Mouse Wnt-11 Antibody
Mouse Wnt-11 Antibody Summary
Leu39-Ala79 and Ser225-Arg297
Accession # NP_033545
Applications
Please Note: Optimal dilutions should be determined by each laboratory for each application. General Protocols are available in the Technical Information section on our website.
Scientific Data
View Larger
Detection of Mouse Wnt‑11 by Western Blot. Western blot shows lysates of mouse embryo (13 d.p.c.) tissue. PVDF Membrane was probed with 2 µg/mL of Rat Anti-Mouse Wnt-11 Monoclonal Antibody (Catalog # MAB3746) followed by HRP-conjugated Anti-Rat IgG Secondary Antibody (Catalog # HAF005). A specific band was detected for Wnt-11 at approximately 50 kDa (as indicated). This experiment was conducted under reducing conditions and using Immunoblot Buffer Group 1.
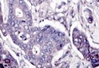
View Larger
Wnt‑11 in Mouse Embryo. Wnt-11 was detected in immersion fixed frozen sections of mouse embryo (15 d.p.c.) using Rat Anti-Mouse Wnt-11 Monoclonal Antibody (Catalog # MAB3746) at 25 µg/mL overnight at 4 °C. Tissue was stained using the Anti-Mouse HRP-DAB Cell & Tissue Staining Kit (brown; Catalog # CTS002) and counterstained with hematoxylin (blue). Specific staining was localized to cytoplasm of muscle cells. View our protocol for Chromogenic IHC Staining of Frozen Tissue Sections.
Reconstitution Calculator
Preparation and Storage
- 12 months from date of receipt, -20 to -70 °C as supplied.
- 1 month, 2 to 8 °C under sterile conditions after reconstitution.
- 6 months, -20 to -70 °C under sterile conditions after reconstitution.
Background: Wnt-11
Wnt-11 belongs to the Wnt family of secreted, highly conserved, cysteine-rich signaling glcoproteins that are important in vertebrate development. Mouse Wnt-11a is expressed in early development and is required for cardiogenesis and branching morphogenesis of ureters. Wnt-11 signals by a non-canonical pathway and may repress canonical signaling by other Wnts. Mouse and human Wnt‑11 shares 96% identity over the sequences expressed in the immunogen.
Product Datasheets
FAQs
No product specific FAQs exist for this product, however you may
View all Antibody FAQsReviews for Mouse Wnt-11 Antibody
Average Rating: 4.5 (Based on 2 Reviews)
Have you used Mouse Wnt-11 Antibody?
Submit a review and receive an Amazon gift card.
$25/€18/£15/$25CAN/¥75 Yuan/¥2500 Yen for a review with an image
$10/€7/£6/$10 CAD/¥70 Yuan/¥1110 Yen for a review without an image
Filter by:
