Human Apolipoprotein E/ApoE Antibody Summary
Lys19-His317
Accession # P02649
Applications
Please Note: Optimal dilutions should be determined by each laboratory for each application. General Protocols are available in the Technical Information section on our website.
Scientific Data
View Larger
Detection of Human Apolipoprotein E/ApoE by Western Blot. Western blot shows lysates of human lung tissue and human ovary tissue. PVDF membrane was probed with 0.5 µg/mL of Rat Anti-Human Apolipoprotein E/ApoE Monoclonal Antibody (Catalog # MAB41441) followed by HRP-conjugated Anti-Rat IgG Secondary Antibody (Catalog # HAF005). A specific band was detected for Apolipoprotein E/ApoE at approximately 36 kDa (as indicated). This experiment was conducted under reducing conditions and using Immunoblot Buffer Group 1.
Reconstitution Calculator
Preparation and Storage
- 12 months from date of receipt, -20 to -70 °C as supplied.
- 1 month, 2 to 8 °C under sterile conditions after reconstitution.
- 6 months, -20 to -70 °C under sterile conditions after reconstitution.
Background: Apolipoprotein E/ApoE
ApoE is a 34 kDa protein component of serum chylomicrons, VLDL, and HDL particles. It mediates the binding, uptake, and catabolism of these particles through interactions with the ApoE receptor and LDL receptors in the liver and brain. ApoE is important in fatty acid homeostasis and memory formation. Polymorphisms encode three variants (ApoE2, 3, 4) which are differentially related to the development of atherosclerosis and neurogenerative disorders. Mature human ApoE shares 71% amino acid sequence identity with mouse and rat ApoE.
Product Datasheets
Citations for Human Apolipoprotein E/ApoE Antibody
R&D Systems personnel manually curate a database that contains references using R&D Systems products. The data collected includes not only links to publications in PubMed, but also provides information about sample types, species, and experimental conditions.
3
Citations: Showing 1 - 3
Filter your results:
Filter by:
-
Identification of high-performing antibodies for Apolipoprotein E for use in Western Blot and immunoprecipitation
Authors: Ayoubi, R;Southern, K;Laflamme, C;NeuroSGC/YCharOS collaborative group, ;
F1000Research
Species: Human
Sample Types: Cell Culture Supernates
Applications: Immunoprecipitation, Western Blot -
Serum Apolipoprotein E and Other Inflammatory Markers Can Identify Non-Responding Patients to a Dendritic Cell Vaccine
Authors: H Leeman, E Kaminska, D Green, M Bodman-Smi, A Gravett, K Bodman-Smi, J Copier, G Coulton, A Fusi, AG Dalgleish
Transl Oncol, 2018-12-08;12(3):397-403.
Species: Human
Sample Types: Serum
Applications: ELISA Development (Capture) -
Effect of human very low-density lipoproteins on cardiotrophin-like cytokine factor 1 (CLCF1) activity
Authors: S Pasquin, S Chehboun, A Dejda, Y Meliani, V Savin, GJ Warner, R Bosse, A Tormo, G Mayer, M Sharma, P Sapieha, C Martel, JF Gauchat
Sci Rep, 2018-03-05;8(1):3990.
Applications: Neutralization
FAQs
No product specific FAQs exist for this product, however you may
View all Antibody FAQsReviews for Human Apolipoprotein E/ApoE Antibody
Average Rating: 4 (Based on 1 Review)
Have you used Human Apolipoprotein E/ApoE Antibody?
Submit a review and receive an Amazon gift card.
$25/€18/£15/$25CAN/¥75 Yuan/¥2500 Yen for a review with an image
$10/€7/£6/$10 CAD/¥70 Yuan/¥1110 Yen for a review without an image
Filter by:
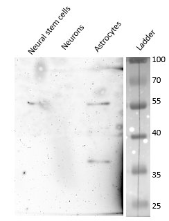
Protocol was followed as recommended in the datasheet (Using Immunoblot Buffer Group 1, PVDF) A band around 36 kDa was observed in the cells of interest (iPS-differentiated astrocytes) and none in iPS-differentiated neural stem cells and neurons. A nonspecific band (?) was also observed at 55kDa.
