Human Mesothelin Antibody Summary
Glu296-Gly580
Accession # AAH09272
*Small pack size (-SP) is supplied either lyophilized or as a 0.2 µm filtered solution in PBS.
Applications
Please Note: Optimal dilutions should be determined by each laboratory for each application. General Protocols are available in the Technical Information section on our website.
Scientific Data
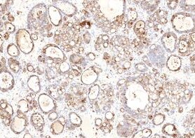
View Larger
Mesothelin in Human Ovarian Cancer Tissue. Mesothelin was detected in immersion fixed paraffin-embedded sections of human ovarian cancer tissue using 5 µg/mL Rat Anti-Human Mesothelin Monoclonal Antibody (Catalog # MAB32651) overnight at 4 °C. Before incubation with the primary antibody tissue was subjected to heat-induced epitope retrieval using Antigen Retrieval Reagent-Basic (Catalog # CTS013). Tissue was stained with the Anti-Rat HRP-DAB Cell & Tissue Staining Kit (brown; Catalog # CTS017) and counterstained with hematoxylin (blue). View our protocol for Chromogenic IHC Staining of Paraffin-embedded Tissue Sections.
Reconstitution Calculator
Preparation and Storage
- 12 months from date of receipt, -20 to -70 °C as supplied.
- 1 month, 2 to 8 °C under sterile conditions after reconstitution.
- 6 months, -20 to -70 °C under sterile conditions after reconstitution.
Background: Mesothelin
Mesothelin is a 40 kDa glycosylphosphatidylinositol-anchored glycoprotein that is expressed on mesothelial cells in the pleura, pericardium and peritoneum and overexpressed in mesotheliomas and ovarian or pancreatic adenocarcinoma. Mesothelin is a product of the CAK-1 gene, which also encodes megakaryocyte-potentiating factor (MPF). Mature human mesothelin shares 60% amino acid identity with either mouse or rat mesothelin. Two variant forms exist; variant 1 has an eight amino acid (1 kDa) insertion and is rarely expressed, while variant 2 is a truncated form secreted in the majority of ovarian cancers but rarely found in normal individuals.
Product Datasheets
FAQs
No product specific FAQs exist for this product, however you may
View all Antibody FAQsReviews for Human Mesothelin Antibody
Average Rating: 5 (Based on 1 Review)
Have you used Human Mesothelin Antibody?
Submit a review and receive an Amazon gift card.
$25/€18/£15/$25CAN/¥75 Yuan/¥2500 Yen for a review with an image
$10/€7/£6/$10 CAD/¥70 Yuan/¥1110 Yen for a review without an image
Filter by:
