246 results for "T-bet/TBX21" in Products

T-bet/TBX21 Products

T-box expressed in T cells (T-bet), also known as T-box transcription factor TBX21, is a 62 kDa member of the T-box family of transcription factors and the Tbr1 subfamily. Human T-bet is 535 amino acids in length and contains a T-box DNA binding domain (aa 136-327). Human T-bet shares 88% aa sequence identity with mouse T-bet. T-bet is a nuclear protein highly apparent in Th1-cells. Northern blot analysis revealed that it is also expressed in lung, thymus and spleen. Functionally, T-bet controls the expression of the Th1 cytokine, IFN-gamma, and initiates Th1 lineage development from naive Th precursor cells by both activating Th1 genetic programs and by repressing the opposing Th2 programs.

Reactivity: Human, Mouse, Rat
Details: Mouse IgG1 Monoclonal Clone #39D
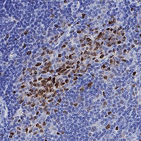
Applications: IHC, WB, ICC/IF, IP
Western Blot: T-bet/TBX21 Antibody (39D)BSA Free [NBP1-43299]
Loading...

Recombinant Monoclonal Antibody.

Reactivity: Human
Details: Mouse IgG1 Monoclonal Clone #525831
Applications: Flow, CyTOF-ready
Detection of T‑bet/TBX21 antibody in Human PBMCs Stimulated to Induce Th1 Cells antibody by Flow Cytometry.
Loading...

Recombinant Monoclonal Antibody.

Reactivity: Human
Details: Rabbit IgG Monoclonal Clone #3126B
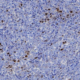
Applications: mIF, IHC, COMET
(4)
Loading...
Reactivity: Mouse
Details: Rat IgG2B Monoclonal Clone #1087415
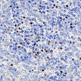
Applications: IHC, WB
(2)
Loading...

Recombinant Monoclonal Antibody

Reactivity: Human
Details: Rabbit IgG Monoclonal Clone #JE60-20
Applications: IHC, WB, Flow, ICC/IF
T-bet/TBX21 Antibody (JE60-20)
(4)
Loading...
Reactivity: Human
Details: Mouse IgG2B Monoclonal Clone #1091005
Applications: WB, Simple Western
(2)
Loading...

Recombinant Monoclonal Antibody

Reactivity: Human
Details: Rabbit Monoclonal Clone #BLR110H
Applications: mIF, IHC, WB, Flow, ICC/IF, + 1 More
Immunoprecipitation: T-bet/TBX21 Antibody (BLR110H) [NBP3-14699]
Loading...
Reactivity: Human, Mouse
Details: Rabbit IgG Polyclonal
Applications: WB, ELISA, ICC/IF
Western Blot: T-bet/TBX21 AntibodyBSA Free [NBP2-41235]
(3)
Loading...
Reactivity: Human, Mouse, Rhesus Macaque
Details: Mouse IgG1 kappa Monoclonal Clone #4B10
Applications: WB, Flow, IP
Western Blot: T-bet/TBX21 Antibody (4B10)BSA Free [NBP1-43298]
(2)
Loading...
Reactivity: Human
Details: Rabbit IgG Polyclonal
Applications: IHC, WB
Western Blot: T-bet/TBX21 Antibody [NBP2-20583]
(2)
Loading...
Reactivity: Mouse
Details: Rat IgG2B Monoclonal Clone #1087415
Applications: IHC, WB
Mouse T‑bet/TBX21 Alexa Fluor® 488‑conjugated Antibody
Loading...
Reactivity: Mouse
Details: Rat IgG2B Monoclonal Clone #1087415
Applications: IHC, WB
Mouse T‑bet/TBX21 Alexa Fluor® 700‑conjugated Antibody
Loading...
Reactivity: Mouse
Details: Rat IgG2B Monoclonal Clone #1087415
Applications: IHC, WB
Mouse T‑bet/TBX21 Alexa Fluor® 647‑conjugated Antibody
Loading...
Reactivity: Mouse
Details: Rat IgG2B Monoclonal Clone #1087415
Applications: IHC, WB
Mouse T‑bet/TBX21 Alexa Fluor® 750‑conjugated Antibody
Loading...
Reactivity: Mouse
Details: Rat IgG2B Monoclonal Clone #1087415
Applications: IHC, WB
Mouse T‑bet/TBX21 Alexa Fluor® 594‑conjugated Antibody
Loading...
Reactivity: Mouse
Details: Rat IgG2B Monoclonal Clone #1087415
Applications: IHC, WB
Mouse T‑bet/TBX21 Alexa Fluor® 350‑conjugated Antibody
Loading...
Reactivity: Mouse
Details: Rat IgG2B Monoclonal Clone #1087415
Applications: IHC, WB
Mouse T‑bet/TBX21 Alexa Fluor® 405‑conjugated Antibody
Loading...
Reactivity: Mouse
Details: Rat IgG2B Monoclonal Clone #1087415
Applications: IHC, WB
Mouse T‑bet/TBX21 Alexa Fluor® 532‑conjugated Antibody
Loading...

Recombinant Monoclonal Antibody.

Reactivity: Human
Details: Mouse IgG1 Monoclonal Clone #525831
Applications: Flow
Detection of T‑bet/TBX21 antibody in Human PBMCs antibody by Flow Cytometry.
(2)
Loading...
Reactivity: Human
Details: Mouse IgG2B Monoclonal Clone #1091005
Applications: WB
Human T‑bet/TBX21 Alexa Fluor® 488‑conjugated Antibody
Loading...
Reactivity: Human
Details: Mouse IgG2B Monoclonal Clone #1091005
Applications: WB
Human T‑bet/TBX21 Alexa Fluor® 700‑conjugated Antibody
Loading...
Reactivity: Human
Details: Mouse IgG2B Monoclonal Clone #1091005
Applications: WB
Human T‑bet/TBX21 Alexa Fluor® 647‑conjugated Antibody
Loading...
Reactivity: Human
Details: Mouse IgG2B Monoclonal Clone #1091005
Applications: WB
Human T‑bet/TBX21 Alexa Fluor® 750‑conjugated Antibody
Loading...
Reactivity: Human
Details: Mouse IgG2B Monoclonal Clone #1091005
Applications: WB
Human T‑bet/TBX21 Alexa Fluor® 594‑conjugated Antibody
Loading...
Reactivity: Human
Details: Mouse IgG2B Monoclonal Clone #1091005
Applications: WB
Human T‑bet/TBX21 Alexa Fluor® 350‑conjugated Antibody
Loading...
Results Per Page
5 10 25 50