Human IL‑6 Antibody
R&D Systems | Catalog # MAB95402
Recombinant Monoclonal Antibody.
Key Product Details
Species Reactivity
Human
Applications
Immunohistochemistry, Immunocytochemistry
Label
Unconjugated
Antibody Source
Recombinant Monoclonal Rabbit IgG Clone # 2828D
Loading...
Product Specifications
Immunogen
E. coli-derived human IL-6 protein
Pro29-Met212
Accession # Q75MH2
Pro29-Met212
Accession # Q75MH2
Specificity
Detects human IL-6 in direct ELISAs.
Clonality
Monoclonal
Host
Rabbit
Isotype
IgG
Scientific Data Images for Human IL‑6 Antibody
IL‑6 in Human PBMCs.
IL‑6 was detected in immersion fixed human peripheral blood mononuclear cells (PBMCs) treated with PHA (positive staining) and untreated PBMCs (negative control) using Rabbit Anti-Human IL‑6 Monoclonal Antibody (Catalog # MAB95402) at 8 µg/mL for 3 hours at room temperature. Cells were stained using the NorthernLights™ 557-conjugated Anti-Rabbit IgG Secondary Antibody (red; NL004) and counterstained with DAPI (blue). Specific staining was localized to cell cytoplasm. Staining was performed using our protocol for Fluorescent ICC Staining of Non-adherent Cells.IL‑6 in Human Tonsil.
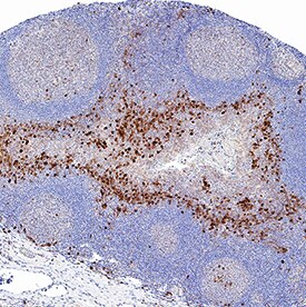
IL‑6 was detected in immersion fixed paraffin-embedded sections of human tonsil using Rabbit Anti-Human IL‑6 Monoclonal Antibody (Catalog # MAB95402) at 3 µg/mL for 1 hour at room temperature followed by incubation with the Anti-Rabbit IgG VisUCyte™ HRP Polymer Antibody (VC003). Before incubation with the primary antibody, tissue was subjected to heat-induced epitope retrieval using Antigen Retrieval Reagent-Basic (CTS013). Tissue was stained using DAB (brown) and counterstained with hematoxylin (blue). Specific staining was localized to lymphocytes. Staining was performed using our protocol for IHC Staining with VisUCyte HRP Polymer Detection Reagents.Applications for Human IL‑6 Antibody
Application
Recommended Usage
Immunocytochemistry
8-25 µg/mL
Sample: Immersion fixed human peripheral blood mononuclear cells (PBMCs) treated with PHA
Sample: Immersion fixed human peripheral blood mononuclear cells (PBMCs) treated with PHA
Immunohistochemistry
3-25 µg/mL
Sample: Immersion fixed paraffin-embedded sections of human tonsil
Sample: Immersion fixed paraffin-embedded sections of human tonsil
Formulation, Preparation, and Storage
Purification
Protein A or G purified from cell culture supernatant
Reconstitution
Reconstitute at 0.5 mg/mL in sterile PBS. For liquid material, refer to CoA for concentration.
Loading...
Formulation
Lyophilized from a 0.2 μm filtered solution in PBS with Trehalose. *Small pack size (SP) is supplied either lyophilized or as a 0.2 µm filtered solution in PBS.
Shipping
Lyophilized product is shipped at ambient temperature. Liquid small pack size (-SP) is shipped with polar packs. Upon receipt, store immediately at the temperature recommended below.
Stability & Storage
Use a manual defrost freezer and avoid repeated freeze-thaw cycles.
- 12 months from date of receipt, -20 to -70 °C as supplied.
- 1 month, 2 to 8 °C under sterile conditions after reconstitution.
- 6 months, -20 to -70 °C under sterile conditions after reconstitution.
Calculators
Background: IL-6
References
- Mansell, A. and B.J. Jenkins (2013) Cytokine Growth Factor Rev. 24:249.
- Schuett, H. et al. (2009) Thromb. Haemost. 102:215.
- Erta, M. et al. (2012) Int. J. Biol. Sci. 8:1254.
- Garbers, C. et al. (2012) Cytokine Growth Factor Rev. 23:85.
- Mihara, M. et al. (2012) Clin. Sci. (Lond.) 122:143.
- Hirano, T. et al. (1986) Nature 324:73.
- Kestler, D.P. et al. (1995) Blood 86:4559.
- Kestler, D.P. et al. (1999) Am. J. Hematol. 61:169.
- Bihl, M.P. et al. (2002) Am. J. Respir. Cell Mol. Biol. 27:48.
- Alberti, L. et al. (2005) Cancer Res. 65:2.
- Murakami, M. et al. (1993) Science 260:1808.
- Muller-Newen, G. (2003) Sci. STKE 2003:PE40.
- Mitsuyama, K. et al. (2006) Clin. Exp. Immunol. 143:125.
- Cerutti, A. et al. (1998) J. Immunol. 160:2145.
Long Name
Interleukin 6
Alternate Names
BSF-2, BSF2, IFNB2, IL6, MGI-2A
Entrez Gene IDs
Gene Symbol
IL6
UniProt
Additional IL-6 Products
Product Documents for Human IL‑6 Antibody
Certificate of Analysis
To download a Certificate of Analysis, please enter a lot or batch number in the search box below.
Note: Certificate of Analysis not available for kit components.
Product Specific Notices for Human IL‑6 Antibody
For research use only
Related Research Areas
Customer Reviews for Human IL‑6 Antibody
There are currently no reviews for this product. Be the first to review Human IL‑6 Antibody and earn rewards!
Have you used Human IL‑6 Antibody?
Submit a review and receive an Amazon gift card!
$25/€18/£15/$25CAN/¥2500 Yen for a review with an image
$10/€7/£6/$10CAN/¥1110 Yen for a review without an image
Submit a review
Protocols
Find general support by application which include: protocols, troubleshooting, illustrated assays, videos and webinars.
- Antigen Retrieval Protocol (PIER)
- Antigen Retrieval for Frozen Sections Protocol
- Appropriate Fixation of IHC/ICC Samples
- Cellular Response to Hypoxia Protocols
- Chromogenic IHC Staining of Formalin-Fixed Paraffin-Embedded (FFPE) Tissue Protocol
- Chromogenic Immunohistochemistry Staining of Frozen Tissue
- ClariTSA™ Fluorophore Kits
- Detection & Visualization of Antibody Binding
- Fluorescent IHC Staining of Frozen Tissue Protocol
- Graphic Protocol for Heat-induced Epitope Retrieval
- Graphic Protocol for the Preparation and Fluorescent IHC Staining of Frozen Tissue Sections
- Graphic Protocol for the Preparation and Fluorescent IHC Staining of Paraffin-embedded Tissue Sections
- Graphic Protocol for the Preparation of Gelatin-coated Slides for Histological Tissue Sections
- ICC Cell Smear Protocol for Suspension Cells
- ICC Immunocytochemistry Protocol Videos
- ICC for Adherent Cells
- IHC Sample Preparation (Frozen sections vs Paraffin)
- Immunocytochemistry (ICC) Protocol
- Immunocytochemistry Troubleshooting
- Immunofluorescence of Organoids Embedded in Cultrex Basement Membrane Extract
- Immunofluorescent IHC Staining of Formalin-Fixed Paraffin-Embedded (FFPE) Tissue Protocol
- Immunohistochemistry (IHC) and Immunocytochemistry (ICC) Protocols
- Immunohistochemistry Frozen Troubleshooting
- Immunohistochemistry Paraffin Troubleshooting
- Preparing Samples for IHC/ICC Experiments
- Preventing Non-Specific Staining (Non-Specific Binding)
- Primary Antibody Selection & Optimization
- Protocol for Heat-Induced Epitope Retrieval (HIER)
- Protocol for Making a 4% Formaldehyde Solution in PBS
- Protocol for VisUCyte™ HRP Polymer Detection Reagent
- Protocol for the Fluorescent ICC Staining of Cell Smears - Graphic
- Protocol for the Fluorescent ICC Staining of Cultured Cells on Coverslips - Graphic
- Protocol for the Preparation & Fixation of Cells on Coverslips
- Protocol for the Preparation and Chromogenic IHC Staining of Frozen Tissue Sections
- Protocol for the Preparation and Chromogenic IHC Staining of Frozen Tissue Sections - Graphic
- Protocol for the Preparation and Chromogenic IHC Staining of Paraffin-embedded Tissue Sections
- Protocol for the Preparation and Chromogenic IHC Staining of Paraffin-embedded Tissue Sections - Graphic
- Protocol for the Preparation and Fluorescent ICC Staining of Cells on Coverslips
- Protocol for the Preparation and Fluorescent ICC Staining of Non-adherent Cells
- Protocol for the Preparation and Fluorescent ICC Staining of Stem Cells on Coverslips
- Protocol for the Preparation and Fluorescent IHC Staining of Frozen Tissue Sections
- Protocol for the Preparation and Fluorescent IHC Staining of Paraffin-embedded Tissue Sections
- Protocol for the Preparation of Gelatin-coated Slides for Histological Tissue Sections
- Protocol for the Preparation of a Cell Smear for Non-adherent Cell ICC - Graphic
- TUNEL and Active Caspase-3 Detection by IHC/ICC Protocol
- The Importance of IHC/ICC Controls
- Troubleshooting Guide: Immunohistochemistry
- View all Protocols, Troubleshooting, Illustrated assays and Webinars
Loading...
Associated Pathways
IL-21 Signaling Pathways and their Primary Biological Effects in Different Immune Cell Types
Jak/STAT Signaling Pathway
Mesenchymal Stem Cell Differentiation Pathways & Lineage-specific Markers
NOD-like Receptor Signaling Pathways
Th17 Differentiation Pathway
Toll-Like Receptor Signaling Pathways