Mouse Osteoprotegerin/TNFRSF11B Antibody Summary
Glu22-Leu401 with a Gln138Arg substitution
Accession # Q6PI12
Applications
Please Note: Optimal dilutions should be determined by each laboratory for each application. General Protocols are available in the Technical Information section on our website.
Scientific Data
View Larger
Osteoprotegerin/TNFRSF11B Inhibition of TRAIL/TNFSF10-induced Cytotoxicity and Neutralization by Mouse Osteoprotegerin/TNFRSF11B Antibody. In the presence of the metabolic inhibitor actinomycin D (1 µg/mL), Recombinant Mouse OPG/TNFRSF11B Fc Chimera (Catalog # 459-MO) inhibits Recombinant Human TRAIL/TNFSF10 (Catalog # 375-TL) induced cytotoxicity in the L-929 mouse fibroblast cell line in a dose-dependent manner (orange line), as measured by crystal violet staining. Under these conditions, inhibition of Recombinant Human TRAIL/TNFSF10 (20 ng/mL) activity elicited by Recombinant Mouse OPG/TNFRSF11B Fc Chimera (0.1 µg/mL) is neutralized (green line) by increasing concentrations of Mouse OPG/TNFRSF11B Antigen Affinity-purified Polyclonal Antibody (Catalog # AF459). The ND50 is typically 0.15-0.9 µg/mL.
View Larger
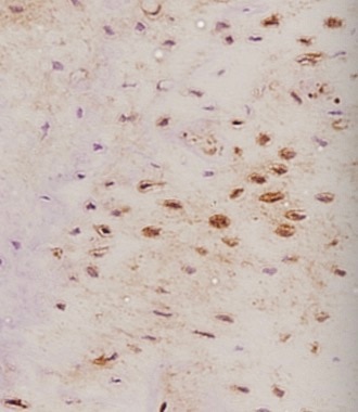
Osteoprotegerin/TNFRSF11B in Mouse Stomach. Osteoprotegerin/TNFRSF11B was detected in perfusion fixed frozen sections of mouse stomach using Goat Anti-Mouse Osteoprotegerin/TNFRSF11B Antigen Affinity-purified Polyclonal Antibody (Catalog # AF459) at 5 µg/mL overnight at 4 °C. Tissue was stained using the Anti-Goat HRP-DAB Cell & Tissue Staining Kit (brown; Catalog # CTS008) and counterstained with hematoxylin (blue). Specific staining was localized to glandular epithelial cells. View our protocol for Chromogenic IHC Staining of Frozen Tissue Sections.
View Larger
Detection of Mouse Osteoprotegerin/TNFRSF11B by Western Blot Cell-autonomous defect of Col1a1-Krm2 transgenic osteoblasts.(A) BrdU incorporation assays revealed a higher proliferation rate in primary calvarial osteoblast cultures from transgenic mice after 2 days of differentiation. (B) Von Kossa staining performed at 10 days of differentiation reveals reduced mineralization of osteoblasts from Col1a1-Krm2 mice (scale bars, 1 cm), despite higher protein content (given below). Values represent mean ± SD (n = 3). Asterisks indicate statistically significant differences. (C) Western Blot analysis of canonical Wnt signaling using primary osteoblasts from wildtype and transgenic mice following stimulation with Wnt3a for 30 minutes. (D) Western Blot analysis (left) and ELISA (right) showing decreased Opg levels in cellular extracts and conditioned medium of osteoblasts from Col1a1-Krm2 mice. (E) Quantitative RT-PCR (left) and ELISA (right) demonstrating that the reduced expression of Tnfrsf11b in bones of 6 weeks old Col1a1-Krm2 mice results in decreased Opg serum levels. All bars represent mean ± SD (n = 4). Asterisks indicate statistically significant differences. Image collected and cropped by CiteAb from the following open publication (https://pubmed.ncbi.nlm.nih.gov/20436912), licensed under a CC-BY license. Not internally tested by R&D Systems.
View Larger
Detection of Mouse Osteoprotegerin/TNFRSF11B by Western Blot Cell-autonomous defect of Col1a1-Krm2 transgenic osteoblasts.(A) BrdU incorporation assays revealed a higher proliferation rate in primary calvarial osteoblast cultures from transgenic mice after 2 days of differentiation. (B) Von Kossa staining performed at 10 days of differentiation reveals reduced mineralization of osteoblasts from Col1a1-Krm2 mice (scale bars, 1 cm), despite higher protein content (given below). Values represent mean ± SD (n = 3). Asterisks indicate statistically significant differences. (C) Western Blot analysis of canonical Wnt signaling using primary osteoblasts from wildtype and transgenic mice following stimulation with Wnt3a for 30 minutes. (D) Western Blot analysis (left) and ELISA (right) showing decreased Opg levels in cellular extracts and conditioned medium of osteoblasts from Col1a1-Krm2 mice. (E) Quantitative RT-PCR (left) and ELISA (right) demonstrating that the reduced expression of Tnfrsf11b in bones of 6 weeks old Col1a1-Krm2 mice results in decreased Opg serum levels. All bars represent mean ± SD (n = 4). Asterisks indicate statistically significant differences. Image collected and cropped by CiteAb from the following open publication (https://pubmed.ncbi.nlm.nih.gov/20436912), licensed under a CC-BY license. Not internally tested by R&D Systems.
Reconstitution Calculator
Preparation and Storage
- 12 months from date of receipt, -20 to -70 °C as supplied.
- 1 month, 2 to 8 °C under sterile conditions after reconstitution.
- 6 months, -20 to -70 °C under sterile conditions after reconstitution.
Background: Osteoprotegerin/TNFRSF11B
Osteoprotegerin (OPG)/Osteoclastogenesis Inhibitory Factor (OCIF) is member of the tumor necrosis factor receptor superfamily that lacks any apparent cell-association motifs and exists as a soluble secreted protein. In the new TNF superfamily nomenclature, OPG is referred to as TNFRSF11B. OPG was originally isolated by sequence homology as a TNF receptor family protein during a fetal rat intestine cDNA-sequencing project and subsequently shown to be involved in the regulation of bone density. OCIF was initially purified from the conditioned medium of human embryonic fibroblasts based on its ability to inhibit osteoclast development. Comparison of the amino-acid sequences of human OPG and OCIF proteins revealed their identity. The amino-terminal half of OPG contains four cysteine-rich repeats characteristic of TNF receptor family members. The carboxy-terminal of OPG/OCIF was found to contain two death domain homologous regions in tandem. Human and mouse OPG share approximately 84% and 94% amino acid sequence identity, respectively, with the rat OPG. Natural OPG/OCIF has been found to exist predominantly as disulfide-linked dimers. Two TNF superfamily ligands, including the membrane proteins OPG ligand/TRANCE (tumor necrosis factor-related activation-induced cytokine)/ODF (osteoclast differentiation factor)/RANKL (receptor activator of NF-kappaB ligand) and TRAIL (TNF-related apoptosis-inducing ligand)/APO-2 ligand, have been shown to be the cellular ligands for OPG/OCIF. Each of these ligands has been shown to interact with additional TNF receptor family members, including RANK (with TRANCE) and TRAIL receptors 1-4 (with TRAIL). The roles of these receptor-ligands in osteoclastogenesis, apoptosis and in the immune system remains to be elucidated.
- Lacey, D.L. et al. (1998) Cell 93:165.
- Emery, J.G. et al. (1998) J. Biol. Chem. 273:14363.
- Yasuda, H. et al. (1998) Proc. Natl. Acad. Sci. USA 95:3597.
Product Datasheets
Citations for Mouse Osteoprotegerin/TNFRSF11B Antibody
R&D Systems personnel manually curate a database that contains references using R&D Systems products. The data collected includes not only links to publications in PubMed, but also provides information about sample types, species, and experimental conditions.
20
Citations: Showing 1 - 10
Filter your results:
Filter by:
-
Osteocytic oxygen sensing controls bone mass through epigenetic regulation of sclerostin
Authors: S Stegen, I Stockmans, K Moermans, B Thienpont, PH Maxwell, P Carmeliet, G Carmeliet
Nat Commun, 2018-07-02;9(1):2557.
-
Breast cancer cells survive chemotherapy by activating targetable immune modulatory programs characterized by either PD-L1 or CD80
Authors: Ashkan Shahbandi, Fang-Yen Chiu, Nathan A. Ungerleider, Raegan Kvadas, Zeinab Mheidly, Meijuan J. S. Sun et al.
Nature Cancer
-
Angiotensin II Induces Aortic Rupture and Dissection in Osteoprotegerin‐Deficient Mice
Authors: Toshihiro Tsuruda, Atsushi Yamashita, Misa Otsu, Masanori Koide, Yuko Nakamichi, Yoko Sekita‐Hatakeyama et al.
Journal of the American Heart Association
-
The effect of strontium ranelate on titanium particle-induced periprosthetic osteolysis regulated by WNT/ beta -catenin signaling in vivo and in vitro
Authors: Bolun Wang, Haohui Guo, Tianxiang Geng, Kening Sun, Liang Zhang, Zhidong Lu et al.
Bioscience Reports
-
Antiresorptive activity of osteoprotegerin requires an intact heparan sulfate-binding site
Authors: M Li, D Xu
Proc. Natl. Acad. Sci. U.S.A., 2020-07-07;0(0):.
Species: Mouse
Sample Types: Whole Cells
Applications: Flow Cytometry -
Rapamycin rejuvenates oral health in aging mice
Authors: Jonathan Y An, Kristopher A Kerns, Andrew Ouellette, Laura Robinson, H Douglas Morris, Catherine Kaczorowski et al.
eLife
-
A therapeutic antibody targeting osteoprotegerin attenuates severe experimental pulmonary arterial hypertension
Authors: ND Arnold, JA Pickworth, LE West, S Dawson, JA Carvalho, H Casbolt, AT Braithwait, J Iremonger, L Renshall, V Germaschew, M McCourt, P Bland-Ward, H Kowash, AG Hameed, AMK Rothman, MG Frid, AA Roger Thom, HR Evans, M Southwood, NW Morrell, DC Crossman, MKB Whyte, KR Stenmark, CM Newman, DG Kiely, SE Francis, A Lawrie
Nat Commun, 2019-11-15;10(1):5183.
Species: Mouse
Sample Types: In Vivo
Applications: Neutralization -
Role of osteoprotegerin in the regulation of dental epithelial?mesenchymal signaling during tooth development
Authors: X Gao, J Zheng, S Tu, B Cai, R Zeng, L Xiang
Mol Med Rep, 2019-08-07;20(4):3035-3042.
Species: Mouse
Sample Types: Whole Tissue
Applications: IHC -
Dimerization Interface of Osteoprotegerin Revealed by Hydrogen-deuterium Exchange Mass Spectrometry
Authors: Y Xiao, M Li, R Larocque, F Zhang, A Malhotra, J Chen, RJ Linhardt, L Konermann, D Xu
J. Biol. Chem., 2018-09-25;0(0):.
Species: Mouse
Sample Types: Whole Cells
Applications: Flow Cytometry -
Osteoprotection Through the Deletion of the Transcription Factor Ror beta in Mice
Authors: Joshua N Farr, Megan M Weivoda, Kristy M Nicks, Daniel G Fraser, Brittany A Negley, Jennifer L Onken et al.
Journal of Bone and Mineral Research
-
Morc3 mutant mice exhibit reduced cortical area and thickness, accompanied by altered haematopoietic stem cells niche and bone cell differentiation
Sci Rep, 2016-05-18;6(0):25964.
Species: Mouse
Sample Types: Cell Lysates
Applications: Western Blot -
Porphyromonas gingivalis Stimulates Bone Resorption by Enhancing RANKL (Receptor Activator of NF-kappaB Ligand) through Activation of Toll-like Receptor 2 in Osteoblasts.
Authors: Kassem A, Henning P, Lundberg P, Souza P, Lindholm C, Lerner U
J Biol Chem, 2015-06-17;290(33):20147-58.
Species: Mouse
Sample Types: Whole Tissue
Applications: Neutralization -
Canonical Wnt signaling inhibits osteoclastogenesis independent of osteoprotegerin
Authors: Joachim Albers, Johannes Keller, Anke Baranowsky, Frank Timo Beil, Philip Catala-Lehnen, Jochen Schulze et al.
Journal of Cell Biology
-
Control of bone formation by the serpentine receptor Frizzled-9
Authors: Joachim Albers, Jochen Schulze, F. Timo Beil, Matthias Gebauer, Anke Baranowsky, Johannes Keller et al.
Journal of Cell Biology
-
Negative Regulation of Bone Formation by the Transmembrane Wnt Antagonist Kremen-2
Authors: Jochen Schulze, Sebastian Seitz, Hiroaki Saito, Michael Schneebauer, Robert P. Marshall, Anke Baranowsky et al.
PLoS ONE
-
TRAIL stimulates proliferation of vascular smooth muscle cells via activation of NF-kappaB and induction of insulin-like growth factor-1 receptor.
Authors: Kavurma MM, Schoppet M, Bobryshev YV, Khachigian LM, Bennett MR
J. Biol. Chem., 2008-01-03;283(12):7754-62.
Species: Human
Sample Types: Whole Cells
Applications: Neutralization -
JunB as a downstream mediator of PTHrP actions in cementoblasts.
Authors: Berry JE, Ealba EL, Pettway GJ, Datta NS, Swanson EC, Somerman MJ, McCauley LK
J. Bone Miner. Res., 2005-11-07;21(2):246-57.
Species: Mouse
Sample Types: Whole Cells
Applications: Neutralization -
Bacteria induce osteoclastogenesis via an osteoblast-independent pathway.
Authors: Jiang Y, Mehta CK, Hsu TY, Alsulaimani FF
Infect. Immun., 2002-06-01;70(6):3143-8.
Species: Mouse
Sample Types: Whole Cells
Applications: Flow Cytometry -
Estrogen inhibition of PTH-stimulated osteoclast formation and attachment in vitro: involvement of both PKA and PKC.
Authors: Liu BY, 2019, Wu PW, Bringhurst FR, Wang JT
141-147, 2002-02-01;143(2):627-35.
Species: Mouse
Sample Types: Whole Cells
Applications: Neutralization -
Osteoblast Hypoxia-Inducible Factor-1a Pathway Activation Restrains Osteoclastogenesis via the Interleukin-33-MicroRNA-34a-Notch1 Pathway.
Authors: Kang H, Yang K, Xiao L et al.
Front Immunol.
FAQs
No product specific FAQs exist for this product, however you may
View all Antibody FAQsReviews for Mouse Osteoprotegerin/TNFRSF11B Antibody
Average Rating: 4.3 (Based on 3 Reviews)
Have you used Mouse Osteoprotegerin/TNFRSF11B Antibody?
Submit a review and receive an Amazon gift card.
$25/€18/£15/$25CAN/¥75 Yuan/¥2500 Yen for a review with an image
$10/€7/£6/$10 CAD/¥70 Yuan/¥1110 Yen for a review without an image
Filter by:
AF459 used at 0.4 µg/ml, recombinant OPG used at from 200 ng/ml to 1 µg/ml.
