Human Lysosomal alpha -Glucosidase Antibody
Human Lysosomal alpha -Glucosidase Antibody Summary
Ala70-Cys952
Accession # P10253
Applications
Please Note: Optimal dilutions should be determined by each laboratory for each application. General Protocols are available in the Technical Information section on our website.
Scientific Data
View Larger
Detection of Human Lysosomal alpha ‑Glucosidase by Western Blot. Western blot shows lysates of human placenta tissue, T47D human breast cancer cell line, and MCF-7 human breast cancer cell line. PVDF membrane was probed with 1 µg/mL of Rabbit Anti-Human Lysosomal a-Glucosidase Monoclonal Antibody (Catalog # MAB8329) followed by HRP-conjugated Anti-Rabbit IgG Secondary Antibody (Catalog # HAF008). Specific bands were detected for Lysosomal a-Glucosidase at approximately 72 kDa, 75 kDa, and 105 kDa (as indicated). This experiment was conducted under reducing conditions and using Immunoblot Buffer Group 1.
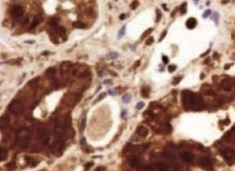
View Larger
Lysosomal alpha-Glucosidase in Human Kidney. Lysosomal a-Glucosidase was detected in immersion fixed paraffin-embedded sections of human kidney using Rabbit Anti-Human Lysosomal a-Glucosidase Monoclonal Antibody (Catalog # MAB8329) at 3 µg/mL for 1 hour at room temperature followed by incubation with the Anti-Rabbit IgG VisUCyte™ HRP Polymer Antibody (Catalog # VC003). Before incubation with the primary antibody, tissue was subjected to heat-induced epitope retrieval using Antigen Retrieval Reagent-Basic (Catalog # CTS013). Tissue was stained using DAB (brown) and counterstained with hematoxylin (blue). Specific staining was localized to cytoplasm in convoluted tubules. View our protocol for IHC Staining with VisUCyte HRP Polymer Detection Reagents.
Reconstitution Calculator
Preparation and Storage
- 12 months from date of receipt, -20 to -70 °C as supplied.
- 1 month, 2 to 8 °C under sterile conditions after reconstitution.
- 6 months, -20 to -70 °C under sterile conditions after reconstitution.
Background: Lysosomal alpha-Glucosidase
Acid alpha-glucosidase (GAA) is an enzyme that is essential in the degradation of glycogen to glucose in the lysosome (1). Defects in GAA are the cause of glycogen storage disease II, also known as Pompe's disease, which is a rare autosomal recessive metabolic disorder that damages muscle and nerve cells throughout the body, primarily due to the accumulation of glycogen in the lysosome (2). Pompe disease occurs in babies, children, and adults who inherit a defective GAA gene and affects an estimated 5,000 to 10,000 people worldwide (3). Enzyme replacement therapy (ERT) is used to treat patients with this disease (4, 5).
- Hoefsloot L.H. et al. (1988) EMBO J. 7:1697.
- Wan, L. et al. (2008) J. Neurol. 255:831.
- Fukuda, T. et al. (2007) Curr. Neurol. Neurosci. Rep. 7:71.
- Van Gelder, C.M. et al. (2014) J Inherit Metab Dis. In press.
- Toscano, A. and Schoser, B. (2013) J. Neurol. 260:951.
Product Datasheets
FAQs
No product specific FAQs exist for this product, however you may
View all Antibody FAQsReviews for Human Lysosomal alpha -Glucosidase Antibody
Average Rating: 5 (Based on 1 Review)
Have you used Human Lysosomal alpha -Glucosidase Antibody?
Submit a review and receive an Amazon gift card.
$25/€18/£15/$25CAN/¥75 Yuan/¥2500 Yen for a review with an image
$10/€7/£6/$10 CAD/¥70 Yuan/¥1110 Yen for a review without an image
Filter by:
