Human Nesfatin-1/Nucleobindin-2 Antibody Summary
Val25-Leu106
Accession # P80303
Applications
Please Note: Optimal dilutions should be determined by each laboratory for each application. General Protocols are available in the Technical Information section on our website.
Scientific Data
View Larger
Detection of Human Nesfatin‑1/Nucleobindin‑2 by Western Blot. Western blot shows lysates of AGS human gastric adenocarcinoma cell line and human testis tissue. PVDF membrane was probed with 3 µg/mL of Rat Anti-Human Nesfatin-1/Nucleobindin-2 Monoclonal Antibody (Catalog # MAB5949) followed by HRP-conjugated Anti-Rat IgG Secondary Antibody (Catalog # HAF005). A specific band was detected for Nesfatin-1/ Nucleobindin-2 at approximately 50 kDa (as indicated). This experiment was conducted under reducing conditions and using Immunoblot Buffer Group 1.
View Larger
Nesfatin‑1/Nucleobindin‑2 in Human Mesenchymal Stem Cells. Nesfatin-1/Nucleobindin-2 was detected in immersion fixed human mesenchymal stem cells differentiated into adipocytes using Rat Anti-Human Nesfatin-1/Nucleobindin-2 Monoclonal Antibody (Catalog # MAB5949) at 10 µg/mL for 3 hours at room temperature. Cells were stained using the NorthernLights™ 557-conjugated Anti-Rat IgG Secondary Antibody (red; Catalog # NL013) and counterstained with DAPI (blue). Specific staining was localized to Golgi. View our protocol for Fluorescent ICC Staining of Stem Cells on Coverslips.
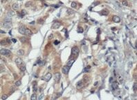
View Larger
Nesfatin‑1/Nucleobindin‑2 in Human Stomach. Nesfatin-1/Nucleobindin-2 was detected in immersion fixed paraffin-embedded sections of human stomach using Rat Anti-Human Nesfatin-1/ Nucleobindin-2 Monoclonal Antibody (Catalog # MAB5949) at 5 µg/mL overnight at 4 °C. Tissue was stained using the Anti-Rat HRP-DAB Cell & Tissue Staining Kit (brown; Catalog # CTS017) and counterstained with hematoxylin (blue). Specific staining was localized to glandular epithelial cells. View our protocol for Chromogenic IHC Staining of Paraffin-embedded Tissue Sections.
Reconstitution Calculator
Preparation and Storage
- 12 months from date of receipt, -20 to -70 °C as supplied.
- 1 month, 2 to 8 °C under sterile conditions after reconstitution.
- 6 months, -20 to -70 °C under sterile conditions after reconstitution.
Background: Nesfatin-1/Nucleobindin-2
Nesfatin-1 (NEFA Encoded Satiety and Fat-influencing protein 1) is a secreted, 10 kDa peptide derived from the translation product of the NUCB2 gene. Nesfatin-1 is associated with neurons involved in feeding (ARH and PVH) and fluid intake (SON and PVH), in beta cells of the pancreas, and in adipocytes. Its presence peripherally has an anorexigenic effect. Mature human Nesfatin-1 is 82 amino acids (aa) in length. It is the secreted N-terminus of a larger, intracellular 420 aa precursor termed NEFA/Nucleobindin-2/NUCB2. NUCB2 contains a signal sequence (aa 1‑24), Nesfatin-1 (aa 25‑106), a DNA-binding site (aa 171‑223), and two EF-hand regions (aa 241‑276 and 293‑328). Intracellular uncleaved NUCB2 is 45‑50 kDa in size. There is a potential for multiple cleavages, generating Nesfatin-2 (aa 109‑187) and Nesfatin-3 (aa 190‑420). Human Nesfatin-1 shares 85% aa identity with mouse Nesfatin-1.
Product Datasheets
Citations for Human Nesfatin-1/Nucleobindin-2 Antibody
R&D Systems personnel manually curate a database that contains references using R&D Systems products. The data collected includes not only links to publications in PubMed, but also provides information about sample types, species, and experimental conditions.
3
Citations: Showing 1 - 3
Filter your results:
Filter by:
-
Inhibition of NUCB2 suppresses the proliferation, migration, and invasion of rheumatoid arthritis synovial fibroblasts from patients with rheumatoid arthritis in vitro
Authors: Shuo Zhang, Tao Zhang, Yayun Xu, Genxiang Rong, Juehua Jing
Journal of Orthopaedic Surgery and Research
Species: Human
Sample Types: Cell Lysates
Applications: Western Blot -
Nucleobindin-2/nesfatin-1 enhances the cell proliferation, migration, invasion and epithelial-mesenchymal transition in gastric carcinoma
Authors: L Ren, D Bao, L Wang, Q Xu, Y Xu, Z Shi
Journal of Cellular and Molecular Medicine, 2022-09-06;0(0):.
Species: Human
Sample Types: Whole Tissue
Applications: IHC -
Inhibition of NUCB2 suppresses the proliferation, migration, and invasion of rheumatoid arthritis synovial fibroblasts from patients with rheumatoid arthritis in vitro
Authors: Shuo Zhang, Tao Zhang, Yayun Xu, Genxiang Rong, Juehua Jing
Journal of Orthopaedic Surgery and Research
FAQs
No product specific FAQs exist for this product, however you may
View all Antibody FAQsReviews for Human Nesfatin-1/Nucleobindin-2 Antibody
Average Rating: 5 (Based on 1 Review)
Have you used Human Nesfatin-1/Nucleobindin-2 Antibody?
Submit a review and receive an Amazon gift card.
$25/€18/£15/$25CAN/¥75 Yuan/¥2500 Yen for a review with an image
$10/€7/£6/$10 CAD/¥70 Yuan/¥1110 Yen for a review without an image
Filter by:
