Human Cyclin D1 Antibody
Human Cyclin D1 Antibody Summary
Met1-Ile295
Accession # P24385
Applications
Please Note: Optimal dilutions should be determined by each laboratory for each application. General Protocols are available in the Technical Information section on our website.
Scientific Data
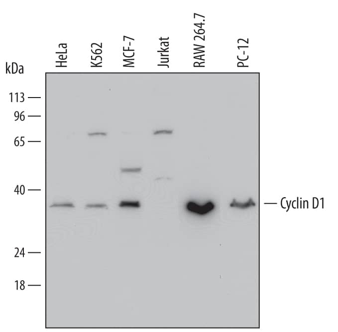
View Larger
Detection of Human, Mouse, and Rat Cyclin D1 by Western Blot. Western blot shows lysates of HeLa human cervical epithelial carcinoma cell line, K562 human chronic myelogenous leukemia cell line, MCF-7 human breast cancer cell line, Jurkat human acute T cell leukemia cell line, RAW 264.7 mouse monocyte/macrophage cell line, and PC-12 rat adrenal pheochromocytoma cell line. PVDF Membrane was probed with 2 µg/mL of Human Cyclin D1 Monoclonal Antibody (Catalog # MAB43141) followed by HRP-conjugated Anti-Mouse IgG Secondary Antibody (Catalog # HAF007). A specific band was detected for Cyclin D1 at approximately 36 kDa (as indicated). This experiment was conducted under reducing conditions and using Immunoblot Buffer Group 2.
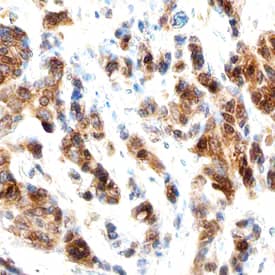
View Larger
Cyclin D1 in Human Breast Cancer Tissue. Cyclin D1 was detected in immersion fixed paraffin-embedded sections of human breast cancer tissue using Human Cyclin D1 Monoclonal Antibody (Catalog # MAB43141) at 15 µg/mL overnight at 4 °C. Before incubation with the primary antibody, tissue was subjected to heat-induced epitope retrieval using Antigen Retrieval Reagent-Basic (Catalog # CTS013). Tissue was stained using the Anti-Mouse HRP-DAB Cell & Tissue Staining Kit (brown; Catalog # CTS002) and counterstained with hemotoxylin (blue). Specific staining was localized to hair follicles and the cytoplasm and nuclei of epithelial cells. View our protocol for Chromogenic IHC Staining of Paraffin-embedded Tissue Sections.
View Larger
Detection of Cyclin D1 in Daudi Human Cell Line by Flow Cytometry. Daudi human Burkitt's lymphoma cell line was stained with Human Cyclin D1 Monoclonal Antibody (Catalog # MAB43141, filled histogram) or isotype control antibody (Catalog # MAB002, open histogram), followed by Allophycocyanin-conjugated Anti-Mouse IgG Secondary Antibody (Catalog # F0101B). To facilitate intracellular staining, cells were fixed with PFA and permeabilized with saponin.
Reconstitution Calculator
Preparation and Storage
- 12 months from date of receipt, -20 to -70 °C as supplied.
- 1 month, 2 to 8 °C under sterile conditions after reconstitution.
- 6 months, -20 to -70 °C under sterile conditions after reconstitution.
Background: Cyclin D1
Cyclin D1 (CCND1) is a 36 kDa cell cycle regulatory protein whose expression level and nuclear/cytoplasmic distribution are tightly regulated in synchrony with the cell cycle. Cyclin D1 complexes containing Cdk4 or Cdk6 induce phosphorylation of Rb, a requirement for progression through the G1/S cell cycle transition. Human Cyclin D1 shares 93% amino acid sequence identity with mouse and rat Cyclin D1.
Product Datasheets
FAQs
No product specific FAQs exist for this product, however you may
View all Antibody FAQsReviews for Human Cyclin D1 Antibody
There are currently no reviews for this product. Be the first to review Human Cyclin D1 Antibody and earn rewards!
Have you used Human Cyclin D1 Antibody?
Submit a review and receive an Amazon gift card.
$25/€18/£15/$25CAN/¥75 Yuan/¥2500 Yen for a review with an image
$10/€7/£6/$10 CAD/¥70 Yuan/¥1110 Yen for a review without an image
