Human Descending Colon Stem Cells and earn rewards!
Have you used MimEX GI Human Descending Colon Stem Cells?
Submit a review and receive an Amazon gift card.
$25/€18/£15/$25CAN/¥75 Yuan/¥2500 Yen for a review with an image
$10/€7/£6/$10 CAD/¥70 Yuan/¥1110 Yen for a review without an image






